Hamburger Menu Button
Thermo Fisher Scientific Logo
登录
没有账号?建立账号 注册
  • 产品
    • 抗体
    • 引物合成
    • GeneArt Gene Synthesis Instant Designer
    • TaqMan Assay and Array Search
    • PCR 设备和耗材
    • 色谱柱和纯化柱
    • 实验室离心机
    • 分子生物学试剂和试剂盒
    • 实验室塑料耗材及用品
    • 查看所有产品分类
  • 应用和技术
    • 色谱
    • 细胞转染和培养
    • 实时荧光定量PCR
    • 质谱
    • 实验室塑料耗材及用品
    • 电子显微镜
    • 蛋白质生物学
    • PCR
    • RNAi
    • 环境
    • 查看所有应用和技术
  • 服务
    • 定制服务
    • 企业级实验室信息化服务
    • 金融&租赁服务
    • 仪器服务
    • OEM和商业供应
    • 培训服务
    • 360° CDMO 和 CRO 服务
    • CDMO 服务
    • 临床试验 CRO 服务
    • Unity Lab Services
    • 查看所有帮助和支持
  • 帮助和支持
    • 学习中心
    • 联系我们
    • 更改国家或地区
    • 查看所有帮助和支持
  • 热门产品
    • TaqMan Real-Time PCR Assays
      TaqMan 实时荧光定量 PCR 试剂盒
    • Antibodies
      抗体
    • Oligos, Primers & Probes
      寡核苷酸、引物、探针
    • GeneArt Gene Synthesis
      GeneArt 基因合成
    • Cell Culture Plastics
      细胞培养耗材
  • Who We Serve
    • 抗体治疗解决方案
    • 细胞与基因治疗解决方案
    • 学术科研
    • 工业与应用
  • 联系我们
  • 货号直购
  • 订单查询
  • 查找文件&证书
Thermo Fisher Scientific Logo

Search

搜索全部或下列指定分类
Search button
          • 联系我们
          • 货号直购
          • 登录
            登录
            没有账号?建立账号 注册
            • 我的账号
            • 订单
            • 会员中心
            • 账单及发票查询
            • 定制产品及项目
          • Primary Antibodies ›
          • BRCA2 Antibodies

          Invitrogen

          BRCA2 Monoclonal Antibody (234403)

          1个已发表图片
          2 篇参考文献
          查看其他14个BRCA2抗体

          {{$productOrderCtrl.translations['antibody.pdp.commerceCard.promotion.promotions']}}

          {{$productOrderCtrl.translations['antibody.pdp.commerceCard.promotion.viewpromo']}}

          {{$productOrderCtrl.translations['antibody.pdp.commerceCard.promotion.promocode']}}: {{promo.promoCode}} {{promo.promoTitle}} {{promo.promoDescription}}. {{$productOrderCtrl.translations['antibody.pdp.commerceCard.promotion.learnmore']}}

          说明书
          证书
          实验方案
          问题与答案
          技术支持
          说明书
          证书
          实验方案
          问题与答案
          技术支持
          说明书
          证书
          实验方案
          问题与答案
          技术支持

          Cite BRCA2 Monoclonal Antibody (234403)

          Additional Information:
          {{banner.description}}
          {{$ctrl.isSkuNotesCollapsed ? 'View more' : 'View less'}}
          • 抗体检测数据 (1)
          • 已发表图片 (1)
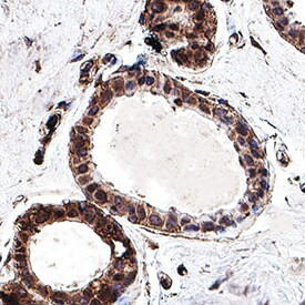
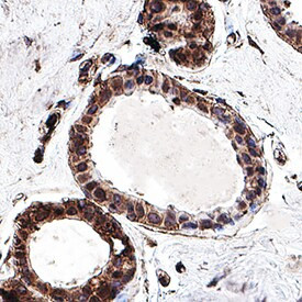
          BRCA2 Antibody in Immunohistochemistry (Paraffin) (IHC (P))
          Group 53 Created with Sketch.
          BRCA2 Antibody in Immunohistochemistry (Paraffin) (IHC (P))
          Group 53 Created with Sketch.

