Hamburger Menu Button
Thermo Fisher Scientific Logo
登录
没有账号?建立账号 注册
  • 产品
    • 抗体
    • 引物合成
    • GeneArt Gene Synthesis Instant Designer
    • TaqMan Assay and Array Search
    • PCR 设备和耗材
    • 色谱柱和纯化柱
    • 实验室离心机
    • 分子生物学试剂和试剂盒
    • 实验室塑料耗材及用品
    • 查看所有产品分类
  • 应用和技术
    • 色谱
    • 细胞转染和培养
    • 实时荧光定量PCR
    • 质谱
    • 实验室塑料耗材及用品
    • 电子显微镜
    • 蛋白质生物学
    • PCR
    • RNAi
    • 环境
    • 查看所有应用和技术
  • 服务
    • 定制服务
    • 企业级实验室信息化服务
    • 金融&租赁服务
    • 仪器服务
    • OEM和商业供应
    • 培训服务
    • 360° CDMO 和 CRO 服务
    • CDMO 服务
    • 临床试验 CRO 服务
    • Unity Lab Services
    • 查看所有帮助和支持
  • 帮助和支持
    • 学习中心
    • 联系我们
    • 更改国家或地区
    • 查看所有帮助和支持
  • 热门产品
    • TaqMan Real-Time PCR Assays
      TaqMan 实时荧光定量 PCR 试剂盒
    • Antibodies
      抗体
    • Oligos, Primers & Probes
      寡核苷酸、引物、探针
    • GeneArt Gene Synthesis
      GeneArt 基因合成
    • Cell Culture Plastics
      细胞培养耗材
  • Who We Serve
    • 抗体治疗解决方案
    • 细胞与基因治疗解决方案
    • 学术科研
    • 工业与应用
  • 联系我们
  • 货号直购
  • 订单查询
  • 查找文件&证书
Thermo Fisher Scientific Logo

Search

搜索全部或下列指定分类
Search button
          • 联系我们
          • 货号直购
          • 登录
            登录
            没有账号?建立账号 注册
            • 我的账号
            • 订单
            • 会员中心
            • 账单及发票查询
            • 定制产品及项目
          • Primary Antibodies ›
          • Androgen Receptor Antibodies

          Invitrogen

          Androgen Receptor Recombinant Rabbit Monoclonal Antibody (HL1049)

          查看其他74个Androgen Receptor抗体

          {{$productOrderCtrl.translations['antibody.pdp.commerceCard.promotion.promotions']}}

          {{$productOrderCtrl.translations['antibody.pdp.commerceCard.promotion.viewpromo']}}

          {{$productOrderCtrl.translations['antibody.pdp.commerceCard.promotion.promocode']}}: {{promo.promoCode}} {{promo.promoTitle}} {{promo.promoDescription}}. {{$productOrderCtrl.translations['antibody.pdp.commerceCard.promotion.learnmore']}}

          说明书
          证书
          实验方案
          问题与答案
          技术支持
          说明书
          证书
          实验方案
          问题与答案
          技术支持
          说明书
          证书
          实验方案
          问题与答案
          技术支持

          Cite Androgen Receptor Recombinant Rabbit Monoclonal Antibody (HL1049)

          Additional Information:
          {{banner.description}}
          {{$ctrl.isSkuNotesCollapsed ? 'View more' : 'View less'}}
          • 抗体检测数据 (6)
          Androgen Receptor Antibody in Immunocytochemistry (ICC/IF)
          Group 53 Created with Sketch.
          Androgen Receptor Antibody in Immunocytochemistry (ICC/IF)
          Group 53 Created with Sketch.

          图: 1 / 6

          {{ $ctrl.currentElement.advancedVerification.fullName }}
          {{ $ctrl.currentElement.advancedVerification.text }}

          Androgen Receptor Antibody (MA568090) in ICC/IF

          Immunocytochemistry analysis of Androgen Receptor in 22RV1 cells were fixed in 4% paraformaldehyde at RT for 15 min. Samples were incubated with Androgen Receptor recombinant monoclonal antibody (Product # MA568090) using a dilution of 1:500 (Green). Alpha Tubulin, a cytoskeleton marker, stained by alpha Tubulin antibody (Red) diluted at 1:1,000. {{ $ctrl.currentElement.advancedVerification.fullName }} 验证信息 View more
          已发表图片由___提供 benchsci-logo
          PMID: {{$ctrl.currentElement.benchSciPubmedId}}
          查看产品

          {{$ctrl.videoDesc}}

          {{$ctrl.videoLongDesc}}

          Androgen Receptor Antibody in Immunocytochemistry (ICC/IF)
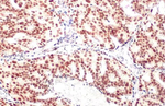
          Androgen Receptor Antibody in Immunohistochemistry (Paraffin) (IHC (P))
          Androgen Receptor Antibody in Immunohistochemistry (Paraffin) (IHC (P))
          Androgen Receptor Antibody in Immunohistochemistry (Paraffin) (IHC (P))
          Androgen Receptor Antibody in Western Blot (WB)
          Androgen Receptor Antibody in Western Blot (WB)

