Hamburger Menu Button
Thermo Fisher Scientific Logo
登录
没有账号?建立账号 注册
  • 产品
    • 抗体
    • 引物合成
    • GeneArt Gene Synthesis Instant Designer
    • TaqMan Assay and Array Search
    • PCR 设备和耗材
    • 色谱柱和纯化柱
    • 实验室离心机
    • 分子生物学试剂和试剂盒
    • 实验室塑料耗材及用品
    • 查看所有产品分类
  • 应用和技术
    • 色谱
    • 细胞转染和培养
    • 实时荧光定量PCR
    • 质谱
    • 实验室塑料耗材及用品
    • 电子显微镜
    • 蛋白质生物学
    • PCR
    • RNAi
    • 环境
    • 查看所有应用和技术
  • 服务
    • 定制服务
    • 企业级实验室信息化服务
    • 企业服务
    • 金融&租赁服务
    • 仪器服务
    • OEM和商业供应
    • 培训服务
    • 360° CDMO 和 CRO 服务
    • CDMO 服务
    • 临床试验 CRO 服务
    • 查看所有帮助和支持
  • 帮助和支持
    • 学习中心
    • 联系我们
    • 更改国家或地区
    • 查看所有帮助和支持
  • 热门产品
    • TaqMan Real-Time PCR Assays
      TaqMan 实时荧光定量 PCR 试剂盒
    • Antibodies
      抗体
    • Oligos, Primers & Probes
      寡核苷酸、引物、探针
    • GeneArt Gene Synthesis
      GeneArt 基因合成
    • Cell Culture Plastics
      细胞培养耗材
  • 联系我们
  • 货号直购
  • 订单查询
  • 查找文件&证书
Thermo Fisher Scientific Logo

Search

搜索全部或下列指定分类
Search button
          • 联系我们
          • 货号直购
          • 登录
            登录
            没有账号?建立账号 注册
            • 我的账号
            • 订单
            • 账单及发票查询
            • 定制产品及项目

          Disclaimer

          Clicking the images or links will redirect you to a website hosted by BenchSci that provides third-party scientific content. Neither the content nor the BenchSci technology and processes for selection have been evaluated by us; we are providing them as-is and without warranty of any kind, including for use or application of the Thermo Fisher Scientific products presented.

          • Primary Antibodies ›
          • Aurora B Antibodies

          NeoBiotechnologies

          Aurora B (Proliferation Marker) Monoclonal Antibody (AURKB/1845)

          查看其他42个Aurora B抗体

          {{$productOrderCtrl.translations['antibody.pdp.commerceCard.promotion.promotions']}}

          {{$productOrderCtrl.translations['antibody.pdp.commerceCard.promotion.viewpromo']}}

          {{$productOrderCtrl.translations['antibody.pdp.commerceCard.promotion.promocode']}}: {{promo.promoCode}} {{promo.promoTitle}} {{promo.promoDescription}}. {{$productOrderCtrl.translations['antibody.pdp.commerceCard.promotion.learnmore']}}

          说明书
          证书
          实验方案
          问题与答案
          技术支持
          说明书
          证书
          实验方案
          问题与答案
          技术支持
          说明书
          证书
          实验方案
          问题与答案
          技术支持

          Cite Aurora B (Proliferation Marker) Monoclonal Antibody (AURKB/1845)

