Hamburger Menu Button
Thermo Fisher Scientific Logo
登录
没有账号?建立账号 注册
  • 产品
    • 抗体
    • 引物合成
    • GeneArt Gene Synthesis Instant Designer
    • TaqMan Assay and Array Search
    • PCR 设备和耗材
    • 色谱柱和纯化柱
    • 实验室离心机
    • 分子生物学试剂和试剂盒
    • 实验室塑料耗材及用品
    • 查看所有产品分类
  • 应用和技术
    • 色谱
    • 细胞转染和培养
    • 实时荧光定量PCR
    • 质谱
    • 实验室塑料耗材及用品
    • 电子显微镜
    • 蛋白质生物学
    • PCR
    • RNAi
    • 环境
    • 查看所有应用和技术
  • 服务
    • 定制服务
    • 企业级实验室信息化服务
    • 金融&租赁服务
    • 仪器服务
    • OEM和商业供应
    • 培训服务
    • 360° CDMO 和 CRO 服务
    • CDMO 服务
    • 临床试验 CRO 服务
    • Unity Lab Services
    • 查看所有帮助和支持
  • 帮助和支持
    • 学习中心
    • 联系我们
    • 更改国家或地区
    • 查看所有帮助和支持
  • 热门产品
    • TaqMan Real-Time PCR Assays
      TaqMan 实时荧光定量 PCR 试剂盒
    • Antibodies
      抗体
    • Oligos, Primers & Probes
      寡核苷酸、引物、探针
    • GeneArt Gene Synthesis
      GeneArt 基因合成
    • Cell Culture Plastics
      细胞培养耗材
  • Who We Serve
    • 抗体治疗解决方案
    • 细胞与基因治疗解决方案
    • 学术科研
    • 工业与应用
  • 联系我们
  • 货号直购
  • 订单查询
  • 查找文件&证书
Thermo Fisher Scientific Logo

Search

搜索全部或下列指定分类
Search button
          • 联系我们
          • 货号直购
          • 登录
            登录
            没有账号?建立账号 注册
            • 我的账号
            • 订单
            • 会员中心
            • 账单及发票查询
            • 定制产品及项目
          • Primary Antibodies ›
          • Actin Muscle Antibodies

          NeoBiotechnologies

          Actin, Muscle Specific (Muscle Cell Marker) Monoclonal Antibody (MSA/953)

          查看其他15个Actin Muscle抗体

          {{$productOrderCtrl.translations['antibody.pdp.commerceCard.promotion.promotions']}}

          {{$productOrderCtrl.translations['antibody.pdp.commerceCard.promotion.viewpromo']}}

          {{$productOrderCtrl.translations['antibody.pdp.commerceCard.promotion.promocode']}}: {{promo.promoCode}} {{promo.promoTitle}} {{promo.promoDescription}}. {{$productOrderCtrl.translations['antibody.pdp.commerceCard.promotion.learnmore']}}

          说明书
          证书
          实验方案
          问题与答案
          技术支持
          说明书
          证书
          实验方案
          问题与答案
          技术支持
          说明书
          证书
          实验方案
          问题与答案
          技术支持

          Cite Actin, Muscle Specific (Muscle Cell Marker) Monoclonal Antibody (MSA/953)

          Additional Information:
          {{banner.description}}
          {{$ctrl.isSkuNotesCollapsed ? 'View more' : 'View less'}}
          • 抗体检测数据 (7)
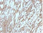
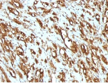
          Actin, Muscle Specific (Muscle Cell Marker) Antibody in Immunohistochemistry (Paraffin) (IHC (P))
          Group 53 Created with Sketch.
          Actin, Muscle Specific (Muscle Cell Marker) Antibody in Immunohistochemistry (Paraffin) (IHC (P))
          Group 53 Created with Sketch.

          图: 1 / 7

          {{ $ctrl.currentElement.advancedVerification.fullName }}
          {{ $ctrl.currentElement.advancedVerification.text }}

          Actin, Muscle Specific (Muscle Cell Marker) Antibody (MSM2-953-P1ABX) in IHC (P)

          Formalin-fixed, paraffin-embedded human Rhabdomyosarcoma stained with Muscle Specific Actin Mouse Monoclonal Antibody (MSA/953). {{ $ctrl.currentElement.advancedVerification.fullName }} 验证信息 View more
          已发表图片由___提供 benchsci-logo
          PMID: {{$ctrl.currentElement.benchSciPubmedId}}
          查看产品

