Hamburger Menu Button
Thermo Fisher Scientific Logo
登录
没有账号?建立账号 注册
  • 产品
    • 抗体
    • 引物合成
    • GeneArt Gene Synthesis Instant Designer
    • TaqMan Assay and Array Search
    • PCR 设备和耗材
    • 色谱柱和纯化柱
    • 实验室离心机
    • 分子生物学试剂和试剂盒
    • 实验室塑料耗材及用品
    • 查看所有产品分类
  • 应用和技术
    • 色谱
    • 细胞转染和培养
    • 实时荧光定量PCR
    • 质谱
    • 实验室塑料耗材及用品
    • 电子显微镜
    • 蛋白质生物学
    • PCR
    • RNAi
    • 环境
    • 查看所有应用和技术
  • 服务
    • 定制服务
    • 企业级实验室信息化服务
    • 金融&租赁服务
    • 仪器服务
    • OEM和商业供应
    • 培训服务
    • 360° CDMO 和 CRO 服务
    • CDMO 服务
    • 临床试验 CRO 服务
    • Unity Lab Services
    • 查看所有帮助和支持
  • 帮助和支持
    • 学习中心
    • 联系我们
    • 更改国家或地区
    • 查看所有帮助和支持
  • 热门产品
    • TaqMan Real-Time PCR Assays
      TaqMan 实时荧光定量 PCR 试剂盒
    • Antibodies
      抗体
    • Oligos, Primers & Probes
      寡核苷酸、引物、探针
    • GeneArt Gene Synthesis
      GeneArt 基因合成
    • Cell Culture Plastics
      细胞培养耗材
  • Who We Serve
    • 抗体治疗解决方案
    • 细胞与基因治疗解决方案
    • 学术科研
    • 工业与应用
  • 联系我们
  • 货号直购
  • 订单查询
  • 查找文件&证书
Thermo Fisher Scientific Logo

Search

搜索全部或下列指定分类
Search button
          • 联系我们
          • 货号直购
          • 登录
            登录
            没有账号?建立账号 注册
            • 我的账号
            • 订单
            • 会员中心
            • 账单及发票查询
            • 定制产品及项目
          • Primary Antibodies ›
          • Ataxin 3 Antibodies

          Invitrogen

          Ataxin 3 Polyclonal Antibody

          查看其他15个Ataxin 3抗体

          {{$productOrderCtrl.translations['antibody.pdp.commerceCard.promotion.promotions']}}

          {{$productOrderCtrl.translations['antibody.pdp.commerceCard.promotion.viewpromo']}}

          {{$productOrderCtrl.translations['antibody.pdp.commerceCard.promotion.promocode']}}: {{promo.promoCode}} {{promo.promoTitle}} {{promo.promoDescription}}. {{$productOrderCtrl.translations['antibody.pdp.commerceCard.promotion.learnmore']}}

          说明书
          证书
          实验方案
          问题与答案
          技术支持
          说明书
          证书
          实验方案
          问题与答案
          技术支持
          说明书
          证书
          实验方案
          问题与答案
          技术支持

          Cite Ataxin 3 Polyclonal Antibody

          Additional Information:
          {{banner.description}}
          {{$ctrl.isSkuNotesCollapsed ? 'View more' : 'View less'}}
          • 抗体检测数据 (7)
          Ataxin 3 Antibody in Immunocytochemistry (ICC/IF)
          Group 53 Created with Sketch.
          Ataxin 3 Antibody in Immunocytochemistry (ICC/IF)
          Group 53 Created with Sketch.

