Hamburger Menu Button
Thermo Fisher Scientific Logo
登录
没有账号?建立账号 注册
  • 产品
    • 抗体
    • 引物合成
    • GeneArt Gene Synthesis Instant Designer
    • TaqMan Assay and Array Search
    • PCR 设备和耗材
    • 色谱柱和纯化柱
    • 实验室离心机
    • 分子生物学试剂和试剂盒
    • 实验室塑料耗材及用品
    • 查看所有产品分类
  • 应用和技术
    • 色谱
    • 细胞转染和培养
    • 实时荧光定量PCR
    • 质谱
    • 实验室塑料耗材及用品
    • 电子显微镜
    • 蛋白质生物学
    • PCR
    • RNAi
    • 环境
    • 查看所有应用和技术
  • 服务
    • 定制服务
    • 企业级实验室信息化服务
    • 金融&租赁服务
    • 仪器服务
    • OEM和商业供应
    • 培训服务
    • 360° CDMO 和 CRO 服务
    • CDMO 服务
    • 临床试验 CRO 服务
    • Unity Lab Services
    • 查看所有帮助和支持
  • 帮助和支持
    • 学习中心
    • 联系我们
    • 更改国家或地区
    • 查看所有帮助和支持
  • 热门产品
    • TaqMan Real-Time PCR Assays
      TaqMan 实时荧光定量 PCR 试剂盒
    • Antibodies
      抗体
    • Oligos, Primers & Probes
      寡核苷酸、引物、探针
    • GeneArt Gene Synthesis
      GeneArt 基因合成
    • Cell Culture Plastics
      细胞培养耗材
  • Who We Serve
    • 抗体治疗解决方案
    • 细胞与基因治疗解决方案
    • 学术科研
    • 工业与应用
  • 联系我们
  • 货号直购
  • 订单查询
  • 查找文件&证书
Thermo Fisher Scientific Logo

Search

搜索全部或下列指定分类
Search button
          • 联系我们
          • 货号直购
          • 登录
            登录
            没有账号?建立账号 注册
            • 我的账号
            • 订单
            • 账单及发票查询
            • 定制产品及项目
          • Primary Antibodies ›
          • ATF4 Antibodies

          Invitrogen

          ATF4 Recombinant Rabbit Monoclonal Antibody (SD20-92)

          高级验证
          1个已发表图片
          3 篇参考文献
          查看其他42个ATF4抗体

          {{$productOrderCtrl.translations['antibody.pdp.commerceCard.promotion.promotions']}}

          {{$productOrderCtrl.translations['antibody.pdp.commerceCard.promotion.viewpromo']}}

          {{$productOrderCtrl.translations['antibody.pdp.commerceCard.promotion.promocode']}}: {{promo.promoCode}} {{promo.promoTitle}} {{promo.promoDescription}}. {{$productOrderCtrl.translations['antibody.pdp.commerceCard.promotion.learnmore']}}

          说明书
          证书
          实验方案
          问题与答案
          技术支持
          说明书
          证书
          实验方案
          问题与答案
          技术支持
          说明书
          证书
          实验方案
          问题与答案
          技术支持

          Cite ATF4 Recombinant Rabbit Monoclonal Antibody (SD20-92)

          Additional Information:
          {{banner.description}}
          {{$ctrl.isSkuNotesCollapsed ? 'View more' : 'View less'}}
          • 抗体检测数据 (7)
          • 已发表图片 (1)
          • 高级验证 (1)
          ATF4 Antibody in Immunohistochemistry (Paraffin) (IHC (P))
          Group 53 Created with Sketch.
          ATF4 Antibody in Immunohistochemistry (Paraffin) (IHC (P))
          Group 53 Created with Sketch.

          图: 1 / 9

          {{ $ctrl.currentElement.advancedVerification.fullName }}
          {{ $ctrl.currentElement.advancedVerification.text }}

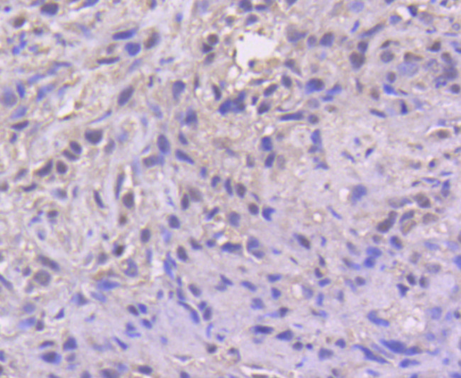
          ATF4 Antibody (MA5-32364) in IHC (P)

          Immunohistochemical analysis of ATF4 of paraffin-embedded Human breast carcinoma tissue using a ATF4 Monoclonal antibody (Product #MA5-32364). Counter stained with hematoxylin. {{ $ctrl.currentElement.advancedVerification.fullName }} 验证信息 View more
          已发表图片由___提供 benchsci-logo
          PMID: {{$ctrl.currentElement.benchSciPubmedId}}
          查看产品

