Hamburger Menu Button
Thermo Fisher Scientific Logo
登录
没有账号?建立账号 注册
  • 产品
    • 抗体
    • 引物合成
    • GeneArt Gene Synthesis Instant Designer
    • TaqMan Assay and Array Search
    • PCR 设备和耗材
    • 色谱柱和纯化柱
    • 实验室离心机
    • 分子生物学试剂和试剂盒
    • 实验室塑料耗材及用品
    • 查看所有产品分类
  • 应用和技术
    • 色谱
    • 细胞转染和培养
    • 实时荧光定量PCR
    • 质谱
    • 实验室塑料耗材及用品
    • 电子显微镜
    • 蛋白质生物学
    • PCR
    • RNAi
    • 环境
    • 查看所有应用和技术
  • 服务
    • 定制服务
    • 企业级实验室信息化服务
    • 金融&租赁服务
    • 仪器服务
    • OEM和商业供应
    • 培训服务
    • 360° CDMO 和 CRO 服务
    • CDMO 服务
    • 临床试验 CRO 服务
    • Unity Lab Services
    • 查看所有帮助和支持
  • 帮助和支持
    • 学习中心
    • 联系我们
    • 更改国家或地区
    • 查看所有帮助和支持
  • 热门产品
    • TaqMan Real-Time PCR Assays
      TaqMan 实时荧光定量 PCR 试剂盒
    • Antibodies
      抗体
    • Oligos, Primers & Probes
      寡核苷酸、引物、探针
    • GeneArt Gene Synthesis
      GeneArt 基因合成
    • Cell Culture Plastics
      细胞培养耗材
  • Who We Serve
    • 抗体治疗解决方案
    • 细胞与基因治疗解决方案
    • 学术科研
    • 工业与应用
  • 联系我们
  • 货号直购
  • 订单查询
  • 查找文件&证书
Thermo Fisher Scientific Logo

Search

搜索全部或下列指定分类
Search button
          • 联系我们
          • 货号直购
          • 登录
            登录
            没有账号?建立账号 注册
            • 我的账号
            • 订单
            • 会员中心
            • 账单及发票查询
            • 定制产品及项目
          • Primary Antibodies ›
          • BCL6 Antibodies

          Proteintech

          BCL6 Polyclonal Antibody

          14 篇参考文献
          查看其他73个BCL6抗体

          {{$productOrderCtrl.translations['antibody.pdp.commerceCard.promotion.promotions']}}

          {{$productOrderCtrl.translations['antibody.pdp.commerceCard.promotion.viewpromo']}}

          {{$productOrderCtrl.translations['antibody.pdp.commerceCard.promotion.promocode']}}: {{promo.promoCode}} {{promo.promoTitle}} {{promo.promoDescription}}. {{$productOrderCtrl.translations['antibody.pdp.commerceCard.promotion.learnmore']}}

          说明书
          证书
          实验方案
          问题与答案
          技术支持
          说明书
          证书
          实验方案
          问题与答案
          技术支持
          说明书
          证书
          实验方案
          问题与答案
          技术支持

          Cite BCL6 Polyclonal Antibody

          Additional Information:
          {{banner.description}}
          {{$ctrl.isSkuNotesCollapsed ? 'View more' : 'View less'}}
          • 抗体检测数据 (9)
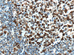
          BCL6 Antibody in Immunohistochemistry (Paraffin) (IHC (P))
          Group 53 Created with Sketch.
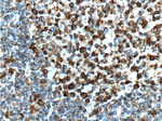
          BCL6 Antibody in Immunohistochemistry (Paraffin) (IHC (P))
          Group 53 Created with Sketch.

          图: 1 / 9

          {{ $ctrl.currentElement.advancedVerification.fullName }}
          {{ $ctrl.currentElement.advancedVerification.text }}

          BCL6 Antibody (21187-1-AP) in IHC (P)

          Immunohistochemistry of paraffin-embedded human lymphoma tissue slide using 21187-1-AP ( BCL6 Antibody) at dilution of 1:400 (under 40x lens). heat mediated antigen retrieved with Sodium Citrate buffer (pH6). {{ $ctrl.currentElement.advancedVerification.fullName }} 验证信息 View more
          已发表图片由___提供 benchsci-logo
          PMID: {{$ctrl.currentElement.benchSciPubmedId}}
          查看产品

