Hamburger Menu Button
Thermo Fisher Scientific Logo
登录
没有账号?建立账号 注册
  • 产品
    • 抗体
    • 引物合成
    • GeneArt Gene Synthesis Instant Designer
    • TaqMan Assay and Array Search
    • PCR 设备和耗材
    • 色谱柱和纯化柱
    • 实验室离心机
    • 分子生物学试剂和试剂盒
    • 实验室塑料耗材及用品
    • 查看所有产品分类
  • 应用和技术
    • 色谱
    • 细胞转染和培养
    • 实时荧光定量PCR
    • 质谱
    • 实验室塑料耗材及用品
    • 电子显微镜
    • 蛋白质生物学
    • PCR
    • RNAi
    • 环境
    • 查看所有应用和技术
  • 服务
    • 定制服务
    • 企业级实验室信息化服务
    • 企业服务
    • 金融&租赁服务
    • 仪器服务
    • OEM和商业供应
    • 培训服务
    • 360° CDMO 和 CRO 服务
    • CDMO 服务
    • 临床试验 CRO 服务
    • 查看所有帮助和支持
  • 帮助和支持
    • 学习中心
    • 联系我们
    • 更改国家或地区
    • 查看所有帮助和支持
  • 热门产品
    • TaqMan Real-Time PCR Assays
      TaqMan 实时荧光定量 PCR 试剂盒
    • Antibodies
      抗体
    • Oligos, Primers & Probes
      寡核苷酸、引物、探针
    • GeneArt Gene Synthesis
      GeneArt 基因合成
    • Cell Culture Plastics
      细胞培养耗材
  • 联系我们
  • 货号直购
  • 订单查询
  • 查找文件&证书
Thermo Fisher Scientific Logo

Search

搜索全部或下列指定分类
Search button
          • 联系我们
          • 货号直购
          • 登录
            登录
            没有账号?建立账号 注册
            • 我的账号
            • 订单
            • 账单及发票查询
            • 定制产品及项目

          Disclaimer

          Clicking the images or links will redirect you to a website hosted by BenchSci that provides third-party scientific content. Neither the content nor the BenchSci technology and processes for selection have been evaluated by us; we are providing them as-is and without warranty of any kind, including for use or application of the Thermo Fisher Scientific products presented.

          • Primary Antibodies ›
          • Amphiregulin Antibodies

          Proteintech

          Amphiregulin Monoclonal Antibody (1A1G9)

          2 篇参考文献
          查看其他15个Amphiregulin抗体

          {{$productOrderCtrl.translations['antibody.pdp.commerceCard.promotion.promotions']}}

          {{$productOrderCtrl.translations['antibody.pdp.commerceCard.promotion.viewpromo']}}

          {{$productOrderCtrl.translations['antibody.pdp.commerceCard.promotion.promocode']}}: {{promo.promoCode}} {{promo.promoTitle}} {{promo.promoDescription}}. {{$productOrderCtrl.translations['antibody.pdp.commerceCard.promotion.learnmore']}}

          说明书
          证书
          实验方案
          问题与答案
          技术支持
          说明书
          证书
          实验方案
          问题与答案
          技术支持
          说明书
          证书
          实验方案
          问题与答案
          技术支持

          Cite Amphiregulin Monoclonal Antibody (1A1G9)

          • 抗体检测数据 (7)
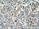
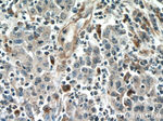
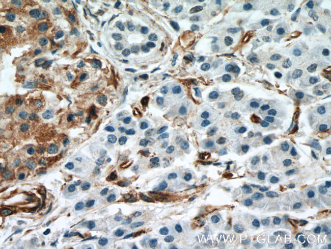
          Amphiregulin Antibody in Immunohistochemistry (Paraffin) (IHC (P))
          Group 53 Created with Sketch.
          Amphiregulin Antibody in Immunohistochemistry (Paraffin) (IHC (P))
          Group 53 Created with Sketch.

          图: 1 / 7

          {{ $ctrl.currentElement.advancedVerification.fullName }}
          {{ $ctrl.currentElement.advancedVerification.text }}

          Amphiregulin Antibody (66433-1-IG) in IHC (P)

          Immunohistochemistry of paraffin-embedded human pancreas cancer tissue slide using 66433-1-IG (Amphiregulin antibody) at dilution of 1:300 (under 40x lens) heat mediated antigen retrieved with Tris-EDTA buffer (pH 9). {{ $ctrl.currentElement.advancedVerification.fullName }} 验证信息 View more
          已发表图片由___提供 benchsci-logo
          PMID: {{$ctrl.currentElement.benchSciPubmedId}}
          查看产品

          {{$ctrl.videoDesc}}

          {{$ctrl.videoLongDesc}}

          Amphiregulin Antibody in Immunohistochemistry (Paraffin) (IHC (P))
          Amphiregulin Antibody in Immunohistochemistry (Paraffin) (IHC (P))
          Amphiregulin Antibody in Immunohistochemistry (Paraffin) (IHC (P))
          Amphiregulin Antibody in Immunohistochemistry (Paraffin) (IHC (P))
          Amphiregulin Antibody in Western Blot (WB)
          Amphiregulin Antibody in Western Blot (WB)
          Amphiregulin Antibody in Western Blot (WB)
          Amphiregulin Monoclonal Antibody (1A1G9)

          产品信息

          66433-1-IG

          应用
          建议稀释比
          已发表文章

          免疫印迹 (WB)

          1:1,000-1:6,000
          查看1篇已发表文章 1篇已发表文章

          免疫组化(石蜡) (IHC (P))

          1:50-1:500
          -

          不适用 (N/A)

