Hamburger Menu Button
Thermo Fisher Scientific Logo
登录
没有账号?建立账号 注册
  • 产品
    • 抗体
    • 引物合成
    • GeneArt Gene Synthesis Instant Designer
    • TaqMan Assay and Array Search
    • PCR 设备和耗材
    • 色谱柱和纯化柱
    • 实验室离心机
    • 分子生物学试剂和试剂盒
    • 实验室塑料耗材及用品
    • 查看所有产品分类
  • 应用和技术
    • 色谱
    • 细胞转染和培养
    • 实时荧光定量PCR
    • 质谱
    • 实验室塑料耗材及用品
    • 电子显微镜
    • 蛋白质生物学
    • PCR
    • RNAi
    • 环境
    • 查看所有应用和技术
  • 服务
    • 定制服务
    • 企业级实验室信息化服务
    • 金融&租赁服务
    • 仪器服务
    • OEM和商业供应
    • 培训服务
    • 360° CDMO 和 CRO 服务
    • CDMO 服务
    • 临床试验 CRO 服务
    • Unity Lab Services
    • 查看所有帮助和支持
  • 帮助和支持
    • 学习中心
    • 联系我们
    • 更改国家或地区
    • 查看所有帮助和支持
  • 热门产品
    • TaqMan Real-Time PCR Assays
      TaqMan 实时荧光定量 PCR 试剂盒
    • Antibodies
      抗体
    • Oligos, Primers & Probes
      寡核苷酸、引物、探针
    • GeneArt Gene Synthesis
      GeneArt 基因合成
    • Cell Culture Plastics
      细胞培养耗材
  • Who We Serve
    • 抗体治疗解决方案
    • 细胞与基因治疗解决方案
    • 学术科研
    • 工业与应用
  • 联系我们
  • 货号直购
  • 订单查询
  • 查找文件&证书
Thermo Fisher Scientific Logo

Search

搜索全部或下列指定分类
Search button
          • 联系我们
          • 货号直购
          • 登录
            登录
            没有账号?建立账号 注册
            • 我的账号
            • 订单
            • 会员中心
            • 账单及发票查询
            • 定制产品及项目
          • Primary Antibodies ›
          • BRCA1 Antibodies

          Invitrogen

          BRCA1 Polyclonal Antibody

          查看其他71个BRCA1抗体

          {{$productOrderCtrl.translations['antibody.pdp.commerceCard.promotion.promotions']}}

          {{$productOrderCtrl.translations['antibody.pdp.commerceCard.promotion.viewpromo']}}

          {{$productOrderCtrl.translations['antibody.pdp.commerceCard.promotion.promocode']}}: {{promo.promoCode}} {{promo.promoTitle}} {{promo.promoDescription}}. {{$productOrderCtrl.translations['antibody.pdp.commerceCard.promotion.learnmore']}}

          说明书
          证书
          实验方案
          问题与答案
          技术支持
          说明书
          证书
          实验方案
          问题与答案
          技术支持
          说明书
          证书
          实验方案
          问题与答案
          技术支持

          Cite BRCA1 Polyclonal Antibody

          Additional Information:
          {{banner.description}}
          {{$ctrl.isSkuNotesCollapsed ? 'View more' : 'View less'}}
          • 抗体检测数据 (8)
          BRCA1 Antibody in Immunohistochemistry (Paraffin) (IHC (P))
          Group 53 Created with Sketch.
          BRCA1 Antibody in Immunohistochemistry (Paraffin) (IHC (P))
          Group 53 Created with Sketch.

          图: 1 / 8

          {{ $ctrl.currentElement.advancedVerification.fullName }}
          {{ $ctrl.currentElement.advancedVerification.text }}

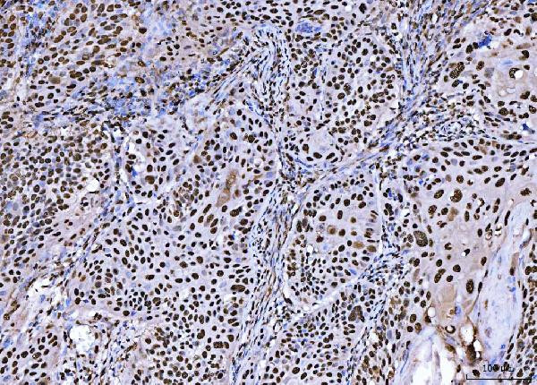
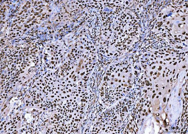
          BRCA1 Antibody (PA5-78883) in IHC (P)

