Hamburger Menu Button
Thermo Fisher Scientific Logo
登录
没有账号?建立账号 注册
  • 产品
    • 抗体
    • 引物合成
    • GeneArt Gene Synthesis Instant Designer
    • TaqMan Assay and Array Search
    • PCR 设备和耗材
    • 色谱柱和纯化柱
    • 实验室离心机
    • 分子生物学试剂和试剂盒
    • 实验室塑料耗材及用品
    • 查看所有产品分类
  • 应用和技术
    • 色谱
    • 细胞转染和培养
    • 实时荧光定量PCR
    • 质谱
    • 实验室塑料耗材及用品
    • 电子显微镜
    • 蛋白质生物学
    • PCR
    • RNAi
    • 环境
    • 查看所有应用和技术
  • 服务
    • 定制服务
    • 企业级实验室信息化服务
    • 金融&租赁服务
    • 仪器服务
    • OEM和商业供应
    • 培训服务
    • 360° CDMO 和 CRO 服务
    • CDMO 服务
    • 临床试验 CRO 服务
    • Unity Lab Services
    • 查看所有帮助和支持
  • 帮助和支持
    • 学习中心
    • 联系我们
    • 更改国家或地区
    • 查看所有帮助和支持
  • 热门产品
    • TaqMan Real-Time PCR Assays
      TaqMan 实时荧光定量 PCR 试剂盒
    • Antibodies
      抗体
    • Oligos, Primers & Probes
      寡核苷酸、引物、探针
    • GeneArt Gene Synthesis
      GeneArt 基因合成
    • Cell Culture Plastics
      细胞培养耗材
  • 联系我们
  • 货号直购
  • 订单查询
  • 查找文件&证书
Thermo Fisher Scientific Logo

Search

搜索全部或下列指定分类
Search button
          • 联系我们
          • 货号直购
          • 登录
            登录
            没有账号?建立账号 注册
            • 我的账号
            • 订单
            • 账单及发票查询
            • 定制产品及项目

          Disclaimer

          Clicking the images or links will redirect you to a website hosted by BenchSci that provides third-party scientific content. Neither the content nor the BenchSci technology and processes for selection have been evaluated by us; we are providing them as-is and without warranty of any kind, including for use or application of the Thermo Fisher Scientific products presented.

          • Primary Antibodies ›
          • BAD Antibodies

          Proteintech

          BAD Polyclonal Antibody

          81 篇参考文献
          查看其他41个BAD抗体

          {{$productOrderCtrl.translations['antibody.pdp.commerceCard.promotion.promotions']}}

          {{$productOrderCtrl.translations['antibody.pdp.commerceCard.promotion.viewpromo']}}

          {{$productOrderCtrl.translations['antibody.pdp.commerceCard.promotion.promocode']}}: {{promo.promoCode}} {{promo.promoTitle}} {{promo.promoDescription}}. {{$productOrderCtrl.translations['antibody.pdp.commerceCard.promotion.learnmore']}}

          说明书
          证书
          实验方案
          问题与答案
          技术支持
          说明书
          证书
          实验方案
          问题与答案
          技术支持
          说明书
          证书
          实验方案
          问题与答案
          技术支持

          Cite BAD Polyclonal Antibody

          • 抗体检测数据 (11)
          BAD Antibody in Immunohistochemistry (Paraffin) (IHC (P))
          Group 53 Created with Sketch.
          BAD Antibody in Immunohistochemistry (Paraffin) (IHC (P))
          Group 53 Created with Sketch.

          图: 1 / 11

          {{ $ctrl.currentElement.advancedVerification.fullName }}
          {{ $ctrl.currentElement.advancedVerification.text }}

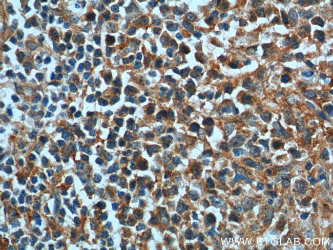
          BAD Antibody (10435-1-AP) in IHC (P)

          Immunohistochemistry of paraffin-embedded human lymphoma tissue slide using 10435-1-AP (BAD Antibody) at dilution of 1:200 (under 40x lens). {{ $ctrl.currentElement.advancedVerification.fullName }} 验证信息 View more
          已发表图片由___提供 benchsci-logo
          PMID: {{$ctrl.currentElement.benchSciPubmedId}}
          查看产品