          图: 1 / 7

          {{ $ctrl.currentElement.advancedVerification.fullName }}
          {{ $ctrl.currentElement.advancedVerification.text }}

          Ataxin 3 Antibody (PA5-88538) in ICC/IF

          Confocal immunofluorescence (Immunocytochemistry) analysis of Ataxin 3 in U-2 OS cells. Samples were incubated with Ataxin 3 Polyclonal antibody (Product # PA5-88538) using a dilution of 1:100. Blue: DAPI for nuclear staining. {{ $ctrl.currentElement.advancedVerification.fullName }} 验证信息 View more
          已发表图片由___提供 benchsci-logo
          PMID: {{$ctrl.currentElement.benchSciPubmedId}}
          查看产品

          {{$ctrl.videoDesc}}

          {{$ctrl.videoLongDesc}}

          Ataxin 3 Antibody in Immunocytochemistry (ICC/IF)
          Ataxin 3 Antibody in Immunocytochemistry (ICC/IF)
          Ataxin 3 Antibody in Immunocytochemistry (ICC/IF)
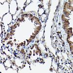
          Ataxin 3 Antibody in Immunohistochemistry (Paraffin) (IHC (P))
          Ataxin 3 Antibody in Immunohistochemistry (Paraffin) (IHC (P))
          Ataxin 3 Antibody in Immunohistochemistry (Paraffin) (IHC (P))
          Ataxin 3 Antibody in Western Blot (WB)

          产品信息

          PA5-88538

          应用
          建议稀释比
          已发表文章

          免疫印迹 (WB)

          1:500-1:1,000
          -

          免疫组化(石蜡) (IHC (P))

          1:50-1:200
          -

          免疫细胞化学 (ICC/IF)

          1:50-1:200
          -

          酶联免疫吸附实验 (ELISA)

          1 µg/mL
          -
          产品规格

          种属反应

          Human, Mouse, Rat

          宿主/亚型

          Rabbit / IgG

          分类

          Polyclonal

          类型

          Antibody

          抗原

          Recombinant protein (or fragment)

          偶联物

          Unconjugated Unconjugated Unconjugated

          形式

          Liquid

          浓度

          1.35 mg/mL

          规格

          135 µg

          纯化类型

          Affinity Chromatography

          保存液

          PBS, pH 7.3, with 50% glycerol

          内含物

          0.05% ProClin 300

          保存条件

          -20°C, Avoid Freeze/Thaw Cycles

          运输条件

          Ambient (domestic); Wet ice (international)

          RRID

          AB_2804984

          产品详细信息

          Positive Samples: MCF7, SW480, Jurkat, A-549, DU145; Cellular Location: Nucleus matrix

          靶标信息

          Machado-Joseph disease is an autosomal dominant neurologic disorder, and is now known to be the same as previously described spinocerebellar ataxia-3. MJD protein (Ataxin-3) contains (CAG)n repeats in the coding region, and the expansion of these repeats from the normal 13-36 to 68-79 is the cause of Machado-Joseph disease. There is a negative correlation between the age of onset and CAG repeat numbers. This protein interacts with key regulators (CBP, p300 and PCAF) of transcription and represses transcription, and also acts as a histone-binding protein that regulates transcription. MJD is a deubiquitinating enzyme.

          仅用于科研。不用于诊断过程。未经明确授权不得转售。

          篇参考文献 (0)

          您是否在文献中引用过该产品?请点击下方按钮邮件告知我们。
          引用该产品

          生物信息学

          蛋白别名: Ataxin-3; ataxin3; josephin; Machado-Joseph disease (spinocerebellar ataxia 3, olivopontocerebellar ataxia 3, autosomal dominant, ataxin 3) homolog; Machado-Joseph disease protein 1; Machado-Joseph disease protein 1 homolog; olivopontocerebellar ataxia 3; spin; Spinocerebellar ataxia type 3 protein

          查看更多 收起

          基因别名: 2210008M02Rik; AI463012; AI647473; AT3; ataxin-3; ATX3; ATXN3; JOS; MJD; MJD1; Rsca3; SCA3

