Hamburger Menu Button
Thermo Fisher Scientific Logo
登录
没有账号?建立账号 注册
  • 产品
    • 抗体
    • 引物合成
    • GeneArt Gene Synthesis Instant Designer
    • TaqMan Assay and Array Search
    • PCR 设备和耗材
    • 色谱柱和纯化柱
    • 实验室离心机
    • 分子生物学试剂和试剂盒
    • 实验室塑料耗材及用品
    • 查看所有产品分类
  • 应用和技术
    • 色谱
    • 细胞转染和培养
    • 实时荧光定量PCR
    • 质谱
    • 实验室塑料耗材及用品
    • 电子显微镜
    • 蛋白质生物学
    • PCR
    • RNAi
    • 环境
    • 查看所有应用和技术
  • 服务
    • 定制服务
    • 企业级实验室信息化服务
    • 金融&租赁服务
    • 仪器服务
    • OEM和商业供应
    • 培训服务
    • 360° CDMO 和 CRO 服务
    • CDMO 服务
    • 临床试验 CRO 服务
    • Unity Lab Services
    • 查看所有帮助和支持
  • 帮助和支持
    • 学习中心
    • 联系我们
    • 更改国家或地区
    • 查看所有帮助和支持
  • 热门产品
    • TaqMan Real-Time PCR Assays
      TaqMan 实时荧光定量 PCR 试剂盒
    • Antibodies
      抗体
    • Oligos, Primers & Probes
      寡核苷酸、引物、探针
    • GeneArt Gene Synthesis
      GeneArt 基因合成
    • Cell Culture Plastics
      细胞培养耗材
  • Who We Serve
    • 抗体治疗解决方案
    • 细胞与基因治疗解决方案
    • 学术科研
    • 工业与应用
  • 联系我们
  • 货号直购
  • 订单查询
  • 查找文件&证书
Thermo Fisher Scientific Logo

Search

搜索全部或下列指定分类
Search button
          • 联系我们
          • 货号直购
          • 登录
            登录
            没有账号?建立账号 注册
            • 我的账号
            • 订单
            • 会员中心
            • 账单及发票查询
            • 定制产品及项目
          • Primary Antibodies ›
          • ATP1B1 Antibodies

          Invitrogen

          ATP1B1 Polyclonal Antibody

          查看其他11个ATP1B1抗体

          {{$productOrderCtrl.translations['antibody.pdp.commerceCard.promotion.promotions']}}

          {{$productOrderCtrl.translations['antibody.pdp.commerceCard.promotion.viewpromo']}}

          {{$productOrderCtrl.translations['antibody.pdp.commerceCard.promotion.promocode']}}: {{promo.promoCode}} {{promo.promoTitle}} {{promo.promoDescription}}. {{$productOrderCtrl.translations['antibody.pdp.commerceCard.promotion.learnmore']}}

          说明书
          证书
          实验方案
          问题与答案
          技术支持
          说明书
          证书
          实验方案
          问题与答案
          技术支持
          说明书
          证书
          实验方案
          问题与答案
          技术支持

          Cite ATP1B1 Polyclonal Antibody

          Additional Information:
          {{banner.description}}
          {{$ctrl.isSkuNotesCollapsed ? 'View more' : 'View less'}}
          • 抗体检测数据 (4)
          ATP1B1 Antibody in Immunohistochemistry (Paraffin) (IHC (P))
          Group 53 Created with Sketch.
          ATP1B1 Antibody in Immunohistochemistry (Paraffin) (IHC (P))
          Group 53 Created with Sketch.

          图: 1 / 4

          {{ $ctrl.currentElement.advancedVerification.fullName }}
          {{ $ctrl.currentElement.advancedVerification.text }}

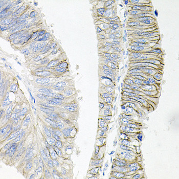
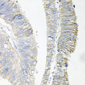
          ATP1B1 Antibody (PA5-96428) in IHC (P)

          Immunohistochemistry analysis of ATP1B1 in paraffin-embedded human colon carcinoma. Samples were incubated with ATP1B1 Polyclonal antibody (Product # PA5-96428) using a dilution of 1:100 (40x lens). Perform microwave antigen retrieval with 10 mM PBS buffer pH 7.2 before commencing with IHC staining protocol. {{ $ctrl.currentElement.advancedVerification.fullName }} 验证信息 View more
          已发表图片由___提供 benchsci-logo
          PMID: {{$ctrl.currentElement.benchSciPubmedId}}
          查看产品

