Hamburger Menu Button
Thermo Fisher Scientific Logo
登录
没有账号?建立账号 注册
  • 产品
    • 抗体
    • 引物合成
    • GeneArt Gene Synthesis Instant Designer
    • TaqMan Assay and Array Search
    • PCR 设备和耗材
    • 色谱柱和纯化柱
    • 实验室离心机
    • 分子生物学试剂和试剂盒
    • 实验室塑料耗材及用品
    • 查看所有产品分类
  • 应用和技术
    • 色谱
    • 细胞转染和培养
    • 实时荧光定量PCR
    • 质谱
    • 实验室塑料耗材及用品
    • 电子显微镜
    • 蛋白质生物学
    • PCR
    • RNAi
    • 环境
    • 查看所有应用和技术
  • 服务
    • 定制服务
    • 企业级实验室信息化服务
    • 金融&租赁服务
    • 仪器服务
    • OEM和商业供应
    • 培训服务
    • 360° CDMO 和 CRO 服务
    • CDMO 服务
    • 临床试验 CRO 服务
    • Unity Lab Services
    • 查看所有帮助和支持
  • 帮助和支持
    • 学习中心
    • 联系我们
    • 更改国家或地区
    • 查看所有帮助和支持
  • 热门产品
    • TaqMan Real-Time PCR Assays
      TaqMan 实时荧光定量 PCR 试剂盒
    • Antibodies
      抗体
    • Oligos, Primers & Probes
      寡核苷酸、引物、探针
    • GeneArt Gene Synthesis
      GeneArt 基因合成
    • Cell Culture Plastics
      细胞培养耗材
  • Who We Serve
    • 抗体治疗解决方案
    • 细胞与基因治疗解决方案
    • 学术科研
    • 工业与应用
  • 联系我们
  • 货号直购
  • 订单查询
  • 查找文件&证书
Thermo Fisher Scientific Logo

Search

搜索全部或下列指定分类
Search button
          • 联系我们
          • 货号直购
          • 登录
            登录
            没有账号?建立账号 注册
            • 我的账号
            • 订单
            • 会员中心
            • 账单及发票查询
            • 定制产品及项目
          • Primary Antibodies ›
          • BMP-2 Antibodies

          Proteintech

          BMP2 Monoclonal Antibody (1C5C2)

          32 篇参考文献
          查看其他30个BMP-2抗体

          {{$productOrderCtrl.translations['antibody.pdp.commerceCard.promotion.promotions']}}

          {{$productOrderCtrl.translations['antibody.pdp.commerceCard.promotion.viewpromo']}}

          {{$productOrderCtrl.translations['antibody.pdp.commerceCard.promotion.promocode']}}: {{promo.promoCode}} {{promo.promoTitle}} {{promo.promoDescription}}. {{$productOrderCtrl.translations['antibody.pdp.commerceCard.promotion.learnmore']}}

          说明书
          证书
          实验方案
          问题与答案
          技术支持
          说明书
          证书
          实验方案
          问题与答案
          技术支持
          说明书
          证书
          实验方案
          问题与答案
          技术支持

          Cite BMP2 Monoclonal Antibody (1C5C2)

          Additional Information:
          {{banner.description}}
          {{$ctrl.isSkuNotesCollapsed ? 'View more' : 'View less'}}
          • 抗体检测数据 (5)
          BMP2 Antibody in Immunohistochemistry (Paraffin) (IHC (P))
          Group 53 Created with Sketch.
          BMP2 Antibody in Immunohistochemistry (Paraffin) (IHC (P))
          Group 53 Created with Sketch.