          {{$ctrl.videoDesc}}

          {{$ctrl.videoLongDesc}}

          Actin, Muscle Specific (Muscle Cell Marker) Antibody in Immunohistochemistry (Paraffin) (IHC (P))
          Actin, Muscle Specific (Muscle Cell Marker) Antibody in Immunohistochemistry (Paraffin) (IHC (P))
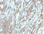
          Actin, Muscle Specific (Muscle Cell Marker) Antibody in Immunohistochemistry (Paraffin) (IHC (P))
          Actin, Muscle Specific (Muscle Cell Marker) Antibody in Immunohistochemistry (Paraffin) (IHC (P))
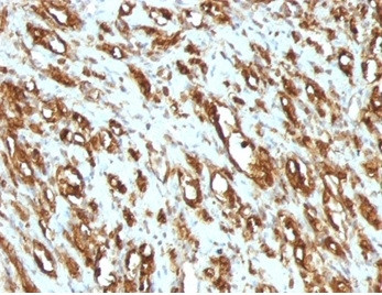
          Actin, Muscle Specific (Muscle Cell Marker) Antibody in Immunohistochemistry (Paraffin) (IHC (P))
          Actin, Muscle Specific (Muscle Cell Marker) Antibody in Immunohistochemistry (Paraffin) (IHC (P))
          Actin, Muscle Specific (Muscle Cell Marker) Antibody in Western Blot (WB)
          Actin, Muscle Specific (Muscle Cell Marker) Monoclonal Antibody (MSA/953)

          产品信息

          MSM2-953-P1ABX

          应用
          建议稀释比
          已发表文章

          免疫印迹 (WB)

          0.5-1.0 µg/mL
          -

          免疫组化(石蜡) (IHC (P))

          Assay-dependent
          -

          免疫组织化学(多聚甲醛固定) (IHC (PFA))

          0.5-2 µg/mL
          -
          产品规格

          种属反应

          Human, Rabbit, Rat

          宿主/亚型

          Mouse / IgG1, kappa

          分类

          Monoclonal

          类型

          Antibody

          克隆号

          MSA/953

          抗原

          Synthetic peptide common among human muscle actins
          3D表位/免疫原

          偶联物

          Unconjugated Unconjugated Unconjugated

          形式

          Liquid

          浓度

          1 mg/mL

          规格

          100 µg

          纯化类型

          Protein A/G

          保存液

          PBS, pH 7.4

          内含物

          no preservative

          保存条件

          -20°C, Avoid Freeze/Thaw Cycles

          运输条件

          Ambient (domestic); Wet ice (international)

          靶标信息

          The product encoded by this gene belongs to the actin family of proteins, which are highly conserved proteins that play a role in cell motility, structure and integrity. Alpha, beta and gamma actin isoforms have been identified, with alpha actins being a major constituent of the contractile apparatus, while beta and gamma actins are involved in the regulation of cell motility. This actin is an alpha actin that is found in skeletal muscle. Mutations in this gene cause nemaline myopathy type 3, congenital myopathy with excess of thin myofilaments, congenital myopathy with cores, and congenital myopathy with fiber-type disproportion, diseases that lead to muscle fiber defects.

          仅用于科研。不用于诊断过程。未经明确授权不得转售。

          篇参考文献 (0)

          您是否在文献中引用过该产品?请点击下方按钮邮件告知我们。
          引用该产品

          生物信息学

          蛋白别名: ACTA1; ACTA2; ACTC; ACTG2; actin alpha 1; actin alpha cardiac 1; actin, alpha 2, smooth muscle, aorta; Actin, alpha cardiac muscle 1; Actin, alpha skeletal muscle; actin, alpha, cardiac 1; Actin, aortic smooth muscle; Actin, cytoplasmic 2; actin, gamma 2, smooth muscle, enteric; actin, gamma, cytoplasmic 1; Actin, gamma-enteric smooth muscle; actin-like protein; alpha-actin; alpha-actin cardiac; Alpha-actin-1; Alpha-actin-2; Alpha-actin-3; Alpha-cardiac actin; alpha-sma; alpha-smooth muscle actin; Cell growth-inhibiting gene 46 protein; cytoplasmic beta-actin; cytoskeletal gamma-actin; epididymis luminal protein 176; Gamma-2-actin; Gamma-actin; gamma-enteric smooth muscle actin; GIG46; nemaline myopathy type 3; RP5-1068B5.2; smooth muscle alpha-actin; Smooth muscle gamma-actin; unnamed protein product

          查看更多 收起

          基因别名: ACT; ACTA; ACTA1; ACTA2; ACTA3; ACTC; ACTC1; ACTE; ACTG; ACTG1; ACTG2; ACTGE; ACTL3; ACTSA; ACTSG; ACTVS; ASD5; ASMA; CFTD; CFTD1; CFTDM; CMD1R; CMH11; CMYO2A; CMYO2B; CMYO2C; CMYP2A; CMYP2B; CMYP2C; DFNA20; DFNA26; GIG46; HEL-176; LVNC4; MMIHS5; MPFD; NEM1; NEM2; NEM3; SHPM; SMDYS; SMGA; VSCM; VSCM1

          查看更多 收起

          UniProt ID: (Human) P68133, (Rabbit) P68135, (Rabbit) P62740, (Human) P62736, (Human) P68032, (Human) P63261, (Human) P63267, (Rat) P68136, (Rat) P62738, (Rat) P68035, (Rat) P63259, (Rat) P63269

