Hamburger Menu Button
Thermo Fisher Scientific Logo
登录
没有账号?建立账号 注册
  • 产品
    • 抗体
    • 引物合成
    • GeneArt Gene Synthesis Instant Designer
    • TaqMan Assay and Array Search
    • PCR 设备和耗材
    • 色谱柱和纯化柱
    • 实验室离心机
    • 分子生物学试剂和试剂盒
    • 实验室塑料耗材及用品
    • 查看所有产品分类
  • 应用和技术
    • 色谱
    • 细胞转染和培养
    • 实时荧光定量PCR
    • 质谱
    • 实验室塑料耗材及用品
    • 电子显微镜
    • 蛋白质生物学
    • PCR
    • RNAi
    • 环境
    • 查看所有应用和技术
  • 服务
    • 定制服务
    • 企业级实验室信息化服务
    • 金融&租赁服务
    • 仪器服务
    • OEM和商业供应
    • 培训服务
    • 360° CDMO 和 CRO 服务
    • CDMO 服务
    • 临床试验 CRO 服务
    • Unity Lab Services
    • 查看所有帮助和支持
  • 帮助和支持
    • 学习中心
    • 联系我们
    • 更改国家或地区
    • 查看所有帮助和支持
  • 热门产品
    • TaqMan Real-Time PCR Assays
      TaqMan 实时荧光定量 PCR 试剂盒
    • Antibodies
      抗体
    • Oligos, Primers & Probes
      寡核苷酸、引物、探针
    • GeneArt Gene Synthesis
      GeneArt 基因合成
    • Cell Culture Plastics
      细胞培养耗材
  • Who We Serve
    • 抗体治疗解决方案
    • 细胞与基因治疗解决方案
    • 学术科研
    • 工业与应用
  • 联系我们
  • 货号直购
  • 订单查询
  • 查找文件&证书
Thermo Fisher Scientific Logo

Search

搜索全部或下列指定分类
Search button
          • 联系我们
          • 货号直购
          • 登录
            登录
            没有账号?建立账号 注册
            • 我的账号
            • 订单
            • 会员中心
            • 账单及发票查询
            • 定制产品及项目
          • Primary Antibodies ›
          • ANT1/ANT2/ANT3/ANT4 Antibodies

          Invitrogen

          ANT1/ANT2/ANT3/ANT4 Polyclonal Antibody

          {{$productOrderCtrl.translations['antibody.pdp.commerceCard.promotion.promotions']}}

          {{$productOrderCtrl.translations['antibody.pdp.commerceCard.promotion.viewpromo']}}

          {{$productOrderCtrl.translations['antibody.pdp.commerceCard.promotion.promocode']}}: {{promo.promoCode}} {{promo.promoTitle}} {{promo.promoDescription}}. {{$productOrderCtrl.translations['antibody.pdp.commerceCard.promotion.learnmore']}}

          说明书
          证书
          实验方案
          问题与答案
          技术支持
          说明书
          证书
          实验方案
          问题与答案
          技术支持
          说明书
          证书
          实验方案
          问题与答案
          技术支持

          Cite ANT1/ANT2/ANT3/ANT4 Polyclonal Antibody

          Additional Information:
          {{banner.description}}
          {{$ctrl.isSkuNotesCollapsed ? 'View more' : 'View less'}}
          • 抗体检测数据 (4)
          ANT1/ANT2/ANT3/ANT4 Antibody in Immunohistochemistry (Paraffin) (IHC (P))
          Group 53 Created with Sketch.
          ANT1/ANT2/ANT3/ANT4 Antibody in Immunohistochemistry (Paraffin) (IHC (P))
          Group 53 Created with Sketch.

