Hamburger Menu Button
Thermo Fisher Scientific Logo
登录
没有账号?建立账号 注册
  • 产品
    • 抗体
    • 引物合成
    • GeneArt Gene Synthesis Instant Designer
    • TaqMan Assay and Array Search
    • PCR 设备和耗材
    • 色谱柱和纯化柱
    • 实验室离心机
    • 分子生物学试剂和试剂盒
    • 实验室塑料耗材及用品
    • 查看所有产品分类
  • 应用和技术
    • 色谱
    • 细胞转染和培养
    • 实时荧光定量PCR
    • 质谱
    • 实验室塑料耗材及用品
    • 电子显微镜
    • 蛋白质生物学
    • PCR
    • RNAi
    • 环境
    • 查看所有应用和技术
  • 服务
    • 定制服务
    • 企业级实验室信息化服务
    • 金融&租赁服务
    • 仪器服务
    • OEM和商业供应
    • 培训服务
    • 360° CDMO 和 CRO 服务
    • CDMO 服务
    • 临床试验 CRO 服务
    • Unity Lab Services
    • 查看所有帮助和支持
  • 帮助和支持
    • 学习中心
    • 联系我们
    • 更改国家或地区
    • 查看所有帮助和支持
  • 热门产品
    • TaqMan Real-Time PCR Assays
      TaqMan 实时荧光定量 PCR 试剂盒
    • Antibodies
      抗体
    • Oligos, Primers & Probes
      寡核苷酸、引物、探针
    • GeneArt Gene Synthesis
      GeneArt 基因合成
    • Cell Culture Plastics
      细胞培养耗材
  • Who We Serve
    • 抗体治疗解决方案
    • 细胞与基因治疗解决方案
    • 学术科研
    • 工业与应用
  • 联系我们
  • 货号直购
  • 订单查询
  • 查找文件&证书
Thermo Fisher Scientific Logo

Search

搜索全部或下列指定分类
Search button
          • 联系我们
          • 货号直购
          • 登录
            登录
            没有账号?建立账号 注册
            • 我的账号
            • 订单
            • 会员中心
            • 账单及发票查询
            • 定制产品及项目
          • Primary Antibodies ›
          • BMP-7 Antibodies

          Invitrogen

          BMP-7 Polyclonal Antibody

          查看其他22个BMP-7抗体

          {{$productOrderCtrl.translations['antibody.pdp.commerceCard.promotion.promotions']}}

          {{$productOrderCtrl.translations['antibody.pdp.commerceCard.promotion.viewpromo']}}

          {{$productOrderCtrl.translations['antibody.pdp.commerceCard.promotion.promocode']}}: {{promo.promoCode}} {{promo.promoTitle}} {{promo.promoDescription}}. {{$productOrderCtrl.translations['antibody.pdp.commerceCard.promotion.learnmore']}}

          说明书
          证书
          实验方案
          问题与答案
          技术支持
          说明书
          证书
          实验方案
          问题与答案
          技术支持
          说明书
          证书
          实验方案
          问题与答案
          技术支持

          Cite BMP-7 Polyclonal Antibody

          Additional Information:
          {{banner.description}}
          {{$ctrl.isSkuNotesCollapsed ? 'View more' : 'View less'}}
          • 抗体检测数据 (4)
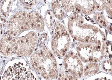
          BMP-7 Antibody in Immunohistochemistry (Paraffin) (IHC (P))
          Group 53 Created with Sketch.
          BMP-7 Antibody in Immunohistochemistry (Paraffin) (IHC (P))
          Group 53 Created with Sketch.

          图: 1 / 4

          {{ $ctrl.currentElement.advancedVerification.fullName }}
          {{ $ctrl.currentElement.advancedVerification.text }}

          BMP-7 Antibody (PA5-105268) in IHC (P)

          Immunohistochemistry analysis of paraffin-embedded BMP-7 in human kidney tissue sections. Antigen retrieval was performed using citrate buffer. Samples were blocked with blocking buffer (1.5 hr, 22°C), incubated with BMP-7 polyclonal antibody (Product # PA5-105268) using a dilution of 1:100 (1.5 hr, 22°C), followed by HRP conjugated goat anti-rabbit. {{ $ctrl.currentElement.advancedVerification.fullName }} 验证信息 View more
          已发表图片由___提供 benchsci-logo
          PMID: {{$ctrl.currentElement.benchSciPubmedId}}
          查看产品

