Hamburger Menu Button
Thermo Fisher Scientific Logo
登录
没有账号?建立账号 注册
  • 产品
    • 抗体
    • 引物合成
    • GeneArt Gene Synthesis Instant Designer
    • TaqMan Assay and Array Search
    • PCR 设备和耗材
    • 色谱柱和纯化柱
    • 实验室离心机
    • 分子生物学试剂和试剂盒
    • 实验室塑料耗材及用品
    • 查看所有产品分类
  • 应用和技术
    • 色谱
    • 细胞转染和培养
    • 实时荧光定量PCR
    • 质谱
    • 实验室塑料耗材及用品
    • 电子显微镜
    • 蛋白质生物学
    • PCR
    • RNAi
    • 环境
    • 查看所有应用和技术
  • 服务
    • 定制服务
    • 企业级实验室信息化服务
    • 金融&租赁服务
    • 仪器服务
    • OEM和商业供应
    • 培训服务
    • 360° CDMO 和 CRO 服务
    • CDMO 服务
    • 临床试验 CRO 服务
    • Unity Lab Services
    • 查看所有帮助和支持
  • 帮助和支持
    • 学习中心
    • 联系我们
    • 更改国家或地区
    • 查看所有帮助和支持
  • 热门产品
    • TaqMan Real-Time PCR Assays
      TaqMan 实时荧光定量 PCR 试剂盒
    • Antibodies
      抗体
    • Oligos, Primers & Probes
      寡核苷酸、引物、探针
    • GeneArt Gene Synthesis
      GeneArt 基因合成
    • Cell Culture Plastics
      细胞培养耗材
  • Who We Serve
    • 抗体治疗解决方案
    • 细胞与基因治疗解决方案
    • 学术科研
    • 工业与应用
  • 联系我们
  • 货号直购
  • 订单查询
  • 查找文件&证书
Thermo Fisher Scientific Logo

Search

搜索全部或下列指定分类
Search button
          • 联系我们
          • 货号直购
          • 登录
            登录
            没有账号?建立账号 注册
            • 我的账号
            • 订单
            • 会员中心
            • 账单及发票查询
            • 定制产品及项目
          • Primary Antibodies ›
          • ATF2 Antibodies

          Invitrogen

          ATF2 Recombinant Rabbit Monoclonal Antibody (9T9M8)

          查看其他54个ATF2抗体

          {{$productOrderCtrl.translations['antibody.pdp.commerceCard.promotion.promotions']}}

          {{$productOrderCtrl.translations['antibody.pdp.commerceCard.promotion.viewpromo']}}

          {{$productOrderCtrl.translations['antibody.pdp.commerceCard.promotion.promocode']}}: {{promo.promoCode}} {{promo.promoTitle}} {{promo.promoDescription}}. {{$productOrderCtrl.translations['antibody.pdp.commerceCard.promotion.learnmore']}}

          说明书
          证书
          实验方案
          问题与答案
          技术支持
          说明书
          证书
          实验方案
          问题与答案
          技术支持
          说明书
          证书
          实验方案
          问题与答案
          技术支持

          Cite ATF2 Recombinant Rabbit Monoclonal Antibody (9T9M8)

          Additional Information:
          {{banner.description}}
          {{$ctrl.isSkuNotesCollapsed ? 'View more' : 'View less'}}
          • 抗体检测数据 (7)
          ATF2 Antibody in Immunohistochemistry (Paraffin) (IHC (P))
          Group 53 Created with Sketch.
          ATF2 Antibody in Immunohistochemistry (Paraffin) (IHC (P))
          Group 53 Created with Sketch.

          图: 1 / 7

          {{ $ctrl.currentElement.advancedVerification.fullName }}
          {{ $ctrl.currentElement.advancedVerification.text }}

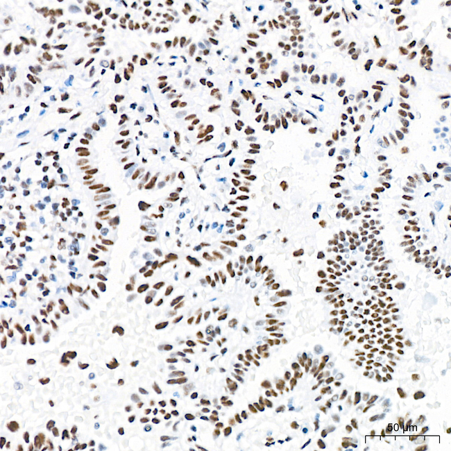
          ATF2 Antibody (MA568916) in IHC (P)