          {{$ctrl.videoDesc}}

          {{$ctrl.videoLongDesc}}

          ATP1B1 Antibody in Immunohistochemistry (Paraffin) (IHC (P))
          ATP1B1 Antibody in Immunohistochemistry (Paraffin) (IHC (P))
          ATP1B1 Antibody in Immunohistochemistry (Paraffin) (IHC (P))
          ATP1B1 Antibody in Western Blot (WB)
          ATP1B1 Polyclonal Antibody

          产品信息

          PA5-96428

          应用
          建议稀释比
          已发表文章

          免疫印迹 (WB)

          1:500-1:2,000
          -

          免疫组化(石蜡) (IHC (P))

          1:50-1:200
          -

          免疫细胞化学 (ICC/IF)

          1:50-1:200
          -

          酶联免疫吸附实验 (ELISA)

          1 µg/mL
          -
          产品规格

          种属反应

          Human, Mouse

          宿主/亚型

          Rabbit / IgG

          分类

          Polyclonal

          类型

          Antibody

          抗原

          Recombinant fusion protein containing a sequence corresponding to amino acids 63-303 of human ATP1B1 (NP_0016681)
          3D表位/免疫原

          偶联物

          Unconjugated Unconjugated Unconjugated

          形式

          Liquid

          浓度

          0.53 mg/mL

          规格

          53 µg

          纯化类型

          Affinity Chromatography

          保存液

          PBS, pH 7.3, with 50% glycerol

          内含物

          0.02% sodium azide

          保存条件

          -20°C, Avoid Freeze/Thaw Cycles

          运输条件

          Ambient (domestic); Wet ice (international)

          RRID

          AB_2808230

          产品详细信息

          Immunogen sequence: EFKPTYQDRV APPGLTQIPQ IQKTEISFRP NDPKSYEAYV LNIVRFLEKY KDSAQRDDMI FEDCGDVPSE PKERGDFNHE RGERKVCRFK LEWLGNCSGL NDETYGYKEG KPCIIIKLNR VLGFKPKPPK NESLETYPVM KYNPNVLPVQ CTGKRDEDKD KVGNVEYFGL GNSPGFPLQY YPYYGKLLQP KYLQPLLAVQ FTNLTMDTEI RIECKAYGEN IGYSEKDRFQ GRFDVKIEVK S; Positive Samples: HepG2, A-549, U-251MG; Cellular Location: Cell membrane, Single-pass type II membrane protein

          靶标信息

          The protein encoded by this gene belongs to the family of Na+/K+ and H+/K+ ATPases beta chain proteins, and to the subfamily of Na+/K+ -ATPases. Na+/K+ -ATPase is an integral membrane protein responsible for establishing and maintaining the electrochemical gradients of Na and K ions across the plasma membrane. These gradients are essential for osmoregulation, for sodium-coupled transport of a variety of organic and inorganic molecules, and for electrical excitability of nerve and muscle. This enzyme is composed of two subunits, a large catalytic subunit (alpha) and a smaller glycoprotein subunit (beta). The beta subunit regulates, through assembly of alpha/beta heterodimers, the number of sodium pumps transported to the plasma membrane. The glycoprotein subunit of Na+/K+ -ATPase is encoded by multiple genes. This gene encodes a beta 1 subunit. Alternatively spliced transcript variants encoding different isoforms have been described, but their biological validity is not known.

          仅用于科研。不用于诊断过程。未经明确授权不得转售。

          篇参考文献 (0)

          您是否在文献中引用过该产品?请点击下方按钮邮件告知我们。
          引用该产品

          生物信息学

          蛋白别名: adenosinetriphosphatase; ATP1B1; ATPase, Na+/K+ transporting, beta 1 polypeptide; Beta 1-subunit of Na(+),K(+)-ATPase; MGC1798; Na+/K+ ATPase Beta; Na, K-ATPase beta-1 polypeptide; OTTHUMP00000032537; OTTHUMP00000032538; Sodium Potassium ATPase; sodium pump subunit beta-1; sodium-potassium ATPase subunit beta 1 (non-catalytic); sodium/potassium ATPase beta subunit; sodium/potassium-dependent ATPase beta-1 subunit; Sodium/potassium-dependent ATPase subunit beta-1; sodium/potassium-transporting ATPase beta-1 chain; Sodium/potassium-transporting ATPase subunit beta-1; unnamed protein product