          Immunohistochemistry (Paraffin) analysis of BRCA1 in paraffin-embedded section of human laryngeal squamous cell carcinoma tissue using BRCA1 Polyclonal Antibody (Product # PA5-78883). Heat mediated antigen retrieval was performed in EDTA buffer (pH 8.0, epitope retrieval solution). The tissue section was blocked with 10% goat serum. The tissue section was then incubated with the primary antibody at a 2 µg/m... View More {{ $ctrl.currentElement.advancedVerification.fullName }} 验证信息 View more
          已发表图片由___提供 benchsci-logo
          PMID: {{$ctrl.currentElement.benchSciPubmedId}}
          查看产品

          {{$ctrl.videoDesc}}

          {{$ctrl.videoLongDesc}}

          BRCA1 Antibody in Immunohistochemistry (Paraffin) (IHC (P))
          BRCA1 Antibody in Immunohistochemistry (Paraffin) (IHC (P))
          BRCA1 Antibody in Immunohistochemistry (Paraffin) (IHC (P))
          BRCA1 Antibody in Immunohistochemistry (Paraffin) (IHC (P))
          BRCA1 Antibody in Immunohistochemistry (Paraffin) (IHC (P))
          BRCA1 Antibody in Immunohistochemistry (Paraffin) (IHC (P))
          BRCA1 Antibody in Western Blot (WB)
          BRCA1 Antibody in Flow Cytometry (Flow)
          BRCA1 Polyclonal Antibody

          产品信息

          PA5-78883

          应用
          建议稀释比
          已发表文章

          免疫印迹 (WB)

          0.1-0.5 µg/mL
          -

          免疫组化(石蜡) (IHC (P))

          2-5 µg/mL
          -

          流式细胞分析 (Flow)

          1-3 µg/1x10^6 cells
          -
          产品规格

          种属反应

          Human, Mouse, Rat

          宿主/亚型

          Rabbit / IgG

          分类

          Polyclonal

          类型

          Antibody

          抗原

          E.coli-derived human BRCA1 recombinant protein (Position: E1661-Y1863).
          3D表位/免疫原

          偶联物

          Unconjugated Unconjugated Unconjugated

          形式

          Lyophilized

          浓度

          500 µg/mL

          规格

          100 µg

          纯化类型

          Antigen affinity chromatography

          保存液

          PBS with 4mg trehalose

          内含物

          no preservative

          保存条件

          -20°C

          运输条件

          Ambient (domestic); Wet ice (international)

          RRID

          AB_2745999

          产品详细信息

          Reconstitute with 0.2 mL of distilled water to yield a concentration of 500 µg/mL.

          Positive Control - WB: human Hela whole cell, human T-47D whole cell, human Raji whole cell. IHC: human tonsil tissue, human laryngeal squamous cell carcinoma tissue, human thyroid cancer tissue, human colorectal adenocarcinoma tissue, mouse brain tissue, rat brain tissue. Flow: HepG2 cell.

          靶标信息

          BRCA1 (breast and ovarian cancer susceptibility protein 1) is a nuclear phosphoprotein that plays a role in maintaining genomic stability and acts as a tumor suppressor in combination with other tumor suppressors, DNA damage sensors, and signal transducers to form a large multi-subunit protein complex known as BASC (for BRCA1 associated genome surveillance complex). BRCA1 associates with RNA polymerase II, and through the C terminal domain, also interacts with histone deacetylase complex. The BRCA1 protein thus plays a role in transcription, DNA repair of double-stranded breaks, and recombination. Mutations in the BRCA1 gene are responsible for approximately 40% of inherited breast cancers and more than 80% of inherited breast and ovarian cancers. Alternative splicing plays a role in modulating the subcellular localization and physiological function of this gene. Many alternatively spliced transcript variants, some of which are disease-associated mutations, have been described for this gene, but the full-length natures of only some of these variants has been described. A related pseudogene, which is also located on chromosome 17, has been identified.

