Hamburger Menu Button
Thermo Fisher Scientific Logo
登录
没有账号?建立账号 注册
  • 产品
    • 抗体
    • 引物合成
    • GeneArt Gene Synthesis Instant Designer
    • TaqMan Assay and Array Search
    • PCR 设备和耗材
    • 色谱柱和纯化柱
    • 实验室离心机
    • 分子生物学试剂和试剂盒
    • 实验室塑料耗材及用品
    • 查看所有产品分类
  • 应用和技术
    • 色谱
    • 细胞转染和培养
    • 实时荧光定量PCR
    • 质谱
    • 实验室塑料耗材及用品
    • 电子显微镜
    • 蛋白质生物学
    • PCR
    • RNAi
    • 环境
    • 查看所有应用和技术
  • 服务
    • 定制服务
    • 企业级实验室信息化服务
    • 金融&租赁服务
    • 仪器服务
    • OEM和商业供应
    • 培训服务
    • 360° CDMO 和 CRO 服务
    • CDMO 服务
    • 临床试验 CRO 服务
    • Unity Lab Services
    • 查看所有帮助和支持
  • 帮助和支持
    • 学习中心
    • 联系我们
    • 更改国家或地区
    • 查看所有帮助和支持
  • 热门产品
    • TaqMan Real-Time PCR Assays
      TaqMan 实时荧光定量 PCR 试剂盒
    • Antibodies
      抗体
    • Oligos, Primers & Probes
      寡核苷酸、引物、探针
    • GeneArt Gene Synthesis
      GeneArt 基因合成
    • Cell Culture Plastics
      细胞培养耗材
  • Who We Serve
    • 抗体治疗解决方案
    • 细胞与基因治疗解决方案
    • 学术科研
    • 工业与应用
  • 联系我们
  • 货号直购
  • 订单查询
  • 查找文件&证书
Thermo Fisher Scientific Logo

Search

搜索全部或下列指定分类
Search button
          • 联系我们
          • 货号直购
          • 登录
            登录
            没有账号?建立账号 注册
            • 我的账号
            • 订单
            • 会员中心
            • 账单及发票查询
            • 定制产品及项目
          • Primary Antibodies ›
          • Aquaporin 1 Antibodies

          Alomone Labs, LTD

          Aquaporin 1 Polyclonal Antibody

          查看其他24个Aquaporin 1抗体

          {{$productOrderCtrl.translations['antibody.pdp.commerceCard.promotion.promotions']}}

          {{$productOrderCtrl.translations['antibody.pdp.commerceCard.promotion.viewpromo']}}

          {{$productOrderCtrl.translations['antibody.pdp.commerceCard.promotion.promocode']}}: {{promo.promoCode}} {{promo.promoTitle}} {{promo.promoDescription}}. {{$productOrderCtrl.translations['antibody.pdp.commerceCard.promotion.learnmore']}}

          说明书
          证书
          实验方案
          问题与答案
          技术支持
          说明书
          证书
          实验方案
          问题与答案
          技术支持
          说明书
          证书
          实验方案
          问题与答案
          技术支持

          Cite Aquaporin 1 Polyclonal Antibody

          Additional Information:
          {{banner.description}}
          {{$ctrl.isSkuNotesCollapsed ? 'View more' : 'View less'}}
          • 抗体检测数据 (2)
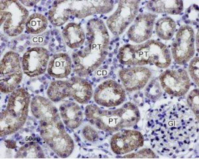
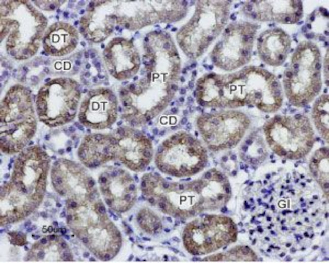
          Aquaporin 1 Antibody in Immunohistochemistry (Paraffin) (IHC (P))
          Group 53 Created with Sketch.
          Aquaporin 1 Antibody in Immunohistochemistry (Paraffin) (IHC (P))
          Group 53 Created with Sketch.

