Hamburger Menu Button
Thermo Fisher Scientific Logo
登录
没有账号?建立账号 注册
  • 产品
    • 抗体
    • 引物合成
    • GeneArt Gene Synthesis Instant Designer
    • TaqMan Assay and Array Search
    • PCR 设备和耗材
    • 色谱柱和纯化柱
    • 实验室离心机
    • 分子生物学试剂和试剂盒
    • 实验室塑料耗材及用品
    • 查看所有产品分类
  • 应用和技术
    • 色谱
    • 细胞转染和培养
    • 实时荧光定量PCR
    • 质谱
    • 实验室塑料耗材及用品
    • 电子显微镜
    • 蛋白质生物学
    • PCR
    • RNAi
    • 环境
    • 查看所有应用和技术
  • 服务
    • 定制服务
    • 企业级实验室信息化服务
    • 金融&租赁服务
    • 仪器服务
    • OEM和商业供应
    • 培训服务
    • 360° CDMO 和 CRO 服务
    • CDMO 服务
    • 临床试验 CRO 服务
    • Unity Lab Services
    • 查看所有帮助和支持
  • 帮助和支持
    • 学习中心
    • 联系我们
    • 更改国家或地区
    • 查看所有帮助和支持
  • 热门产品
    • TaqMan Real-Time PCR Assays
      TaqMan 实时荧光定量 PCR 试剂盒
    • Antibodies
      抗体
    • Oligos, Primers & Probes
      寡核苷酸、引物、探针
    • GeneArt Gene Synthesis
      GeneArt 基因合成
    • Cell Culture Plastics
      细胞培养耗材
  • Who We Serve
    • 抗体治疗解决方案
    • 细胞与基因治疗解决方案
    • 学术科研
    • 工业与应用
  • 联系我们
  • 货号直购
  • 订单查询
  • 查找文件&证书
Thermo Fisher Scientific Logo

Search

搜索全部或下列指定分类
Search button
          • 联系我们
          • 货号直购
          • 登录
            登录
            没有账号?建立账号 注册
            • 我的账号
            • 订单
            • 会员中心
            • 账单及发票查询
            • 定制产品及项目
          • Primary Antibodies ›
          • B3GNT8 Antibodies

          Invitrogen

          B3GNT8 Polyclonal Antibody

          高级验证
          查看其他2个B3GNT8抗体

          {{$productOrderCtrl.translations['antibody.pdp.commerceCard.promotion.promotions']}}

          {{$productOrderCtrl.translations['antibody.pdp.commerceCard.promotion.viewpromo']}}

          {{$productOrderCtrl.translations['antibody.pdp.commerceCard.promotion.promocode']}}: {{promo.promoCode}} {{promo.promoTitle}} {{promo.promoDescription}}. {{$productOrderCtrl.translations['antibody.pdp.commerceCard.promotion.learnmore']}}

          说明书
          证书
          实验方案
          问题与答案
          技术支持
          说明书
          证书
          实验方案
          问题与答案
          技术支持
          说明书
          证书
          实验方案
          问题与答案
          技术支持

          Cite B3GNT8 Polyclonal Antibody

          Additional Information:
          {{banner.description}}
          {{$ctrl.isSkuNotesCollapsed ? 'View more' : 'View less'}}
          • 抗体检测数据 (3)
          • 高级验证 (1)
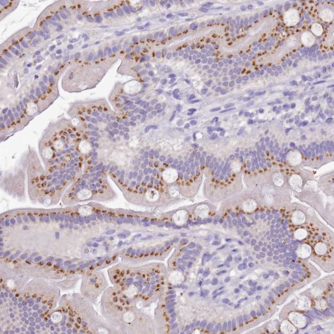
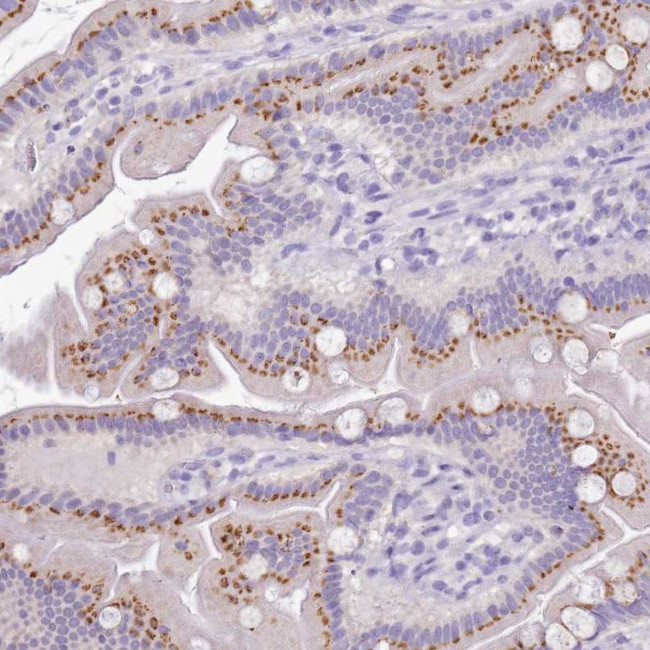
          B3GNT8 Antibody in Immunohistochemistry (Paraffin) (IHC (P))
          Group 53 Created with Sketch.
          B3GNT8 Antibody in Immunohistochemistry (Paraffin) (IHC (P))
          Group 53 Created with Sketch.

