Hamburger Menu Button
Thermo Fisher Scientific Logo
登录
没有账号?建立账号 注册
  • 产品
    • 抗体
    • 引物合成
    • GeneArt Gene Synthesis Instant Designer
    • TaqMan Assay and Array Search
    • PCR 设备和耗材
    • 色谱柱和纯化柱
    • 实验室离心机
    • 分子生物学试剂和试剂盒
    • 实验室塑料耗材及用品
    • 查看所有产品分类
  • 应用和技术
    • 色谱
    • 细胞转染和培养
    • 实时荧光定量PCR
    • 质谱
    • 实验室塑料耗材及用品
    • 电子显微镜
    • 蛋白质生物学
    • PCR
    • RNAi
    • 环境
    • 查看所有应用和技术
  • 服务
    • 定制服务
    • 企业级实验室信息化服务
    • 企业服务
    • 金融&租赁服务
    • 仪器服务
    • OEM和商业供应
    • 培训服务
    • 360° CDMO 和 CRO 服务
    • CDMO 服务
    • 临床试验 CRO 服务
    • 查看所有帮助和支持
  • 帮助和支持
    • 学习中心
    • 联系我们
    • 更改国家或地区
    • 查看所有帮助和支持
  • 热门产品
    • TaqMan Real-Time PCR Assays
      TaqMan 实时荧光定量 PCR 试剂盒
    • Antibodies
      抗体
    • Oligos, Primers & Probes
      寡核苷酸、引物、探针
    • GeneArt Gene Synthesis
      GeneArt 基因合成
    • Cell Culture Plastics
      细胞培养耗材
  • 联系我们
  • 货号直购
  • 订单查询
  • 查找文件&证书
Thermo Fisher Scientific Logo

Search

搜索全部或下列指定分类
Search button
          • 联系我们
          • 货号直购
          • 登录
            登录
            没有账号?建立账号 注册
            • 我的账号
            • 订单
            • 账单及发票查询
            • 定制产品及项目

          Disclaimer

          Clicking the images or links will redirect you to a website hosted by BenchSci that provides third-party scientific content. Neither the content nor the BenchSci technology and processes for selection have been evaluated by us; we are providing them as-is and without warranty of any kind, including for use or application of the Thermo Fisher Scientific products presented.

          • Primary Antibodies ›
          • APOE Antibodies

          NeoBiotechnologies

          Apolipoprotein E/APOE Monoclonal Antibody (APOE/3673)

          查看其他31个APOE抗体

          {{$productOrderCtrl.translations['antibody.pdp.commerceCard.promotion.promotions']}}

          {{$productOrderCtrl.translations['antibody.pdp.commerceCard.promotion.viewpromo']}}

          {{$productOrderCtrl.translations['antibody.pdp.commerceCard.promotion.promocode']}}: {{promo.promoCode}} {{promo.promoTitle}} {{promo.promoDescription}}. {{$productOrderCtrl.translations['antibody.pdp.commerceCard.promotion.learnmore']}}

          说明书
          证书
          实验方案
          问题与答案
          技术支持
          说明书
          证书
          实验方案
          问题与答案
          技术支持
          说明书
          证书
          实验方案
          问题与答案
          技术支持

          Cite Apolipoprotein E/APOE Monoclonal Antibody (APOE/3673)

          • 抗体检测数据 (1)
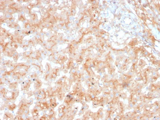
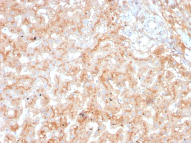
          Apolipoprotein E/APOE Antibody in Immunohistochemistry (Paraffin) (IHC (P))
          Group 53 Created with Sketch.
          Apolipoprotein E/APOE Antibody in Immunohistochemistry (Paraffin) (IHC (P))
          Group 53 Created with Sketch.