          图: 1 / 4

          {{ $ctrl.currentElement.advancedVerification.fullName }}
          {{ $ctrl.currentElement.advancedVerification.text }}

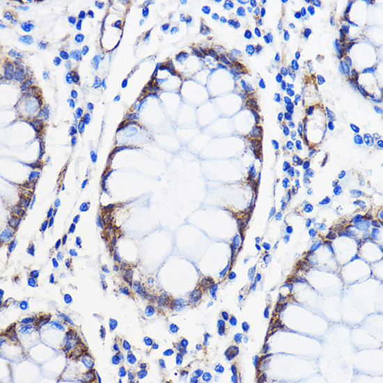
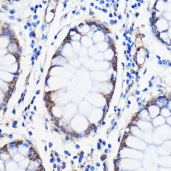
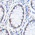
          ANT1/ANT2/ANT3/ANT4 Antibody (PA5-109394) in IHC (P)

          Immunohistochemistry analysis of ANT1/ANT2/ANT3/ANT4 in paraffin-embedded human colon carcinoma. Samples were incubated with ANT1/ANT2/ANT3/ANT4 Polyclonal antibody (Product # PA5-109394) using a dilution of 1:50 (40x lens). Perform microwave antigen retrieval with 10 mM PBS buffer pH 7.2 before commencing with IHC staining protocol. {{ $ctrl.currentElement.advancedVerification.fullName }} 验证信息 View more
          已发表图片由___提供 benchsci-logo
          PMID: {{$ctrl.currentElement.benchSciPubmedId}}
          查看产品

          {{$ctrl.videoDesc}}

          {{$ctrl.videoLongDesc}}

          ANT1/ANT2/ANT3/ANT4 Antibody in Immunohistochemistry (Paraffin) (IHC (P))
          ANT1/ANT2/ANT3/ANT4 Antibody in Immunohistochemistry (Paraffin) (IHC (P))
          ANT1/ANT2/ANT3/ANT4 Antibody in Immunohistochemistry (Paraffin) (IHC (P))
          ANT1/ANT2/ANT3/ANT4 Antibody in Western Blot (WB)
          ANT1/ANT2/ANT3/ANT4 Polyclonal Antibody

          产品信息

          PA5-109394

          应用
          建议稀释比
          已发表文章

          免疫印迹 (WB)

          1:500-1:2,000
          -

          免疫组化(石蜡) (IHC (P))

          1:50-1:200
          -

          酶联免疫吸附实验 (ELISA)

          1 µg/mL
          -
          产品规格

          种属反应

          Human, Mouse, Rat

          宿主/亚型

          Rabbit / IgG

          分类

          Polyclonal

          类型

          Antibody

          抗原

          A synthetic peptide corresponding to a sequence within amino acids 200 to the C-terminus of human ANT1 (NP_001142.2).
          3D表位/免疫原

          偶联物

          Unconjugated Unconjugated Unconjugated

          形式

          Liquid

          浓度

          1.65 mg/mL

          规格

          165 µg

          纯化类型

          Affinity Chromatography

          保存液

          PBS, pH 7.3, with 50% glycerol

          内含物

          0.01% thimerosal

          保存条件

          -20°C, Avoid Freeze/Thaw Cycles

          运输条件

          Ambient (domestic); Wet ice (international)

          RRID

          AB_2854805

          产品详细信息

          Immunogen sequence: GMLPDPKNVH IFVSWMIAQS VTAVAGLVSY PFDTVRRRMM MQSGRKGADI MYTGTVDCWR KIAKDEGAKA FFKGAWSNVL RGMGGAFVLV LYDEIKKYV

          靶标信息

          ANT1/2/3/4 (SLC25A4, SLC25A5, SLC25A6, SLC25A31) are members of the mitochondrial carrier subfamily of solute carrier protein genes. The product of this gene functions as a gated pore that translocates ADP from the mitochondrial matrix into the cytoplasm. The protein is implicated in the function of the permability transition pore complex (PTPC), which regulates the release of mitochondrial products that induce apoptosis. The human genome contains several non-transcribed pseudogenes of this gene.

          ⚠WARNING: This product can expose you to chemicals including mercury, which is known to the State of California to cause birth defects or other reproductive harm. For more information go to www.P65Warnings.ca.gov.

