Hamburger Menu Button
Thermo Fisher Scientific Logo
登录
没有账号?建立账号 注册
  • 产品
    • 抗体
    • 引物合成
    • GeneArt Gene Synthesis Instant Designer
    • TaqMan Assay and Array Search
    • PCR 设备和耗材
    • 色谱柱和纯化柱
    • 实验室离心机
    • 分子生物学试剂和试剂盒
    • 实验室塑料耗材及用品
    • 查看所有产品分类
  • 应用和技术
    • 色谱
    • 细胞转染和培养
    • 实时荧光定量PCR
    • 质谱
    • 实验室塑料耗材及用品
    • 电子显微镜
    • 蛋白质生物学
    • PCR
    • RNAi
    • 环境
    • 查看所有应用和技术
  • 服务
    • 定制服务
    • 企业级实验室信息化服务
    • 金融&租赁服务
    • 仪器服务
    • OEM和商业供应
    • 培训服务
    • 360° CDMO 和 CRO 服务
    • CDMO 服务
    • 临床试验 CRO 服务
    • Unity Lab Services
    • 查看所有帮助和支持
  • 帮助和支持
    • 学习中心
    • 联系我们
    • 更改国家或地区
    • 查看所有帮助和支持
  • 热门产品
    • TaqMan Real-Time PCR Assays
      TaqMan 实时荧光定量 PCR 试剂盒
    • Antibodies
      抗体
    • Oligos, Primers & Probes
      寡核苷酸、引物、探针
    • GeneArt Gene Synthesis
      GeneArt 基因合成
    • Cell Culture Plastics
      细胞培养耗材
  • Who We Serve
    • 抗体治疗解决方案
    • 细胞与基因治疗解决方案
    • 学术科研
    • 工业与应用
  • 联系我们
  • 货号直购
  • 订单查询
  • 查找文件&证书
Thermo Fisher Scientific Logo

Search

搜索全部或下列指定分类
Search button
          • 联系我们
          • 货号直购
          • 登录
            登录
            没有账号?建立账号 注册
            • 我的账号
            • 订单
            • 会员中心
            • 账单及发票查询
            • 定制产品及项目
          • Primary Antibodies ›
          • Angiotensin I-VII Antibodies

          Invitrogen

          Angiotensin I-VII Monoclonal Antibody (A4)

          {{$productOrderCtrl.translations['antibody.pdp.commerceCard.promotion.promotions']}}

          {{$productOrderCtrl.translations['antibody.pdp.commerceCard.promotion.viewpromo']}}

          {{$productOrderCtrl.translations['antibody.pdp.commerceCard.promotion.promocode']}}: {{promo.promoCode}} {{promo.promoTitle}} {{promo.promoDescription}}. {{$productOrderCtrl.translations['antibody.pdp.commerceCard.promotion.learnmore']}}

          说明书
          证书
          实验方案
          问题与答案
          技术支持
          说明书
          证书
          实验方案
          问题与答案
          技术支持
          说明书
          证书
          实验方案
          问题与答案
          技术支持

          Cite Angiotensin I-VII Monoclonal Antibody (A4)

          Additional Information:
          {{banner.description}}
          {{$ctrl.isSkuNotesCollapsed ? 'View more' : 'View less'}}
          • 抗体检测数据 (3)
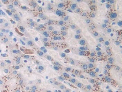
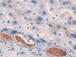
          Angiotensin I-VII Antibody in Immunohistochemistry (Paraffin) (IHC (P))
          Group 53 Created with Sketch.
          Angiotensin I-VII Antibody in Immunohistochemistry (Paraffin) (IHC (P))
          Group 53 Created with Sketch.

