Hamburger Menu Button
Thermo Fisher Scientific Logo
登录
没有账号?建立账号 注册
  • 产品
    • 抗体
    • 引物合成
    • GeneArt Gene Synthesis Instant Designer
    • TaqMan Assay and Array Search
    • PCR 设备和耗材
    • 色谱柱和纯化柱
    • 实验室离心机
    • 分子生物学试剂和试剂盒
    • 实验室塑料耗材及用品
    • 查看所有产品分类
  • 应用和技术
    • 色谱
    • 细胞转染和培养
    • 实时荧光定量PCR
    • 质谱
    • 实验室塑料耗材及用品
    • 电子显微镜
    • 蛋白质生物学
    • PCR
    • RNAi
    • 环境
    • 查看所有应用和技术
  • 服务
    • 定制服务
    • 企业级实验室信息化服务
    • 金融&租赁服务
    • 仪器服务
    • OEM和商业供应
    • 培训服务
    • 360° CDMO 和 CRO 服务
    • CDMO 服务
    • 临床试验 CRO 服务
    • Unity Lab Services
    • 查看所有帮助和支持
  • 帮助和支持
    • 学习中心
    • 联系我们
    • 更改国家或地区
    • 查看所有帮助和支持
  • 热门产品
    • TaqMan Real-Time PCR Assays
      TaqMan 实时荧光定量 PCR 试剂盒
    • Antibodies
      抗体
    • Oligos, Primers & Probes
      寡核苷酸、引物、探针
    • GeneArt Gene Synthesis
      GeneArt 基因合成
    • Cell Culture Plastics
      细胞培养耗材
  • Who We Serve
    • 抗体治疗解决方案
    • 细胞与基因治疗解决方案
    • 学术科研
    • 工业与应用
  • 联系我们
  • 货号直购
  • 订单查询
  • 查找文件&证书
Thermo Fisher Scientific Logo

Search

搜索全部或下列指定分类
Search button
          • 联系我们
          • 货号直购
          • 登录
            登录
            没有账号?建立账号 注册
            • 我的账号
            • 订单
            • 会员中心
            • 账单及发票查询
            • 定制产品及项目
          • Primary Antibodies ›
          • BDNF Antibodies

          Proteintech

          BDNF Polyclonal Antibody

          99 篇参考文献
          查看其他32个BDNF抗体

          {{$productOrderCtrl.translations['antibody.pdp.commerceCard.promotion.promotions']}}

          {{$productOrderCtrl.translations['antibody.pdp.commerceCard.promotion.viewpromo']}}

          {{$productOrderCtrl.translations['antibody.pdp.commerceCard.promotion.promocode']}}: {{promo.promoCode}} {{promo.promoTitle}} {{promo.promoDescription}}. {{$productOrderCtrl.translations['antibody.pdp.commerceCard.promotion.learnmore']}}

          说明书
          证书
          实验方案
          问题与答案
          技术支持
          说明书
          证书
          实验方案
          问题与答案
          技术支持
          说明书
          证书
          实验方案
          问题与答案
          技术支持

          Cite BDNF Polyclonal Antibody

          Additional Information:
          {{banner.description}}
          {{$ctrl.isSkuNotesCollapsed ? 'View more' : 'View less'}}
          • 抗体检测数据 (7)
          BDNF Antibody in Immunocytochemistry (ICC/IF)
          Group 53 Created with Sketch.
          BDNF Antibody in Immunocytochemistry (ICC/IF)
          Group 53 Created with Sketch.

          图: 1 / 7

          {{ $ctrl.currentElement.advancedVerification.fullName }}
          {{ $ctrl.currentElement.advancedVerification.text }}

          BDNF Antibody (28205-1-AP) in ICC/IF

          Immunofluorescent analysis of (4% PFA) fixed PC-12 cells using 28205-1-AP (BDNF antibody) at dilution of 1:50 and Alexa Fluor 488-Conjugated AffiniPure Goat Anti-Rabbit IgG (H+L). {{ $ctrl.currentElement.advancedVerification.fullName }} 验证信息 View more
          已发表图片由___提供 benchsci-logo
          PMID: {{$ctrl.currentElement.benchSciPubmedId}}
          查看产品

