Hamburger Menu Button
Thermo Fisher Scientific Logo
登录
没有账号?建立账号 注册
  • 产品
    • 抗体
    • 引物合成
    • GeneArt Gene Synthesis Instant Designer
    • TaqMan Assay and Array Search
    • PCR 设备和耗材
    • 色谱柱和纯化柱
    • 实验室离心机
    • 分子生物学试剂和试剂盒
    • 实验室塑料耗材及用品
    • 查看所有产品分类
  • 应用和技术
    • 色谱
    • 细胞转染和培养
    • 实时荧光定量PCR
    • 质谱
    • 实验室塑料耗材及用品
    • 电子显微镜
    • 蛋白质生物学
    • PCR
    • RNAi
    • 环境
    • 查看所有应用和技术
  • 服务
    • 定制服务
    • 企业级实验室信息化服务
    • 企业服务
    • 金融&租赁服务
    • 仪器服务
    • OEM和商业供应
    • 培训服务
    • 360° CDMO 和 CRO 服务
    • CDMO 服务
    • 临床试验 CRO 服务
    • 查看所有帮助和支持
  • 帮助和支持
    • 学习中心
    • 联系我们
    • 更改国家或地区
    • 查看所有帮助和支持
  • 热门产品
    • TaqMan Real-Time PCR Assays
      TaqMan 实时荧光定量 PCR 试剂盒
    • Antibodies
      抗体
    • Oligos, Primers & Probes
      寡核苷酸、引物、探针
    • GeneArt Gene Synthesis
      GeneArt 基因合成
    • Cell Culture Plastics
      细胞培养耗材
  • 联系我们
  • 货号直购
  • 订单查询
  • 查找文件&证书
Thermo Fisher Scientific Logo

Search

搜索全部或下列指定分类
Search button
          • 联系我们
          • 货号直购
          • 登录
            登录
            没有账号?建立账号 注册
            • 我的账号
            • 订单
            • 账单及发票查询
            • 定制产品及项目

          Disclaimer

          Clicking the images or links will redirect you to a website hosted by BenchSci that provides third-party scientific content. Neither the content nor the BenchSci technology and processes for selection have been evaluated by us; we are providing them as-is and without warranty of any kind, including for use or application of the Thermo Fisher Scientific products presented.

          • Primary Antibodies ›
          • ApoC3 Antibodies

          Invitrogen

          ApoC3 Recombinant Rabbit Monoclonal Antibody (3T7Y5)

          查看其他21个ApoC3抗体

          {{$productOrderCtrl.translations['antibody.pdp.commerceCard.promotion.promotions']}}

          {{$productOrderCtrl.translations['antibody.pdp.commerceCard.promotion.viewpromo']}}

          {{$productOrderCtrl.translations['antibody.pdp.commerceCard.promotion.promocode']}}: {{promo.promoCode}} {{promo.promoTitle}} {{promo.promoDescription}}. {{$productOrderCtrl.translations['antibody.pdp.commerceCard.promotion.learnmore']}}

          说明书
          实验方案
          问题与答案
          技术支持
          说明书
          实验方案
          问题与答案
          技术支持
          说明书
          实验方案
          问题与答案
          技术支持

          Cite ApoC3 Recombinant Rabbit Monoclonal Antibody (3T7Y5)

          • 抗体检测数据 (3)
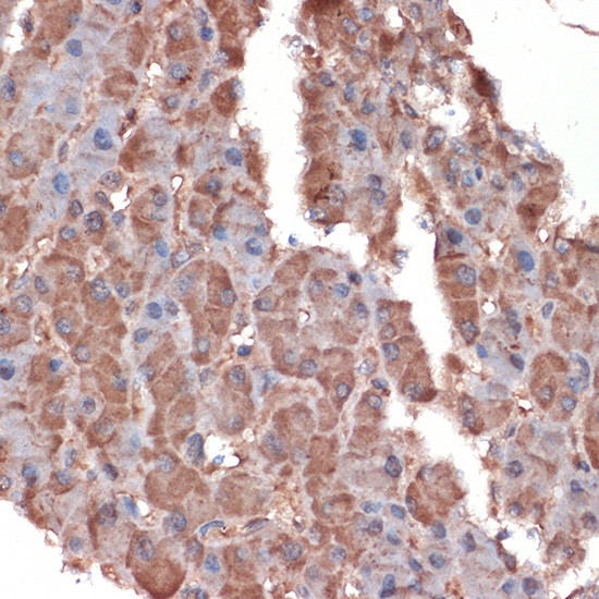
          ApoC3 Antibody in Immunohistochemistry (Paraffin) (IHC (P))
          Group 53 Created with Sketch.
          ApoC3 Antibody in Immunohistochemistry (Paraffin) (IHC (P))
          Group 53 Created with Sketch.