          图: 1 / 3

          {{ $ctrl.currentElement.advancedVerification.fullName }}
          {{ $ctrl.currentElement.advancedVerification.text }}

          Angiotensin I-VII Antibody (MA565967) in IHC (P)

          Immunohistochemistry analysis of Angiotensin I-VII in paraffin-embedded Human Liver cancer tissue. Samples were incubated with Angiotensin I-VII Monoclonal (Product # MA565967) antibody using a dilution of 40 µg/mL, followed by HRP-Linked Caprine Anti-Mouse IgG (2 µg/mL) and DAB. {{ $ctrl.currentElement.advancedVerification.fullName }} 验证信息 View more
          已发表图片由___提供 benchsci-logo
          PMID: {{$ctrl.currentElement.benchSciPubmedId}}
          查看产品

          {{$ctrl.videoDesc}}

          {{$ctrl.videoLongDesc}}

          Angiotensin I-VII Antibody in Immunohistochemistry (Paraffin) (IHC (P))
          Angiotensin I-VII Antibody in Immunohistochemistry (Paraffin) (IHC (P))
          Angiotensin I-VII Antibody in Western Blot (WB)
          Angiotensin I-VII Monoclonal Antibody (A4)

          产品信息

          MA565967

          应用
          建议稀释比
          已发表文章

          免疫印迹 (WB)

          0.01-2 µg/mL
          -

          免疫组化(石蜡) (IHC (P))

          5-40 µg/mL
          -

          免疫细胞化学 (ICC/IF)

          5-20 µg/mL
          -
          产品规格

          种属反应

          Human, Rat

          宿主/亚型

          Mouse / IgG2a, lambda

          分类

          Monoclonal

          类型

          Antibody

          克隆号

          A4

          抗原

          OVA Conjugated Angiotensin 1-7 (Ang1-7) (Asp34-Pro40)
          3D表位/免疫原

          偶联物

          Unconjugated Unconjugated Unconjugated

          形式

          Liquid

          浓度

          1 mg/mL

          规格

          200 µg

          纯化类型

          Protein A/G

          保存液

          PBS, pH 7.4, with 50% glycerol

          内含物

          0.05% ProClin 300

          保存条件

          Store at 4°C short term. For long term storage, store at -20°C, avoiding freeze/thaw cycles.

          运输条件

          Ambient (domestic); Wet ice (international)

          RRID

          AB_3715115

          靶标信息

          Angiotensin I through VII are bioactive peptides that form part of the reninangiotensin system (RAS), integral to regulating cardiovascular, renal, and fluid electrolytes. Angiotensin I, an inactive precursor, is converted into Angiotensin II, a potent vasoconstrictor, which in turn can be further processed into smaller peptides, such as Angiotensin III, IV, and Angiotensin(17). Angiotensin(17) is particularly noteworthy for its beneficial roles in countering the effects of Angiotensin II; it acts via the Mas receptor and is known for its protective effects against vascular aging. It reduces inflammation, oxidative stress, and modulates pathways related to prostaglandin, bradykinin, and nitric oxide. These peptides play diverse roles in maintaining blood pressure and hydroelectrolyte balance, alongside influencing cardiac and vascular functions. Research continues to elucidate the distinct physiological roles of each peptide, particularly the interplay between the traditional angiotensin pathways and the more recently understood actions mediated by angiotensin(17).

          仅用于科研。不用于诊断过程。未经明确授权不得转售。

          篇参考文献 (0)

          您是否在文献中引用过该产品?请点击下方按钮邮件告知我们。
          引用该产品

          生物信息学

          蛋白别名: ACE-related carboxypeptidase; ACE2; ACEH; alpha-1 antiproteinase, antitrypsin; Angiotensin 1-7; angiotensin I; angiotensin I converting enzyme (peptidyl-dipeptidase A) 2; angiotensin I converting enzyme 2; Angiotensin I-VII; angiotensin II; Angiotensin-converting enzyme 2; Angiotensin-converting enzyme homolog; Angiotensin-converting enzyme-related carboxypeptidase; Angiotensinogen; angiotensinogen (PAT); anigotensin-converting enzyme-related carboxypeptidase; fetal-liver predominant transporter 1; Metalloprotease MPROT15; peptidyl-dipeptidase A; pre-angiotensinogen; preangiotensinogen; renal angiotensin-converting enzyme 2; sACE2; N-terminally-truncated natural isoform; serine (or cysteine) proteinase inhibitor; Serpin A8; serpin peptidase inhibitor, clade A, member 8; unnamed protein product; zinc metalloprotease