          图: 1 / 4

          {{ $ctrl.currentElement.advancedVerification.fullName }}
          {{ $ctrl.currentElement.advancedVerification.text }}

          B3GNT8 Antibody (PA5-60459) in IHC (P)

          Immunohistochemical analysis of B3GNT8 in human small intestine using B3GNT8 Polyclonal Antibody (Product # PA5-60459) shows high expression. {{ $ctrl.currentElement.advancedVerification.fullName }} 验证信息 View more
          已发表图片由___提供 benchsci-logo
          PMID: {{$ctrl.currentElement.benchSciPubmedId}}
          查看产品

          {{$ctrl.videoDesc}}

          {{$ctrl.videoLongDesc}}

          B3GNT8 Antibody in Immunohistochemistry (Paraffin) (IHC (P))
          B3GNT8 Antibody in Immunohistochemistry (IHC)
          B3GNT8 Antibody in Immunohistochemistry (IHC)
          B3GNT8 Antibody
          B3GNT8 Polyclonal Antibody

          产品信息

          PA5-60459

          应用
          建议稀释比
          已发表文章

          免疫组化(石蜡) (IHC (P))

          1:20-1:50
          -
          产品规格

          种属反应

          Human

          宿主/亚型

          Rabbit / IgG

          分类

          Polyclonal

          类型

          Antibody

          抗原

          Recombinant protein corresponding to Human B3GNT8. Recombinant protein control fragment (Product #RP-99175).
          3D表位/免疫原

          偶联物

          Unconjugated Unconjugated Unconjugated

          形式

          Liquid

          浓度

          0.2 mg/mL

          规格

          20 µg

          纯化类型

          Antigen affinity chromatography

          保存液

          PBS, pH 7.2, with 40% glycerol

          内含物

          0.02% sodium azide

          保存条件

          Store at 4°C short term. For long term storage, store at -20°C, avoiding freeze/thaw cycles.

          运输条件

          Ambient (domestic); Wet ice (international)

          RRID

          AB_2638429

          产品详细信息

          Immunogen sequence: TPANPEPTLP ANLSTRLGQT IPLPFAYWNQ QQWRLGSLPS GDSTETGGCQ AWGAAAATEI PDFASYPKDL RRFLLSAACR SFPQWLP

          Highest antigen sequence identity to the following orthologs: Mouse - 69%, Rat - 69%.

          靶标信息

          B3GNT8 is a galactosyltransferase involved in the synthesis of poly-N-acetyllactosamine (polyLacNAc), a linear chain of repeating LacNAc units made up of galactose (Gal) and N-acetylglucosamine (GlcNAc) with the structure (Gal-beta-1-4-GlcNAc-beta-1-3)n. By genomic sequence analysis, the B3GNT8 gene is mapped to chromosome 19q13.2. It was showed that a soluble form of B3GNT8 overexpressed by transfected HEK293 cells selectively transferred GlcNAc from UDP-GlcNAc to the nonreducing terminus of Gal-beta-1-4-GlcNAc-alpha-p-nitrophenyl phosphate and to lactoside-alpha-benzoyl. It did not utilize keratan sulfates or polylactosamine oligosaccharide as substrate. B3GNT8 activity required Mn (2+) and showed less efficiency with Co (2+). The pH optimum was between 7 and 7.5. B3GNT8 also transferred GlcNAc onto alpha-1-acid glycoprotein and ovomucoid, which possess tetraantennary complex type and pentaantennary complex type N-glycans. With a tetraantennary N-glycan substrate, B3GNT8 appeared to prefer the beta-1-2 branch over the beta-1-6 branch. When overexpressed in HCT15 human colon cancer cells, B3GNT8 increased cell surface expression of both polyLacNAc and beta-1-6-branched N-glycans.

