Hamburger Menu Button
Thermo Fisher Scientific Logo
登录
没有账号?建立账号 注册
  • 产品
    • 抗体
    • 引物合成
    • GeneArt Gene Synthesis Instant Designer
    • TaqMan Assay and Array Search
    • PCR 设备和耗材
    • 色谱柱和纯化柱
    • 实验室离心机
    • 分子生物学试剂和试剂盒
    • 实验室塑料耗材及用品
    • 查看所有产品分类
  • 应用和技术
    • 色谱
    • 细胞转染和培养
    • 实时荧光定量PCR
    • 质谱
    • 实验室塑料耗材及用品
    • 电子显微镜
    • 蛋白质生物学
    • PCR
    • RNAi
    • 环境
    • 查看所有应用和技术
  • 服务
    • 定制服务
    • 企业级实验室信息化服务
    • 金融&租赁服务
    • 仪器服务
    • OEM和商业供应
    • 培训服务
    • 360° CDMO 和 CRO 服务
    • CDMO 服务
    • 临床试验 CRO 服务
    • Unity Lab Services
    • 查看所有帮助和支持
  • 帮助和支持
    • 学习中心
    • 联系我们
    • 更改国家或地区
    • 查看所有帮助和支持
  • 热门产品
    • TaqMan Real-Time PCR Assays
      TaqMan 实时荧光定量 PCR 试剂盒
    • Antibodies
      抗体
    • Oligos, Primers & Probes
      寡核苷酸、引物、探针
    • GeneArt Gene Synthesis
      GeneArt 基因合成
    • Cell Culture Plastics
      细胞培养耗材
  • Who We Serve
    • 抗体治疗解决方案
    • 细胞与基因治疗解决方案
    • 学术科研
    • 工业与应用
  • 联系我们
  • 货号直购
  • 订单查询
  • 查找文件&证书
Thermo Fisher Scientific Logo

Search

搜索全部或下列指定分类
Search button
          • 联系我们
          • 货号直购
          • 登录
            登录
            没有账号?建立账号 注册
            • 我的账号
            • 订单
            • 会员中心
            • 账单及发票查询
            • 定制产品及项目
          • Primary Antibodies ›
          • BMPR2 Antibodies

          Invitrogen

          BMPR2 Monoclonal Antibody (1F12)

          2个已发表图片
          2 篇参考文献
          查看其他13个BMPR2抗体

          {{$productOrderCtrl.translations['antibody.pdp.commerceCard.promotion.promotions']}}

          {{$productOrderCtrl.translations['antibody.pdp.commerceCard.promotion.viewpromo']}}

          {{$productOrderCtrl.translations['antibody.pdp.commerceCard.promotion.promocode']}}: {{promo.promoCode}} {{promo.promoTitle}} {{promo.promoDescription}}. {{$productOrderCtrl.translations['antibody.pdp.commerceCard.promotion.learnmore']}}

          说明书
          证书
          实验方案
          问题与答案
          技术支持
          说明书
          证书
          实验方案
          问题与答案
          技术支持
          说明书
          证书
          实验方案
          问题与答案
          技术支持

          Cite BMPR2 Monoclonal Antibody (1F12)

          Additional Information:
          {{banner.description}}
          {{$ctrl.isSkuNotesCollapsed ? 'View more' : 'View less'}}
          • 抗体检测数据 (3)
          • 已发表图片 (2)
          BMPR2 Antibody in Immunohistochemistry (Paraffin) (IHC (P))
          Group 53 Created with Sketch.
          BMPR2 Antibody in Immunohistochemistry (Paraffin) (IHC (P))
          Group 53 Created with Sketch.

          图: 1 / 5

          {{ $ctrl.currentElement.advancedVerification.fullName }}
          {{ $ctrl.currentElement.advancedVerification.text }}

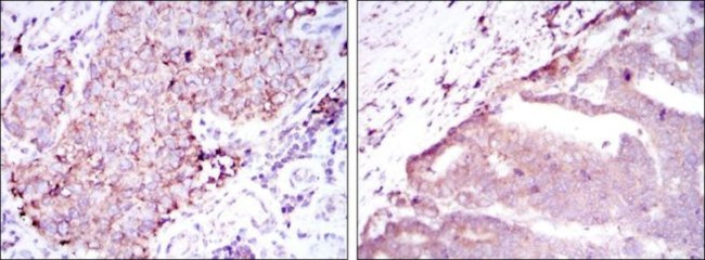
          BMPR2 Antibody (MA5-15826) in IHC (P)

          Immunohistochemical analysis of paraffin-embedded kidney cancer tissues (left) and stomach cancer tissues (right) using BMPR2 monoclonal antibody (Product # MA5-15826) followed with DAB staining. {{ $ctrl.currentElement.advancedVerification.fullName }} 验证信息 View more
          已发表图片由___提供 benchsci-logo
          PMID: {{$ctrl.currentElement.benchSciPubmedId}}
          查看产品

