Hamburger Menu Button
Thermo Fisher Scientific Logo
登录
没有账号?建立账号 注册
  • 产品
    • 抗体
    • 引物合成
    • GeneArt Gene Synthesis Instant Designer
    • TaqMan Assay and Array Search
    • PCR 设备和耗材
    • 色谱柱和纯化柱
    • 实验室离心机
    • 分子生物学试剂和试剂盒
    • 实验室塑料耗材及用品
    • 查看所有产品分类
  • 应用和技术
    • 色谱
    • 细胞转染和培养
    • 实时荧光定量PCR
    • 质谱
    • 实验室塑料耗材及用品
    • 电子显微镜
    • 蛋白质生物学
    • PCR
    • RNAi
    • 环境
    • 查看所有应用和技术
  • 服务
    • 定制服务
    • 企业级实验室信息化服务
    • 企业服务
    • 金融&租赁服务
    • 仪器服务
    • OEM和商业供应
    • 培训服务
    • 360° CDMO 和 CRO 服务
    • CDMO 服务
    • 临床试验 CRO 服务
    • 查看所有帮助和支持
  • 帮助和支持
    • 学习中心
    • 联系我们
    • 更改国家或地区
    • 查看所有帮助和支持
  • 热门产品
    • TaqMan Real-Time PCR Assays
      TaqMan 实时荧光定量 PCR 试剂盒
    • Antibodies
      抗体
    • Oligos, Primers & Probes
      寡核苷酸、引物、探针
    • GeneArt Gene Synthesis
      GeneArt 基因合成
    • Cell Culture Plastics
      细胞培养耗材
  • 联系我们
  • 货号直购
  • 订单查询
  • 查找文件&证书
Thermo Fisher Scientific Logo

Search

搜索全部或下列指定分类
Search button
          • 联系我们
          • 货号直购
          • 登录
            登录
            没有账号?建立账号 注册
            • 我的账号
            • 订单
            • 账单及发票查询
            • 定制产品及项目

          Disclaimer

          Clicking the images or links will redirect you to a website hosted by BenchSci that provides third-party scientific content. Neither the content nor the BenchSci technology and processes for selection have been evaluated by us; we are providing them as-is and without warranty of any kind, including for use or application of the Thermo Fisher Scientific products presented.

          • Primary Antibodies ›
          • Annexin A1 Antibodies

          Bioss

          Annexin A1 Polyclonal Antibody

          查看其他60个Annexin A1抗体

          {{$productOrderCtrl.translations['antibody.pdp.commerceCard.promotion.promotions']}}

          {{$productOrderCtrl.translations['antibody.pdp.commerceCard.promotion.viewpromo']}}

          {{$productOrderCtrl.translations['antibody.pdp.commerceCard.promotion.promocode']}}: {{promo.promoCode}} {{promo.promoTitle}} {{promo.promoDescription}}. {{$productOrderCtrl.translations['antibody.pdp.commerceCard.promotion.learnmore']}}

          说明书
          证书
          实验方案
          问题与答案
          技术支持
          说明书
          证书
          实验方案
          问题与答案
          技术支持
          说明书
          证书
          实验方案
          问题与答案
          技术支持

          Cite Annexin A1 Polyclonal Antibody

          • 抗体检测数据 (1)
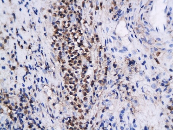
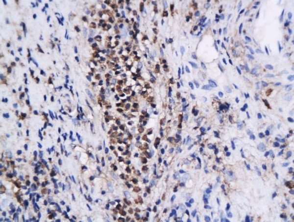
          Annexin A1 Antibody in Immunohistochemistry (Paraffin) (IHC (P))
          Group 53 Created with Sketch.
          Annexin A1 Antibody in Immunohistochemistry (Paraffin) (IHC (P))
          Group 53 Created with Sketch.