          -
          查看1篇已发表文章 1篇已发表文章
          产品规格

          种属反应

          Human, Rat

          宿主/亚型

          Mouse / IgG1

          分类

          Monoclonal

          类型

          Antibody

          克隆号

          1A1G9

          抗原

          Amphiregulin Fusion Protein Ag8907 (25-252 aa encoded by BC009799)
          查看免疫原

          偶联物

          Unconjugated Unconjugated Unconjugated

          形式

          Liquid

          浓度

          1 mg/mL

          纯化类型

          Protein A

          保存液

          PBS, pH 7.3, with 50% glycerol

          内含物

          0.02% sodium azide

          保存条件

          -20°C

          运输条件

          Wet ice (domestic); Dry ice (international)

          产品详细信息

          Immunogen sequence: AGLDLNDTY SGKREPFSGD HSADGFEVTS RSEMSSGSEI SPVSEMPSSS EPSSGADYDY SEEYDNEPQI PGYIVDDSVR VEQVVKPPQN KTESENTSDK PKRKKKGGKN GKNRRNRKKK NPCNAEFQNF CIHGECKYIE HLEAVTCKCQ QEYFGERCGE KSMKTHSMID SSLSKIALAA IAAFMSAVIL TAVAVITVQL RRQYVRKYEG EAEERKKLRQ ENGNVHAIA (25-252 aa encoded by BC009799)

          靶标信息

          Amphiregulin (AR) binds to EGF-Receptor (EGFR) with lower affinity than EGF. The mature secreted form AR is an 84-amino acid residue glycosylated polypeptide growth regulator, which is generated by proteolytic processing of a 252-amino acid transmembrane precursor. Seven different polypeptide ligands, which derive from distinct genes, are capable of binding to the extracellular domain of EGFR. These ligands include EGF, TGFalpha, AR, HB-EGF, cripto-1, epiregulin, and betacellulin. All of these growth factors contain a characteristic EGF-like domain which is defined by 6 evenly spaced cysteine residues that generate 3 loops through the formation of disulfide bonds. AR protein has been localized by immunohistochemistry to the epithelium of the colon, stomach, pancreas, breast, and placenta. AR is reportedly overexpressed in human cancers of breast, colon, stomach, and pancreas.

          仅用于科研。不用于诊断过程。未经明确授权不得转售。

          生物信息学

          蛋白别名: Amphiregulin; amphiregulin B; AR; Colorectum cell-derived growth factor; CRDGF; MGC13647; Schwannoma-derived growth factor; SDGF

          查看更多 收起

          基因别名: AR; AREG; AREGB; CRDGF; SDGF

          查看更多 收起

          UniProt ID: (Human) P15514, (Rat) P24338

          查看更多 收起

          Entrez Gene ID: (Human) 374, (Rat) 29183

          查看更多 收起

          功能
          cytokine activity epidermal growth factor receptor binding protein binding growth factor activity growth factor
          参与通路
          ER to Golgi vesicle-mediated transport epidermal growth factor receptor signaling pathway G-protein coupled receptor signaling pathway cell-cell signaling cell proliferation positive regulation of cell proliferation glial cell proliferation neuron projection development response to estradiol positive regulation of phosphorylation response to hydrogen peroxide response to peptide hormone negative regulation of osteoblast differentiation positive regulation of DNA replication COPII vesicle coating response to glucocorticoid response to cAMP dichotomous subdivision of terminal units involved in mammary gland duct morphogenesis mammary gland branching involved in thelarche mammary gland alveolus development epithelial cell proliferation involved in mammary gland duct elongation central nervous system development response to organic cyclic compound
          It has to be done as per old AB suggested Products section.
          guarantee_icon

          性能保障

          只要您发现Invitrogen抗体在实验中的表现与网站或说明书的所述内容不符,您即可享受免费退换货服务。*

          了解更多
          help_icon

          随时为您服务

          获取常见问题的专家解答,或者直接联系我们的技术专家,咨询应用、设备、常规产品使用问题。

          联系技术支持
          订购 Plus Icon Minus Icon
          • 订单状态查询
          • 订单支持
          • 货号直购
          • 现货供应中心
          • 电子采购
          支持 Plus Icon Minus Icon
          • 帮助&支持
          • 联系我们 - 400 820 8982
          • 技术支持中心
          • 查找文件&证书
          • 报告网站问题
          资源 Plus Icon Minus Icon
          • 学习中心
          • 促销
          • 活动&研讨会
          • 社交媒体
          关于赛默飞 Plus Icon Minus Icon
          • 关于我们
          • 招聘 招聘
          • 投资者关系 投资者关系
          • 新闻 新闻
          • 社会责任 社会责任
          • 商标
          • 政策和通知
          品牌 Plus Icon Minus Icon
          • Thermo Scientific
          • Applied Biosystems
          • Invitrogen
          • Gibco
          • Ion Torrent
          • Patheon
          • PPD
          • 服务条款
          • 隐私政策
          • 定价和运输保险政策
          © 2006-2026 Thermo Fisher Scientific Inc. All rights reserved. All trademarks are the property of Thermo Fisher Scientific and its subsidiaries unless otherwise specified.
          China flag icon
          China
          本网站销售的所有产品均不得用于人类或动物之临床诊断或治疗,仅可用于工业或者科研等非医疗目的。
             电子营业执照 | 经营证照公示 | ICP备案号:沪ICP备11003924号 | 沪公网安备 31011502006935号

          Your items have has been added!


          Host server : magellan-search-blue-55ff9ddd88-sjvkz:80/100.66.74.89:80.
          git-commit: d366ff9721d93504b2ac26a183b2b3e3d0e7d9ec
          git-url: https://github.com/thermofisher/magellan-search
          git-branch: release/2.42.0-2026.01.03-1.0