          查看更多 收起

          基因别名: ACE2; ACEH; AGT; Ang; AngII; ANHU; ANRT; hFLT1; PAT; SERPINA8; UNQ868/PRO1885

          查看更多 收起

          UniProt ID: (Human) Q9BYF1, (Human) P01019, (Rat) Q5EGZ1, (Rat) P01015

          查看更多 收起

          Entrez Gene ID: (Human) 59272, (Human) 183, (Rat) 302668, (Rat) 24179

          查看更多 收起

          功能
          virus receptor activity endopeptidase activity carboxypeptidase activity metallocarboxypeptidase activity protein binding peptidase activity metallopeptidase activity peptidyl-dipeptidase activity zinc ion binding hydrolase activity identical protein binding metal ion binding transporter activator activity serine-type endopeptidase inhibitor activity hormone activity growth factor activity superoxide-generating NADPH oxidase activator activity sodium channel regulator activity type 1 angiotensin receptor binding type 2 angiotensin receptor binding receptor agonist activity glycoprotein binding angiotensin receptor binding metalloprotease protease inhibitor
          参与通路
          negative regulation of transcription from RNA polymerase II promoter regulation of cytokine production angiotensin maturation angiotensin-mediated drinking behavior regulation of systemic arterial blood pressure by renin-angiotensin proteolysis tryptophan transport viral life cycle receptor-mediated endocytosis of virus by host cell viral translation regulation of vasoconstriction regulation of cell proliferation ceramide biosynthetic process viral entry into host cell receptor-mediated virion attachment to host cell negative regulation of smooth muscle cell proliferation regulation of inflammatory response positive regulation of amino acid transport maternal process involved in female pregnancy positive regulation of cardiac muscle contraction membrane fusion negative regulation of ERK1 and ERK2 cascade regulation of blood vessel diameter entry receptor-mediated virion attachment to host cell positive regulation of gap junction assembly regulation of cardiac conduction positive regulation of L-proline import across plasma membrane positive regulation of reactive oxygen species metabolic process regulation of cell growth positive regulation of cytokine production kidney development blood vessel remodeling regulation of blood volume by renin-angiotensin renin-angiotensin regulation of aldosterone production regulation of renal output by angiotensin regulation of blood vessel size by renin-angiotensin renal system process G-protein coupled receptor signaling pathway G-protein coupled receptor signaling pathway coupled to cGMP nucleotide second messenger phospholipase C-activating G-protein coupled receptor signaling pathway cell-cell signaling regulation of blood pressure positive regulation of endothelial cell migration positive regulation of cardiac muscle hypertrophy negative regulation of gene expression positive regulation of epithelial to mesenchymal transition positive regulation of macrophage derived foam cell differentiation response to muscle activity involved in regulation of muscle adaptation positive regulation of superoxide anion generation low-density lipoprotein particle remodeling regulation of renal sodium excretion nitric oxide-cGMP-mediated signaling pathway angiotensin-activated signaling pathway vasoconstriction regulation of apoptotic process proteasome-mediated ubiquitin-dependent protein catabolic process negative regulation of MAP kinase activity positive regulation of epidermal growth factor receptor signaling pathway positive regulation of transcription, DNA-templated positive regulation of fibroblast proliferation positive regulation of inflammatory response negative regulation of neurotrophin TRK receptor signaling pathway positive regulation of protein kinase B signaling renal sodium ion absorption positive regulation of branching involved in ureteric bud morphogenesis positive regulation of cholesterol metabolic process positive regulation of angiotensin-activated signaling pathway regulation of extracellular matrix assembly positive regulation of extracellular matrix assembly negative regulation of sodium ion transmembrane transport positive regulation of membrane hyperpolarization positive regulation of pri-miRNA transcription from RNA polymerase II promoter response to angiotensin positive regulation of extrinsic apoptotic signaling pathway response to virus receptor biosynthetic process ovarian follicle rupture blood vessel development branching involved in ureteric bud morphogenesis regulation of systemic arterial blood pressure by circulatory renin-angiotensin angiotensin mediated vasoconstriction involved in regulation of systemic arterial blood pressure renal response to blood flow involved in circulatory renin-angiotensin regulation of systemic arterial blood pressure brain renin-angiotensin system positive regulation of extracellular matrix constituent secretion cellular sodium ion homeostasis cell-matrix adhesion cell surface receptor signaling pathway activation of phospholipase C activity activation of NF-kappaB-inducing kinase activity female pregnancy aging excretion establishment of blood-nerve barrier positive regulation of cell proliferation negative regulation of cell proliferation response to cold response to salt stress regulation of gene expression positive regulation of activation of JAK2 kinase activity positive regulation of gene expression positive regulation of cholesterol esterification negative regulation of endopeptidase activity regulation of norepinephrine secretion positive regulation of phosphatidylinositol 3-kinase signaling artery smooth muscle contraction negative regulation of angiogenesis extracellular matrix organization negative regulation of cell growth peristalsis positive regulation of cellular protein metabolic process positive regulation of peptidyl-serine phosphorylation negative regulation of tissue remodeling catenin import into nucleus positive regulation of renal sodium excretion positive regulation of multicellular organism growth vasodilation hormone metabolic process drinking behavior positive regulation of catalytic activity positive regulation of MAPK cascade negative regulation of neuron apoptotic process positive regulation of nitric oxide biosynthetic process positive regulation of fatty acid biosynthetic process positive regulation of blood pressure positive regulation of vasodilation positive regulation of organ growth astrocyte activation fibroblast proliferation regulation of long-term neuronal synaptic plasticity smooth muscle cell proliferation cytokine secretion positive regulation of peptidyl-tyrosine phosphorylation smooth muscle cell differentiation stress-activated MAPK cascade regulation of calcium ion transport regulation of transmission of nerve impulse cell growth involved in cardiac muscle cell development positive regulation of protein tyrosine kinase activity ERK1 and ERK2 cascade uterine smooth muscle contraction cellular response to mechanical stimulus positive regulation of protein kinase C activity
          It has to be done as per old AB suggested Products section.