          仅用于科研。不用于诊断过程。未经明确授权不得转售。

          篇参考文献 (0)

          您是否在文献中引用过该产品?请点击下方按钮邮件告知我们。
          引用该产品

          生物信息学

          蛋白别名: brca 1; brca-1; BRCA1/BRCA2-containing complex, subunit 1; breast and ovarian cancer susceptibility protein 1; breast cancer 1 early onset; breast cancer 1, early onset; breast cancer associated 1; Breast cancer type 1 susceptibility protein; Breast cancer type 1 susceptibility protein homolog; breast cancer type 1 susceptibility protein isoform p.23; breast cancer type 1 susceptibility protein, isoform p.10; breast cancer type 1 susceptibility protein, isoform p.11; breast cancer type 1 susceptibility protein, isoform p.12; breast cancer type 1 susceptibility protein, isoform p.13; breast cancer type 1 susceptibility protein, isoform p.14; breast cancer type 1 susceptibility protein, isoform p.15; breast cancer type 1 susceptibility protein, isoform p.16; breast cancer type 1 susceptibility protein, isoform p.17; breast cancer type 1 susceptibility protein, isoform p.18; breast cancer type 1 susceptibility protein, isoform p.19; breast cancer type 1 susceptibility protein, isoform p.20; breast cancer type 1 susceptibility protein, isoform p.21; breast cancer type 1 susceptibility protein, isoform p.22; breast cancer type 1 susceptibility protein, isoform p.24; breast cancer type 1 susceptibility protein, isoform p.25; breast cancer type 1 susceptibility protein, isoform p.26; breast cancer type 1 susceptibility protein, isoform p.27; breast cancer type 1 susceptibility protein, isoform p.28; breast cancer type 1 susceptibility protein, isoform p.29; breast cancer type 1 susceptibility protein, isoform p.30; breast cancer type 1 susceptibility protein, isoform p.31; breast cancer type 1 susceptibility protein, isoform p.32; breast cancer type 1 susceptibility protein, isoform p.33; breast cancer type 1 susceptibility protein, isoform p.34; breast cancer type 1 susceptibility protein, isoform p.35; breast cancer type 1 susceptibility protein, isoform p.36; breast cancer type 1 susceptibility protein, isoform p.37; breast cancer type 1 susceptibility protein, isoform p.38; breast cancer type 1 susceptibility protein, isoform p.39; breast cancer type 1 susceptibility protein, isoform p.40; breast cancer type 1 susceptibility protein, isoform p.41; breast cancer type 1 susceptibility protein, isoform p.42; breast cancer type 1 susceptibility protein, isoform p.6; breast cancer type 1 susceptibility protein, isoform p.7; breast cancer type 1 susceptibility protein, isoform p.8; breast cancer type 1 susceptibility protein, isoform p.9; BROVCA12; Delta772-3095; early onset breast cancer 1; Fanconi anemia, complementation group S; influences susceptibility to breast and ovarian cancer; OTTHUMP00000212147; OTTHUMP00000212148; OTTHUMP00000212149; OTTHUMP00000212150; OTTHUMP00000212151; OTTHUMP00000212155; protein phosphatase 1, regulatory subunit 53; RING finger protein 53; RING-type E3 ubiquitin transferase BRCA1; unnamed protein product