          查看更多 收起

          UniProt ID: (Human) P54252, (Rat) O35815, (Mouse) Q9CVD2

          查看更多 收起

          Entrez Gene ID: (Human) 4287, (Rat) 60331, (Mouse) 110616

          查看更多 收起

          功能
          thiol-dependent ubiquitin-specific protease activity protein binding peptidase activity cysteine-type peptidase activity hydrolase activity ubiquitin protein ligase binding identical protein binding ATPase binding Lys63-specific deubiquitinase activity Lys48-specific deubiquitinase activity RNA polymerase II regulatory region DNA binding histone deacetylase activity omega peptidase activity chromatin/chromatin-binding, or -regulatory protein
          参与通路
          microtubule cytoskeleton organization cytoplasmic translation nucleotide-excision repair proteolysis ubiquitin-dependent protein catabolic process misfolded or incompletely synthesized protein catabolic process chemical synaptic transmission nervous system development cellular response to starvation regulation of cell-substrate adhesion protein deubiquitination actin cytoskeleton organization cellular response to nutrient levels cellular response to amino acid starvation cellular response to heat monoubiquitinated protein deubiquitination exploration behavior TORC1 signaling proteasome-mediated ubiquitin-dependent protein catabolic process intermediate filament cytoskeleton organization negative regulation of translational initiation positive regulation of translational initiation protein K63-linked deubiquitination protein K48-linked deubiquitination cellular response to misfolded protein negative regulation of TORC1 signaling positive regulation of TORC1 signaling positive regulation of ERAD pathway protein localization to cytosolic proteasome complex positive regulation of protein ubiquitination involved in ubiquitin-dependent protein catabolic process transcription, DNA-templated regulation of transcription, DNA-templated histone H3 deacetylation
          It has to be done as per old AB suggested Products section.

          Disclaimer

          Close

          Clicking the images or links will redirect you to a website hosted by BenchSci that provides third-party scientific content. Neither the content nor the BenchSci technology and processes for selection have been evaluated by us; we are providing them as-is and without warranty of any kind, including for use or application of the Thermo Fisher Scientific products presented.

          guarantee_icon

          性能保障

          只要您发现Invitrogen抗体在实验中的表现与网站或说明书的所述内容不符,您即可享受免费退换货服务。*

          了解更多
          help_icon

          随时为您服务

          获取常见问题的专家解答,或者直接联系我们的技术专家,咨询应用、设备、常规产品使用问题。

          联系技术支持
          订购 Plus Icon Minus Icon
          • 订单状态查询
          • 订单支持
          • 货号直购
          • 现货供应中心
          • 电子采购
          支持 Plus Icon Minus Icon
          • 帮助&支持
          • 联系我们 - 400 820 8982
          • 技术支持中心
          • 查找文件&证书
          • 报告网站问题
          资源 Plus Icon Minus Icon
          • 学习中心
          • 促销
          • 活动&研讨会
          • 社交媒体
          关于赛默飞 Plus Icon Minus Icon
          • 关于我们
          • 招聘 招聘
          • 投资者关系 投资者关系
          • 新闻 新闻
          • 社会责任 社会责任
          • 商标
          • 政策和通知
          品牌 Plus Icon Minus Icon
          • Thermo Scientific
          • Applied Biosystems
          • Invitrogen
          • Gibco
          • Ion Torrent
          • Unity Lab Services
          • Patheon
          • PPD
          • 服务条款
          • 隐私政策
          • 定价和运输保险政策
          © 2006-2026 Thermo Fisher Scientific Inc. All rights reserved. All trademarks are the property of Thermo Fisher Scientific and its subsidiaries unless otherwise specified.
          China flag icon
          China
          本网站销售的所有产品均不得用于人类或动物之临床诊断或治疗,仅可用于工业或者科研等非医疗目的。
             电子营业执照 | 经营证照公示 | ICP备案号:沪ICP备11003924号 | 沪公网安备 31011502006935号

          Your items have has been added!


          Host server : magellan-search-green-6479c7f679-zb4k5:80/100.66.74.142:80.
          git-commit: b70c0dceb888abc3b0dcebb5bc3a5b8753e7e816
          git-url: https://github.com/thermofisher/magellan-search
          git-branch: release/2.50.0-Offline