          图: 1 / 3

          {{ $ctrl.currentElement.advancedVerification.fullName }}
          {{ $ctrl.currentElement.advancedVerification.text }}

          ApoC3 Antibody (MA5-42767) in IHC (P)

          Immunohistochemistry analysis of ApoC3 in paraffin-embedded human liver. Samples were incubated with ApoC3 Monoclonal antibody (Product # MA5-42767) using a dilution of 1:100 (40x lens). Perform microwave antigen retrieval with 10 mM Tris/EDTA buffer pH 9.0 before commencing with IHC staining protocol. {{ $ctrl.currentElement.advancedVerification.fullName }} 验证信息 View more
          已发表图片由___提供 benchsci-logo
          PMID: {{$ctrl.currentElement.benchSciPubmedId}}
          查看产品

          {{$ctrl.videoDesc}}

          {{$ctrl.videoLongDesc}}

          ApoC3 Antibody in Immunohistochemistry (Paraffin) (IHC (P))
          ApoC3 Antibody in Immunohistochemistry (Paraffin) (IHC (P))
          ApoC3 Antibody in Western Blot (WB)
          ApoC3 Recombinant Rabbit Monoclonal Antibody (3T7Y5)

          产品信息

          MA5-42767

          应用
          建议稀释比
          已发表文章

          免疫印迹 (WB)

          1:500-1:1,000
          -

          免疫组化(石蜡) (IHC (P))

          1:500-1:200
          -

          免疫细胞化学 (ICC/IF)

          1:50-1:200
          -

          酶联免疫吸附实验 (ELISA)

          1 µg/mL
          -
          产品规格

          种属反应

          Human, Mouse

          宿主/亚型

          Rabbit / IgG

          Expression System

          HEK293 cells

          分类

          Recombinant Monoclonal

          类型

          Antibody

          克隆号

          3T7Y5

          抗原

          Synthetic peptide
          查看免疫原

          偶联物

          Unconjugated Unconjugated Unconjugated

          形式

          Liquid

          浓度

          0.22 mg/mL

          纯化类型

          Affinity Chromatography

          保存液

          PBS, pH 7.3, with 0.05% BSA, 50% glycerol

          内含物

          0.02% sodium azide

          保存条件

          -20°C, Avoid Freeze/Thaw Cycles

          运输条件

          Ambient (domestic); Wet ice (international)

          RRID

          AB_2911908

          产品详细信息

          Positive test controls include: Human plasma.

          Immunogen sequence: MQPRVLLVVA LLALLASARA SEAEDASLLS FMQGYMKHAT KTAKDALSSV QESQVAQQAR GWVTDGFSSL KDYWSTVKDK FSEFWDLDPE VRPTSAVAA

          靶标信息

          Apolipoprotein C-III, also known as apo-CIII, is a protein that in humans is encoded by the APOC3 gene. Apo-CIII is a component of very low density lipoprotein (VLDL). APOC3 inhibits lipoprotein lipase and hepatic lipase; it is thought to delay catabolism of triglyceride-rich particles. The APOA1, APOC3 and APOA4 genes are closely linked in both rat and human genomes. The A-I and A-IV genes are transcribed from the same strand, while the A-1 and C-III genes are convergently transcribed. An increase in apoC-III levels induces the development of hypertriglyceridemia.