          Immunohistochemistry analysis of ATF2 on paraffin-embedded Human lung cancer tissue. Samples were incubated with ATF2 recombinant monoclonal antibody (Product # MA568916) using a dilution of 1:500 (40x lens). High pressure antigen retrieval performed with 0. 01 M Citrate buffer (pH 6. 0). {{ $ctrl.currentElement.advancedVerification.fullName }} 验证信息 View more
          已发表图片由___提供 benchsci-logo
          PMID: {{$ctrl.currentElement.benchSciPubmedId}}
          查看产品

          {{$ctrl.videoDesc}}

          {{$ctrl.videoLongDesc}}

          ATF2 Antibody in Immunohistochemistry (Paraffin) (IHC (P))
          ATF2 Antibody in Immunohistochemistry (Paraffin) (IHC (P))
          ATF2 Antibody in Immunohistochemistry (Paraffin) (IHC (P))
          ATF2 Antibody in Immunohistochemistry (Paraffin) (IHC (P))
          ATF2 Antibody in Immunohistochemistry (Paraffin) (IHC (P))
          ATF2 Antibody in Western Blot (WB)
          ATF2 Antibody in Immunoprecipitation (IP)

          产品信息

          MA568916

          应用
          建议稀释比
          已发表文章

          免疫印迹 (WB)

          1:10,000-1:70,000
          -

          免疫组化(石蜡) (IHC (P))

          1:100-1:500
          -

          酶联免疫吸附实验 (ELISA)

          1 µg/mL
          -

          免疫沉淀 (IP)

          0.5-4 µg
          -
          产品规格

          种属反应

          Human, Mouse, Rat

          宿主/亚型

          Rabbit / IgG

          Expression System

          HEK293 cells

          分类

          Recombinant Monoclonal

          类型

          Antibody

          克隆号

          9T9M8

          抗原

          Recombinant protein (or fragment).

          偶联物

          Unconjugated Unconjugated Unconjugated

          形式

          Liquid

          浓度

          0.69 mg/mL

          规格

          69 µg

          纯化类型

          Affinity chromatography

          保存液

          PBS, pH 7.3., with 50% glycerol

          内含物

          0.09% sodium azide

          保存条件

          -20°C, Avoid Freeze/Thaw Cycles

          运输条件

          Ambient (domestic); Wet ice (international)

          靶标信息

          The transcription factor ATF-2 (also called CRE-BP1) binds to both AP-1 and CRE DNA response elements and is a member of the ATF/CREB family of leucine zipper proteins. ATF-2 interacts with a variety of viral oncoproteins and cellular tumor suppressors and is a target of the SAPK/JNK and p38 MAP kinase signaling pathways. Various forms of cellular stress, including genotoxic agents, inflammatory cytokines and UV irradiation, stimulate the transcriptional activity of ATF-2. Cellular stress activates ATF-2 by phosphorylation of Thr69 and Thr71. Both SAPK and p38 MAPK have been shown to phosphorylate ATF-2 at these sites in vitro and in cells transfected with ATF-2.

          仅用于科研。不用于诊断过程。未经明确授权不得转售。

          篇参考文献 (0)

          您是否在文献中引用过该产品?请点击下方按钮邮件告知我们。
          引用该产品

          生物信息学

          蛋白别名: Activating 2; Activating transcription factor 2; ATF2; bZIP transcription factor; cAMP response element-binding protein CRE-BP1; cAMP responsive element binding protein 2, formerly; cAMP-dependent transcription factor ATF-2; CREB-2; cyclic AMP response element-binding protein (HB16); Cyclic AMP-dependent transcription factor ATF-2; Cyclic AMP-responsive element-binding protein 2; HB16; histone acetyltransferase ATF2; MGC111558; MXBP protein; OTTHUMP00000205345; OTTHUMP00000205347; OTTHUMP00000205348; OTTHUMP00000205350; OTTHUMP00000205352; OTTHUMP00000205353; OTTHUMP00000205354; unnamed protein product

          查看更多 收起

          基因别名: Atf-2; ATF2; CRE-BP; CRE-BP1; CREB-2; CREB2; CREBP1; D130078H02Rik; D18875; HB16; mXBP; Tg(Gzma-Klra1)7Wum; TREB7