          {{$ctrl.videoDesc}}

          {{$ctrl.videoLongDesc}}

          BMP-7 Antibody in Immunohistochemistry (Paraffin) (IHC (P))
          BMP-7 Antibody in Immunohistochemistry (Paraffin) (IHC (P))
          BMP-7 Antibody in Western Blot (WB)
          BMP-7 Antibody in Western Blot (WB)
          BMP-7 Polyclonal Antibody

          产品信息

          PA5-105268

          应用
          建议稀释比
          已发表文章

          免疫印迹 (WB)

          1:500-1:2,000
          -

          免疫组化(石蜡) (IHC (P))

          1:50-1:200
          -
          产品规格

          种属反应

          Human, Mouse, Rat

          宿主/亚型

          Rabbit / IgG

          分类

          Polyclonal

          类型

          Antibody

          抗原

          A synthesized peptide derived from human BMP7(Accession P18075), corresponding to amino acid residues H153-G203.
          3D表位/免疫原

          偶联物

          Unconjugated Unconjugated Unconjugated

          形式

          Liquid

          浓度

          1 mg/mL

          规格

          100 µg

          纯化类型

          Affinity chromatography

          保存液

          PBS, pH 7.4, with 50% glycerol

          内含物

          0.02% sodium azide

          保存条件

          -20°C

          运输条件

          Ambient (domestic); Wet ice (international)

          RRID

          AB_2853873

          产品详细信息

          Antibody detects endogenous levels of total BMP7.

          靶标信息

          The bone morphogenetic proteins (BMPs) are a family of secreted signaling molecules that can induce ectopic bone growth. Many BMPs are part of the transforming growth factor-beta (TGFB) superfamily. BMPs were originally identified by an ability of demineralized bone extract to induce endochondral osteogenesis in vivo in an extra skeletal site. Based on its expression early in embryogenesis, BMP7 has a proposed role in early development. In addition, the fact that BMP7 is closely related to BMP5 and BMP6 has lead to speculation of possible bone inductive activity.

          仅用于科研。不用于诊断过程。未经明确授权不得转售。

          篇参考文献 (0)

          您是否在文献中引用过该产品?请点击下方按钮邮件告知我们。
          引用该产品

          生物信息学

          蛋白别名: BMP; BMP-7; BMP7; bone moorphogenic protein-7; Bone morphogenetic protein; Bone morphogenetic protein 7; OP-1; Osteogenic protein 1; RP11-560A15.5; unnamed protein product

