Hamburger Menu Button
Thermo Fisher Scientific Logo
登录
没有账号?建立账号 注册
  • 产品
    • 抗体
    • 引物合成
    • GeneArt Gene Synthesis Instant Designer
    • TaqMan Assay and Array Search
    • PCR 设备和耗材
    • 色谱柱和纯化柱
    • 实验室离心机
    • 分子生物学试剂和试剂盒
    • 实验室塑料耗材及用品
    • 查看所有产品分类
  • 应用和技术
    • 色谱
    • 细胞转染和培养
    • 实时荧光定量PCR
    • 质谱
    • 实验室塑料耗材及用品
    • 电子显微镜
    • 蛋白质生物学
    • PCR
    • RNAi
    • 环境
    • 查看所有应用和技术
  • 服务
    • 定制服务
    • 企业级实验室信息化服务
    • 金融&租赁服务
    • 仪器服务
    • OEM和商业供应
    • 培训服务
    • 360° CDMO 和 CRO 服务
    • CDMO 服务
    • 临床试验 CRO 服务
    • Unity Lab Services
    • 查看所有帮助和支持
  • 帮助和支持
    • 学习中心
    • 联系我们
    • 更改国家或地区
    • 查看所有帮助和支持
  • 热门产品
    • TaqMan Real-Time PCR Assays
      TaqMan 实时荧光定量 PCR 试剂盒
    • Antibodies
      抗体
    • Oligos, Primers & Probes
      寡核苷酸、引物、探针
    • GeneArt Gene Synthesis
      GeneArt 基因合成
    • Cell Culture Plastics
      细胞培养耗材
  • Who We Serve
    • 抗体治疗解决方案
    • 细胞与基因治疗解决方案
    • 学术科研
    • 工业与应用
  • 联系我们
  • 货号直购
  • 订单查询
  • 查找文件&证书
Thermo Fisher Scientific Logo

Search

搜索全部或下列指定分类
Search button
          • 联系我们
          • 货号直购
          • 登录
            登录
            没有账号?建立账号 注册
            • 我的账号
            • 订单
            • 会员中心
            • 账单及发票查询
            • 定制产品及项目
          • Primary Antibodies ›
          • BRG1 Antibodies

          Invitrogen

          BRG1 Recombinant Rabbit Monoclonal Antibody (SN20-03)

          高级验证
          查看其他38个BRG1抗体

          {{$productOrderCtrl.translations['antibody.pdp.commerceCard.promotion.promotions']}}

          {{$productOrderCtrl.translations['antibody.pdp.commerceCard.promotion.viewpromo']}}

          {{$productOrderCtrl.translations['antibody.pdp.commerceCard.promotion.promocode']}}: {{promo.promoCode}} {{promo.promoTitle}} {{promo.promoDescription}}. {{$productOrderCtrl.translations['antibody.pdp.commerceCard.promotion.learnmore']}}

          说明书
          证书
          实验方案
          问题与答案
          技术支持
          说明书
          证书
          实验方案
          问题与答案
          技术支持
          说明书
          证书
          实验方案
          问题与答案
          技术支持

          Cite BRG1 Recombinant Rabbit Monoclonal Antibody (SN20-03)

          Additional Information:
          {{banner.description}}
          {{$ctrl.isSkuNotesCollapsed ? 'View more' : 'View less'}}
          • 抗体检测数据 (13)
          • 高级验证 (1)
          BRG1 Antibody in Immunocytochemistry (ICC/IF)
          Group 53 Created with Sketch.
          BRG1 Antibody in Immunocytochemistry (ICC/IF)
          Group 53 Created with Sketch.

          图: 1 / 14

          {{ $ctrl.currentElement.advancedVerification.fullName }}
          {{ $ctrl.currentElement.advancedVerification.text }}

          BRG1 Antibody (MA5-41176) in ICC/IF

          Immunocytochemistry/Immunofluorescence analysis of BRG1 in RH-35 cells (green). Formalin fixed cells were permeabilized with 0.1% Triton X-100 in TBS for 10 minutes at room temperature and blocked with 1% Blocker BSA for 15 minutes at room temperature. Cells were probed with BRG1 Recombinant Monoclonal Antibody (Product # MA5-41176) at a dilution of 1:50 for 1 hour at room temperature, washed with PBS. Alexa Fluor®488 Goat anti-Rabbit IgG was used as the secondary antibody at 1:1,000 dilution. The nuclear counter stain is DAPI (blue). {{ $ctrl.currentElement.advancedVerification.fullName }} 验证信息 View more
          已发表图片由___提供 benchsci-logo
          PMID: {{$ctrl.currentElement.benchSciPubmedId}}
          查看产品