          查看更多 收起

          UniProt ID: (Human) P15336, (Rat) Q00969, (Mouse) P16951

          查看更多 收起

          Entrez Gene ID: (Human) 1386, (Rat) 81647, (Mouse) 11909

          查看更多 收起

          功能
          RNA polymerase II regulatory region sequence-specific DNA binding RNA polymerase II core promoter proximal region sequence-specific DNA binding RNA polymerase II transcription factor activity, sequence-specific DNA binding core promoter proximal region sequence-specific DNA binding transcriptional activator activity, RNA polymerase II transcription regulatory region sequence-specific binding DNA binding chromatin binding transcription factor activity, sequence-specific DNA binding histone acetyltransferase activity protein binding cAMP response element binding protein binding zinc ion binding H4 histone acetyltransferase activity protein kinase binding cAMP response element binding identical protein binding protein homodimerization activity leucine zipper domain binding sequence-specific DNA binding histone H2B acetyltransferase activity metal ion binding protein heterodimerization activity RNA polymerase II sequence-specific DNA binding transcription factor binding sequence-specific double-stranded DNA binding promoter-specific chromatin binding RNA polymerase II distal enhancer sequence-specific DNA binding transcriptional activator activity, RNA polymerase II core promoter proximal region sequence-specific binding RNA polymerase II activating transcription factor binding enhancer sequence-specific DNA binding nucleic acid binding transferase activity basic leucine zipper transcription factor
          参与通路
          negative regulation of transcription from RNA polymerase II promoter MAPK cascade in utero embryonic development NK T cell differentiation liver development hematopoietic progenitor cell differentiation outflow tract morphogenesis brainstem development growth plate cartilage chondrocyte differentiation growth plate cartilage chondrocyte proliferation regulation of transcription, DNA-templated regulation of transcription from RNA polymerase II promoter protein import into nucleus lipid metabolic process apoptotic process response to osmotic stress cellular response to DNA damage stimulus vacuole organization JNK cascade heart development gene expression positive regulation of gene expression negative regulation of angiogenesis peptidyl-threonine phosphorylation abducens nucleus development hypoglossal nucleus development facial nucleus development BMP signaling pathway intra-S DNA damage checkpoint positive regulation of transforming growth factor beta2 production cellular response to oxidative stress p38MAPK cascade mRNA transcription from RNA polymerase II promoter positive regulation of gene expression, epigenetic positive regulation of transcription from RNA polymerase II promoter white fat cell differentiation positive regulation of sequence-specific DNA binding transcription factor activity neurofilament cytoskeleton organization detection of cell density adipose tissue development cellular response to anisomycin motor neuron apoptotic process hepatocyte apoptotic process cellular response to virus positive regulation of cardiac muscle myoblast proliferation positive regulation of mitochondrial membrane permeability involved in apoptotic process apoptotic process involved in development intrinsic apoptotic signaling pathway in response to hypoxia cellular response to leucine starvation transcription, DNA-templated transcription from RNA polymerase II promoter histone acetylation fat cell differentiation
          It has to be done as per old AB suggested Products section.

          Disclaimer

          Close

          Clicking the images or links will redirect you to a website hosted by BenchSci that provides third-party scientific content. Neither the content nor the BenchSci technology and processes for selection have been evaluated by us; we are providing them as-is and without warranty of any kind, including for use or application of the Thermo Fisher Scientific products presented.

          guarantee_icon

          性能保障

          只要您发现Invitrogen抗体在实验中的表现与网站或说明书的所述内容不符,您即可享受免费退换货服务。*

          了解更多
          help_icon

          随时为您服务

          获取常见问题的专家解答,或者直接联系我们的技术专家,咨询应用、设备、常规产品使用问题。

          联系技术支持
          订购 Plus Icon Minus Icon
          • 订单状态查询
          • 订单支持
          • 货号直购
          • 现货供应中心
          • 电子采购
          支持 Plus Icon Minus Icon
          • 帮助&支持
          • 联系我们 - 400 820 8982
          • 技术支持中心
          • 查找文件&证书
          • 报告网站问题
          资源 Plus Icon Minus Icon
          • 学习中心
          • 促销
          • 活动&研讨会
          • 社交媒体
          关于赛默飞 Plus Icon Minus Icon
          • 关于我们
          • 招聘 招聘
          • 投资者关系 投资者关系
          • 新闻 新闻
          • 社会责任 社会责任
          • 商标
          • 政策和通知
          品牌 Plus Icon Minus Icon
          • Thermo Scientific
          • Applied Biosystems
          • Invitrogen
          • Gibco
          • Ion Torrent
          • Unity Lab Services
          • Patheon
          • PPD
          • 服务条款
          • 隐私政策
          • 定价和运输保险政策
          © 2006-2026 Thermo Fisher Scientific Inc. All rights reserved. All trademarks are the property of Thermo Fisher Scientific and its subsidiaries unless otherwise specified.
          China flag icon
          China
          本网站销售的所有产品均不得用于人类或动物之临床诊断或治疗,仅可用于工业或者科研等非医疗目的。
             电子营业执照 | 经营证照公示 | ICP备案号:沪ICP备11003924号 | 沪公网安备 31011502006935号

          Your items have has been added!


          Host server : magellan-search-green-6479c7f679-zb4k5:80/100.66.74.142:80.
          git-commit: b70c0dceb888abc3b0dcebb5bc3a5b8753e7e816
          git-url: https://github.com/thermofisher/magellan-search
          git-branch: release/2.50.0-Offline