          查看更多 收起

          基因别名: BMP-7; BMP7; OP-1; OP1

          查看更多 收起

          UniProt ID: (Human) P18075, (Mouse) P23359

          查看更多 收起

          Entrez Gene ID: (Human) 655, (Mouse) 12162, (Rat) 85272

          查看更多 收起

          功能
          cytokine activity protein binding growth factor activity heparin binding protein serine/threonine kinase activator activity receptor agonist activity BMP receptor binding transforming growth factor beta receptor binding growth factor
          参与通路
          skeletal system development ossification osteoblast differentiation eye development metanephros development ureteric bud development mesoderm formation kidney development mesonephros development epithelial to mesenchymal transition endocardial cushion formation pericardium morphogenesis pattern specification process axon guidance salivary gland morphogenesis heart development cell proliferation negative regulation of cell proliferation embryonic pattern specification organ morphogenesis positive regulation of gene expression negative regulation of striated muscle cell apoptotic process positive regulation of epithelial to mesenchymal transition dendrite development neural fold elevation formation cell differentiation embryonic limb morphogenesis positive regulation of bone mineralization BMP signaling pathway epithelial cell differentiation positive regulation of epithelial cell differentiation hindbrain development response to estradiol response to vitamin D positive regulation of heterotypic cell-cell adhesion tube morphogenesis ameloblast differentiation odontogenesis of dentin-containing tooth positive regulation of apoptotic process response to peptide hormone positive regulation of cell differentiation negative regulation of neuron differentiation positive regulation of neuron differentiation positive regulation of osteoblast differentiation negative regulation of Notch signaling pathway negative regulation of cell cycle negative regulation of mitotic nuclear division negative regulation of transcription, DNA-templated positive regulation of transcription, DNA-templated positive regulation of transcription from RNA polymerase II promoter cell development camera-type eye morphogenesis embryonic camera-type eye morphogenesis anatomical structure formation involved in morphogenesis cardiac muscle tissue development branching morphogenesis of an epithelial tube mesenchymal cell differentiation neuron projection morphogenesis negative regulation of neurogenesis cartilage development positive regulation of multicellular organismal process pharyngeal system development embryonic skeletal joint morphogenesis positive regulation of SMAD protein import into nucleus cardiac septum morphogenesis branching involved in salivary gland morphogenesis mesenchyme development negative regulation of prostatic bud formation regulation of branching involved in prostate gland morphogenesis chorio-allantoic fusion heart trabecula morphogenesis monocyte aggregation cellular response to hypoxia cellular response to BMP stimulus negative regulation of mesenchymal cell apoptotic process involved in nephron morphogenesis negative regulation of glomerular mesangial cell proliferation metanephric mesenchyme morphogenesis nephrogenic mesenchyme morphogenesis metanephric mesenchymal cell proliferation involved in metanephros development positive regulation of brown fat cell differentiation cell-cell adhesion positive regulation of dendrite development positive regulation of hyaluranon cable assembly mesenchymal cell apoptotic process involved in nephron morphogenesis negative regulation of NIK/NF-kappaB signaling allantois development positive regulation of cardiac neural crest cell migration involved in outflow tract morphogenesis regulation of multicellular organismal development regulation of removal of superoxide radicals multicellular organism development positive regulation of peptidyl-threonine phosphorylation positive regulation of pathway-restricted SMAD protein phosphorylation positive regulation of cell death protein localization to nucleus growth regulation of phosphorylation negative regulation of phosphorylation steroid hormone mediated signaling pathway negative regulation of MAP kinase activity regulation of MAPK cascade regulation of pathway-restricted SMAD protein phosphorylation SMAD protein signal transduction negative regulation of cell death regulation of apoptotic process
          It has to be done as per old AB suggested Products section.

          Disclaimer

          Close

          Clicking the images or links will redirect you to a website hosted by BenchSci that provides third-party scientific content. Neither the content nor the BenchSci technology and processes for selection have been evaluated by us; we are providing them as-is and without warranty of any kind, including for use or application of the Thermo Fisher Scientific products presented.

          guarantee_icon

          性能保障

          只要您发现Invitrogen抗体在实验中的表现与网站或说明书的所述内容不符,您即可享受免费退换货服务。*

          了解更多
          help_icon

          随时为您服务

          获取常见问题的专家解答,或者直接联系我们的技术专家,咨询应用、设备、常规产品使用问题。

          联系技术支持
          订购 Plus Icon Minus Icon
          • 订单状态查询
          • 订单支持
          • 货号直购
          • 现货供应中心
          • 电子采购
          支持 Plus Icon Minus Icon
          • 帮助&支持
          • 联系我们 - 400 820 8982
          • 技术支持中心
          • 查找文件&证书
          • 报告网站问题
          资源 Plus Icon Minus Icon
          • 学习中心
          • 促销
          • 活动&研讨会
          • 社交媒体
          关于赛默飞 Plus Icon Minus Icon
          • 关于我们
          • 招聘 招聘
          • 投资者关系 投资者关系
          • 新闻 新闻
          • 社会责任 社会责任
          • 商标
          • 政策和通知
          品牌 Plus Icon Minus Icon
          • Thermo Scientific
          • Applied Biosystems
          • Invitrogen
          • Gibco
          • Ion Torrent
          • Unity Lab Services
          • Patheon
          • PPD
          • 服务条款
          • 隐私政策
          • 定价和运输保险政策
          © 2006-2026 Thermo Fisher Scientific Inc. All rights reserved. All trademarks are the property of Thermo Fisher Scientific and its subsidiaries unless otherwise specified.
          China flag icon
          China
          本网站销售的所有产品均不得用于人类或动物之临床诊断或治疗,仅可用于工业或者科研等非医疗目的。
             电子营业执照 | 经营证照公示 | ICP备案号:沪ICP备11003924号 | 沪公网安备 31011502006935号

          Your items have has been added!


          Host server : magellan-search-green-6479c7f679-26whj:80/100.66.74.142:80.
          git-commit: b70c0dceb888abc3b0dcebb5bc3a5b8753e7e816
          git-url: https://github.com/thermofisher/magellan-search
          git-branch: release/2.50.0-Offline