          {{$ctrl.videoDesc}}

          {{$ctrl.videoLongDesc}}

          BRG1 Antibody in Immunocytochemistry (ICC/IF)
          BRG1 Antibody in Immunocytochemistry (ICC/IF)
          BRG1 Antibody in Immunocytochemistry (ICC/IF)
          BRG1 Antibody in Immunocytochemistry (ICC/IF)
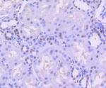
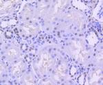
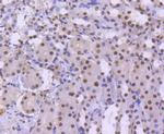
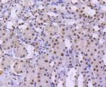
          BRG1 Antibody in Immunohistochemistry (Paraffin) (IHC (P))
          BRG1 Antibody in Immunohistochemistry (Paraffin) (IHC (P))
          BRG1 Antibody in Immunohistochemistry (Paraffin) (IHC (P))
          BRG1 Antibody in Immunohistochemistry (Paraffin) (IHC (P))
          BRG1 Antibody in Immunohistochemistry (Paraffin) (IHC (P))
          BRG1 Antibody in Immunohistochemistry (Paraffin) (IHC (P))
          BRG1 Antibody in Immunohistochemistry (Paraffin) (IHC (P))
          BRG1 Antibody in Western Blot (WB)
          BRG1 Antibody in Western Blot (WB)
          BRG1 Antibody
          BRG1 Recombinant Rabbit Monoclonal Antibody (SN20-03)

          产品信息

          MA5-41176

          应用
          建议稀释比
          已发表文章

          免疫印迹 (WB)

          1:20,000-1:50,000
          -

          免疫组化(石蜡) (IHC (P))

          1:1,000-1:5,000
          -

          免疫组化(冰冻) (IHC (F))

          1:1,000
          -

          免疫细胞化学 (ICC/IF)

          1:200-1:1,000
          -

          流式细胞分析 (Flow)

          1:1,000
          -
          产品规格

          种属反应

          Human, Mouse, Rat

          宿主/亚型

          Rabbit / IgG

          Expression System

          HEK293 cells

          分类

          Recombinant Monoclonal

          类型

          Antibody

          克隆号

          SN20-03

          抗原

          Synthetic peptide within human BRG1 aa 240-280.
          3D表位/免疫原

          偶联物

          Unconjugated Unconjugated Unconjugated

          形式

          Liquid

          浓度

          1 mg/mL

          规格

          100 µg

          纯化类型

          Protein A

          保存液

          TBS, pH 7.4, with 40% glycerol, 0.05% BSA

          内含物

          0.05% sodium azide

          保存条件

          Store at 4°C short term. For long term storage, store at -20°C, avoiding freeze/thaw cycles.

          运输条件

          Ambient (domestic); Wet ice (international)

          RRID

          AB_2898930

          靶标信息

          Brg1 (Brahma-related gene 1) is an ATPase subunit of SWI2/SNF2-like chromatin-remodeling complexes that enable access of regulatory and effector proteins in transcription, DNA repair and DNA replication. Although Brg1-containing complexes are not essential for general cell survival, they participate in transcriptional regulation of several hundred genes including those involved in interferon and stress response, immune cells differentiation, neurogenesis, cell cycle etc. and is absolutely necessary for mouse embryogenesis. Brg1 is also involved in cell growth arrest, senescence and tumour supression.

          仅用于科研。不用于诊断过程。未经明确授权不得转售。

          篇参考文献 (0)

          您是否在文献中引用过该产品?请点击下方按钮邮件告知我们。
          引用该产品

          生物信息学

          蛋白别名: ATP-dependent helicase SMARCA4; BAF190A; brahma protein-like 1; BRG1-associated factor 190A; BRM/SWI2-related gene 1; FLJ39786; global transcription activator homologous sequence; homeotic gene regulator; Mitotic growth and transcription activator; nuclear protein GRB1; Protein brahma homolog 1; Protein BRG-1; SMARCA4; SNF2-beta; SNF2-like 4; sucrose nonfermenting-like 4; SWI/SNF related, matrix associated, actin dependent regulator of chromatin, subfamily a, member 4; SWI/SNF-related matrix-associated actin-dependent regulator of chromatin subfamily A member 4; Transcription activator BRG1; unnamed protein product

          查看更多 收起

          基因别名: b2b508.1Clo; b2b692Clo; BAF190; BAF190A; brg-1; BRG1; CSS4; HP1-BP72; hSNF2b; MRD16; OTSC12; RTPS2; SMARCA4; SNF2; SNF2-beta; SNF2B; SNF2beta; SNF2L4; SNF2LB; SW1/SNF; SWI2