          Disclaimer

          Close

          Clicking the images or links will redirect you to a website hosted by BenchSci that provides third-party scientific content. Neither the content nor the BenchSci technology and processes for selection have been evaluated by us; we are providing them as-is and without warranty of any kind, including for use or application of the Thermo Fisher Scientific products presented.

          guarantee_icon

          性能保障

          只要您发现Invitrogen抗体在实验中的表现与网站或说明书的所述内容不符,您即可享受免费退换货服务。*

          了解更多
          help_icon

          随时为您服务

          获取常见问题的专家解答,或者直接联系我们的技术专家,咨询应用、设备、常规产品使用问题。

          联系技术支持
          订购 Plus Icon Minus Icon
          • 订单状态查询
          • 订单支持
          • 货号直购
          • 现货供应中心
          • 电子采购
          支持 Plus Icon Minus Icon
          • 帮助&支持
          • 联系我们 - 400 820 8982
          • 技术支持中心
          • 查找文件&证书
          • 报告网站问题
          资源 Plus Icon Minus Icon
          • 学习中心
          • 促销
          • 活动&研讨会
          • 社交媒体
          关于赛默飞 Plus Icon Minus Icon
          • 关于我们
          • 招聘 招聘
          • 投资者关系 投资者关系
          • 新闻 新闻
          • 社会责任 社会责任
          • 商标
          • 政策和通知
          品牌 Plus Icon Minus Icon
          • Thermo Scientific
          • Applied Biosystems
          • Invitrogen
          • Gibco
          • Ion Torrent
          • Unity Lab Services
          • Patheon
          • PPD
          • 服务条款
          • 隐私政策
          • 定价和运输保险政策
          © 2006-2026 Thermo Fisher Scientific Inc. All rights reserved. All trademarks are the property of Thermo Fisher Scientific and its subsidiaries unless otherwise specified.
          China flag icon
          China
          本网站销售的所有产品均不得用于人类或动物之临床诊断或治疗,仅可用于工业或者科研等非医疗目的。
             电子营业执照 | 经营证照公示 | ICP备案号:沪ICP备11003924号 | 沪公网安备 31011502006935号

          Your items have has been added!


          Host server : magellan-search-green-6479c7f679-zb4k5:80/100.66.74.142:80.
          git-commit: b70c0dceb888abc3b0dcebb5bc3a5b8753e7e816
          git-url: https://github.com/thermofisher/magellan-search
          git-branch: release/2.50.0-Offline