          图: 1 / 2

          {{ $ctrl.currentElement.advancedVerification.fullName }}
          {{ $ctrl.currentElement.advancedVerification.text }}

          Aquaporin 1 Antibody (AQP-001-200UL) in IHC (P)

          Expression of AQP1 in rat kidney - Immunohistochemical staining of paraffin-embedded rat kidney sections using Anti-Aquaporin 1 Antibody (#AQP-001), (1:100). AQP1 staining (brown) is present in both distal (DT) and proximal (PT) convoluted tubules in the renal cortex. Note that a weak staining is also present in collecting ducts (CD) whileglomeruli (Gl) are negative. Hematoxilin is used as the counterstain. {{ $ctrl.currentElement.advancedVerification.fullName }} 验证信息 View more
          已发表图片由___提供 benchsci-logo
          PMID: {{$ctrl.currentElement.benchSciPubmedId}}
          查看产品

          {{$ctrl.videoDesc}}

          {{$ctrl.videoLongDesc}}

          Aquaporin 1 Antibody in Immunohistochemistry (Paraffin) (IHC (P))
          Aquaporin 1 Antibody in Western Blot (WB)
          Aquaporin 1 Polyclonal Antibody

          产品信息

          AQP-001-200UL

          应用
          建议稀释比
          已发表文章

          免疫印迹 (WB)

          1:400
          -

          免疫组化(石蜡) (IHC (P))

          1:100
          -
          产品规格

          种属反应

          Human, Mouse, Rat

          宿主/亚型

          Rabbit / IgG

          分类

          Polyclonal

          类型

          Antibody

          抗原

          (C)KVWTSGQVEEYDLDADDIN corresponding to amino acid residues 242-260 of human AQP1, Intracellular, C-terminus
          3D表位/免疫原

          偶联物

          Unconjugated Unconjugated Unconjugated

          形式

          Lyophilized

          浓度

          1 mg/mL

          规格

          200 µg

          纯化类型

          Antigen affinity chromatography

          保存液

          PBS, pH 7.4, with 1% BSA

          内含物

          0.05% sodium azide

          保存条件

          -20°C, Avoid Freeze/Thaw Cycles

          运输条件

          Ambient (domestic); Wet ice (international)

          产品详细信息

          Reconstitution: 25 µL, 50 µL or 0.2 mL double distilled water (DDW), depending on the sample size. The antibody ships as a lyophilized powder at room temperature. Upon arrival, it should be stored at -20C. The reconstituted solution can be stored at 4C for up to 1 week. For longer periods, small aliquots should be stored at -20C. Avoid multiple freezing and thawing. Centrifuge all antibody preparations before use (10000 x g 5 min).

          靶标信息

          Aquaporin 1 is a 28kD integral membrane protein which was originally identified in red blood cells and renal proximal tubules. AQP1 is also expressed by the choroid plexus and various other tissues. It forms a water-specific channel that provides the plasma membranes of red cells and kidney proximal tubules with high permeability to water, thereby permitting water to move in the direction of an osmotic gradient.

          仅用于科研。不用于诊断过程。未经明确授权不得转售。

          篇参考文献 (0)

          您是否在文献中引用过该产品?请点击下方按钮邮件告知我们。
          引用该产品

          生物信息学

          蛋白别名: 28 kda erythrocyte integral membrane protein homolog; AQP 1; AQP CHIP; AQP-1; Aquaporin 1 (aquaporin channel forming integral protein 28 (CHIP)); aquaporin 1 (channel-forming integral protein, 28kDa, CO blood group); aquaporin 1, Colton blood group antigen; Aquaporin CHIP; Aquaporin-1; Aquaporin-CHIP; Aquaporin1; bloodgroup CO protein; Channel-like integral membrane protein of 28 kDa; channel-like integral membrane protein, 28-kDa; CHIP 28; Colton blood group; Colton blood group antigen; Delayed early response protein 2; DER2; growth factor-induced delayed early response protein; MGC26324; unnamed protein product; Urine water channel; water channel protein for red blood cells and kidney proximal tubule