          {{$ctrl.videoDesc}}

          {{$ctrl.videoLongDesc}}

          BDNF Antibody in Immunocytochemistry (ICC/IF)
          BDNF Antibody in Immunohistochemistry (Paraffin) (IHC (P))
          BDNF Antibody in Immunohistochemistry (Paraffin) (IHC (P))
          BDNF Antibody in Immunohistochemistry (Paraffin) (IHC (P))
          BDNF Antibody in Immunohistochemistry (Paraffin) (IHC (P))
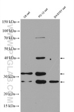
          BDNF Antibody in Western Blot (WB)
          BDNF Antibody in Western Blot (WB)
          BDNF Polyclonal Antibody

          产品信息

          28205-1-AP

          应用
          建议稀释比
          已发表文章

          免疫印迹 (WB)

          1:500-1:1,000
          查看82篇已发表文章 82篇已发表文章

          免疫组化 (IHC)

          -
          查看5篇已发表文章 5篇已发表文章

          免疫组化(石蜡) (IHC (P))

          1:50-1:500
          -

          免疫细胞化学 (ICC/IF)

          1:50-1:500
          查看10篇已发表文章 10篇已发表文章

          其他PubMed (Misc)

          -
          查看2篇已发表文章 2篇已发表文章
          产品规格

          种属反应

          Human, Mouse, Rat

          已发表种属

          Rat

          宿主/亚型

          Rabbit / IgG

          分类

          Polyclonal

          类型

          Antibody

          抗原

          BDNF Fusion Protein Ag28276 (129-247 aa encoded by BC029795)
          3D表位/免疫原

          偶联物

          Unconjugated Unconjugated Unconjugated

          形式

          Liquid

          浓度

          0.33 mg/mL

          规格

          49.5 µg

          纯化类型

          Antigen affinity chromatography

          保存液

          PBS, pH 7.3, with 50% glycerol

          内含物

          0.02% sodium azide

          保存条件

          -20°C

          运输条件

          Wet ice (domestic); Dry ice (international)

          产品详细信息

          Immunogen sequence: HSDPARRGE LSVCDSISEW VTAADKKTAV DMSGGTVTVL EKVPVSKGQL KQYFYETKCN PMGYTKEGCR GIDKRHWNSQ CRTTQSYVRA LTMDSKKRIG WRFIRIDTSC VCTLTIKRGR (129-247 aa encoded by BC029795)

          靶标信息

          BDNF (Brain-Derived Neurotrophic Factor) is a member of the neurotrophin family. BDNF is synthesized as pre-proBDNF, followed by cleavage to proBDNF. Although further processing generates the mature, 14 kDa protein, pro-BDNF is biologically active and is secreted in synaptic vesicles along with the mature form. BDNF is widely expressed in the central nervous system and acts in an autocrine and paracrine manner on several classes of neurons. Signaling occurs mainly through the tyrosine kinase receptor TrkB, although binding to the lower-affinity receptor, p75-NTR, has also been demonstrated. BDNF promotes neuronal survival and differentiation and has been shown to play a critical role in memory formation and synaptic regulation. BDNF is induced by cortical neurons, and is necessary for survival of striatal neurons in the brain. Expression of BDNF is reduced in both Alzheimer's and Huntington disease patients, and may also play a role in the regulation of stress response and in the biology of mood disorders.

          仅用于科研。不用于诊断过程。未经明确授权不得转售。

          生物信息学

          蛋白别名: Abrineurin; anorexia BDNF; BDNF; brain derived neurothrophic factor; brain derived neurotrophic factor; Brain-derived neurotrophic factor; growth factor; BDNF; H-BDNF; hBDNF1; hBDNF2A; hBDNF2B; hBDNF2C; hBDNF3; hBDNF4; hBDNF5; hBDNF6A; hBDNF6B; hBDNF7; neurotrophic factor; Neurotrophic factor BDNF precursor form; neurotrophin; proBDNF; unnamed protein product

