Hamburger Menu Button
Thermo Fisher Scientific Logo
登录
没有账号?建立账号 注册
  • 产品
    • 抗体
    • 引物合成
    • GeneArt Gene Synthesis Instant Designer
    • TaqMan Assay and Array Search
    • PCR 设备和耗材
    • 色谱柱和纯化柱
    • 实验室离心机
    • 分子生物学试剂和试剂盒
    • 实验室塑料耗材及用品
    • 查看所有产品分类
  • 应用和技术
    • 色谱
    • 细胞转染和培养
    • 实时荧光定量PCR
    • 质谱
    • 实验室塑料耗材及用品
    • 电子显微镜
    • 蛋白质生物学
    • PCR
    • RNAi
    • 环境
    • 查看所有应用和技术
  • 服务
    • 定制服务
    • 企业级实验室信息化服务
    • 金融&租赁服务
    • 仪器服务
    • OEM和商业供应
    • 培训服务
    • 360° CDMO 和 CRO 服务
    • CDMO 服务
    • 临床试验 CRO 服务
    • Unity Lab Services
    • 查看所有帮助和支持
  • 帮助和支持
    • 学习中心
    • 联系我们
    • 更改国家或地区
    • 查看所有帮助和支持
  • 热门产品
    • TaqMan Real-Time PCR Assays
      TaqMan 实时荧光定量 PCR 试剂盒
    • Antibodies
      抗体
    • Oligos, Primers & Probes
      寡核苷酸、引物、探针
    • GeneArt Gene Synthesis
      GeneArt 基因合成
    • Cell Culture Plastics
      细胞培养耗材
  • Who We Serve
    • 抗体治疗解决方案
    • 细胞与基因治疗解决方案
    • 学术科研
    • 工业与应用
  • 联系我们
  • 货号直购
  • 订单查询
  • 查找文件&证书
Thermo Fisher Scientific Logo

Search

搜索全部或下列指定分类
Search button
          • 联系我们
          • 货号直购
          • 登录
            登录
            没有账号?建立账号 注册
            • 我的账号
            • 订单
            • 会员中心
            • 账单及发票查询
            • 定制产品及项目
          • Primary Antibodies ›
          • BAG6 Antibodies

          Invitrogen

          BAG6 Polyclonal Antibody

          查看其他18个BAG6抗体

          {{$productOrderCtrl.translations['antibody.pdp.commerceCard.promotion.promotions']}}

          {{$productOrderCtrl.translations['antibody.pdp.commerceCard.promotion.viewpromo']}}

          {{$productOrderCtrl.translations['antibody.pdp.commerceCard.promotion.promocode']}}: {{promo.promoCode}} {{promo.promoTitle}} {{promo.promoDescription}}. {{$productOrderCtrl.translations['antibody.pdp.commerceCard.promotion.learnmore']}}

          说明书
          证书
          实验方案
          问题与答案
          技术支持
          说明书
          证书
          实验方案
          问题与答案
          技术支持
          说明书
          证书
          实验方案
          问题与答案
          技术支持

          Cite BAG6 Polyclonal Antibody

          Additional Information:
          {{banner.description}}
          {{$ctrl.isSkuNotesCollapsed ? 'View more' : 'View less'}}
          • 抗体检测数据 (6)
          BAG6 Antibody in Immunocytochemistry (ICC/IF)
          Group 53 Created with Sketch.
          BAG6 Antibody in Immunocytochemistry (ICC/IF)
          Group 53 Created with Sketch.

          图: 1 / 6

          {{ $ctrl.currentElement.advancedVerification.fullName }}
          {{ $ctrl.currentElement.advancedVerification.text }}

          BAG6 Antibody (PA5-95614) in ICC/IF

          Immunocytochemistry/Immunofluorescence analysis of BAG6 in PC3 cell using BAG6 Polyclonal Antibody (Product # PA5-95614). Enzyme antigen retrieval was performed using IHC enzyme antigen retrieval reagent for 15 mins. The cells were blocked with 10% goat serum and incubated with the primary antibody at 5 µg/mL and mouse anti-Beta Tubulin antibody overnight at 4°C. DyLight488 conjugated goat anti-rabbit IgG and DyLight 550 conjugated goat anti-mouse IgG were used as secondary antibody at 1:500 dilution and incubated for 30 minutes at 37°C. V... View More {{ $ctrl.currentElement.advancedVerification.fullName }} 验证信息 View more
          已发表图片由___提供 benchsci-logo
          PMID: {{$ctrl.currentElement.benchSciPubmedId}}
          查看产品