          {{$ctrl.videoDesc}}

          {{$ctrl.videoLongDesc}}

          BMPR2 Antibody in Immunohistochemistry (Paraffin) (IHC (P))
          BMPR2 Antibody in Immunohistochemistry (Paraffin) (IHC (P))
          BMPR2 Antibody in Western Blot (WB)
          BMPR2 Antibody in Immunohistochemistry, Immunocytochemistry (IHC, ICC/IF)
          BMPR2 Antibody in Immunohistochemistry (IHC)

          产品信息

          MA5-15826

          应用
          建议稀释比
          已发表文章

          免疫印迹 (WB)

          1:500-1:2,000
          -

          免疫组化 (IHC)

          -
          查看1篇已发表文章 1篇已发表文章

          免疫组化(石蜡) (IHC (P))

          1:200-1:1,000
          -

          免疫细胞化学 (ICC/IF)

          -
          查看1篇已发表文章 1篇已发表文章

          酶联免疫吸附实验 (ELISA)

          1:10,000
          -
          产品规格

          种属反应

          Human, Mouse, Non-human primate, Rat

          宿主/亚型

          Mouse / IgG1

          分类

          Monoclonal

          类型

          Antibody

          克隆号

          1F12

          抗原

          Purified recombinant fragment of human BMPR2 expressed in E. Coli.

          偶联物

          Unconjugated Unconjugated Unconjugated

          形式

          Liquid

          浓度

          Conc. Not Determined

          保存液

          ascites

          内含物

          0.03% sodium azide

          保存条件

          Store at 4°C short term. For long term storage, store at -20°C, avoiding freeze/thaw cycles.

          运输条件

          Ambient (domestic); Wet ice (international)

          RRID

          AB_11153401

          产品详细信息

          MA5-15826 targets BMPR2 in indirect ELISA, IHC and WB applications and shows reactivity with Human, mouse, Non-human primate, and Rat samples.

          The MA5-15826 immunogen is purified recombinant fragment of human BMPR2 expressed in E. Coli.

          MA5-15826 detects BMPR2 which has a predicted molecular weight of approximately 115kDa.

          靶标信息

          BMPR2 is a member of the bone morphogenetic protein (BMP) receptor family of transmembrane serine/threonine kinases. The ligands of this receptor are BMPs that are involved in endochondral bone formation and embryogenesis. The loss of interaction and lack of phosphorylation of TCTEL1 by BMPR2 may contribute to the pathogenesis of primary pulmonary hypertension (PPH) and BMPR2 also plays an essential role in human T-cell differentiation. BMPs are involved in endochondral bone formation and embryogenesis. These proteins transduce their signals through the formation of heteromeric complexes of two different types of serine (threonine) kinase receptors: type I receptors of about 50-55 kDa and type II receptors of about 70-80 kDa. Type II receptors bind ligands in the absence of type I receptors, but they require their respective type I receptors for signaling, whereas type I receptors require their respective type II receptors for ligand binding. Mutations in BMPR2 have been associated with primary pulmonary hypertension, both familial and fenfluramine-associated, and with pulmonary venoocclusive disease.

          仅用于科研。不用于诊断过程。未经明确授权不得转售。

          生物信息学

          蛋白别名: BMP type II receptor; BMP type-2 receptor; Bone morphogenetic protein receptor type II; Bone morphogenetic protein receptor type-2; bone morphogenetic protein receptor, type II (serine/threonine kinase); bone morphogenic protein receptor, type II (serine/threonine kinase); BRK-3; type II activin receptor-like kinase; type II receptor for bone morphogenetic protein-4; unnamed protein product

          查看更多 收起

          基因别名: 2610024H22Rik; AL117858; AW546137; BB189135; BMP-2; BMPR-2; BMPR-II; BMPR2; BMPR3; BMPRII; BMR2; BRK-3; Gm20272; POVD1; PPH1; T-ALK