          图: 1 / 2

          {{ $ctrl.currentElement.advancedVerification.fullName }}
          {{ $ctrl.currentElement.advancedVerification.text }}

          BRCA2 Antibody (MA5-23942) in IHC (P)

          BRCA2 in Human Breast Cancer Tissue. BRCA2 was detected in immersion fixed paraffin-embedded sections of human breast cancer tissue using BRCA2 Monoclonal Antibody (Product # MA5-23942) at 5 µg/mL for 1 hour at room temperature followed by incubation with the Anti-Mouse IgG HRP Antibody. Before incubation with the primary antibody, tissue was subjected to heat-induced epitope retrieval. Tissue was stained u... View More {{ $ctrl.currentElement.advancedVerification.fullName }} 验证信息 View more
          已发表图片由___提供 benchsci-logo
          PMID: {{$ctrl.currentElement.benchSciPubmedId}}
          查看产品

          {{$ctrl.videoDesc}}

          {{$ctrl.videoLongDesc}}

          BRCA2 Antibody in Immunohistochemistry (Paraffin) (IHC (P))
          BRCA2 Antibody in Western Blot (WB)
          BRCA2 Monoclonal Antibody (234403)

          产品信息

          MA5-23942

          应用
          建议稀释比
          已发表文章

          免疫印迹 (WB)

          0.2 µg/mL
          查看1篇已发表文章 1篇已发表文章

          免疫组化(石蜡) (IHC (P))

          5-25 µg/mL
          -

          免疫细胞化学 (ICC/IF)

          -
          查看1篇已发表文章 1篇已发表文章
          产品规格

          种属反应

          Human

          已发表种属

          Human

          宿主/亚型

          Mouse / IgG1

          分类

          Monoclonal

          类型

          Antibody

          克隆号

          234403

          抗原

          E. coli-derived recombinant human BRCA2 Met1-Thr200
          3D表位/免疫原

          偶联物

          Unconjugated Unconjugated Unconjugated

          形式

          Lyophilized

          浓度

          0.5 mg/mL

          规格

          100 µg

          纯化类型

          Protein A/G

          保存液

          PBS with 5% trehalose

          内含物

          No Preservative

          保存条件

          -20°C, Avoid Freeze/Thaw Cycles

          运输条件

          Ambient (domestic); Wet ice (international)

          RRID

          AB_2608610

          产品详细信息

          This antibody detects endogenous human BRCA2.

          Reconstitute at 0.5 mg/mL in sterile PBS.

          靶标信息

          Breast Cancer Type 2 susceptibility protein (BRCA2) is a tumor-suppressor protein reported to be involved in double-strand break repair, homologous recombination and S-phase checkpoint activation.

          仅用于科研。不用于诊断过程。未经明确授权不得转售。

          生物信息学

          蛋白别名: brca 2; brca-2; BRCA1/BRCA2-containing complex, subunit 2; BRCA2 DNA repair associated protein; breast and ovarian cancer susceptibility gene, early onset; breast and ovarian cancer susceptibility protein 2; breast cancer 2 tumor suppressor; breast cancer 2, early onset; Breast cancer type 2 susceptibility protein; DNA repair associated; DNA repair-associated BRCA2; FANCB; Fanconi anemia group D1 protein; mutant BRCA2; mutant DNA repair-associated protein 2; RP11-298P3.4