          产品信息

          MA568090

          应用
          建议稀释比
          已发表文章

          免疫印迹 (WB)

          1:500-1:3,000
          -

          免疫组化(石蜡) (IHC (P))

          1:100
          -

          免疫细胞化学 (ICC/IF)

          1:500
          -
          产品规格

          种属反应

          Human, Rat

          宿主/亚型

          Rabbit / IgG

          Expression System

          HEK293 cells

          分类

          Recombinant Monoclonal

          类型

          Antibody

          克隆号

          HL1049

          抗原

          Carrier-protein conjugated synthetic peptide encompassing a sequence within the N-terminus region of human Androgen Receptor. The exact sequence is proprietary.

          偶联物

          Unconjugated Unconjugated Unconjugated

          形式

          Liquid

          浓度

          1 mg/mL

          规格

          100 µg

          纯化类型

          Protein A

          保存液

          PBS

          内含物

          no preservative

          保存条件

          Store at 4°C short term. For long term storage, store at -20°C, avoiding freeze/thaw cycles.

          运输条件

          Ambient (domestic); Wet ice (international)

          靶标信息

          The androgen receptor (AR) is a member of the steroid-hormone receptor superfamily of nuclear receptors. The receptor is more than 90 kDa and has three major functional domains: the N-terminal domain, DNA-binding domain, and the androgen-binding domain. The androgen receptor is a ligand-activated transcription factor that binds active testosterone (T) and dihydrotestosterone (DHT). Upon binding the hormone ligand, the receptor dissociates from accessory proteins, translocates into the nucleus, dimerizes, and then stimulates transcription of androgen responsive genes. The AR signaling pathway plays a key role in development and function of male reproductive organs, including the prostate and epididymis. AR also plays a role in nonreproductive organs, such as muscle, hair follicles, and brain. Androgen Receptor is a phosphoprotein, and also regulates mitogen-activated protein kinase (MAP kinase). The inhibition of the MEK1/2 pathway correlates directly with a change in phosphorylation state of the androgen receptor. Abnormalities in the AR signaling pathway have been linked to a number of diseases, including prostate cancer, Kennedy's disease, and male infertility. Mutations in this gene are associated with complete androgen insensitivity (CAIS).

          仅用于科研。不用于诊断过程。未经明确授权不得转售。

          篇参考文献 (0)

          您是否在文献中引用过该产品?请点击下方按钮邮件告知我们。
          引用该产品

          生物信息学

          蛋白别名: Androgen receptor; androgen receptor (Testicular feminization), same as Tfm; androgen-receptor; AR-A; Dihydrotestosterone receptor; nuclear receptor; Nuclear receptor subfamily 3 group C member 4; nuclear receptor; AR3 is also known as AR-V7; RP11-383C12.1; splice variant 8; steroid hormone receptor; steroid hormone receptor; AR; Variant AR45