          图: 1 / 5

          {{ $ctrl.currentElement.advancedVerification.fullName }}
          {{ $ctrl.currentElement.advancedVerification.text }}

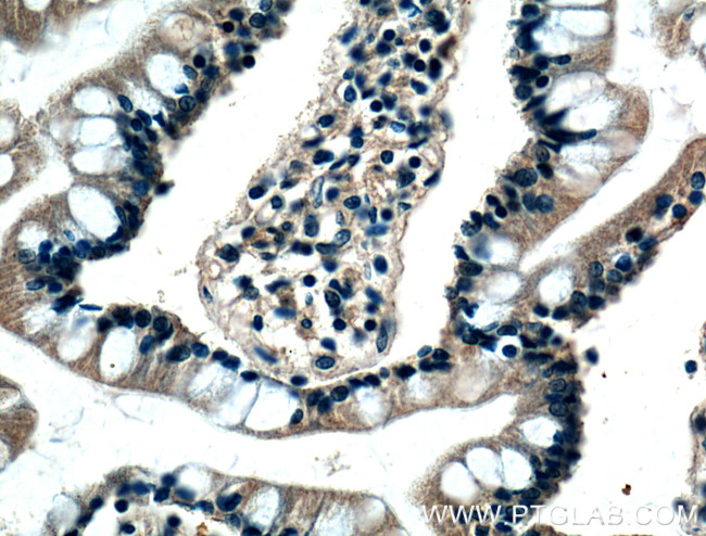
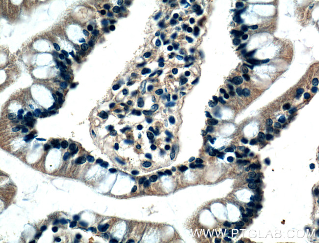
          BMP2 Antibody (66383-1-IG) in IHC (P)

          Immunohistochemistry of paraffin-embedded human small intestine tissue slide using 66383-1-IG ( BMP2 Antibody) at dilution of 1:200 (under 40x lens). {{ $ctrl.currentElement.advancedVerification.fullName }} 验证信息 View more
          已发表图片由___提供 benchsci-logo
          PMID: {{$ctrl.currentElement.benchSciPubmedId}}
          查看产品

          {{$ctrl.videoDesc}}

          {{$ctrl.videoLongDesc}}

          BMP2 Antibody in Immunohistochemistry (Paraffin) (IHC (P))
          BMP2 Antibody in Immunohistochemistry (Paraffin) (IHC (P))
          BMP2 Antibody in Western Blot (WB)
          BMP2 Antibody in Western Blot (WB)
          BMP2 Antibody in Western Blot (WB)
          BMP2 Monoclonal Antibody (1C5C2)

          产品信息

          66383-1-IG

          应用
          建议稀释比
          已发表文章

          免疫印迹 (WB)

          1:1,000-1:4,000
          查看25篇已发表文章 25篇已发表文章

          免疫组化 (IHC)

          -
          查看3篇已发表文章 3篇已发表文章

          免疫组化(石蜡) (IHC (P))

          1:50-1:500
          -

          免疫细胞化学 (ICC/IF)

          -
          查看1篇已发表文章 1篇已发表文章

          其他PubMed (Misc)

          -
          查看3篇已发表文章 3篇已发表文章
          产品规格

          种属反应

          Human, Pig

          宿主/亚型

          Mouse / IgG2a

          分类

          Monoclonal

          类型

          Antibody

          克隆号

          1C5C2

          抗原

          BMP2 Fusion Protein Ag13501 (1-396 aa encoded by BC069214)
          3D表位/免疫原

          偶联物

          Unconjugated Unconjugated Unconjugated

          形式

          Liquid

          浓度

          1 mg/mL

          规格

          150 µg

          纯化类型

          Protein A

          保存液

          PBS, pH 7.3, with 50% glycerol

          内含物

          0.02% sodium azide

          保存条件

          -20°C

          运输条件

          Wet ice (domestic); Dry ice (international)

          产品详细信息

          Immunogen sequence: MVAGTRCLL ALLLPQVLLG GAAGLVPELG RRKFAAASSG RPSSQPSDEV LSEFELRLLS MFGLKQRPTP SRDAVVPPYM LDLYRRHSGQ PGSPAPDHRL ERAASRANTV RSFHHEESLE ELPETSGKTT RRFFFNLSSI PTEEFITSAE LQVFREQMQD ALGNNSSFHH RINIYEIIKP ATANSKFPVT SLLDTRLVNQ NASRWESFDV TPAVMRWTAQ GHANHGFVVE VAHLEEKQGV SKRHVRISRS LHQDEHSWSQ IRPLLVTFGH DGKGHPLHKR EKRQAKHKQR KRLKSSCKRH PLYVDFSDVG WNDWIVAPPG YHAFYCHGEC PFPLADHLNS TNHAIVQTLV NSVNSKIPKA CCVPTELSAI SMLYLDENEK VVLKNYQDMV VEGCGCR (1-396 aa encoded by BC069214)