          {{$ctrl.videoDesc}}

          {{$ctrl.videoLongDesc}}

          BAD Antibody in Immunohistochemistry (Paraffin) (IHC (P))
          BAD Antibody in Immunohistochemistry (Paraffin) (IHC (P))
          BAD Antibody in Immunohistochemistry (Paraffin) (IHC (P))
          BAD Antibody in Immunohistochemistry (Paraffin) (IHC (P))
          BAD Antibody in Immunohistochemistry (Paraffin) (IHC (P))
          BAD Antibody in Immunohistochemistry (Paraffin) (IHC (P))
          BAD Antibody in Western Blot (WB)
          BAD Antibody in Western Blot (WB)
          BAD Antibody in Western Blot (WB)
          BAD Antibody in Western Blot (WB)
          BAD Antibody in Flow Cytometry (Flow)
          BAD Polyclonal Antibody

          产品信息

          10435-1-AP

          应用
          建议稀释比
          已发表文章

          免疫印迹 (WB)

          1:200-1:1,000
          查看78篇已发表文章 78篇已发表文章

          免疫组化 (IHC)

          -
          查看2篇已发表文章 2篇已发表文章

          免疫组化(石蜡) (IHC (P))

          1:100-1:500
          -

          流式细胞分析 (Flow)

          Assay-dependent
          -

          不适用 (N/A)

          -
          查看1篇已发表文章 1篇已发表文章
          产品规格

          种属反应

          Human

          已发表种属

          Human, Mouse, Rat, Sheep

          宿主/亚型

          Rabbit / IgG

          分类

          Polyclonal

          类型

          Antibody

          抗原

          BAD Fusion Protein Ag0688 (14-168 aa encoded by BC001901)
          查看免疫原

          偶联物

          Unconjugated Unconjugated Unconjugated

          形式

          Liquid

          浓度

          0.21 mg/mL

          纯化类型

          Antigen affinity chromatography

          保存液

          PBS, pH 7.3, with 50% glycerol

          内含物

          0.02% sodium azide

          保存条件

          -20°C

          运输条件

          Wet ice (domestic); Dry ice (international)

          产品详细信息

          Immunogen sequence: DSSSAERGL GPSPAGDGPS GSGKHHRQAP GLLWDASHQQ EQPTSSSHHG GAGAVEIRSR HSSYPAGTED DEGMGEEPSP FRGRSRSAPP NLWAAQRYGR ELRRMSDEFV DSFKKGLPRP KSAGTATQMR QSSSWTRVFQ SWWDRNLGRG SSAPSQ (14-168 aa encoded by BC001901)

          靶标信息

          The protein encoded by BAD is a member of the BCL-2 family. BCL-2 family members are known to be regulators of programmed cell death. This protein positively regulates cell apoptosis by forming heterodimers with BCL-xL and BCL-2, and reversing their death repressor activity. Proapoptotic activity of this protein is regulated through its phosphorylation. Protein kinases AKT and MAP kinase, as well as protein phosphatase calcineurin were found to be involved in the regulation of this protein. Alternative splicing of this gene results in two transcript variants which encode the same isoform.

          仅用于科研。不用于诊断过程。未经明确授权不得转售。

          生物信息学

          蛋白别名: BAD; Bcl-2-binding component 6; Bcl-2-like protein 8; BCL-X/BCL-2 binding protein; Bcl-xL/Bcl-2-associated death promoter; Bcl2 antagonist of cell death; BCL2-antagonist of cell death protein; BCL2-associated agonist of cell death; BCL2-binding component 6; BCL2-binding protein; Bcl2-L-8; OTTMUSP00000017561; OTTMUSP00000022400