          仅用于科研。不用于诊断过程。未经明确授权不得转售。

          篇参考文献 (0)

          您是否在文献中引用过该产品?请点击下方按钮邮件告知我们。
          引用该产品

          生物信息学

          蛋白别名: Adenine nucleotid translocator 2 fibroblast isoform (ATP-ADP carrier protein); Adenine nucleotid translocator 2, fibroblast isoform (ATP-ADP carrier protein); adenine nucleotide translocase 4; adenine nucleotide translocase-1; Adenine nucleotide translocator 1; adenine nucleotide translocator 1 (skeletal muscle); adenine nucleotide translocator 1, skeletal muscle; Adenine nucleotide translocator 2; adenine nucleotide translocator 2 (fibroblast); adenine nucleotide translocator 2 fibroblast isoform (ATP-ADP carrier protein); adenine nucleotide translocator 2, fibroblast isoform (ATP-ADP carrier protein); Adenine nucleotide translocator 4; adenine nucleotide translocator), member 31; adenine nucleotide translocator), member 31-like; ADP,ATP carrier protein 1; ADP,ATP carrier protein 2; ADP,ATP carrier protein 4; ADP,ATP carrier protein, fibroblast isoform; ADP,ATP carrier protein, heart/skeletal muscle; ADP,ATP carrier protein, heart/skeletal muscle isoform T1; ADP.ATP translocase; ADP/ADT translocator protein; ADP/ATP carrier 1; ADP/ATP carrier protein; ADP/ATP translocase 1; ADP/ATP translocase 2; ADP/ATP translocase 4; ANT 1; ANT 2; ANT 4; heart/skeletal muscle ATP/ADP translocator; mANC1; mitochondrial adenine nucleotide translocator; Mitochondrial S-adenosylmethionine carrier protein; mitochondrial S-adenosylmethionine transporter; progressive external ophthalmoplegia 2; progressive external ophthalmoplegia 3; S-adenosylmethionine mitochondrial carrier protein; SAM carrier; solute carrier family 25 (mitochondrial adenine nucleotide translocator) member 4; solute carrier family 25 (mitochondrial carrier, adenine nucleotide translocator), member 31-like; solute carrier family 25 (mitochondrial carrier, phosphate carrier), member 26; solute carrier family 25 (mitochondrial carrier; adenine nucleotide translocator) member 4 isoform SLC25A4_1; solute carrier family 25 (mitochondrial carrier; adenine nucleotide translocator) member 4 isoform SLC25A4_2; solute carrier family 25 (mitochondrial carrier; adenine nucleotide translocator) member 4 isoform SLC25A4_3; solute carrier family 25 (mitochondrial carrier; adenine nucleotide translocator), member 31; solute carrier family 25 (mitochondrial carrier; adenine nucleotide translocator), member 4; solute carrier family 25 (mitochondrial carrier; adenine nucleotide translocator), member 5; solute carrier family 25 (mitochondrial carrier; phosphate carrier), member 26; solute carrier family 25 (S-adenosylmethionine carrier), member 26; Solute carrier family 25 member 26; Solute carrier family 25 member 31; Solute carrier family 25 member 4; Solute carrier family 25 member 5; solute carrier family 25, member 26; Sperm flagellar energy carrier protein; SZFULLNAME2; unnamed protein product

          查看更多 收起

          基因别名: 1700034J06Rik; 2F1; 4930433D19Rik; 4933433F13Rik; AAC1; AAC2; AAC4; Anc1; ANT; ANT 1; ANT 4; ANT1; ANT2; ANT4; AU019225; AW557176; COXPD28; D6Bwg0781e; MTDPS12; MTDPS12A; PEO2; PEO3; PEOA2; SAMC; SFEC; SFEC35kDa; SLC25A26; SLC25A31; SLC25A4; SLC25A5; Slc25a6; SZGENESYMBOL2; T1; T2; T3

          查看更多 收起

          UniProt ID: (Human) Q70HW3, (Human) Q9H0C2, (Human) P12235, (Human) P05141, (Mouse) Q5U680, (Mouse) Q3V132, (Rat) Q05962, (Mouse) P48962, (Rat) Q09073, (Mouse) P51881

          查看更多 收起

          Entrez Gene ID: (Human) 115286, (Human) 83447, (Human) 291, (Human) 292, (Mouse) 67582, (Rat) 362403, (Rat) 689108, (Mouse) 73333, (Rat) 85333, (Mouse) 11739, (Rat) 25176, (Mouse) 11740