          图: 1 / 1

          {{ $ctrl.currentElement.advancedVerification.fullName }}
          {{ $ctrl.currentElement.advancedVerification.text }}

          Apolipoprotein E/APOE Antibody (348-MSM3-P1) in IHC (P)

          Formalin-fixed, paraffin-embedded human adrenal gland stained with Apolipoprotein E (APOE) Mouse Monoclonal Antibody (APOE/3673). {{ $ctrl.currentElement.advancedVerification.fullName }} 验证信息 View more
          已发表图片由___提供 benchsci-logo
          PMID: {{$ctrl.currentElement.benchSciPubmedId}}
          查看产品

          {{$ctrl.videoDesc}}

          {{$ctrl.videoLongDesc}}

          Apolipoprotein E/APOE Antibody in Immunohistochemistry (Paraffin) (IHC (P))
          Apolipoprotein E/APOE Monoclonal Antibody (APOE/3673)

          产品信息

          348-MSM3-P1

          应用
          建议稀释比
          已发表文章

          免疫组化(石蜡) (IHC (P))

          1-2 µg/mL
          -
          产品规格

          种属反应

          Human

          宿主/亚型

          Mouse / IgG1, kappa

          分类

          Monoclonal

          类型

          Antibody

          克隆号

          APOE/3673

          抗原

          Human recombinant APOE protein fragment (around aa19-119).
          查看免疫原

          偶联物

          Unconjugated Unconjugated Unconjugated

          形式

          Liquid

          浓度

          200 µg/mL

          纯化类型

          Protein A/G

          保存液

          PBS with 0.05% BSA

          内含物

          0.05% sodium azide

          保存条件

          4°C

          运输条件

          Ambient (domestic); Wet ice (international)

          产品详细信息

          Positive Control: Human liver spleen or kidney tissue.

          Cellular Location: Secreted.

          靶标信息

          Apo E (Apolipoprotein E) plays an important role in the metabolism of lipids in the plasma, and is also is a constituent of various plasma lipoprotein-lipid particles. The protein is synthesized in liver, brain, spleen, and the kidney, and concentrations are high in interstitial fluids, where it plays a role in distributing cholesterol from cells where cholesterol is in excess to cells which require cholesterol. Apo E also plays an important role in the formation of very low density lipoprotein and chylomicrons. The Apo E gene is located on chromosome 19 at position 19q13. 2.

          仅用于科研。不用于诊断过程。未经明确授权不得转售。

          篇参考文献 (0)

          您是否在文献中引用过该产品?请点击下方按钮邮件告知我们。
          引用该产品

          生物信息学

          蛋白别名: Apo-E; ApoE4; Apolipoprotein; Apolipoprotein E; apolipoprotein E3; apolipoprotein E4; Apoprotein; B2G1; BG; MGC1571