          查看更多 收起

          基因别名: ANON2; BDNF; BULN2

          查看更多 收起

          UniProt ID: (Human) P23560, (Rat) Q53YL8, (Mouse) P21237

          查看更多 收起

          Entrez Gene ID: (Human) 627, (Rat) 24225, (Mouse) 12064

          查看更多 收起

          功能
          receptor binding nerve growth factor receptor binding protein binding growth factor activity neurotrophin TRKB receptor binding neurotrophic factor
          参与通路
          transmembrane receptor protein tyrosine kinase signaling pathway nervous system development axon guidance synapse assembly negative regulation of myotube differentiation positive regulation of neuron projection development nerve development brain-derived neurotrophic factor receptor signaling pathway positive regulation of brain-derived neurotrophic factor receptor signaling pathway nerve growth factor signaling pathway negative regulation of neuron apoptotic process collateral sprouting positive regulation of collateral sprouting neuron projection morphogenesis modulation of synaptic transmission positive regulation of synapse assembly regulation of protein localization to cell surface negative regulation of apoptotic signaling pathway ureteric bud development behavioral fear response response to hypoxia chronic inflammatory response mitochondrial electron transport, NADH to ubiquinone gamma-aminobutyric acid signaling pathway negative regulation of neuroblast proliferation axon target recognition learning or memory learning circadian rhythm feeding behavior neuron recognition response to light stimulus response to light intensity response to hormone response to auditory stimulus glutamate secretion response to fluoxetine response to activity dendrite development regulation of metabolic process neuron differentiation regulation of axon extension response to nutrient levels response to food negative regulation of synaptic transmission, GABAergic positive regulation of peptidyl-serine phosphorylation response to vitamin A response to tumor necrosis factor response to potassium ion mechanoreceptor differentiation response to drug fear response negative regulation of apoptotic process regulation of neuron apoptotic process positive regulation of neuron differentiation negative regulation of striated muscle tissue development regulation of retinal cell programmed cell death regulation of synaptic plasticity regulation of long-term neuronal synaptic plasticity positive regulation of long-term neuronal synaptic plasticity regulation of short-term neuronal synaptic plasticity axon extension inner ear development cognition positive regulation of sequence-specific DNA binding transcription factor activity response to electrical stimulus response to hyperoxia excitatory postsynaptic potential inhibitory postsynaptic potential negative regulation of cell death taste bud development cellular response to tumor necrosis factor cellular response to norepinephrine stimulus response to anesthetic dendrite extension negative regulation of neuron death response to L-glutamate response to nerve growth factor cellular response to nerve growth factor stimulus neuron projection extension positive regulation of glucocorticoid receptor signaling pathway cell-cell signaling cellular response to acid chemical
          It has to be done as per old AB suggested Products section.

          Disclaimer

          Close

          Clicking the images or links will redirect you to a website hosted by BenchSci that provides third-party scientific content. Neither the content nor the BenchSci technology and processes for selection have been evaluated by us; we are providing them as-is and without warranty of any kind, including for use or application of the Thermo Fisher Scientific products presented.

          guarantee_icon

          性能保障

          只要您发现Invitrogen抗体在实验中的表现与网站或说明书的所述内容不符,您即可享受免费退换货服务。*

          了解更多
          help_icon

          随时为您服务

          获取常见问题的专家解答,或者直接联系我们的技术专家,咨询应用、设备、常规产品使用问题。

          联系技术支持
          订购 Plus Icon Minus Icon
          • 订单状态查询
          • 订单支持
          • 货号直购
          • 现货供应中心
          • 电子采购
          支持 Plus Icon Minus Icon
          • 帮助&支持
          • 联系我们 - 400 820 8982
          • 技术支持中心
          • 查找文件&证书
          • 报告网站问题
          资源 Plus Icon Minus Icon
          • 学习中心
          • 促销
          • 活动&研讨会
          • 社交媒体
          关于赛默飞 Plus Icon Minus Icon
          • 关于我们
          • 招聘 招聘
          • 投资者关系 投资者关系
          • 新闻 新闻
          • 社会责任 社会责任
          • 商标
          • 政策和通知
          品牌 Plus Icon Minus Icon
          • Thermo Scientific
          • Applied Biosystems
          • Invitrogen
          • Gibco
          • Ion Torrent
          • Unity Lab Services
          • Patheon
          • PPD
          • 服务条款
          • 隐私政策
          • 定价和运输保险政策
          © 2006-2026 Thermo Fisher Scientific Inc. All rights reserved. All trademarks are the property of Thermo Fisher Scientific and its subsidiaries unless otherwise specified.
          China flag icon
          China
          本网站销售的所有产品均不得用于人类或动物之临床诊断或治疗,仅可用于工业或者科研等非医疗目的。
             电子营业执照 | 经营证照公示 | ICP备案号:沪ICP备11003924号 | 沪公网安备 31011502006935号

          Your items have has been added!


          Host server : magellan-search-green-6479c7f679-rv8h9:80/100.66.78.195:80.
          git-commit: b70c0dceb888abc3b0dcebb5bc3a5b8753e7e816
          git-url: https://github.com/thermofisher/magellan-search
          git-branch: release/2.50.0-Offline