          查看更多 收起

          基因别名: ATP1B; ATP1B1; Atp4b; Atpb; Atpb-1; NKbeta1

          查看更多 收起

          UniProt ID: (Human) P05026, (Mouse) P14094

          查看更多 收起

          Entrez Gene ID: (Human) 481, (Mouse) 11931

          查看更多 收起

          功能
          ATPase activator activity sodium:potassium-exchanging ATPase activity protein binding protein kinase binding MHC class II protein complex binding protein binding, bridging protein heterodimerization activity ATPase binding transporter activator activity protein C-terminus binding primary active transporter
          参与通路
          response to hypoxia immune system process ion transport potassium ion transport sodium ion transport cellular calcium ion homeostasis cellular sodium ion homeostasis cell adhesion establishment or maintenance of transmembrane electrochemical gradient regulation of gene expression regulation of cardiac muscle contraction by calcium ion signaling metal ion transport cellular potassium ion homeostasis sodium ion transmembrane transport sodium ion export from cell protein transport into plasma membrane raft innate immune response ATP metabolic process protein stabilization relaxation of cardiac muscle cardiac muscle contraction protein localization to plasma membrane membrane repolarization membrane repolarization during cardiac muscle cell action potential cell communication by electrical coupling involved in cardiac conduction hydrogen ion transmembrane transport regulation of calcium ion transmembrane transport positive regulation of sodium ion export from cell positive regulation of potassium ion import potassium ion import across plasma membrane blastocyst development positive regulation of defense response to virus by host transport potassium ion import positive regulation of ATPase activity mitophagy in response to mitochondrial depolarization positive regulation of potassium ion transmembrane transporter activity positive regulation of calcium:sodium antiporter activity
          It has to be done as per old AB suggested Products section.

          Disclaimer

          Close

          Clicking the images or links will redirect you to a website hosted by BenchSci that provides third-party scientific content. Neither the content nor the BenchSci technology and processes for selection have been evaluated by us; we are providing them as-is and without warranty of any kind, including for use or application of the Thermo Fisher Scientific products presented.

          guarantee_icon

          性能保障

          只要您发现Invitrogen抗体在实验中的表现与网站或说明书的所述内容不符,您即可享受免费退换货服务。*

          了解更多
          help_icon

          随时为您服务

          获取常见问题的专家解答,或者直接联系我们的技术专家,咨询应用、设备、常规产品使用问题。

          联系技术支持
          订购 Plus Icon Minus Icon
          • 订单状态查询
          • 订单支持
          • 货号直购
          • 现货供应中心
          • 电子采购
          支持 Plus Icon Minus Icon
          • 帮助&支持
          • 联系我们 - 400 820 8982
          • 技术支持中心
          • 查找文件&证书
          • 报告网站问题
          资源 Plus Icon Minus Icon
          • 学习中心
          • 促销
          • 活动&研讨会
          • 社交媒体
          关于赛默飞 Plus Icon Minus Icon
          • 关于我们
          • 招聘 招聘
          • 投资者关系 投资者关系
          • 新闻 新闻
          • 社会责任 社会责任
          • 商标
          • 政策和通知
          品牌 Plus Icon Minus Icon
          • Thermo Scientific
          • Applied Biosystems
          • Invitrogen
          • Gibco
          • Ion Torrent
          • Unity Lab Services
          • Patheon
          • PPD
          • 服务条款
          • 隐私政策
          • 定价和运输保险政策
          © 2006-2026 Thermo Fisher Scientific Inc. All rights reserved. All trademarks are the property of Thermo Fisher Scientific and its subsidiaries unless otherwise specified.
          China flag icon
          China
          本网站销售的所有产品均不得用于人类或动物之临床诊断或治疗,仅可用于工业或者科研等非医疗目的。
             电子营业执照 | 经营证照公示 | ICP备案号:沪ICP备11003924号 | 沪公网安备 31011502006935号

          Your items have has been added!


          Host server : magellan-search-green-6479c7f679-zb4k5:80/100.66.74.142:80.
          git-commit: b70c0dceb888abc3b0dcebb5bc3a5b8753e7e816
          git-url: https://github.com/thermofisher/magellan-search
          git-branch: release/2.50.0-Offline