          查看更多 收起

          基因别名: BRCA1; BRCAI; BRCC1; BROVCA1; FANCS; IRIS; PNCA4; PPP1R53; PSCP; RNF53

          查看更多 收起

          UniProt ID: (Human) P38398, (Mouse) P48754, (Rat) O54952

          查看更多 收起

          Entrez Gene ID: (Human) 672, (Mouse) 12189, (Rat) 497672

          查看更多 收起

          功能
          transcription regulatory region sequence-specific DNA binding p53 binding DNA binding damaged DNA binding transcription coactivator activity RNA binding ubiquitin-protein transferase activity protein binding zinc ion binding tubulin binding transferase activity enzyme binding ubiquitin protein ligase binding identical protein binding metal ion binding ubiquitin protein ligase activity ubiquitinated histone binding RNA polymerase binding histone H2AK127 ubiquitin ligase activity histone H2AK129 ubiquitin ligase activity UDP-N-acetylmuramoylalanyl-D-glutamyl-2,6-diaminopimelate-D-alanyl-D-alanine ligase activity ligase activity ribosomal S6-glutamic acid ligase activity coenzyme F420-0 gamma-glutamyl ligase activity coenzyme F420-2 alpha-glutamyl ligase activity transcription regulatory region DNA binding protein-glycine ligase activity protein-glycine ligase activity, initiating protein-glycine ligase activity, elongating tubulin-glycine ligase activity protein-glutamic acid ligase activity tubulin-glutamic acid ligase activity ubiquitin-protein ligase protein modifying enzyme
          参与通路
          double-strand break repair via homologous recombination DNA repair regulation of DNA repair postreplication repair double-strand break repair DNA recombination chromatin remodeling regulation of transcription from RNA polymerase II promoter lipid metabolic process fatty acid metabolic process fatty acid biosynthetic process cellular response to DNA damage stimulus chromosome segregation mitotic G2 DNA damage checkpoint centrosome cycle dosage compensation intrinsic apoptotic signaling pathway in response to DNA damage response to ionizing radiation positive regulation of vascular endothelial growth factor production positive regulation of gene expression protein ubiquitination negative regulation of cell growth negative regulation of intracellular estrogen receptor signaling pathway reciprocal DNA recombination chordate embryonic development hypermethylation of CpG island mitotic G2/M transition checkpoint negative regulation of fatty acid biosynthetic process positive regulation of DNA repair positive regulation of angiogenesis negative regulation of cell cycle negative regulation of transcription, DNA-templated positive regulation of transcription, DNA-templated positive regulation of transcription from RNA polymerase II promoter negative regulation of centriole replication regulation of cell cycle protein autoubiquitination random inactivation of X chromosome cellular response to tumor necrosis factor cellular response to ionizing radiation cellular response to indole-3-methanol protein K6-linked ubiquitination DNA strand resection involved in replication fork processing negative regulation of extrinsic apoptotic signaling pathway via death domain receptors regulation of DNA damage checkpoint negative regulation of reactive oxygen species metabolic process DNA replication regulation of gene expression by genetic imprinting cell cycle dosage compensation by inactivation of X chromosome chromosome breakage positive regulation of protein ubiquitination G2 DNA damage checkpoint positive regulation of histone acetylation negative regulation of histone acetylation regulation of cell proliferation response to estrogen regulation of DNA methylation centrosome duplication positive regulation of histone H3-K4 methylation negative regulation of histone H3-K4 methylation negative regulation of histone H3-K9 methylation positive regulation of histone H3-K9 methylation positive regulation of histone H4-K20 methylation positive regulation of cell cycle arrest positive regulation of histone H3-K9 acetylation positive regulation of histone H4-K16 acetylation brain development response to nutrient response to organic substance response to estradiol response to lipid regulation of cell motility
          It has to be done as per old AB suggested Products section.

          Disclaimer

          Close

          Clicking the images or links will redirect you to a website hosted by BenchSci that provides third-party scientific content. Neither the content nor the BenchSci technology and processes for selection have been evaluated by us; we are providing them as-is and without warranty of any kind, including for use or application of the Thermo Fisher Scientific products presented.

          guarantee_icon

          性能保障

          只要您发现Invitrogen抗体在实验中的表现与网站或说明书的所述内容不符,您即可享受免费退换货服务。*

          了解更多
          help_icon

          随时为您服务

          获取常见问题的专家解答,或者直接联系我们的技术专家,咨询应用、设备、常规产品使用问题。

          联系技术支持
          订购 Plus Icon Minus Icon
          • 订单状态查询
          • 订单支持
          • 货号直购
          • 现货供应中心
          • 电子采购
          支持 Plus Icon Minus Icon
          • 帮助&支持
          • 联系我们 - 400 820 8982
          • 技术支持中心
          • 查找文件&证书
          • 报告网站问题
          资源 Plus Icon Minus Icon
          • 学习中心
          • 促销
          • 活动&研讨会
          • 社交媒体
          关于赛默飞 Plus Icon Minus Icon
          • 关于我们
          • 招聘 招聘
          • 投资者关系 投资者关系
          • 新闻 新闻
          • 社会责任 社会责任
          • 商标
          • 政策和通知
          品牌 Plus Icon Minus Icon
          • Thermo Scientific
          • Applied Biosystems
          • Invitrogen
          • Gibco
          • Ion Torrent
          • Unity Lab Services
          • Patheon
          • PPD
          • 服务条款
          • 隐私政策
          • 定价和运输保险政策
          © 2006-2026 Thermo Fisher Scientific Inc. All rights reserved. All trademarks are the property of Thermo Fisher Scientific and its subsidiaries unless otherwise specified.
          China flag icon
          China
          本网站销售的所有产品均不得用于人类或动物之临床诊断或治疗,仅可用于工业或者科研等非医疗目的。
             电子营业执照 | 经营证照公示 | ICP备案号:沪ICP备11003924号 | 沪公网安备 31011502006935号

          Your items have has been added!


          Host server : magellan-search-green-6479c7f679-k9lz7:80/100.66.74.142:80.
          git-commit: b70c0dceb888abc3b0dcebb5bc3a5b8753e7e816
          git-url: https://github.com/thermofisher/magellan-search
          git-branch: release/2.50.0-Offline