          {{$ctrl.videoDesc}}

          {{$ctrl.videoLongDesc}}

          BCL6 Antibody in Immunohistochemistry (Paraffin) (IHC (P))
          BCL6 Antibody in Immunohistochemistry (Paraffin) (IHC (P))
          BCL6 Antibody in Immunohistochemistry (Paraffin) (IHC (P))
          BCL6 Antibody in Immunohistochemistry (Paraffin) (IHC (P))
          BCL6 Antibody in Western Blot (WB)
          BCL6 Antibody in Western Blot (WB)
          BCL6 Antibody in Western Blot (WB)
          BCL6 Antibody in Flow Cytometry (Flow)
          BCL6 Antibody in Immunoprecipitation (IP)
          BCL6 Polyclonal Antibody

          产品信息

          21187-1-AP

          应用
          建议稀释比
          已发表文章

          免疫印迹 (WB)

          1:500-1:3,000
          查看10篇已发表文章 10篇已发表文章

          免疫组化 (IHC)

          -
          查看4篇已发表文章 4篇已发表文章

          免疫组化(石蜡) (IHC (P))

          1:50-1:500
          -

          流式细胞分析 (Flow)

          Assay-dependent
          -

          免疫沉淀 (IP)

          0.5-4.0 µg
          -
          产品规格

          种属反应

          Human

          已发表种属

          Human, Mouse

          宿主/亚型

          Rabbit / IgG

          分类

          Polyclonal

          类型

          Antibody

          抗原

          BCL6 Fusion Protein Ag15519 (183-532 aa encoded by BC150184)
          3D表位/免疫原

          偶联物

          Unconjugated Unconjugated Unconjugated

          形式

          Liquid

          浓度

          0.27 mg/mL

          规格

          40.5 µg

          纯化类型

          Antigen affinity chromatography

          保存液

          PBS, pH 7.3, with 50% glycerol

          内含物

          0.02% sodium azide

          保存条件

          -20°C

          运输条件

          Wet ice (domestic); Dry ice (international)

          产品详细信息

          Immunogen sequence: SLYSGLSTP PASYSMYSHL PVSSLLFSDE EFRDVRMPVA NPFPKERALP CDSARPVPGE YSRPTLEVSP NVCHSNIYSP KETIPEEARS DMHYSVAEGL KPAAPSARNA PYFPCDKASK EEERPSSEDE IALHFEPPNA PLNRKGLVSP QSPQKSDCQP NSPTESCSSK NACILQASGS PPAKSPTDPK ACNWKKYKFI VLNSLNQNAK PEGPEQAELG RLSPRAYTAP PACQPPMEPE NLDLQSPTKL SASGEDSTIP QASRLNNIVN RSMTGSPRSS SESHSPLYMH PPKCTSCGSQ SPQHAEMCLH TAGPTFPEEM GETQSEYSDS SCENGAFFCN ECDCRFSEEA S (183-532 aa encoded by BC150184)

          靶标信息

          Bcl-6 proto-oncogene product (a Kruppel-type zinc-finger protein) is mainly expressed in normal germinal center B cells and related lymphomas. Bcl-6 is involved in chromosome rearrangements at 3q27 in non-Hodgkin's lymphomas and Bcl-6 rearrangements have been detected in 33%-45% of diffuse large B cell lymphomas. Bcl-6 has been detected immunohistochemically in follicular lymphomas, diffuse large B cell lymphomas, Burkitt's lymphomas and in nodular, lymphocyte predominant Hodgkin's disease.

          仅用于科研。不用于诊断过程。未经明确授权不得转售。

          生物信息学

          蛋白别名: B cell CLL/lymphoma 6; B-cell lymphoma 5 protein; B-cell lymphoma 5 protein (BCL5); B-cell lymphoma 6 protein; B-cell lymphoma 6 protein transcript; BCL-5; BCL-6; cys his2 zinc finger transcription factor; cys-his2 zinc finger transcription factor; LAZ-3 protein; Lymphoma Associated Zinc Finger Gene On Chromosome 3 (LAZ3); lymphoma-associated zinc finger gene on chromosome 3; Protein LAZ-3; transcriptional repressor; B-cell CLL/lymphoma 6 spliced short isoform; transcriptional repressor; zinc finger protein 51; unnamed protein product; Zinc finger and BTB domain-containing protein 27; Zinc finger and BTB domain-containing protein 27 (ZBTB27); Zinc finger protein 51; Zinc Finger Protein 51 (ZNF51); zinc finger transcription factor BCL6S