          {{$ctrl.videoDesc}}

          {{$ctrl.videoLongDesc}}

          ATF4 Antibody in Immunocytochemistry (ICC/IF)
          ATF4 Antibody in Immunocytochemistry (ICC/IF)
          ATF4 Antibody in Immunocytochemistry (ICC/IF)
          ATF4 Antibody in Immunohistochemistry (Paraffin) (IHC (P))
          ATF4 Antibody in Western Blot (WB)
          ATF4 Antibody in Western Blot (WB)
          ATF4 Antibody in Western Blot (WB)
          ATF4 Antibody in Immunohistochemistry (IHC)
          ATF4 Antibody
          ATF4 Recombinant Rabbit Monoclonal Antibody (SD20-92)

          产品信息

          MA5-32364

          应用
          建议稀释比
          已发表文章

          免疫印迹 (WB)

          1:2,000-1:5,000
          查看1篇已发表文章 1篇已发表文章

          免疫组化 (IHC)

          -
          查看1篇已发表文章 1篇已发表文章

          免疫组化(石蜡) (IHC (P))

          1:200-1:1,000
          -

          免疫组化(冰冻) (IHC (F))

          -
          查看1篇已发表文章 1篇已发表文章

          免疫细胞化学 (ICC/IF)

          1:100-1:200
          -
          产品规格

          种属反应

          Human, Mouse, Rat

          已发表种属

          Human, Mouse

          宿主/亚型

          Rabbit / IgG

          Expression System

          HEK293 cells

          分类

          Recombinant Monoclonal

          类型

          Antibody

          克隆号

          SD20-92

          抗原

          Recombinant protein within Human ATF4 aa 1-220.
          查看免疫原

          偶联物

          Unconjugated Unconjugated Unconjugated

          形式

          Liquid

          浓度

          1 mg/mL

          纯化类型

          Protein A

          保存液

          TBS, pH 7.4, with 40% Glycerol, 0.05% BSA

          内含物

          0.05% sodium azide

          保存条件

          Store at 4°C short term. For long term storage, store at -20°C, avoiding freeze/thaw cycles.

          运输条件

          Ambient (domestic); Wet ice (international)

          RRID

          AB_2809645

          产品详细信息

          Recombinant rabbit monoclonal antibodies are produced using in vitro expression systems. The expression systems are developed by cloning in the specific antibody DNA sequences from immunoreactive rabbits. Then, individual clones are screened to select the best candidates for production. The advantages of using recombinant rabbit monoclonal antibodies include: better specificity and sensitivity, lot-to-lot consistency, animal origin-free formulations, and broader immunoreactivity to diverse targets due to larger rabbit immune repertoire.

          靶标信息

          This gene encodes a transcription factor that was originally identified as a widely expressed mammalian DNA binding protein that could bind a tax-responsive enhancer element in the LTR of HTLV-1. The encoded protein was also isolated and characterized as the cAMP-response element binding protein 2 (CREB-2). The protein encoded by this gene belongs to a family of DNA-binding proteins that includes the AP-1 family of transcription factors, cAMP-response element binding proteins (CREBs) and CREB-like proteins. These transcription factors share a leucine zipper region that is involved in protein-protein interactions, located C-terminal to a stretch of basic amino acids that functions as a DNA binding domain. Two alternative transcripts encoding the same protein have been described. Two pseudogenes are located on the X chromsome at q28 in a region containing a large inverted duplication.

          仅用于科研。不用于诊断过程。未经明确授权不得转售。

          生物信息学

          蛋白别名: Activating transcription factor 4; activating transcription factor 4 (tax-responsive enhancer element B67); activating transcription factor ATF-4; ATF 4; ATF4; ATF4 protein; atf4 {ECO:0000312|RGD:621863}; C/ATF; C/EBP-related ATF; cAMP response element-binding protein 2; cAMP-dependent transcription factor ATF-4; cAMP-responsive element-binding protein 2; CREB 2; CREB-2; Cyclic AMP-dependent transcription factor ATF-4; Cyclic AMP-responsive element-binding protein 2; DNA-binding protein TAXREB67; OTTHUMP00000199130; rATF-4; tax-re; tax-responsive enhancer element B67; Tax-responsive enhancer element-binding protein 67; tax-responsive enhancer element-binding protein 67 homolog; TaxREB67; taxREB67 homolog; unnamed protein product