          {{$ctrl.videoDesc}}

          {{$ctrl.videoLongDesc}}

          BAG6 Antibody in Immunocytochemistry (ICC/IF)
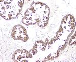
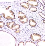
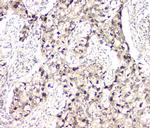
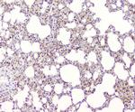
          BAG6 Antibody in Immunohistochemistry (Paraffin) (IHC (P))
          BAG6 Antibody in Immunohistochemistry (Paraffin) (IHC (P))
          BAG6 Antibody in Western Blot (WB)
          BAG6 Antibody in Western Blot (WB)
          BAG6 Antibody in Flow Cytometry (Flow)
          BAG6 Polyclonal Antibody

          产品信息

          PA5-95614

          应用
          建议稀释比
          已发表文章

          免疫印迹 (WB)

          0.1-0.5 µg/mL
          -

          免疫组化(石蜡) (IHC (P))

          2-5 µg/mL
          -

          免疫细胞化学 (ICC/IF)

          5 µg/mL
          -

          流式细胞分析 (Flow)

          1-3 µg/1x10^6 cells
          -

          酶联免疫吸附实验 (ELISA)

          0.1-0.5 µg/mL
          -
          产品规格

          种属反应

          Human, Mouse, Rat

          宿主/亚型

          Rabbit / IgG

          分类

          Polyclonal

          类型

          Antibody

          抗原

          E.coli-derived human BAT3/BAG6 recombinant protein (D15-A88).
          3D表位/免疫原

          偶联物

          Unconjugated Unconjugated Unconjugated

          形式

          Lyophilized

          浓度

          500 µg/mL

          规格

          100 µg

          纯化类型

          Affinity chromatography

          保存液

          PBS with 4mg trehalose

          内含物

          0.05mg sodium azide

          保存条件

          -20°C

          运输条件

          Ambient (domestic); Wet ice (international)

          RRID

          AB_2807416

          产品详细信息

          Reconstitute with 0.2 mL of distilled water to yield a concentration of 500 µg/mL.

          Positive Control - WB: human Hela whole cell, human U87 whole cell, human SH-SY5Y whole cell, rat brain tissue, rat C6 whole cell, mouse brain tissue, mouse Neuro-2a whole cell, human Hela whole cell, human THP-1 whole cell, human U87 whole cell, human SH-SY5Y whole cell, rat brain tissue, rat C6 whole cell, mouse brain tissue, mouse Neuro-2a whole cell. IHC: human lung cancer tissue, human ovarian serous adenocarcinoma tissue. ICC/IF: PC3 cell. Flow: SH-SY5Y cell.|Store at -20°C for one year from date of receipt. After reconstitution, at 4°C for one month. It can also be aliquotted and stored frozen at -20°C for six months. Avoid repeated freeze-thaw cycles.

          靶标信息

          This gene was first characterized as part of a cluster of genes located within the human major histocompatibility complex class III region. This gene encodes a nuclear protein that is cleaved by caspase 3 and is implicated in the control of apoptosis. In addition, the protein forms a complex with E1A binding protein p300 and is required for the acetylation of p53 in response to DNA damage. Multiple transcript variants encoding different isoforms have been found for this gene.

          仅用于科研。不用于诊断过程。未经明确授权不得转售。

          篇参考文献 (0)

          您是否在文献中引用过该产品?请点击下方按钮邮件告知我们。
          引用该产品

          生物信息学

          蛋白别名: BAG 6; BAG family molecular chaperone regulator 6; BAG-6; BAT 3; BCL2 associated athanogene 6; BCL2-associated athanogene 6; DAQB-195H10.3; HLA-B associated transcript 3; HLA-B-associated transcript 3; HLA-B-associated transcript 3 (BAT3); Large proline-rich protein BAG6; large proline-rich protein BAT3; Protein G3; Protein Scythe; scythe; unnamed protein product