          查看更多 收起

          基因别名: BCL5; BCL6; BCL6A; LAZ3; ZBTB27; ZNF51

          查看更多 收起

          UniProt ID: (Human) P41182

          查看更多 收起

          Entrez Gene ID: (Human) 604

          查看更多 收起

          功能
          RNA polymerase II regulatory region sequence-specific DNA binding RNA polymerase II core promoter proximal region sequence-specific DNA binding intronic transcription regulatory region sequence-specific DNA binding transcription corepressor binding transcriptional repressor activity, RNA polymerase II transcription regulatory region sequence-specific binding DNA binding chromatin binding transcription factor activity, sequence-specific DNA binding protein binding zinc ion binding chromatin DNA binding identical protein binding sequence-specific DNA binding metal ion binding DNA-binding transcription factor binding sequence-specific double-stranded DNA binding
          参与通路
          negative regulation of transcription from RNA polymerase II promoter cell morphogenesis regulation of cytokine production negative regulation of cell-matrix adhesion plasma cell differentiation immune system process germinal center formation regulation of germinal center formation regulation of immune system process negative regulation of type 2 immune response negative regulation of B cell apoptotic process regulation of transcription from RNA polymerase II promoter transcription from RNA polymerase II promoter inflammatory response cellular response to DNA damage stimulus cell-matrix adhesion Rho protein signal transduction spermatogenesis protein localization cell proliferation pyramidal neuron differentiation actin cytoskeleton organization B cell differentiation negative regulation of cell growth positive regulation of B cell proliferation heterochromatin assembly negative regulation of mast cell cytokine production mononuclear cell proliferation negative regulation of mononuclear cell proliferation negative regulation of Rho protein signal transduction type 2 immune response B cell proliferation regulation of cell proliferation regulation of T cell proliferation regulation of apoptotic process positive regulation of apoptotic process negative regulation of apoptotic process regulation of memory T cell differentiation T-helper 2 cell differentiation regulation of T cell differentiation positive regulation of regulatory T cell differentiation regulation of cell differentiation positive regulation of cell differentiation negative regulation of T-helper 2 cell differentiation positive regulation of neuron differentiation negative regulation of Notch signaling pathway negative regulation of transcription, DNA-templated isotype switching to IgE isotypes negative regulation of isotype switching to IgE isotypes erythrocyte development cell motility regulation of inflammatory response regulation of immune response positive regulation of lymphocyte activation negative regulation of plasma cell differentiation regulation of leukocyte cell-cell adhesion negative regulation of mitotic cell cycle DNA replication positive regulation of cell motility negative regulation of cellular senescence
          It has to be done as per old AB suggested Products section.

          Disclaimer

          Close

          Clicking the images or links will redirect you to a website hosted by BenchSci that provides third-party scientific content. Neither the content nor the BenchSci technology and processes for selection have been evaluated by us; we are providing them as-is and without warranty of any kind, including for use or application of the Thermo Fisher Scientific products presented.

          guarantee_icon

          性能保障

          只要您发现Invitrogen抗体在实验中的表现与网站或说明书的所述内容不符,您即可享受免费退换货服务。*

          了解更多
          help_icon

          随时为您服务

          获取常见问题的专家解答,或者直接联系我们的技术专家,咨询应用、设备、常规产品使用问题。

          联系技术支持
          订购 Plus Icon Minus Icon
          • 订单状态查询
          • 订单支持
          • 货号直购
          • 现货供应中心
          • 电子采购
          支持 Plus Icon Minus Icon
          • 帮助&支持
          • 联系我们 - 400 820 8982
          • 技术支持中心
          • 查找文件&证书
          • 报告网站问题
          资源 Plus Icon Minus Icon
          • 学习中心
          • 促销
          • 活动&研讨会
          • 社交媒体
          关于赛默飞 Plus Icon Minus Icon
          • 关于我们
          • 招聘 招聘
          • 投资者关系 投资者关系
          • 新闻 新闻
          • 社会责任 社会责任
          • 商标
          • 政策和通知
          品牌 Plus Icon Minus Icon
          • Thermo Scientific
          • Applied Biosystems
          • Invitrogen
          • Gibco
          • Ion Torrent
          • Unity Lab Services
          • Patheon
          • PPD
          • 服务条款
          • 隐私政策
          • 定价和运输保险政策
          © 2006-2026 Thermo Fisher Scientific Inc. All rights reserved. All trademarks are the property of Thermo Fisher Scientific and its subsidiaries unless otherwise specified.
          China flag icon
          China
          本网站销售的所有产品均不得用于人类或动物之临床诊断或治疗,仅可用于工业或者科研等非医疗目的。
             电子营业执照 | 经营证照公示 | ICP备案号:沪ICP备11003924号 | 沪公网安备 31011502006935号

          Your items have has been added!


          Host server : magellan-search-blue-7c59b9b899-49tpj:80/100.66.77.222:80.
          git-commit: 8ef7cf686e3c81d28b13492708ce56d167b2f995
          git-url: https://github.com/thermofisher/magellan-search
          git-branch: release/2.49.0-Offline