          靶标信息

          Bone Morphogenic Proteins (BMP) are members of the TGF-beta superfamily that affect bone and cartilage formation (Hogan 1996, Reddi 1998 and Francis-West et al. 1999). Mature BMPs are 30-38 kDa proteins that assume a TGF-beta -like cysteine knot configuration. Lovostatin increases bone formation by turning on the bmp-2 gene (Mundy et al. 1999). BMPs stimulate the production of specific bone matrix proteins and alter stromal cell and osteoclast proliferation (Macias et al. 1999, Lecanda et al. 1997). BMPs may also be an important factor for development of the viscera, with roles in cell proliferation, apoptosis, differentiation, and morphogenesis (Hogan 1996, Dale and Wardle 1999). BMPs appear to be responsible for normal dorsal/ventral patterning. Like TGF-beta, BMPs bind to a type II receptor, which then recruits the transducing type I receptor unit, activating the Smad protein signaling pathway (Massague 1994, Derynck 1997, Attisano 1993).

          仅用于科研。不用于诊断过程。未经明确授权不得转售。

          生物信息学

          蛋白别名: 2610024H22Rik; AL117858; AW546137; BB189135; BMP; BMP-2; BMP-2A; BMPR-II; BMPRII; Bone morphogenetic; Bone morphogenetic protein; Bone morphogenetic protein 2; Bone morphogenetic protein 2A; H-BMP-2; morphogen; osteogenic protein 2

          查看更多 收起

          基因别名: BDA2; BMP2; BMP2A; SSFSC; SSFSC1

          查看更多 收起

          UniProt ID: (Human) P12643

          查看更多 收起

          Entrez Gene ID: (Human) 650, (Pig) 100157103

          查看更多 收起

          功能
          receptor binding cytokine activity protein binding growth factor activity phosphatase activator activity co-receptor binding protein serine/threonine kinase activator activity receptor agonist activity BMP receptor binding growth factor
          参与通路
          negative regulation of transcription from RNA polymerase II promoter skeletal system development ossification osteoblast differentiation branching involved in ureteric bud morphogenesis response to hypoxia in utero embryonic development epithelial to mesenchymal transition positive regulation of protein phosphorylation chondrocyte differentiation myeloid leukocyte differentiation heart morphogenesis heart induction endodermal-mesodermal cell signaling aortic valve development atrioventricular valve morphogenesis endocardial cushion morphogenesis cardiac atrium formation endocardial cushion formation positive regulation of extracellular matrix constituent secretion proteoglycan metabolic process regulation of transcription, DNA-templated transcription from RNA polymerase II promoter inflammatory response Notch signaling pathway cell-cell signaling heart development positive regulation of cell proliferation negative regulation of cell proliferation response to bacterium organ morphogenesis gene expression positive regulation of gene expression negative regulation of gene expression positive regulation of epithelial to mesenchymal transition negative regulation of steroid biosynthetic process positive regulation of phosphatase activity telencephalon development telencephalon regionalization negative regulation of cell-cell adhesion cell differentiation positive regulation of Wnt signaling pathway bone mineralization osteoclast differentiation positive regulation of cell migration positive regulation of bone mineralization BMP signaling pathway negative regulation of transforming growth factor beta receptor signaling pathway positive regulation of epithelial cell differentiation protein destabilization negative regulation of aldosterone biosynthetic process positive regulation of osteoblast proliferation cardiocyte differentiation embryonic heart tube anterior/posterior pattern specification positive regulation of peroxisome proliferator activated receptor signaling pathway ameloblast differentiation odontogenesis of dentin-containing tooth positive regulation of odontogenesis regulation of odontogenesis of dentin-containing tooth positive regulation of apoptotic process positive regulation of MAPK cascade negative regulation of insulin-like growth factor receptor signaling pathway cell fate commitment positive regulation of cell differentiation negative regulation of fat cell differentiation positive regulation of fat cell differentiation positive regulation of neuron differentiation positive regulation of osteoblast differentiation positive regulation of ossification negative regulation of cell cycle negative regulation of transcription, DNA-templated positive regulation of transcription, DNA-templated positive regulation of transcription from RNA polymerase II promoter negative regulation of smooth muscle cell proliferation astrocyte differentiation positive regulation of astrocyte differentiation mesenchymal cell differentiation inner ear development negative regulation of calcium-independent cell-cell adhesion negative regulation of muscle cell differentiation cartilage development cardiac muscle cell differentiation cardiac muscle tissue morphogenesis pericardium development corticotropin hormone secreting cell differentiation thyroid-stimulating hormone-secreting cell differentiation cardiac epithelial to mesenchymal transition bone development positive regulation of SMAD protein import into nucleus lung vasculature development mesenchyme development muscle tissue development positive regulation of cartilage development positive regulation of ERK1 and ERK2 cascade cellular response to growth factor stimulus cellular response to BMP stimulus mesenchymal cell proliferation involved in ureteric bud development negative regulation of canonical Wnt signaling pathway positive regulation of bone mineralization involved in bone maturation positive regulation of p38MAPK cascade positive regulation of odontoblast differentiation positive regulation of pri-miRNA transcription from RNA polymerase II promoter cardiac jelly development atrioventricular canal morphogenesis negative regulation of cortisol biosynthetic process regulation of cardiac muscle cell differentiation negative regulation of cardiac muscle cell differentiation
          It has to be done as per old AB suggested Products section.