          查看更多 收起

          Entrez Gene ID: (Human) 58, (Rabbit) 100009506, (Rabbit) 100009271, (Human) 59, (Human) 70, (Rabbit) 100340339, (Human) 71, (Human) 72, (Rabbit) 100350318, (Rat) 29437, (Rat) 81633, (Rat) 29275, (Rat) 287876, (Rat) 25365

          查看更多 收起

          功能
          nucleotide binding structural constituent of cytoskeleton protein binding ATP binding hydrolase activity myosin binding ADP binding protein kinase binding microfilament motor activity profilin binding ubiquitin protein ligase binding identical protein binding structural constituent of postsynaptic actin cytoskeleton ATPase activity molecular_function actin and actin related protein actin or actin-binding cytoskeletal protein cytoskeletal protein
          参与通路
          muscle contraction positive regulation of gene expression skeletal muscle thin filament assembly skeletal muscle fiber development mesenchyme migration regulation of blood pressure response to virus vascular smooth muscle contraction positive regulation of hepatic stellate cell migration positive regulation of hepatic stellate cell contraction positive regulation of ERK1 and ERK2 cascade cellular response to transforming growth factor beta stimulus juxtaglomerular apparatus development glomerular mesangial cell development positive regulation of hepatic stellate cell activation actin filament organization response to xenobiotic stimulus actin filament-based movement actomyosin structure organization actin-myosin filament sliding negative regulation of apoptotic process response to ethanol cardiac myofibril assembly cardiac muscle tissue morphogenesis heart contraction cardiac muscle contraction cytoplasmic actin-based contraction involved in cell motility angiogenesis morphogenesis of a polarized epithelium axonogenesis positive regulation of cell migration maintenance of blood-brain barrier sarcomere organization cell motility regulation of stress fiber assembly regulation of focal adhesion assembly platelet aggregation cellular response to interferon-gamma positive regulation of wound healing postsynaptic actin cytoskeleton organization tight junction assembly regulation of transepithelial transport regulation of synaptic vesicle endocytosis protein localization to bicellular tight junction response to mechanical stimulus response to extracellular stimulus response to lithium ion cell growth skeletal muscle fiber adaptation response to steroid hormone metabolic process response to drug actin-mediated cell contraction retina homeostasis response to calcium ion biological_process
          It has to be done as per old AB suggested Products section.

          Disclaimer

          Close

          Clicking the images or links will redirect you to a website hosted by BenchSci that provides third-party scientific content. Neither the content nor the BenchSci technology and processes for selection have been evaluated by us; we are providing them as-is and without warranty of any kind, including for use or application of the Thermo Fisher Scientific products presented.

          guarantee_icon

          性能保障

          只要您发现Invitrogen抗体在实验中的表现与网站或说明书的所述内容不符,您即可享受免费退换货服务。*

          了解更多
          help_icon

          随时为您服务

          获取常见问题的专家解答,或者直接联系我们的技术专家,咨询应用、设备、常规产品使用问题。

          联系技术支持
          订购 Plus Icon Minus Icon
          • 订单状态查询
          • 订单支持
          • 货号直购
          • 现货供应中心
          • 电子采购
          支持 Plus Icon Minus Icon
          • 帮助&支持
          • 联系我们 - 400 820 8982
          • 技术支持中心
          • 查找文件&证书
          • 报告网站问题
          资源 Plus Icon Minus Icon
          • 学习中心
          • 促销
          • 活动&研讨会
          • 社交媒体
          关于赛默飞 Plus Icon Minus Icon
          • 关于我们
          • 招聘 招聘
          • 投资者关系 投资者关系
          • 新闻 新闻
          • 社会责任 社会责任
          • 商标
          • 政策和通知
          品牌 Plus Icon Minus Icon
          • Thermo Scientific
          • Applied Biosystems
          • Invitrogen
          • Gibco
          • Ion Torrent
          • Unity Lab Services
          • Patheon
          • PPD
          • 服务条款
          • 隐私政策
          • 定价和运输保险政策
          © 2006-2026 Thermo Fisher Scientific Inc. All rights reserved. All trademarks are the property of Thermo Fisher Scientific and its subsidiaries unless otherwise specified.
          China flag icon
          China
          本网站销售的所有产品均不得用于人类或动物之临床诊断或治疗,仅可用于工业或者科研等非医疗目的。
             电子营业执照 | 经营证照公示 | ICP备案号:沪ICP备11003924号 | 沪公网安备 31011502006935号

          Your items have has been added!


          Host server : magellan-search-green-6479c7f679-jmhj8:80/100.66.74.142:80.
          git-commit: b70c0dceb888abc3b0dcebb5bc3a5b8753e7e816
          git-url: https://github.com/thermofisher/magellan-search
          git-branch: release/2.50.0-Offline