          查看更多 收起

          基因别名: AD2; APO-E; APOE; LDLCQ5; LPG

          查看更多 收起

          UniProt ID: (Human) P02649

          查看更多 收起

          Entrez Gene ID: (Human) 348

          查看更多 收起

          功能
          beta-amyloid binding lipid transporter activity protein binding phospholipid binding heparin binding lipid binding cholesterol binding antioxidant activity cholesterol transporter activity identical protein binding protein homodimerization activity metal chelating activity tau protein binding low-density lipoprotein particle receptor binding phosphatidylcholine-sterol O-acyltransferase activator activity very-low-density lipoprotein particle receptor binding lipoprotein particle binding apolipoprotein
          参与通路
          response to reactive oxygen species retinoid metabolic process negative regulation of endothelial cell proliferation response to dietary excess triglyceride metabolic process cholesterol catabolic process cellular calcium ion homeostasis receptor-mediated endocytosis cytoskeleton organization G-protein coupled receptor signaling pathway nitric oxide mediated signal transduction synaptic transmission, cholinergic cholesterol metabolic process regulation of gene expression negative regulation of platelet activation positive regulation of cholesterol esterification positive regulation of cholesterol efflux long-chain fatty acid transport protein import virion assembly triglyceride catabolic process cGMP-mediated signaling negative regulation of blood coagulation regulation of axon extension positive regulation of cGMP biosynthetic process neuron projection regeneration regulation of Cdc42 protein signal transduction positive regulation of low-density lipoprotein particle receptor catabolic process cholesterol efflux phospholipid efflux very-low-density lipoprotein particle remodeling low-density lipoprotein particle remodeling high-density lipoprotein particle remodeling high-density lipoprotein particle assembly chylomicron remnant clearance high-density lipoprotein particle clearance very-low-density lipoprotein particle clearance lipoprotein metabolic process lipoprotein biosynthetic process lipoprotein catabolic process vasodilation cholesterol homeostasis negative regulation of MAP kinase activity negative regulation of neuron apoptotic process negative regulation of blood vessel endothelial cell migration reverse cholesterol transport positive regulation by host of viral process negative regulation of cholesterol biosynthetic process positive regulation of lipid biosynthetic process intracellular transport regulation of neuronal synaptic plasticity artery morphogenesis negative regulation of inflammatory response positive regulation of nitric-oxide synthase activity positive regulation of membrane protein ectodomain proteolysis maintenance of location in cell fatty acid homeostasis positive regulation of dendritic spine development negative regulation of canonical Wnt signaling pathway AMPA glutamate receptor clustering NMDA glutamate receptor clustering cellular oxidant detoxification regulation of beta-amyloid clearance negative regulation of neuron death positive regulation of postsynaptic membrane organization negative regulation of presynaptic membrane organization negative regulation of beta-amyloid formation positive regulation of dendritic spine maintenance positive regulation of phospholipid efflux positive regulation of lipid transport across blood brain barrier
          It has to be done as per old AB suggested Products section.
          guarantee_icon

          性能保障

          只要您发现Invitrogen抗体在实验中的表现与网站或说明书的所述内容不符,您即可享受免费退换货服务。*

          了解更多
          help_icon

          随时为您服务

          获取常见问题的专家解答,或者直接联系我们的技术专家,咨询应用、设备、常规产品使用问题。

          联系技术支持
          订购 Plus Icon Minus Icon
          • 订单状态查询
          • 订单支持
          • 货号直购
          • 现货供应中心
          • 电子采购
          支持 Plus Icon Minus Icon
          • 帮助&支持
          • 联系我们 - 400 820 8982
          • 技术支持中心
          • 查找文件&证书
          • 报告网站问题
          资源 Plus Icon Minus Icon
          • 学习中心
          • 促销
          • 活动&研讨会
          • 社交媒体
          关于赛默飞 Plus Icon Minus Icon
          • 关于我们
          • 招聘 招聘
          • 投资者关系 投资者关系
          • 新闻 新闻
          • 社会责任 社会责任
          • 商标
          • 政策和通知
          品牌 Plus Icon Minus Icon
          • Thermo Scientific
          • Applied Biosystems
          • Invitrogen
          • Gibco
          • Ion Torrent
          • Patheon
          • PPD
          • 服务条款
          • 隐私政策
          • 定价和运输保险政策
          © 2006-2026 Thermo Fisher Scientific Inc. All rights reserved. All trademarks are the property of Thermo Fisher Scientific and its subsidiaries unless otherwise specified.
          China flag icon
          China
          本网站销售的所有产品均不得用于人类或动物之临床诊断或治疗,仅可用于工业或者科研等非医疗目的。
             电子营业执照 | 经营证照公示 | ICP备案号:沪ICP备11003924号 | 沪公网安备 31011502006935号

          Your items have has been added!


          Host server : magellan-search-blue-55ff9ddd88-8jdkq:80/100.66.75.107:80.
          git-commit: d366ff9721d93504b2ac26a183b2b3e3d0e7d9ec
          git-url: https://github.com/thermofisher/magellan-search
          git-branch: release/2.42.0-2026.01.03-1.0