Hamburger Menu Button
Thermo Fisher Scientific Logo
登录
没有账号?建立账号 注册
  • 产品
    • 抗体
    • 引物合成
    • GeneArt Gene Synthesis Instant Designer
    • TaqMan Assay and Array Search
    • PCR 设备和耗材
    • 色谱柱和纯化柱
    • 实验室离心机
    • 分子生物学试剂和试剂盒
    • 实验室塑料耗材及用品
    • 查看所有产品分类
  • 应用和技术
    • 色谱
    • 细胞转染和培养
    • 实时荧光定量PCR
    • 质谱
    • 实验室塑料耗材及用品
    • 电子显微镜
    • 蛋白质生物学
    • PCR
    • RNAi
    • 环境
    • 查看所有应用和技术
  • 服务
    • 定制服务
    • 企业级实验室信息化服务
    • 企业服务
    • 金融&租赁服务
    • 仪器服务
    • OEM和商业供应
    • 培训服务
    • 360° CDMO 和 CRO 服务
    • CDMO 服务
    • 临床试验 CRO 服务
    • 查看所有帮助和支持
  • 帮助和支持
    • 学习中心
    • 联系我们
    • 更改国家或地区
    • 查看所有帮助和支持
  • 热门产品
    • TaqMan Real-Time PCR Assays
      TaqMan 实时荧光定量 PCR 试剂盒
    • Antibodies
      抗体
    • Oligos, Primers & Probes
      寡核苷酸、引物、探针
    • GeneArt Gene Synthesis
      GeneArt 基因合成
    • Cell Culture Plastics
      细胞培养耗材
  • 联系我们
  • 货号直购
  • 订单查询
  • 查找文件&证书
Thermo Fisher Scientific Logo

Search

搜索全部或下列指定分类
Search button
          • 联系我们
          • 货号直购
          • 登录
            登录
            没有账号?建立账号 注册
            • 我的账号
            • 订单
            • 账单及发票查询
            • 定制产品及项目

          Disclaimer

          Clicking the images or links will redirect you to a website hosted by BenchSci that provides third-party scientific content. Neither the content nor the BenchSci technology and processes for selection have been evaluated by us; we are providing them as-is and without warranty of any kind, including for use or application of the Thermo Fisher Scientific products presented.

          • Primary Antibodies ›
          • ATG14 Antibodies
          Formerly called “Recombinant polyclonal antibody”, this product is now rebranded as “Recombinant Superclonal™ antibody”. The physical product and the performance remain unchanged.

          Invitrogen

          ATG14 Recombinant Superclonal™ Antibody

          高级验证
          查看其他13个ATG14抗体

          {{$productOrderCtrl.translations['antibody.pdp.commerceCard.promotion.promotions']}}

          {{$productOrderCtrl.translations['antibody.pdp.commerceCard.promotion.viewpromo']}}

          {{$productOrderCtrl.translations['antibody.pdp.commerceCard.promotion.promocode']}}: {{promo.promoCode}} {{promo.promoTitle}} {{promo.promoDescription}}. {{$productOrderCtrl.translations['antibody.pdp.commerceCard.promotion.learnmore']}}

          说明书
          证书
          实验方案
          问题与答案
          技术支持
          说明书
          证书
          实验方案
          问题与答案
          技术支持
          说明书
          证书
          实验方案
          问题与答案
          技术支持

          Cite ATG14 Recombinant Superclonal™ Antibody

          Additional Information:
          {{banner.description}}
          {{$ctrl.isSkuNotesCollapsed ? 'View more' : 'View less'}}
          • 抗体检测数据 (1)
          • 高级验证 (1)
          ATG14 Antibody in Western Blot (WB)
          Group 53 Created with Sketch.
          ATG14 Antibody in Western Blot (WB)
          Group 53 Created with Sketch.

