Hamburger Menu Button
Thermo Fisher Scientific Logo
登录
没有账号?建立账号 注册
  • 产品
    • 抗体
    • 引物合成
    • GeneArt Gene Synthesis Instant Designer
    • TaqMan Assay and Array Search
    • PCR 设备和耗材
    • 色谱柱和纯化柱
    • 实验室离心机
    • 分子生物学试剂和试剂盒
    • 实验室塑料耗材及用品
    • 查看所有产品分类
  • 应用和技术
    • 色谱
    • 细胞转染和培养
    • 实时荧光定量PCR
    • 质谱
    • 实验室塑料耗材及用品
    • 电子显微镜
    • 蛋白质生物学
    • PCR
    • RNAi
    • 环境
    • 查看所有应用和技术
  • 服务
    • 定制服务
    • 企业级实验室信息化服务
    • 金融&租赁服务
    • 仪器服务
    • OEM和商业供应
    • 培训服务
    • 360° CDMO 和 CRO 服务
    • CDMO 服务
    • 临床试验 CRO 服务
    • Unity Lab Services
    • 查看所有帮助和支持
  • 帮助和支持
    • 学习中心
    • 联系我们
    • 更改国家或地区
    • 查看所有帮助和支持
  • 热门产品
    • TaqMan Real-Time PCR Assays
      TaqMan 实时荧光定量 PCR 试剂盒
    • Antibodies
      抗体
    • Oligos, Primers & Probes
      寡核苷酸、引物、探针
    • GeneArt Gene Synthesis
      GeneArt 基因合成
    • Cell Culture Plastics
      细胞培养耗材
  • Who We Serve
    • 抗体治疗解决方案
    • 细胞与基因治疗解决方案
    • 学术科研
    • 工业与应用
  • 联系我们
  • 货号直购
  • 订单查询
  • 查找文件&证书
Thermo Fisher Scientific Logo

Search

搜索全部或下列指定分类
Search button
          • 联系我们
          • 货号直购
          • 登录
            登录
            没有账号?建立账号 注册
            • 我的账号
            • 订单
            • 会员中心
            • 账单及发票查询
            • 定制产品及项目
          • Primary Antibodies ›
          • LSD1 Antibodies

          Bethyl Laboratories

          BHC110/LSD1 Polyclonal Antibody

          查看其他34个LSD1抗体

          {{$productOrderCtrl.translations['antibody.pdp.commerceCard.promotion.promotions']}}

          {{$productOrderCtrl.translations['antibody.pdp.commerceCard.promotion.viewpromo']}}

          {{$productOrderCtrl.translations['antibody.pdp.commerceCard.promotion.promocode']}}: {{promo.promoCode}} {{promo.promoTitle}} {{promo.promoDescription}}. {{$productOrderCtrl.translations['antibody.pdp.commerceCard.promotion.learnmore']}}

          说明书
          证书
          实验方案
          问题与答案
          技术支持
          说明书
          证书
          实验方案
          问题与答案
          技术支持
          说明书
          证书
          实验方案
          问题与答案
          技术支持

          Cite BHC110/LSD1 Polyclonal Antibody

          Additional Information:
          {{banner.description}}
          {{$ctrl.isSkuNotesCollapsed ? 'View more' : 'View less'}}
          • 抗体检测数据 (2)
          BHC110/LSD1 Antibody in Immunohistochemistry (Paraffin) (IHC (P))
          Group 53 Created with Sketch.
          BHC110/LSD1 Antibody in Immunohistochemistry (Paraffin) (IHC (P))
          Group 53 Created with Sketch.