          • 抗体检测数据 (2)
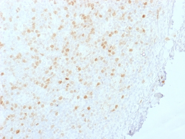
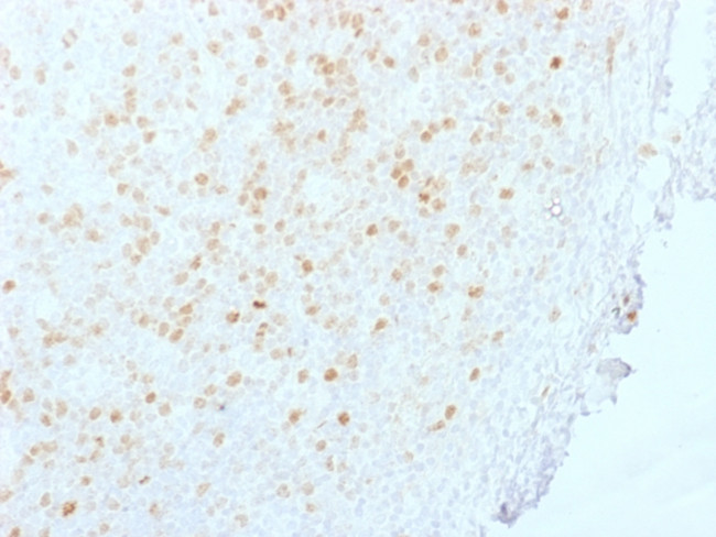
          Aurora B (Proliferation Marker) Antibody in Immunohistochemistry (Paraffin) (IHC (P))
          Group 53 Created with Sketch.
          Aurora B (Proliferation Marker) Antibody in Immunohistochemistry (Paraffin) (IHC (P))
          Group 53 Created with Sketch.

          图: 1 / 2

          {{ $ctrl.currentElement.advancedVerification.fullName }}
          {{ $ctrl.currentElement.advancedVerification.text }}

          Aurora B (Proliferation Marker) Antibody (9212-MSM5-P1ABX) in IHC (P)

          Formalin-fixed, paraffin-embedded human Tonsil stained with Aurora B Mouse Monoclonal Antibody (AURKB/1845). {{ $ctrl.currentElement.advancedVerification.fullName }} 验证信息 View more
          已发表图片由___提供 benchsci-logo
          PMID: {{$ctrl.currentElement.benchSciPubmedId}}
          查看产品

          {{$ctrl.videoDesc}}

          {{$ctrl.videoLongDesc}}

          Aurora B (Proliferation Marker) Antibody in Immunohistochemistry (Paraffin) (IHC (P))
          Aurora B (Proliferation Marker) Antibody in SDS-PAGE (SDS-PAGE)
          Aurora B (Proliferation Marker) Monoclonal Antibody (AURKB/1845)

          产品信息

          9212-MSM5-P1ABX

          应用
          建议稀释比
          已发表文章

          免疫组化(石蜡) (IHC (P))

          Assay-dependent
          -

          免疫组织化学(多聚甲醛固定) (IHC (PFA))

          1-2 µg/mL
          -
          产品规格

          种属反应

          Human

          宿主/亚型

          Mouse / IgG1, kappa

          分类

          Monoclonal

          类型

          Antibody

          克隆号

          AURKB/1845

          抗原

          Recombinant fragment (around aa 89-251) of human Aurora B protein.
          查看免疫原

          偶联物

          Unconjugated Unconjugated Unconjugated

          形式

          Liquid

          浓度

          1 mg/mL

          纯化类型

          Protein A/G

          保存液

          PBS, pH 7.4

          内含物

          no preservative

          保存条件

          -20°C, Avoid Freeze/Thaw Cycles

          运输条件

          Ambient (domestic); Wet ice (international)

          靶标信息

          The Aurora kinases associate with microtubules during chromosome movement and segregation. AURKB (Aurora B) localizes to microtubules near kinetochores, specifically to the specialized microtubules called K-fibers. This complex functions in chromosome alignment and separation, histone modification, and cytokinesis. CPC also includes three non-enzymatic subunits known as the inner centromere protein (INCENP), survivin, and borealin, which determine the activity, localization, stability, and possibly even the substrate specificity of AurB. Two CPCs exist during mitosis: one containing all four members and another consisting of INCENP and AurB. Quaternary CPC functions during chromosome alignment and cytokinesis, whereas the INCENP-AurB complex may be responsible for modifying histone H3. AurB is overexpressed in a number of tumours, including primary breast and colon tumour samples. Its expression in tumours seems to be linked with Aurora-A kinase, suggesting a feedback mechanism between the two proteins.