          查看更多 收起

          基因别名: AIS; Andr; AR; AR8; DHTR; HUMARA; HYSP1; KD; NR3C4; SBMA; SMAX1; TFM

          查看更多 收起

          UniProt ID: (Human) P10275, (Rat) P15207

          查看更多 收起

          Entrez Gene ID: (Human) 367, (Rat) 24208

          查看更多 收起

          功能
          transcription regulatory region sequence-specific DNA binding RNA polymerase II regulatory region sequence-specific DNA binding RNA polymerase II core promoter proximal region sequence-specific DNA binding RNA polymerase II core promoter sequence-specific DNA binding RNA polymerase II transcription factor activity, sequence-specific DNA binding RNA polymerase II general transcription initiation factor binding transcription coactivator binding transcriptional activator activity, RNA polymerase II transcription regulatory region sequence-specific binding DNA binding chromatin binding transcription factor activity, sequence-specific DNA binding steroid hormone receptor activity RNA polymerase II transcription factor activity, ligand-activated sequence-specific DNA binding receptor binding steroid binding androgen binding protein binding beta-catenin binding zinc ion binding lipid binding enzyme binding estrogen response element binding sequence-specific DNA binding metal ion binding ATPase binding binding, bridging RNA polymerase II sequence-specific DNA binding transcription factor binding POU domain binding molecular condensate scaffold activity sequence-specific double-stranded DNA binding transcriptional activator activity, RNA polymerase II core promoter proximal region sequence-specific binding RNA polymerase II transcription factor binding androgen receptor activity transcription factor binding protein domain specific binding transcription regulatory region DNA binding androgen receptor binding
          参与通路
          negative regulation of transcription from RNA polymerase II promoter MAPK cascade in utero embryonic development regulation of systemic arterial blood pressure epithelial cell morphogenesis regulation of transcription, DNA-templated regulation of transcription from RNA polymerase II promoter transcription from RNA polymerase II promoter signal transduction cell-cell signaling spermatogenesis single fertilization positive regulation of cell proliferation negative regulation of cell proliferation male gonad development fertilization gene expression regulation of gene expression positive regulation of gene expression male somatic sex determination intracellular estrogen receptor signaling pathway androgen receptor signaling pathway intracellular receptor signaling pathway positive regulation of intracellular estrogen receptor signaling pathway Leydig cell differentiation response to testosterone multicellular organism growth positive regulation of MAPK cascade positive regulation of insulin-like growth factor receptor signaling pathway positive regulation of cell differentiation positive regulation of integrin biosynthetic process positive regulation of transcription, DNA-templated positive regulation of transcription from RNA polymerase II promoter positive regulation of transcription from RNA polymerase III promoter insulin-like growth factor receptor signaling pathway reproductive structure development regulation of developmental growth organ formation male genitalia morphogenesis epithelial cell proliferation negative regulation of epithelial cell proliferation prostate induction morphogenesis of an epithelial fold lateral sprouting involved in mammary gland duct morphogenesis regulation of prostatic bud formation prostate gland growth prostate gland epithelium morphogenesis epithelial cell differentiation involved in prostate gland development tertiary branching involved in mammary gland duct morphogenesis mammary gland alveolus development positive regulation of epithelial cell proliferation involved in prostate gland development reproductive system development cellular response to steroid hormone stimulus cellular response to estrogen stimulus cellular response to testosterone stimulus seminiferous tubule development membraneless organelle assembly positive regulation of pri-miRNA transcription from RNA polymerase II promoter regulation of protein localization to plasma membrane negative regulation of extrinsic apoptotic signaling pathway transcription, DNA-templated cellular process response to insulin positive regulation of phosphorylation steroid hormone mediated signaling pathway negative regulation of integrin biosynthetic process male sex differentiation regulation of catalytic activity positive regulation of NF-kappaB transcription factor activity protein oligomerization activation of prostate induction by androgen receptor signaling pathway regulation of establishment of protein localization to plasma membrane
          It has to be done as per old AB suggested Products section.

          Disclaimer

          Close

          Clicking the images or links will redirect you to a website hosted by BenchSci that provides third-party scientific content. Neither the content nor the BenchSci technology and processes for selection have been evaluated by us; we are providing them as-is and without warranty of any kind, including for use or application of the Thermo Fisher Scientific products presented.

          guarantee_icon

          性能保障

          只要您发现Invitrogen抗体在实验中的表现与网站或说明书的所述内容不符,您即可享受免费退换货服务。*

          了解更多
          help_icon

          随时为您服务

          获取常见问题的专家解答,或者直接联系我们的技术专家,咨询应用、设备、常规产品使用问题。

          联系技术支持
          订购 Plus Icon Minus Icon
          • 订单状态查询
          • 订单支持
          • 货号直购
          • 现货供应中心
          • 电子采购
          支持 Plus Icon Minus Icon
          • 帮助&支持
          • 联系我们 - 400 820 8982
          • 技术支持中心
          • 查找文件&证书
          • 报告网站问题
          资源 Plus Icon Minus Icon
          • 学习中心
          • 促销
          • 活动&研讨会
          • 社交媒体
          关于赛默飞 Plus Icon Minus Icon
          • 关于我们
          • 招聘 招聘
          • 投资者关系 投资者关系
          • 新闻 新闻
          • 社会责任 社会责任
          • 商标
          • 政策和通知
          品牌 Plus Icon Minus Icon
          • Thermo Scientific
          • Applied Biosystems
          • Invitrogen
          • Gibco
          • Ion Torrent
          • Unity Lab Services
          • Patheon
          • PPD
          • 服务条款
          • 隐私政策
          • 定价和运输保险政策
          © 2006-2026 Thermo Fisher Scientific Inc. All rights reserved. All trademarks are the property of Thermo Fisher Scientific and its subsidiaries unless otherwise specified.
          China flag icon
          China
          本网站销售的所有产品均不得用于人类或动物之临床诊断或治疗,仅可用于工业或者科研等非医疗目的。
             电子营业执照 | 经营证照公示 | ICP备案号:沪ICP备11003924号 | 沪公网安备 31011502006935号

          Your items have has been added!


          Host server : magellan-search-green-6479c7f679-zb4k5:80/100.66.74.142:80.
          git-commit: b70c0dceb888abc3b0dcebb5bc3a5b8753e7e816
          git-url: https://github.com/thermofisher/magellan-search
          git-branch: release/2.50.0-Offline