          图: 1 / 1

          {{ $ctrl.currentElement.advancedVerification.fullName }}
          {{ $ctrl.currentElement.advancedVerification.text }}

          Annexin A1 Antibody (BS-1562R) in IHC (P)

          Formalin-fixed and paraffin embedded human cervical intraepithelial xenografts labeled with Anti-Annexin A1 Polyclonal Antibody, Unconjugated (bs-1562R) followed by conjugation to the secondary antibody and DAB staining. {{ $ctrl.currentElement.advancedVerification.fullName }} 验证信息 View more
          已发表图片由___提供 benchsci-logo
          PMID: {{$ctrl.currentElement.benchSciPubmedId}}
          查看产品

          {{$ctrl.videoDesc}}

          {{$ctrl.videoLongDesc}}

          Annexin A1 Antibody in Immunohistochemistry (Paraffin) (IHC (P))
          Annexin A1 Polyclonal Antibody

          产品信息

          BS-1562R

          应用
          建议稀释比
          已发表文章

          免疫印迹 (WB)

          1:500-1:2,000
          -

          免疫组化(石蜡) (IHC (P))

          1:100-1:500
          -

          免疫组化(冰冻) (IHC (F))

          1:100-1:500
          -

          免疫细胞化学 (ICC/IF)

          1:50-1:200
          -

          酶联免疫吸附实验 (ELISA)

          1:500-1:1,000
          -
          产品规格

          种属反应

          Human, Mouse, Rat

          宿主/亚型

          Rabbit / IgG

          分类

          Polyclonal

          类型

          Antibody

          抗原

          KLH conjugated synthetic peptide derived from human Annexin A1, amino acids 281-346.
          查看免疫原

          偶联物

          Unconjugated Unconjugated Unconjugated

          形式

          Liquid

          浓度

          1 mg/mL

          纯化类型

          Protein A

          保存液

          0.01M TBS, pH 7.4, with 50% glycerol, 1% BSA

          内含物

          0.02% ProClin 300

          保存条件

          -20°C

          运输条件

          Ambient (domestic); Wet ice (international)

          靶标信息

          Annexin I belongs to a family of Ca (2+) -dependent phospholipid binding proteins that are preferentially located on the cytosolic face of the plasma membrane. Annexin I has a molecular mass of 40 kDa, with phospholipase A2 inhibitory activity. Since phospholipase A2 is required for the biosynthesis of the potent mediators of inflammation, prostaglandins and leukotrienes, annexin I may have potential anti-inflammatory activity.

          仅用于科研。不用于诊断过程。未经明确授权不得转售。

          篇参考文献 (0)

          您是否在文献中引用过该产品?请点击下方按钮邮件告知我们。
          引用该产品

          生物信息学

          蛋白别名: ANAX1; Annexin 1 (p35) (Lipocortin 1); Annexin A1; Annexin I; annexin I (lipocortin I); Annexin-1; Calpactin II; Calpactin-2; Chromobindin-9; lipocortin 1; Lipocortin I; p35; Phospholipase A2 inhibitory protein; RP11-71A24.1