          图: 1 / 2

          {{ $ctrl.currentElement.advancedVerification.fullName }}
          {{ $ctrl.currentElement.advancedVerification.text }}

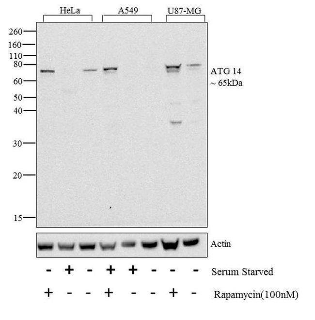
          ATG14 Antibody (710702) in WB

          Western blot analysis was performed on whole cell extracts (50 µg lysate) of HeLa serum starved and treated with Rapamycin (100nM/4 hours) (Lane1), HeLa Serum starved (Lane2), HeLa (Lane 3), A549 serum starved treated with Rapamycin (100nM/4 hours) (Lane 4), A549 serum starved (Lane5), A549 (Lane6), U-87-MG serum starved and treated with Rapamycin (100nM/4 hours) (Lane7) and U-87-MG (Lane8). The blots were probed with Anti- ATG 14 Recombinant Rabbit Superclonal™ Antibody (Product # 710702, 1-3 µg/mL) and detected by chemiluminescence using... View More {{ $ctrl.currentElement.advancedVerification.fullName }} 验证信息 View more
          已发表图片由___提供 benchsci-logo
          PMID: {{$ctrl.currentElement.benchSciPubmedId}}
          查看产品

          {{$ctrl.videoDesc}}

          {{$ctrl.videoLongDesc}}

          ATG14 Antibody in Western Blot (WB)
          ATG14 Antibody
          ATG14 Recombinant Superclonal™ Antibody

          产品信息

          710702

          应用
          建议稀释比
          已发表文章

          免疫印迹 (WB)

          2-3 µg/mL
          -

          免疫细胞化学 (ICC/IF)

          2 µg/mL
          -
          产品规格

          种属反应

          Human

          宿主/亚型

          Rabbit / IgG

          Expression System

          Expi293

          分类

          Recombinant Superclonal

          类型

          Antibody

          抗原

          3 synthetic peptides corresponding to human ATG14 (aa 63-79, 162-178, 277-293)
          查看免疫原

          偶联物

          Unconjugated Unconjugated Unconjugated

          形式

          Liquid

          浓度

          0.5 mg/mL

          纯化类型

          Protein A

          保存液

          PBS, pH 7.2

          内含物

          0.09% sodium azide

          保存条件

          Store at 4°C short term. For long term storage, store at -20°C, avoiding freeze/thaw cycles.

          运输条件

          Wet ice

          RRID

          AB_2532756

          产品详细信息

          This antibody is predicted to react with Monkey, Rat, Mouse, Pig, Bovine, Rabbit and Dog.

          Recombinant rabbit Superclonal™ antibodies are unique offerings from Thermo Fisher Scientific. They are comprised of a selection of multiple different recombinant monoclonal antibodies, providing the best of both worlds - the sensitivity of polyclonal antibodies with the specificity of monoclonal antibodies - all delivered with the consistency only found in a recombinant antibody. While functionally the same as a polyclonal antibody - recognizing multiple epitope sites on the target and producing higher detection sensitivity for low abundance targets - a recombinant rabbit Superclonal™ antibody has a known mixture of light and heavy chains. The exact population can be produced in every lot, circumventing the biological variability typically associated with polyclonal antibody production. Note: Formerly called “Recombinant polyclonal antibody”, this product is now rebranded as “Recombinant Superclonal™ antibody”. The physical product and the performance remain unchanged.