          查看更多 收起

          UniProt ID: (Human) Q13873, (Mouse) O35607

          查看更多 收起

          Entrez Gene ID: (Human) 659, (Rat) 140590, (Mouse) 12168

          查看更多 收起

          功能
          nucleotide binding protein kinase activity protein serine/threonine kinase activity transmembrane receptor protein serine/threonine kinase activity transforming growth factor beta-activated receptor activity protein binding ATP binding kinase activity activin receptor activity, type II transferase activity growth factor binding BMP binding cadherin binding metal ion binding BMP receptor activity protein tyrosine kinase binding receptor signaling protein serine/threonine kinase activity transferase activity, transferring phosphorus-containing groups serine/threonine protein kinase receptor
          参与通路
          regulation of cell growth blood vessel development osteoblast differentiation mesoderm formation maternal placenta development endothelial cell proliferation vasculature development lymphangiogenesis blood vessel remodeling chondrocyte development negative regulation of systemic arterial blood pressure outflow tract septum morphogenesis outflow tract morphogenesis aortic valve development pulmonary valve development atrioventricular valve morphogenesis mitral valve morphogenesis tricuspid valve morphogenesis endocardial cushion development negative regulation of cell proliferation involved in heart valve morphogenesis transmembrane receptor protein serine/threonine kinase signaling pathway negative regulation of cell proliferation cellular response to starvation tissue development anterior/posterior pattern specification positive regulation of gene expression positive regulation of epithelial cell migration regulation of lung blood pressure cell differentiation proteoglycan biosynthetic process negative regulation of cell growth lung development positive regulation of bone mineralization BMP signaling pathway activin receptor signaling pathway positive regulation of locomotion regulation of cell proliferation positive regulation of cell differentiation positive regulation of osteoblast differentiation positive regulation of ossification negative regulation of vasoconstriction positive regulation of transcription from RNA polymerase II promoter lung alveolus development negative regulation of smooth muscle cell proliferation cardiac muscle tissue development positive regulation of axon extension involved in axon guidance stem cell differentiation negative regulation of muscle cell differentiation retina development in camera-type eye limb development endochondral bone morphogenesis positive regulation of SMAD protein import into nucleus ventricular septum morphogenesis atrial septum morphogenesis lung vasculature development lymphatic endothelial cell differentiation artery development venous blood vessel development positive regulation of cartilage development retina vasculature development in camera-type eye pharyngeal arch artery morphogenesis cellular response to growth factor stimulus cellular response to BMP stimulus endothelial cell apoptotic process negative regulation of chondrocyte proliferation semi-lunar valve development regulation of multicellular organismal development positive regulation of endothelial cell proliferation transcription from RNA polymerase II promoter protein phosphorylation brain development positive regulation of endothelial cell migration positive regulation of pathway-restricted SMAD protein phosphorylation signal transduction by protein phosphorylation positive regulation of BMP signaling pathway vascular endothelial growth factor receptor signaling pathway negative regulation of DNA biosynthetic process positive regulation of protein phosphorylation phosphorylation
          It has to be done as per old AB suggested Products section.

          Disclaimer

          Close

          Clicking the images or links will redirect you to a website hosted by BenchSci that provides third-party scientific content. Neither the content nor the BenchSci technology and processes for selection have been evaluated by us; we are providing them as-is and without warranty of any kind, including for use or application of the Thermo Fisher Scientific products presented.

          guarantee_icon

          性能保障

          只要您发现Invitrogen抗体在实验中的表现与网站或说明书的所述内容不符,您即可享受免费退换货服务。*

          了解更多
          help_icon

          随时为您服务

          获取常见问题的专家解答,或者直接联系我们的技术专家,咨询应用、设备、常规产品使用问题。

          联系技术支持
          订购 Plus Icon Minus Icon
          • 订单状态查询
          • 订单支持
          • 货号直购
          • 现货供应中心
          • 电子采购
          支持 Plus Icon Minus Icon
          • 帮助&支持
          • 联系我们 - 400 820 8982
          • 技术支持中心
          • 查找文件&证书
          • 报告网站问题
          资源 Plus Icon Minus Icon
          • 学习中心
          • 促销
          • 活动&研讨会
          • 社交媒体
          关于赛默飞 Plus Icon Minus Icon
          • 关于我们
          • 招聘 招聘
          • 投资者关系 投资者关系
          • 新闻 新闻
          • 社会责任 社会责任
          • 商标
          • 政策和通知
          品牌 Plus Icon Minus Icon
          • Thermo Scientific
          • Applied Biosystems
          • Invitrogen
          • Gibco
          • Ion Torrent
          • Unity Lab Services
          • Patheon
          • PPD
          • 服务条款
          • 隐私政策
          • 定价和运输保险政策
          © 2006-2026 Thermo Fisher Scientific Inc. All rights reserved. All trademarks are the property of Thermo Fisher Scientific and its subsidiaries unless otherwise specified.
          China flag icon
          China
          本网站销售的所有产品均不得用于人类或动物之临床诊断或治疗,仅可用于工业或者科研等非医疗目的。
             电子营业执照 | 经营证照公示 | ICP备案号:沪ICP备11003924号 | 沪公网安备 31011502006935号

          Your items have has been added!


          Host server : magellan-search-green-6479c7f679-sz4vp:80/100.66.76.236:80.
          git-commit: b70c0dceb888abc3b0dcebb5bc3a5b8753e7e816
          git-url: https://github.com/thermofisher/magellan-search
          git-branch: release/2.50.0-Offline