          图: 1 / 2

          {{ $ctrl.currentElement.advancedVerification.fullName }}
          {{ $ctrl.currentElement.advancedVerification.text }}

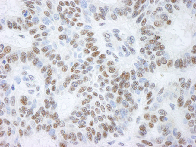
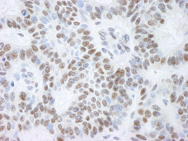
          BHC110/LSD1 Antibody (IHC-00122) in IHC (P)

          Detection of human BHC110/LSD1 by immunohistochemistry. Sample: FFPE section of human skin basal cell carcinoma. Antibody: Affinity purified rabbit anti-BHC110/LSD1 (Product # IHC-00122) used at a dilution of 1:250. Detection: DAB. {{ $ctrl.currentElement.advancedVerification.fullName }} 验证信息 View more
          已发表图片由___提供 benchsci-logo
          PMID: {{$ctrl.currentElement.benchSciPubmedId}}
          查看产品

          {{$ctrl.videoDesc}}

          {{$ctrl.videoLongDesc}}

          BHC110/LSD1 Antibody in Immunohistochemistry (Paraffin) (IHC (P))
          BHC110/LSD1 Antibody in Immunohistochemistry (Paraffin) (IHC (P))
          BHC110/LSD1 Polyclonal Antibody

          产品信息

          IHC-00122

          应用
          建议稀释比
          已发表文章

          免疫组化 (IHC)

          1:100-1:500
          -

          免疫组化(石蜡) (IHC (P))

          1:100-1:500
          -
          产品规格

          种属反应

          Human

          宿主/亚型

          Rabbit / IgG

          分类

          Polyclonal

          类型

          Antibody

          抗原

          Region between residues 50 and 100 of human FAD-binding protein BRAF35-HDAC complex 110 kDa ( lysine-specific histone demethylase 1).
          3D表位/免疫原

          偶联物

          Unconjugated Unconjugated Unconjugated

          形式

          Liquid

          浓度

          0.25 mg/mL

          规格

          25 µg

          纯化类型

          Antigen affinity chromatography

          保存液

          TBS, pH 7.0 to 8.0, with 0.1% BSA

          内含物

          0.09% sodium azide

          保存条件

          4°C

          运输条件

          Ambient (domestic); Wet ice (international)

          产品详细信息

          The recommended shelf life for this product is 1 year from date of receipt.

          Based on 100% sequence identity, this antibody is predicted to react with Orangutan and Gorilla

          靶标信息

          LSD1 is a histone demethylase that specifically demethylates 'Lys-4' of histone H3, a specific tag for epigenetic transcriptional activation, thereby acting as a corepressor. LSD1 contains a SWIRM domain, a FAD-binding motif, and an amine oxidase domain. This protein is a component of several histone deacetylase complexes, though it silences genes by functioning as a histone demethylase. It acts by oxidizing the substrate by FAD to generate the corresponding imine that is subsequently hydrolyzed. LSD1 demethylates both mono- and tri-methylted 'Lys-4' of histone H3. This protein may play a role in the repression of neuronal genes. Alone, it is unable to demethylate H3 'Lys-4' on nucleosomes and requires the presence of RCOR1/CoREST to achieve such activity. It may also demethylate 'Lys-9' of histone H3, a specific tag for epigenetic transcriptional repression, thereby leading to derepression of androgen receptor target genes. Mutations affecting this gene can result in cleft palate, psychomotor retardation, and distintive facial features.

          仅用于科研。不用于诊断过程。未经明确授权不得转售。

          篇参考文献 (0)

          您是否在文献中引用过该产品?请点击下方按钮邮件告知我们。
          引用该产品

          生物信息学

          蛋白别名: [histone H3]-dimethyl-L-lysine(4) FAD-dependent demethylase 1A; amine oxidase (flavin containing) domain 2; BRAF35-HDAC complex protein BHC110; F9F13.30; F9F13_30; FAD-binding protein BRAF35-HDAC complex, 110 kDa subunit; Flavin-containing amine oxidase domain-containing protein 2; LESION SIMULATING DISEASE; LESION SIMULATING DISEASE 1; lysine (K)-specific demethylase 1A; lysine-specific histone demethylase 1; Lysine-specific histone demethylase 1A; RP1-184J9.1; unnamed protein product