          查看更多 收起

          UniProt ID: (Human) P51532, (Mouse) Q3TKT4

          查看更多 收起

          Entrez Gene ID: (Human) 6597, (Mouse) 20586, (Rat) 171379

          查看更多 收起

          功能
          RNA polymerase I CORE element sequence-specific DNA binding transcription cofactor binding p53 binding DNA binding chromatin binding transcription coactivator activity transcription corepressor activity RNA binding helicase activity protein binding ATP binding DNA-dependent ATPase activity hydrolase activity ATPase activity Tat protein binding nucleosomal DNA binding histone binding identical protein binding androgen receptor binding DNA polymerase binding ATP-dependent chromatin remodeler activity nucleosome array spacer activity nucleotide binding RNA polymerase II regulatory region sequence-specific DNA binding RNA polymerase II core promoter proximal region sequence-specific DNA binding RNA polymerase II distal enhancer sequence-specific DNA binding RNA polymerase II transcription coactivator activity transcription factor binding hydrolase activity, acting on acid anhydrides hydrolase activity, acting on acid anhydrides, in phosphorus-containing anhydrides protein complex binding protein N-terminus binding lysine-acetylated histone binding DNA helicase
          参与通路
          negative regulation of transcription from RNA polymerase II promoter RNA polymerase I preinitiation complex assembly neural retina development chromatin organization nucleosome disassembly chromatin remodeling regulation of transcription, DNA-templated regulation of transcription from RNA polymerase II promoter nervous system development positive regulation of cell proliferation regulation of mitotic metaphase/anaphase transition positive regulation of Wnt signaling pathway negative regulation of cell growth heterochromatin assembly positive regulation by host of viral transcription positive regulation of T cell differentiation negative regulation of cell differentiation positive regulation of cell differentiation positive regulation of myoblast differentiation positive regulation of gene expression, epigenetic negative regulation of transcription, DNA-templated positive regulation of transcription, DNA-templated positive regulation of transcription from RNA polymerase II promoter negative regulation of androgen receptor signaling pathway regulation of G0 to G1 transition positive regulation of cold-induced thermogenesis positive regulation of signal transduction by p53 class mediator positive regulation of transcription of nuclear large rRNA transcript from RNA polymerase I promoter positive regulation of stem cell population maintenance positive regulation of glucose mediated signaling pathway positive regulation of pri-miRNA transcription from RNA polymerase II promoter regulation of G1/S transition of mitotic cell cycle positive regulation of double-strand break repair regulation of nucleotide-excision repair cell morphogenesis blood vessel development vasculogenesis in utero embryonic development blastocyst growth blastocyst hatching liver development outflow tract morphogenesis nucleosome assembly methylation-dependent chromatin silencing transcription, DNA-templated transcription from RNA polymerase II promoter glial cell fate determination heart development DNA methylation on cytosine within a CG sequence chromatin modification stem cell population maintenance neurogenesis extracellular matrix organization keratinocyte differentiation regulation of cell migration forebrain development hindbrain development embryonic hindlimb morphogenesis aortic smooth muscle cell differentiation ATP-dependent chromatin remodeling negative regulation of apoptotic process positive regulation of DNA binding histone H3 acetylation embryonic organ morphogenesis epidermis morphogenesis positive regulation of sequence-specific DNA binding transcription factor activity definitive erythrocyte differentiation heart trabecula formation pharyngeal arch artery morphogenesis lens fiber cell development spermatid development
          It has to be done as per old AB suggested Products section.

          Disclaimer

          Close

          Clicking the images or links will redirect you to a website hosted by BenchSci that provides third-party scientific content. Neither the content nor the BenchSci technology and processes for selection have been evaluated by us; we are providing them as-is and without warranty of any kind, including for use or application of the Thermo Fisher Scientific products presented.

          guarantee_icon

          性能保障

          只要您发现Invitrogen抗体在实验中的表现与网站或说明书的所述内容不符,您即可享受免费退换货服务。*

          了解更多
          help_icon

          随时为您服务

          获取常见问题的专家解答,或者直接联系我们的技术专家,咨询应用、设备、常规产品使用问题。

          联系技术支持
          订购 Plus Icon Minus Icon
          • 订单状态查询
          • 订单支持
          • 货号直购
          • 现货供应中心
          • 电子采购
          支持 Plus Icon Minus Icon
          • 帮助&支持
          • 联系我们 - 400 820 8982
          • 技术支持中心
          • 查找文件&证书
          • 报告网站问题
          资源 Plus Icon Minus Icon
          • 学习中心
          • 促销
          • 活动&研讨会
          • 社交媒体
          关于赛默飞 Plus Icon Minus Icon
          • 关于我们
          • 招聘 招聘
          • 投资者关系 投资者关系
          • 新闻 新闻
          • 社会责任 社会责任
          • 商标
          • 政策和通知
          品牌 Plus Icon Minus Icon
          • Thermo Scientific
          • Applied Biosystems
          • Invitrogen
          • Gibco
          • Ion Torrent
          • Unity Lab Services
          • Patheon
          • PPD
          • 服务条款
          • 隐私政策
          • 定价和运输保险政策
          © 2006-2026 Thermo Fisher Scientific Inc. All rights reserved. All trademarks are the property of Thermo Fisher Scientific and its subsidiaries unless otherwise specified.
          China flag icon
          China
          本网站销售的所有产品均不得用于人类或动物之临床诊断或治疗,仅可用于工业或者科研等非医疗目的。
             电子营业执照 | 经营证照公示 | ICP备案号:沪ICP备11003924号 | 沪公网安备 31011502006935号

          Your items have has been added!


          Host server : magellan-search-green-6479c7f679-2z78h:80/100.66.76.236:80.
          git-commit: b70c0dceb888abc3b0dcebb5bc3a5b8753e7e816
          git-url: https://github.com/thermofisher/magellan-search
          git-branch: release/2.50.0-Offline