          查看更多 收起

          基因别名: Anx-1; Anx-A1; ANX1; ANXA1; C430014K04Rik; Lpc-1; LPC1; p35

          查看更多 收起

          UniProt ID: (Human) P04083, (Mouse) P10107, (Rat) P07150

          查看更多 收起

          Entrez Gene ID: (Human) 301, (Mouse) 16952, (Rat) 25380

          查看更多 收起

          功能
          single-stranded DNA binding single-stranded RNA binding helicase activity receptor binding structural molecule activity calcium ion binding protein binding phospholipid binding calcium-dependent phospholipid binding phospholipase A2 inhibitor activity protein binding, bridging double-stranded DNA-dependent ATPase activity annealing helicase activity protein homodimerization activity calcium-dependent protein binding cadherin binding involved in cell-cell adhesion phospholipase inhibitor activity calcium-binding protein
          参与通路
          DNA strand renaturation neutrophil homeostasis adaptive immune response monocyte chemotaxis regulation of leukocyte migration phagocytosis inflammatory response signal transduction cell surface receptor signaling pathway G-protein coupled receptor signaling pathway, coupled to cyclic nucleotide second messenger regulation of cell shape response to X-ray myoblast migration involved in skeletal muscle regeneration peptide cross-linking insulin secretion keratinocyte differentiation prostate gland development endocrine pancreas development positive regulation of vesicle fusion positive regulation of prostaglandin biosynthetic process actin cytoskeleton reorganization response to estradiol DNA duplex unwinding regulation of interleukin-1 production positive regulation of interleukin-2 production positive regulation of neutrophil apoptotic process DNA rewinding gliogenesis positive regulation of T cell proliferation response to drug negative regulation of apoptotic process response to peptide hormone estrous cycle innate immune response positive regulation of T-helper 1 cell differentiation negative regulation of T-helper 2 cell differentiation negative regulation of exocytosis alpha-beta T cell differentiation regulation of hormone secretion arachidonic acid secretion regulation of inflammatory response cellular response to hydrogen peroxide hepatocyte differentiation prolactin secretion response to interleukin-1 cellular response to glucocorticoid stimulus granulocyte chemotaxis positive regulation of wound healing neutrophil clearance positive regulation of G1/S transition of mitotic cell cycle negative regulation of phospholipase A2 activity negative regulation of interleukin-8 secretion regulation of cell proliferation positive regulation of apoptotic process negative regulation of protein secretion response to hormone response to organic cyclic compound response to corticosteroid response to glucocorticoid
          It has to be done as per old AB suggested Products section.
          guarantee_icon

          性能保障

          只要您发现Invitrogen抗体在实验中的表现与网站或说明书的所述内容不符,您即可享受免费退换货服务。*

          了解更多
          help_icon

          随时为您服务

          获取常见问题的专家解答,或者直接联系我们的技术专家,咨询应用、设备、常规产品使用问题。

          联系技术支持
          订购 Plus Icon Minus Icon
          • 订单状态查询
          • 订单支持
          • 货号直购
          • 现货供应中心
          • 电子采购
          支持 Plus Icon Minus Icon
          • 帮助&支持
          • 联系我们 - 400 820 8982
          • 技术支持中心
          • 查找文件&证书
          • 报告网站问题
          资源 Plus Icon Minus Icon
          • 学习中心
          • 促销
          • 活动&研讨会
          • 社交媒体
          关于赛默飞 Plus Icon Minus Icon
          • 关于我们
          • 招聘 招聘
          • 投资者关系 投资者关系
          • 新闻 新闻
          • 社会责任 社会责任
          • 商标
          • 政策和通知
          品牌 Plus Icon Minus Icon
          • Thermo Scientific
          • Applied Biosystems
          • Invitrogen
          • Gibco
          • Ion Torrent
          • Patheon
          • PPD
          • 服务条款
          • 隐私政策
          • 定价和运输保险政策
          © 2006-2026 Thermo Fisher Scientific Inc. All rights reserved. All trademarks are the property of Thermo Fisher Scientific and its subsidiaries unless otherwise specified.
          China flag icon
          China
          本网站销售的所有产品均不得用于人类或动物之临床诊断或治疗,仅可用于工业或者科研等非医疗目的。
             电子营业执照 | 经营证照公示 | ICP备案号:沪ICP备11003924号 | 沪公网安备 31011502006935号

          Your items have has been added!


          Host server : magellan-search-blue-55ff9ddd88-lffdw:80/100.66.79.31:80.
          git-commit: d366ff9721d93504b2ac26a183b2b3e3d0e7d9ec
          git-url: https://github.com/thermofisher/magellan-search
          git-branch: release/2.42.0-2026.01.03-1.0