          查看更多 收起

          基因别名: BRCA2; BRCC2; BROVCA2; FACD; FAD; FAD1; FANCD; FANCD1; GLM3; PNCA2; XRCC11

          查看更多 收起

          UniProt ID: (Human) P51587

          查看更多 收起

          Entrez Gene ID: (Human) 675

          查看更多 收起

          功能
          protease binding DNA binding single-stranded DNA binding histone acetyltransferase activity protein binding H3 histone acetyltransferase activity H4 histone acetyltransferase activity identical protein binding gamma-tubulin binding
          参与通路
          telomere maintenance via recombination double-strand break repair via homologous recombination oocyte maturation inner cell mass cell proliferation DNA repair nucleotide-excision repair double-strand break repair DNA recombination chromatin remodeling regulation of transcription, DNA-templated cellular response to DNA damage stimulus male meiosis I spermatogenesis brain development cell proliferation female gonad development intrinsic apoptotic signaling pathway in response to DNA damage response to X-ray response to UV-C response to gamma radiation hemopoiesis DNA damage response, signal transduction by p53 class mediator replication fork processing regulation of cytokinesis negative regulation of mammary gland epithelial cell proliferation intrinsic apoptotic signaling pathway in response to DNA damage by p53 class mediator chordate embryonic development positive regulation of transcription, DNA-templated positive regulation of mitotic cell cycle chromosome organization centrosome duplication establishment of protein localization to telomere hematopoietic stem cell proliferation cellular response to ionizing radiation stem cell proliferation cellular senescence mitotic recombination-dependent replication fork processing regulation of DNA damage checkpoint
          It has to be done as per old AB suggested Products section.

          Disclaimer

          Close

          Clicking the images or links will redirect you to a website hosted by BenchSci that provides third-party scientific content. Neither the content nor the BenchSci technology and processes for selection have been evaluated by us; we are providing them as-is and without warranty of any kind, including for use or application of the Thermo Fisher Scientific products presented.

          guarantee_icon

          性能保障

          只要您发现Invitrogen抗体在实验中的表现与网站或说明书的所述内容不符,您即可享受免费退换货服务。*

          了解更多
          help_icon

          随时为您服务

          获取常见问题的专家解答,或者直接联系我们的技术专家,咨询应用、设备、常规产品使用问题。

          联系技术支持
          订购 Plus Icon Minus Icon
          • 订单状态查询
          • 订单支持
          • 货号直购
          • 现货供应中心
          • 电子采购
          支持 Plus Icon Minus Icon
          • 帮助&支持
          • 联系我们 - 400 820 8982
          • 技术支持中心
          • 查找文件&证书
          • 报告网站问题
          资源 Plus Icon Minus Icon
          • 学习中心
          • 促销
          • 活动&研讨会
          • 社交媒体
          关于赛默飞 Plus Icon Minus Icon
          • 关于我们
          • 招聘 招聘
          • 投资者关系 投资者关系
          • 新闻 新闻
          • 社会责任 社会责任
          • 商标
          • 政策和通知
          品牌 Plus Icon Minus Icon
          • Thermo Scientific
          • Applied Biosystems
          • Invitrogen
          • Gibco
          • Ion Torrent
          • Unity Lab Services
          • Patheon
          • PPD
          • 服务条款
          • 隐私政策
          • 定价和运输保险政策
          © 2006-2026 Thermo Fisher Scientific Inc. All rights reserved. All trademarks are the property of Thermo Fisher Scientific and its subsidiaries unless otherwise specified.
          China flag icon
          China
          本网站销售的所有产品均不得用于人类或动物之临床诊断或治疗,仅可用于工业或者科研等非医疗目的。
             电子营业执照 | 经营证照公示 | ICP备案号:沪ICP备11003924号 | 沪公网安备 31011502006935号

          Your items have has been added!


          Host server : magellan-search-green-6479c7f679-sz4vp:80/100.66.76.236:80.
          git-commit: b70c0dceb888abc3b0dcebb5bc3a5b8753e7e816
          git-url: https://github.com/thermofisher/magellan-search
          git-branch: release/2.50.0-Offline