          查看更多 收起

          基因别名: BAD; BBC2; BBC6; BCL2L8

          查看更多 收起

          UniProt ID: (Human) Q92934

          查看更多 收起

          Entrez Gene ID: (Human) 572

          查看更多 收起

          功能
          protein binding phospholipid binding lipid binding cysteine-type endopeptidase activator activity involved in apoptotic process protein kinase binding protein phosphatase 2B binding protein kinase B binding protein heterodimerization activity 14-3-3 protein binding
          参与通路
          release of cytochrome c from mitochondria protein insertion into mitochondrial membrane involved in apoptotic signaling pathway glucose catabolic process apoptotic process activation of cysteine-type endopeptidase activity involved in apoptotic process spermatogenesis extrinsic apoptotic signaling pathway via death domain receptors intrinsic apoptotic signaling pathway in response to DNA damage response to glucose positive regulation of autophagy positive regulation of mitochondrial membrane potential suppression by virus of host apoptotic process cytokine-mediated signaling pathway cerebral cortex development positive regulation of insulin secretion response to estradiol response to progesterone positive regulation of glucokinase activity response to testosterone response to oleic acid positive regulation of insulin secretion involved in cellular response to glucose stimulus response to drug response to hydrogen peroxide glucose homeostasis positive regulation of apoptotic process response to amino acid positive regulation of cysteine-type endopeptidase activity involved in apoptotic process type B pancreatic cell proliferation response to ethanol positive regulation of B cell differentiation positive regulation of T cell differentiation positive regulation of proteolysis negative regulation of cytolysis ADP metabolic process ATP metabolic process regulation of mitochondrial membrane permeability pore complex assembly positive regulation of epithelial cell proliferation response to glucocorticoid response to calcium ion positive regulation of apoptotic process by virus cellular process regulating host cell cycle in response to virus cellular response to chromate cellular response to mechanical stimulus cellular response to nicotine cellular response to lipid cellular response to hypoxia positive regulation of release of cytochrome c from mitochondria extrinsic apoptotic signaling pathway extrinsic apoptotic signaling pathway in absence of ligand intrinsic apoptotic signaling pathway activation of cysteine-type endopeptidase activity positive regulation of protein insertion into mitochondrial membrane involved in apoptotic signaling pathway positive regulation of neuron death positive regulation of type B pancreatic cell development positive regulation of intrinsic apoptotic signaling pathway
          It has to be done as per old AB suggested Products section.
          guarantee_icon

          性能保障

          只要您发现Invitrogen抗体在实验中的表现与网站或说明书的所述内容不符,您即可享受免费退换货服务。*

          了解更多
          help_icon

          随时为您服务

          获取常见问题的专家解答,或者直接联系我们的技术专家,咨询应用、设备、常规产品使用问题。

          联系技术支持
          订购 Plus Icon Minus Icon
          • 订单状态查询
          • 订单支持
          • 货号直购
          • 现货供应中心
          • 电子采购
          支持 Plus Icon Minus Icon
          • 帮助&支持
          • 联系我们 - 400 820 8982
          • 技术支持中心
          • 查找文件&证书
          • 报告网站问题
          资源 Plus Icon Minus Icon
          • 学习中心
          • 促销
          • 活动&研讨会
          • 社交媒体
          关于赛默飞 Plus Icon Minus Icon
          • 关于我们
          • 招聘 招聘
          • 投资者关系 投资者关系
          • 新闻 新闻
          • 社会责任 社会责任
          • 商标
          • 政策和通知
          品牌 Plus Icon Minus Icon
          • Thermo Scientific
          • Applied Biosystems
          • Invitrogen
          • Gibco
          • Ion Torrent
          • Patheon
          • PPD
          • 服务条款
          • 隐私政策
          • 定价和运输保险政策
          © 2006-2026 Thermo Fisher Scientific Inc. All rights reserved. All trademarks are the property of Thermo Fisher Scientific and its subsidiaries unless otherwise specified.
          China flag icon
          China
          本网站销售的所有产品均不得用于人类或动物之临床诊断或治疗,仅可用于工业或者科研等非医疗目的。
             电子营业执照 | 经营证照公示 | ICP备案号:沪ICP备11003924号 | 沪公网安备 31011502006935号

          Your items have has been added!


          Host server : magellan-search-blue-55ff9ddd88-lffdw:80/100.66.79.31:80.
          git-commit: d366ff9721d93504b2ac26a183b2b3e3d0e7d9ec
          git-url: https://github.com/thermofisher/magellan-search
          git-branch: release/2.42.0-2026.01.03-1.0