          Disclaimer

          Close

          Clicking the images or links will redirect you to a website hosted by BenchSci that provides third-party scientific content. Neither the content nor the BenchSci technology and processes for selection have been evaluated by us; we are providing them as-is and without warranty of any kind, including for use or application of the Thermo Fisher Scientific products presented.

          guarantee_icon

          性能保障

          只要您发现Invitrogen抗体在实验中的表现与网站或说明书的所述内容不符,您即可享受免费退换货服务。*

          了解更多
          help_icon

          随时为您服务

          获取常见问题的专家解答,或者直接联系我们的技术专家,咨询应用、设备、常规产品使用问题。

          联系技术支持
          订购 Plus Icon Minus Icon
          • 订单状态查询
          • 订单支持
          • 货号直购
          • 现货供应中心
          • 电子采购
          支持 Plus Icon Minus Icon
          • 帮助&支持
          • 联系我们 - 400 820 8982
          • 技术支持中心
          • 查找文件&证书
          • 报告网站问题
          资源 Plus Icon Minus Icon
          • 学习中心
          • 促销
          • 活动&研讨会
          • 社交媒体
          关于赛默飞 Plus Icon Minus Icon
          • 关于我们
          • 招聘 招聘
          • 投资者关系 投资者关系
          • 新闻 新闻
          • 社会责任 社会责任
          • 商标
          • 政策和通知
          品牌 Plus Icon Minus Icon
          • Thermo Scientific
          • Applied Biosystems
          • Invitrogen
          • Gibco
          • Ion Torrent
          • Unity Lab Services
          • Patheon
          • PPD
          • 服务条款
          • 隐私政策
          • 定价和运输保险政策
          © 2006-2026 Thermo Fisher Scientific Inc. All rights reserved. All trademarks are the property of Thermo Fisher Scientific and its subsidiaries unless otherwise specified.
          China flag icon
          China
          本网站销售的所有产品均不得用于人类或动物之临床诊断或治疗,仅可用于工业或者科研等非医疗目的。
             电子营业执照 | 经营证照公示 | ICP备案号:沪ICP备11003924号 | 沪公网安备 31011502006935号

          Your items have has been added!


          Host server : magellan-search-green-6479c7f679-46l5g:80/100.66.76.236:80.
          git-commit: b70c0dceb888abc3b0dcebb5bc3a5b8753e7e816
          git-url: https://github.com/thermofisher/magellan-search
          git-branch: release/2.50.0-Offline