          查看更多 收起

          功能
          S-adenosyl-L-methionine transmembrane transporter activity antiporter activity S-adenosyl-L-methionine:S-adenosyl-L-homocysteine antiporter activity ATP:ADP antiporter activity protein binding hydrogen ion transmembrane transporter activity adenine transmembrane transporter activity oxidative phosphorylation uncoupler activity adenine nucleotide transmembrane transporter activity RNA binding ubiquitin protein ligase binding transporter activity enzyme binding poly(A) RNA binding mitochondrial carrier protein transfer/carrier protein
          参与通路
          ion transport S-adenosyl-L-methionine transport purine nucleoside transmembrane transport macromolecule methylation L-alpha-amino acid transmembrane transport mitochondrial S-adenosyl-L-methionine transmembrane transport male meiosis I spermatogenesis cell differentiation regulation of mitochondrial membrane permeability transmembrane transport mitochondrial ADP transmembrane transport negative regulation of mitochondrial outer membrane permeabilization involved in apoptotic signaling pathway mitochondrial ATP transmembrane transport mitochondrial genome maintenance generation of precursor metabolites and energy apoptotic mitochondrial changes adenine transport ADP transport negative regulation of necroptotic process positive regulation of mitophagy hydrogen ion transmembrane transport adaptive thermogenesis chromosome segregation positive regulation of cell proliferation B cell differentiation erythrocyte differentiation adenine nucleotide transport cellular response to leukemia inhibitory factor transport S-adenosyl-L-methionine transmembrane transport liver development heart development aging negative regulation of cardiac muscle cell apoptotic process positive regulation of cell growth involved in cardiac muscle cell development response to interleukin-1 negative regulation of mitochondrial membrane permeability involved in apoptotic process positive regulation of oxidative phosphorylation uncoupler activity
          It has to be done as per old AB suggested Products section.

          Disclaimer

          Close

          Clicking the images or links will redirect you to a website hosted by BenchSci that provides third-party scientific content. Neither the content nor the BenchSci technology and processes for selection have been evaluated by us; we are providing them as-is and without warranty of any kind, including for use or application of the Thermo Fisher Scientific products presented.

          guarantee_icon

          性能保障

          只要您发现Invitrogen抗体在实验中的表现与网站或说明书的所述内容不符,您即可享受免费退换货服务。*

          了解更多
          help_icon

          随时为您服务

          获取常见问题的专家解答,或者直接联系我们的技术专家,咨询应用、设备、常规产品使用问题。

          联系技术支持
          订购 Plus Icon Minus Icon
          • 订单状态查询
          • 订单支持
          • 货号直购
          • 现货供应中心
          • 电子采购
          支持 Plus Icon Minus Icon
          • 帮助&支持
          • 联系我们 - 400 820 8982
          • 技术支持中心
          • 查找文件&证书
          • 报告网站问题
          资源 Plus Icon Minus Icon
          • 学习中心
          • 促销
          • 活动&研讨会
          • 社交媒体
          关于赛默飞 Plus Icon Minus Icon
          • 关于我们
          • 招聘 招聘
          • 投资者关系 投资者关系
          • 新闻 新闻
          • 社会责任 社会责任
          • 商标
          • 政策和通知
          品牌 Plus Icon Minus Icon
          • Thermo Scientific
          • Applied Biosystems
          • Invitrogen
          • Gibco
          • Ion Torrent
          • Unity Lab Services
          • Patheon
          • PPD
          • 服务条款
          • 隐私政策
          • 定价和运输保险政策
          © 2006-2026 Thermo Fisher Scientific Inc. All rights reserved. All trademarks are the property of Thermo Fisher Scientific and its subsidiaries unless otherwise specified.
          China flag icon
          China
          本网站销售的所有产品均不得用于人类或动物之临床诊断或治疗,仅可用于工业或者科研等非医疗目的。
             电子营业执照 | 经营证照公示 | ICP备案号:沪ICP备11003924号 | 沪公网安备 31011502006935号

          Your items have has been added!


          Host server : magellan-search-green-6479c7f679-zb4k5:80/100.66.74.142:80.
          git-commit: b70c0dceb888abc3b0dcebb5bc3a5b8753e7e816
          git-url: https://github.com/thermofisher/magellan-search
          git-branch: release/2.50.0-Offline