          查看更多 收起

          基因别名: Atf-4; ATF4; C/ATF; CREB-2; CREB2; TAXREB67; TXREB

          查看更多 收起

          UniProt ID: (Human) P18848, (Rat) Q9ES19, (Mouse) Q06507

          查看更多 收起

          Entrez Gene ID: (Human) 468, (Rat) 79255, (Mouse) 11911

          查看更多 收起

          功能
          transcription regulatory region sequence-specific DNA binding RNA polymerase II regulatory region sequence-specific DNA binding RNA polymerase II core promoter proximal region sequence-specific DNA binding RNA polymerase II transcription factor activity, sequence-specific DNA binding transcriptional activator activity, RNA polymerase II transcription regulatory region sequence-specific binding DNA binding transcription factor activity, sequence-specific DNA binding protein binding cAMP response element binding protein binding protein kinase binding identical protein binding leucine zipper domain binding sequence-specific DNA binding protein heterodimerization activity RNA polymerase II sequence-specific DNA binding transcription factor binding general transcription initiation factor binding DNA-binding transcription factor binding sequence-specific double-stranded DNA binding promoter-specific chromatin binding core promoter sequence-specific DNA binding transcriptional activator activity, RNA polymerase II core promoter proximal region sequence-specific binding RNA polymerase II transcription factor binding protein C-terminus binding transcription factor binding transcription regulatory region DNA binding DNA-binding transcription factor
          参与通路
          negative regulation of transcription from RNA polymerase II promoter gluconeogenesis regulation of transcription, DNA-templated regulation of transcription from RNA polymerase II promoter transcription from RNA polymerase II promoter cellular calcium ion homeostasis gamma-aminobutyric acid signaling pathway circadian rhythm response to toxic substance positive regulation of vascular endothelial growth factor production positive regulation of gene expression neuron differentiation bone mineralization endoplasmic reticulum unfolded protein response response to nutrient levels negative regulation of translational initiation in response to stress circadian regulation of gene expression cellular response to amino acid starvation cellular response to oxidative stress cellular response to UV response to endoplasmic reticulum stress embryonic hemopoiesis PERK-mediated unfolded protein response cellular response to glucose starvation mRNA transcription from RNA polymerase II promoter regulation of apoptotic process positive regulation of apoptotic process negative regulation of potassium ion transport positive regulation of neuron apoptotic process regulation of osteoblast differentiation positive regulation of transcription, DNA-templated positive regulation of transcription from RNA polymerase I promoter positive regulation of transcription from RNA polymerase II promoter regulation of synaptic plasticity rhythmic process intrinsic apoptotic signaling pathway in response to endoplasmic reticulum stress positive regulation of biomineral tissue development lens fiber cell morphogenesis L-asparagine metabolic process cellular response to hypoxia mitochondrial respiratory chain supercomplex assembly negative regulation of cold-induced thermogenesis integrated stress response signaling HRI-mediated signaling GDF15-GFRAL signaling pathway negative regulation of oxidative stress-induced neuron intrinsic apoptotic signaling pathway positive regulation of vascular associated smooth muscle cell apoptotic process cellular response to leucine starvation response to manganese-induced endoplasmic reticulum stress positive regulation of sodium-dependent phosphate transport transcription, DNA-templated positive regulation of transcription from RNA polymerase II promoter in response to oxidative stress negative regulation of oxidative stress-induced neuron death positive regulation of transcription from RNA polymerase II promoter in response to endoplasmic reticulum stress
          It has to be done as per old AB suggested Products section.

          Disclaimer

          Close

          Clicking the images or links will redirect you to a website hosted by BenchSci that provides third-party scientific content. Neither the content nor the BenchSci technology and processes for selection have been evaluated by us; we are providing them as-is and without warranty of any kind, including for use or application of the Thermo Fisher Scientific products presented.

          guarantee_icon

          性能保障

          只要您发现Invitrogen抗体在实验中的表现与网站或说明书的所述内容不符,您即可享受免费退换货服务。*

          了解更多
          help_icon

          随时为您服务

          获取常见问题的专家解答,或者直接联系我们的技术专家,咨询应用、设备、常规产品使用问题。

          联系技术支持
          订购 Plus Icon Minus Icon
          • 订单状态查询
          • 订单支持
          • 货号直购
          • 现货供应中心
          • 电子采购
          支持 Plus Icon Minus Icon
          • 帮助&支持
          • 联系我们 - 400 820 8982
          • 技术支持中心
          • 查找文件&证书
          • 报告网站问题
          资源 Plus Icon Minus Icon
          • 学习中心
          • 促销
          • 活动&研讨会
          • 社交媒体
          关于赛默飞 Plus Icon Minus Icon
          • 关于我们
          • 招聘 招聘
          • 投资者关系 投资者关系
          • 新闻 新闻
          • 社会责任 社会责任
          • 商标
          • 政策和通知
          品牌 Plus Icon Minus Icon
          • Thermo Scientific
          • Applied Biosystems
          • Invitrogen
          • Gibco
          • Ion Torrent
          • Unity Lab Services
          • Patheon
          • PPD
          • 服务条款
          • 隐私政策
          • 定价和运输保险政策
          © 2006-2026 Thermo Fisher Scientific Inc. All rights reserved. All trademarks are the property of Thermo Fisher Scientific and its subsidiaries unless otherwise specified.
          China flag icon
          China
          本网站销售的所有产品均不得用于人类或动物之临床诊断或治疗,仅可用于工业或者科研等非医疗目的。
             电子营业执照 | 经营证照公示 | ICP备案号:沪ICP备11003924号 | 沪公网安备 31011502006935号

          Your items have has been added!


          Host server : magellan-search-green-7d94cb4b65-6wvps:80/100.66.75.98:80.
          git-commit: c9e08c96761173abe34e68f880379696776a4827
          git-url: https://github.com/thermofisher/magellan-search
          git-branch: release/2.44.1-2026.02.97.1.0