          靶标信息

          ATG14 (Autophagy related protein homolog 14) is encoded by the ATG14 gene and is located on chromosome 14 in humans. It is also known as ATG14L or BARKOR (Beclin 1-associated autophagy-related key regulator). Autophagy is an evolutionarily conserved process that involves recycling of misfolded cellular proteins and degradation of dysfunctional organelles. Autophagy is induced as a cellular response to nutrient stress which includes the formation of autophagosomes, fusion of these with the lysosome and formation of the autophagolysosome. The Class III PI3-Kinase, Vps34 and its interacting partner Beclin 1 have been shown to form a complex which specifically includes ATG 14 (type 1) or UVRAG (type 2). Atg 14 guides the type 1 complex to the preautophagosomal structure (PAS) and is critical for the initiation of autophagosome formation.

          仅用于科研。不用于诊断过程。未经明确授权不得转售。

          篇参考文献 (0)

          您是否在文献中引用过该产品?请点击下方按钮邮件告知我们。
          引用该产品

          生物信息学

          蛋白别名: ATG14 autophagy related 14 homolog; Atg14L; Autophagy-related protein 14-like protein; Bakor; Barkor; Beclin 1-associated autophagy-related key regulator; Beclin 1-Interacting protein

          查看更多 收起

          基因别名: ATG14; ATG14L; BARKOR; KIAA0831

          查看更多 收起

          UniProt ID: (Human) Q6ZNE5

          查看更多 收起

          Entrez Gene ID: (Human) 22863

          查看更多 收起

          功能
          protein binding
          参与通路
          autophagosome assembly regulation of protein phosphorylation negative regulation of protein phosphorylation positive regulation of protein phosphorylation endosome to lysosome transport cellular response to starvation positive regulation of autophagy posttranscriptional regulation of gene expression macroautophagy cellular response to glucose starvation positive regulation of phosphatidylinositol 3-kinase activity regulation of protein complex stability regulation of triglyceride metabolic process mitophagy in response to mitochondrial depolarization
          It has to be done as per old AB suggested Products section.
          guarantee_icon

          性能保障

          只要您发现Invitrogen抗体在实验中的表现与网站或说明书的所述内容不符,您即可享受免费退换货服务。*

          了解更多
          help_icon

          随时为您服务

          获取常见问题的专家解答,或者直接联系我们的技术专家,咨询应用、设备、常规产品使用问题。

          联系技术支持
          订购 Plus Icon Minus Icon
          • 订单状态查询
          • 订单支持
          • 货号直购
          • 现货供应中心
          • 电子采购
          支持 Plus Icon Minus Icon
          • 帮助&支持
          • 联系我们 - 400 820 8982
          • 技术支持中心
          • 查找文件&证书
          • 报告网站问题
          资源 Plus Icon Minus Icon
          • 学习中心
          • 促销
          • 活动&研讨会
          • 社交媒体
          关于赛默飞 Plus Icon Minus Icon
          • 关于我们
          • 招聘 招聘
          • 投资者关系 投资者关系
          • 新闻 新闻
          • 社会责任 社会责任
          • 商标
          • 政策和通知
          品牌 Plus Icon Minus Icon
          • Thermo Scientific
          • Applied Biosystems
          • Invitrogen
          • Gibco
          • Ion Torrent
          • Patheon
          • PPD
          • 服务条款
          • 隐私政策
          • 定价和运输保险政策
          © 2006-2026 Thermo Fisher Scientific Inc. All rights reserved. All trademarks are the property of Thermo Fisher Scientific and its subsidiaries unless otherwise specified.
          China flag icon
          China
          本网站销售的所有产品均不得用于人类或动物之临床诊断或治疗,仅可用于工业或者科研等非医疗目的。
             电子营业执照 | 经营证照公示 | ICP备案号:沪ICP备11003924号 | 沪公网安备 31011502006935号

          Your items have has been added!


          Host server : magellan-search-blue-55ff9ddd88-ctdjb:80/100.66.76.55:80.
          git-commit: d366ff9721d93504b2ac26a183b2b3e3d0e7d9ec
          git-url: https://github.com/thermofisher/magellan-search
          git-branch: release/2.42.0-2026.01.03-1.0