          查看更多 收起

          基因别名: 2410045D21Rik; AA408914; BAG-6; BAG6; BAT3; D17H6S52E; D6S52E; G3; Scythe

          查看更多 收起

          UniProt ID: (Human) P46379, (Rat) Q6MG49, (Mouse) Q9Z1R2

          查看更多 收起

          Entrez Gene ID: (Human) 7917, (Rat) 94342, (Mouse) 224727

          查看更多 收起

          功能
          receptor binding protein binding Hsp70 protein binding polyubiquitin binding ubiquitin protein ligase binding identical protein binding ribosome binding receptor agonist activity misfolded protein binding binding, bridging proteasome binding protein carrier chaperone ubiquitin-specific protease binding chaperone
          参与通路
          kidney development immune system process immune response-activating cell surface receptor signaling pathway chromatin organization ubiquitin-dependent protein catabolic process posttranslational protein targeting to membrane apoptotic process synaptonemal complex assembly spermatogenesis brain development proteasomal protein catabolic process internal peptidyl-lysine acetylation natural killer cell activation cell differentiation lung development regulation of protein stability negative regulation of proteasomal ubiquitin-dependent protein catabolic process ERAD pathway maintenance of unfolded protein intrinsic apoptotic signaling pathway in response to DNA damage by p53 class mediator regulation of apoptotic process negative regulation of apoptotic process proteasome-mediated ubiquitin-dependent protein catabolic process negative regulation of proteolysis regulation of embryonic development protein stabilization NK T cell activation endoplasmic reticulum stress-induced pre-emptive quality control intrinsic apoptotic signaling pathway in response to endoplasmic reticulum stress tail-anchored membrane protein insertion into ER membrane positive regulation of ERAD pathway transport chromatin modification regulation of cell proliferation antigen processing and presentation of peptide antigen via MHC class I embryo development
          It has to be done as per old AB suggested Products section.

          Disclaimer

          Close

          Clicking the images or links will redirect you to a website hosted by BenchSci that provides third-party scientific content. Neither the content nor the BenchSci technology and processes for selection have been evaluated by us; we are providing them as-is and without warranty of any kind, including for use or application of the Thermo Fisher Scientific products presented.

          guarantee_icon

          性能保障

          只要您发现Invitrogen抗体在实验中的表现与网站或说明书的所述内容不符,您即可享受免费退换货服务。*

          了解更多
          help_icon

          随时为您服务

          获取常见问题的专家解答,或者直接联系我们的技术专家,咨询应用、设备、常规产品使用问题。

          联系技术支持
          订购 Plus Icon Minus Icon
          • 订单状态查询
          • 订单支持
          • 货号直购
          • 现货供应中心
          • 电子采购
          支持 Plus Icon Minus Icon
          • 帮助&支持
          • 联系我们 - 400 820 8982
          • 技术支持中心
          • 查找文件&证书
          • 报告网站问题
          资源 Plus Icon Minus Icon
          • 学习中心
          • 促销
          • 活动&研讨会
          • 社交媒体
          关于赛默飞 Plus Icon Minus Icon
          • 关于我们
          • 招聘 招聘
          • 投资者关系 投资者关系
          • 新闻 新闻
          • 社会责任 社会责任
          • 商标
          • 政策和通知
          品牌 Plus Icon Minus Icon
          • Thermo Scientific
          • Applied Biosystems
          • Invitrogen
          • Gibco
          • Ion Torrent
          • Unity Lab Services
          • Patheon
          • PPD
          • 服务条款
          • 隐私政策
          • 定价和运输保险政策
          © 2006-2026 Thermo Fisher Scientific Inc. All rights reserved. All trademarks are the property of Thermo Fisher Scientific and its subsidiaries unless otherwise specified.
          China flag icon
          China
          本网站销售的所有产品均不得用于人类或动物之临床诊断或治疗,仅可用于工业或者科研等非医疗目的。
             电子营业执照 | 经营证照公示 | ICP备案号:沪ICP备11003924号 | 沪公网安备 31011502006935号

          Your items have has been added!


          Host server : magellan-search-green-6479c7f679-l2s7p:80/100.66.76.236:80.
          git-commit: b70c0dceb888abc3b0dcebb5bc3a5b8753e7e816
          git-url: https://github.com/thermofisher/magellan-search
          git-branch: release/2.50.0-Offline