          查看更多 收起

          基因别名: AQP-CHIP; AQP1; CHIP28; CO

          查看更多 收起

          UniProt ID: (Human) P29972, (Mouse) Q02013, (Rat) P29975

          查看更多 收起

          Entrez Gene ID: (Human) 358, (Mouse) 11826, (Rat) 25240

          查看更多 收起

          功能
          intracellular cGMP activated cation channel activity potassium channel activity water transmembrane transporter activity protein binding ammonium transmembrane transporter activity potassium ion transmembrane transporter activity glycerol transmembrane transporter activity water channel activity channel activity transmembrane transporter activity nitric oxide transmembrane transporter activity carbon dioxide transmembrane transporter activity identical protein binding ephrin receptor binding hydrogen peroxide channel activity transporter activity glycerol channel activity transporter
          参与通路
          renal water homeostasis glomerular filtration renal water transport potassium ion transport water transport cell volume homeostasis hyperosmotic response cellular water homeostasis fibroblast migration positive regulation of fibroblast migration carbon dioxide transport glycerol transport cell migration sensory perception of pain cellular homeostasis cGMP-mediated signaling lateral ventricle development pancreatic juice secretion nitric oxide transport establishment or maintenance of actin cytoskeleton polarity secretion by cell cerebrospinal fluid secretion secretory granule organization cellular response to UV transepithelial water transport carbon dioxide transmembrane transport wound healing odontogenesis negative regulation of apoptotic process lipid digestion positive regulation of angiogenesis positive regulation of saliva secretion positive regulation of fibroblast proliferation camera-type eye morphogenesis defense response to Gram-negative bacterium multicellular organismal water homeostasis corticotropin secretion establishment of localization in cell transmembrane transport renal water absorption cellular response to hydrogen peroxide cellular response to mechanical stimulus cellular response to copper ion cellular response to mercury ion cellular response to retinoic acid cellular response to cAMP cellular response to hypoxia cellular response to salt stress cellular hyperosmotic response cellular response to dexamethasone stimulus cellular response to nitric oxide potassium ion transmembrane transport metanephric descending thin limb development metanephric proximal straight tubule development metanephric proximal convoluted tubule segment 2 development metanephric glomerulus vasculature development ammonium transmembrane transport hydrogen peroxide transmembrane transport cation transmembrane transport cGMP biosynthetic process transport positive regulation of lamellipodium assembly positive regulation of epithelial cell migration organic cation transport ammonium transport water homeostasis positive regulation of cell migration cellular response to stress carbohydrate transmembrane transport response to drug negative regulation of cysteine-type endopeptidase activity involved in apoptotic process cellular response to inorganic substance maintenance of symbiont-containing vacuole by host response to hormone hyperosmotic salinity response response to estrogen
          It has to be done as per old AB suggested Products section.

          Disclaimer

          Close

          Clicking the images or links will redirect you to a website hosted by BenchSci that provides third-party scientific content. Neither the content nor the BenchSci technology and processes for selection have been evaluated by us; we are providing them as-is and without warranty of any kind, including for use or application of the Thermo Fisher Scientific products presented.

          guarantee_icon

          性能保障

          只要您发现Invitrogen抗体在实验中的表现与网站或说明书的所述内容不符,您即可享受免费退换货服务。*

          了解更多
          help_icon

          随时为您服务

          获取常见问题的专家解答,或者直接联系我们的技术专家,咨询应用、设备、常规产品使用问题。

          联系技术支持
          订购 Plus Icon Minus Icon
          • 订单状态查询
          • 订单支持
          • 货号直购
          • 现货供应中心
          • 电子采购
          支持 Plus Icon Minus Icon
          • 帮助&支持
          • 联系我们 - 400 820 8982
          • 技术支持中心
          • 查找文件&证书
          • 报告网站问题
          资源 Plus Icon Minus Icon
          • 学习中心
          • 促销
          • 活动&研讨会
          • 社交媒体
          关于赛默飞 Plus Icon Minus Icon
          • 关于我们
          • 招聘 招聘
          • 投资者关系 投资者关系
          • 新闻 新闻
          • 社会责任 社会责任
          • 商标
          • 政策和通知
          品牌 Plus Icon Minus Icon
          • Thermo Scientific
          • Applied Biosystems
          • Invitrogen
          • Gibco
          • Ion Torrent
          • Unity Lab Services
          • Patheon
          • PPD
          • 服务条款
          • 隐私政策
          • 定价和运输保险政策
          © 2006-2026 Thermo Fisher Scientific Inc. All rights reserved. All trademarks are the property of Thermo Fisher Scientific and its subsidiaries unless otherwise specified.
          China flag icon
          China
          本网站销售的所有产品均不得用于人类或动物之临床诊断或治疗,仅可用于工业或者科研等非医疗目的。
             电子营业执照 | 经营证照公示 | ICP备案号:沪ICP备11003924号 | 沪公网安备 31011502006935号

          Your items have has been added!


          Host server : magellan-search-green-6479c7f679-v472f:80/100.66.78.195:80.
          git-commit: b70c0dceb888abc3b0dcebb5bc3a5b8753e7e816
          git-url: https://github.com/thermofisher/magellan-search
          git-branch: release/2.50.0-Offline