          仅用于科研。不用于诊断过程。未经明确授权不得转售。

          篇参考文献 (0)

          您是否在文献中引用过该产品?请点击下方按钮邮件告知我们。
          引用该产品

          生物信息学

          蛋白别名: beta galactosyltransferase BGALT15; beta-1,3-Gn-T8; beta-1,3-N-acetylglucosaminyltransferase 8; beta1,3-N-acetylglucosaminyltransferase 8; bGalT15; BGnT-8; N-acetyllactosaminide beta-1,3-N-acetylglucosaminyltransferase 8; UDP-Gal:betaGal beta 1,3-galactosyltransferase polypeptide 7; UDP-GlcNAc:betaGal beta-1,3-N-acetylglucosaminyltransferase 8

          查看更多 收起

          基因别名: B3GALT7; B3GNT8; beta3Gn-T8; BGALT15

          查看更多 收起

          UniProt ID: (Human) Q7Z7M8

          查看更多 收起

          Entrez Gene ID: (Human) 374907

          查看更多 收起

          功能
          protein binding UDP-galactose:beta-N-acetylglucosamine beta-1,3-galactosyltransferase activity protein N-acetylglucosaminyltransferase activity transferase activity transferase activity, transferring glycosyl groups transferase activity, transferring hexosyl groups
          参与通路
          protein glycosylation protein O-linked glycosylation O-glycan processing poly-N-acetyllactosamine biosynthetic process carbohydrate derivative biosynthetic process
          It has to be done as per old AB suggested Products section.

          Disclaimer

          Close

          Clicking the images or links will redirect you to a website hosted by BenchSci that provides third-party scientific content. Neither the content nor the BenchSci technology and processes for selection have been evaluated by us; we are providing them as-is and without warranty of any kind, including for use or application of the Thermo Fisher Scientific products presented.

          guarantee_icon

          性能保障

          只要您发现Invitrogen抗体在实验中的表现与网站或说明书的所述内容不符,您即可享受免费退换货服务。*

          了解更多
          help_icon

          随时为您服务

          获取常见问题的专家解答,或者直接联系我们的技术专家,咨询应用、设备、常规产品使用问题。

          联系技术支持
          订购 Plus Icon Minus Icon
          • 订单状态查询
          • 订单支持
          • 货号直购
          • 现货供应中心
          • 电子采购
          支持 Plus Icon Minus Icon
          • 帮助&支持
          • 联系我们 - 400 820 8982
          • 技术支持中心
          • 查找文件&证书
          • 报告网站问题
          资源 Plus Icon Minus Icon
          • 学习中心
          • 促销
          • 活动&研讨会
          • 社交媒体
          关于赛默飞 Plus Icon Minus Icon
          • 关于我们
          • 招聘 招聘
          • 投资者关系 投资者关系
          • 新闻 新闻
          • 社会责任 社会责任
          • 商标
          • 政策和通知
          品牌 Plus Icon Minus Icon
          • Thermo Scientific
          • Applied Biosystems
          • Invitrogen
          • Gibco
          • Ion Torrent
          • Unity Lab Services
          • Patheon
          • PPD
          • 服务条款
          • 隐私政策
          • 定价和运输保险政策
          © 2006-2026 Thermo Fisher Scientific Inc. All rights reserved. All trademarks are the property of Thermo Fisher Scientific and its subsidiaries unless otherwise specified.
          China flag icon
          China
          本网站销售的所有产品均不得用于人类或动物之临床诊断或治疗,仅可用于工业或者科研等非医疗目的。
             电子营业执照 | 经营证照公示 | ICP备案号:沪ICP备11003924号 | 沪公网安备 31011502006935号

          Your items have has been added!


          Host server : magellan-search-green-6479c7f679-sz4vp:80/100.66.76.236:80.
          git-commit: b70c0dceb888abc3b0dcebb5bc3a5b8753e7e816
          git-url: https://github.com/thermofisher/magellan-search
          git-branch: release/2.50.0-Offline