          仅用于科研。不用于诊断过程。未经明确授权不得转售。

          篇参考文献 (0)

          您是否在文献中引用过该产品?请点击下方按钮邮件告知我们。
          引用该产品

          生物信息学

          蛋白别名: AIM-1; ARK-2; Aurora 1; Aurora kinase B; aurora kinase B-Sv1; aurora kinase B-Sv2; Aurora- and IPL1-like midbody-associated protein 1; aurora-1; aurora-B; aurora-related kinase 2; Aurora/IPL1-related kinase 2; protein phosphatase 1, regulatory subunit 48; serine/threonine kinase 12; Serine/threonine-protein kinase 12; Serine/threonine-protein kinase 5; Serine/threonine-protein kinase aurora-B; STK-1

          查看更多 收起

          基因别名: AIK2; AIM-1; AIM1; AIRK2; ARK2; AurB; AURKB; aurkb-sv1; aurkb-sv2; IPL1; PPP1R48; STK1; STK12; STK5

          查看更多 收起

          UniProt ID: (Human) Q96DV5

          查看更多 收起

          Entrez Gene ID: (Human) 9212

          查看更多 收起

          功能
          protein serine/threonine kinase activity protein serine/threonine/tyrosine kinase activity protein binding ATP binding histone serine kinase activity metal ion binding non-receptor serine/threonine protein kinase
          参与通路
          negative regulation of transcription from RNA polymerase II promoter negative regulation of B cell apoptotic process protein phosphorylation spindle organization sister chromatid cohesion aging cell proliferation attachment of spindle microtubules to kinetochore abscission histone modification protein sumoylation anaphase-promoting complex-dependent catabolic process spindle checkpoint negative regulation of protein binding positive regulation of telomere maintenance via telomerase negative regulation of cytokinesis positive regulation of cytokinesis protein localization to kinetochore cellular response to UV cleavage furrow formation protein ubiquitination involved in ubiquitin-dependent protein catabolic process histone H3-S28 phosphorylation protein autophosphorylation mitotic spindle midzone assembly positive regulation of telomerase activity regulation of chromosome segregation regulation of signal transduction by p53 class mediator positive regulation of telomere capping
          It has to be done as per old AB suggested Products section.
          guarantee_icon

          性能保障

          只要您发现Invitrogen抗体在实验中的表现与网站或说明书的所述内容不符,您即可享受免费退换货服务。*

          了解更多
          help_icon

          随时为您服务

          获取常见问题的专家解答,或者直接联系我们的技术专家,咨询应用、设备、常规产品使用问题。

          联系技术支持
          订购 Plus Icon Minus Icon
          • 订单状态查询
          • 订单支持
          • 货号直购
          • 现货供应中心
          • 电子采购
          支持 Plus Icon Minus Icon
          • 帮助&支持
          • 联系我们 - 400 820 8982
          • 技术支持中心
          • 查找文件&证书
          • 报告网站问题
          资源 Plus Icon Minus Icon
          • 学习中心
          • 促销
          • 活动&研讨会
          • 社交媒体
          关于赛默飞 Plus Icon Minus Icon
          • 关于我们
          • 招聘 招聘
          • 投资者关系 投资者关系
          • 新闻 新闻
          • 社会责任 社会责任
          • 商标
          • 政策和通知
          品牌 Plus Icon Minus Icon
          • Thermo Scientific
          • Applied Biosystems
          • Invitrogen
          • Gibco
          • Ion Torrent
          • Patheon
          • PPD
          • 服务条款
          • 隐私政策
          • 定价和运输保险政策
          © 2006-2026 Thermo Fisher Scientific Inc. All rights reserved. All trademarks are the property of Thermo Fisher Scientific and its subsidiaries unless otherwise specified.
          China flag icon
          China
          本网站销售的所有产品均不得用于人类或动物之临床诊断或治疗,仅可用于工业或者科研等非医疗目的。
             电子营业执照 | 经营证照公示 | ICP备案号:沪ICP备11003924号 | 沪公网安备 31011502006935号

          Your items have has been added!


          Host server : magellan-search-blue-55ff9ddd88-hqkpn:80/100.66.73.1:80.
          git-commit: d366ff9721d93504b2ac26a183b2b3e3d0e7d9ec
          git-url: https://github.com/thermofisher/magellan-search
          git-branch: release/2.42.0-2026.01.03-1.0