          查看更多 收起

          基因别名: AIMAH3; AOF2; BHC110; CPRF; KDM1; KDM1A; KIAA0601; LSD1

          查看更多 收起

          UniProt ID: (Human) Q96AW4

          查看更多 收起

          Entrez Gene ID: (Human) 23028

          查看更多 收起

          功能
          p53 binding chromatin binding transcription coactivator activity transcription corepressor activity RNA binding protein binding oxidoreductase activity enzyme binding histone demethylase activity histone demethylase activity (H3-K4 specific) histone demethylase activity (H3-K9 specific) telomeric DNA binding identical protein binding MRF binding flavin adenine dinucleotide binding androgen receptor binding RNA polymerase II sequence-specific DNA binding transcription factor binding telomeric repeat-containing RNA binding DNA-binding transcription factor binding protein demethylase activity FAD-dependent H3K4me/H3K4me3 demethylase activity promoter-specific chromatin binding
          参与通路
          negative regulation of transcription from RNA polymerase II promoter epithelial to mesenchymal transition positive regulation of neuroblast proliferation chromatin organization regulation of transcription, DNA-templated regulation of transcription from RNA polymerase II promoter regulation of double-strand break repair via homologous recombination positive regulation of epithelial to mesenchymal transition positive regulation of neuron projection development cerebral cortex development positive regulation of protein ubiquitination regulation of protein localization cellular response to UV protein modification process regulation of gene expression, epigenetic neuron maturation negative regulation of DNA damage response, signal transduction by p53 class mediator positive regulation of cell differentiation positive regulation of cell size positive regulation of transcription from RNA polymerase II promoter guanine metabolic process regulation of neurogenesis positive regulation of multicellular organismal process muscle cell development regulation of androgen receptor signaling pathway response to fungicide cellular response to cAMP cellular response to gamma radiation positive regulation of cold-induced thermogenesis DNA repair-dependent chromatin remodeling negative regulation of transcription initiation-coupled chromatin remodeling negative regulation of intrinsic apoptotic signaling pathway in response to DNA damage by p53 class mediator negative regulation of intrinsic apoptotic signaling pathway by p53 class mediator positive regulation of neural precursor cell proliferation positive regulation of stem cell proliferation
          It has to be done as per old AB suggested Products section.

          Disclaimer

          Close

          Clicking the images or links will redirect you to a website hosted by BenchSci that provides third-party scientific content. Neither the content nor the BenchSci technology and processes for selection have been evaluated by us; we are providing them as-is and without warranty of any kind, including for use or application of the Thermo Fisher Scientific products presented.

          guarantee_icon

          性能保障

          只要您发现Invitrogen抗体在实验中的表现与网站或说明书的所述内容不符,您即可享受免费退换货服务。*

          了解更多
          help_icon

          随时为您服务

          获取常见问题的专家解答,或者直接联系我们的技术专家,咨询应用、设备、常规产品使用问题。

          联系技术支持
          订购 Plus Icon Minus Icon
          • 订单状态查询
          • 订单支持
          • 货号直购
          • 现货供应中心
          • 电子采购
          支持 Plus Icon Minus Icon
          • 帮助&支持
          • 联系我们 - 400 820 8982
          • 技术支持中心
          • 查找文件&证书
          • 报告网站问题
          资源 Plus Icon Minus Icon
          • 学习中心
          • 促销
          • 活动&研讨会
          • 社交媒体
          关于赛默飞 Plus Icon Minus Icon
          • 关于我们
          • 招聘 招聘
          • 投资者关系 投资者关系
          • 新闻 新闻
          • 社会责任 社会责任
          • 商标
          • 政策和通知
          品牌 Plus Icon Minus Icon
          • Thermo Scientific
          • Applied Biosystems
          • Invitrogen
          • Gibco
          • Ion Torrent
          • Unity Lab Services
          • Patheon
          • PPD
          • 服务条款
          • 隐私政策
          • 定价和运输保险政策
          © 2006-2026 Thermo Fisher Scientific Inc. All rights reserved. All trademarks are the property of Thermo Fisher Scientific and its subsidiaries unless otherwise specified.
          China flag icon
          China
          本网站销售的所有产品均不得用于人类或动物之临床诊断或治疗,仅可用于工业或者科研等非医疗目的。
             电子营业执照 | 经营证照公示 | ICP备案号:沪ICP备11003924号 | 沪公网安备 31011502006935号

          Your items have has been added!


          Host server : magellan-search-green-6479c7f679-2dqqb:80/100.66.78.195:80.
          git-commit: b70c0dceb888abc3b0dcebb5bc3a5b8753e7e816
          git-url: https://github.com/thermofisher/magellan-search
          git-branch: release/2.50.0-Offline