          仅用于科研。不用于诊断过程。未经明确授权不得转售。

          篇参考文献 (0)

          您是否在文献中引用过该产品?请点击下方按钮邮件告知我们。
          引用该产品

          生物信息学

          蛋白别名: Apo-CIII; apoC-III; Apolipoprotein; Apolipoprotein C-III; Apolipoprotein C3; MGC150353

          查看更多 收起

          基因别名: apo-CIII; apoC-III; APOC3; APOCIII; HALP2

          查看更多 收起

          UniProt ID: (Human) P02656, (Mouse) P33622

          查看更多 收起

          Entrez Gene ID: (Human) 345, (Mouse) 11814

          查看更多 收起

          功能
          phospholipid binding cholesterol binding enzyme regulator activity lipase inhibitor activity high-density lipoprotein particle receptor binding lipid binding apolipoprotein
          参与通路
          retinoid metabolic process triglyceride metabolic process inflammatory response G-protein coupled receptor signaling pathway positive regulation of triglyceride biosynthetic process negative regulation of triglyceride catabolic process negative regulation of very-low-density lipoprotein particle remodeling negative regulation of very-low-density lipoprotein particle clearance negative regulation of high-density lipoprotein particle clearance negative regulation of low-density lipoprotein particle clearance triglyceride catabolic process regulation of Cdc42 protein signal transduction response to vitamin A cholesterol efflux phospholipid efflux response to triglyceride high-density lipoprotein particle remodeling very-low-density lipoprotein particle assembly chylomicron remnant clearance lipoprotein metabolic process response to drug cholesterol homeostasis lipoprotein transport response to peptide hormone reverse cholesterol transport negative regulation of fatty acid biosynthetic process negative regulation of lipid metabolic process negative regulation of receptor-mediated endocytosis negative regulation of lipid catabolic process negative regulation of lipoprotein lipase activity negative regulation of cholesterol import triglyceride homeostasis response to fatty acid cellular response to glucose stimulus negative regulation of oxidative phosphorylation response to simvastatin lipid metabolic process triglyceride mobilization transport lipid transport cholesterol metabolic process lipid catabolic process
          It has to be done as per old AB suggested Products section.
          guarantee_icon

          性能保障

          只要您发现Invitrogen抗体在实验中的表现与网站或说明书的所述内容不符,您即可享受免费退换货服务。*

          了解更多
          help_icon

          随时为您服务

          获取常见问题的专家解答,或者直接联系我们的技术专家,咨询应用、设备、常规产品使用问题。

          联系技术支持
          订购 Plus Icon Minus Icon
          • 订单状态查询
          • 订单支持
          • 货号直购
          • 现货供应中心
          • 电子采购
          支持 Plus Icon Minus Icon
          • 帮助&支持
          • 联系我们 - 400 820 8982
          • 技术支持中心
          • 查找文件&证书
          • 报告网站问题
          资源 Plus Icon Minus Icon
          • 学习中心
          • 促销
          • 活动&研讨会
          • 社交媒体
          关于赛默飞 Plus Icon Minus Icon
          • 关于我们
          • 招聘 招聘
          • 投资者关系 投资者关系
          • 新闻 新闻
          • 社会责任 社会责任
          • 商标
          • 政策和通知
          品牌 Plus Icon Minus Icon
          • Thermo Scientific
          • Applied Biosystems
          • Invitrogen
          • Gibco
          • Ion Torrent
          • Patheon
          • PPD
          • 服务条款
          • 隐私政策
          • 定价和运输保险政策
          © 2006-2025 Thermo Fisher Scientific Inc. All rights reserved. All trademarks are the property of Thermo Fisher Scientific and its subsidiaries unless otherwise specified.
          China flag icon
          China
          本网站销售的所有产品均不得用于人类或动物之临床诊断或治疗,仅可用于工业或者科研等非医疗目的。
             电子营业执照 | 经营证照公示 | ICP备案号:沪ICP备11003924号 | 沪公网安备 31011502006935号

          Your items have has been added!


          Host server : magellan-search-green-55658555d6-h6m8v:80/100.66.79.224:80.
          git-commit: ec8e7df5f8fec8d765bd419205f1b5046a016d37
          git-url: https://github.com/thermofisher/magellan-search
          git-branch: release/2.41.0-Offline