Hamburger Menu Button
Thermo Fisher Scientific Logo
登录
没有账号?建立账号 注册
  • 产品
    • 抗体
    • 引物合成
    • GeneArt Gene Synthesis Instant Designer
    • TaqMan Assay and Array Search
    • PCR 设备和耗材
    • 色谱柱和纯化柱
    • 实验室离心机
    • 分子生物学试剂和试剂盒
    • 实验室塑料耗材及用品
    • 查看所有产品分类
  • 应用和技术
    • 色谱
    • 细胞转染和培养
    • 实时荧光定量PCR
    • 质谱
    • 实验室塑料耗材及用品
    • 电子显微镜
    • 蛋白质生物学
    • PCR
    • RNAi
    • 环境
    • 查看所有应用和技术
  • 服务
    • 定制服务
    • 企业级实验室信息化服务
    • 金融&租赁服务
    • 仪器服务
    • OEM和商业供应
    • 培训服务
    • 360° CDMO 和 CRO 服务
    • CDMO 服务
    • 临床试验 CRO 服务
    • Unity Lab Services
    • 查看所有帮助和支持
  • 帮助和支持
    • 学习中心
    • 联系我们
    • 更改国家或地区
    • 查看所有帮助和支持
  • 热门产品
    • TaqMan Real-Time PCR Assays
      TaqMan 实时荧光定量 PCR 试剂盒
    • Antibodies
      抗体
    • Oligos, Primers & Probes
      寡核苷酸、引物、探针
    • GeneArt Gene Synthesis
      GeneArt 基因合成
    • Cell Culture Plastics
      细胞培养耗材
  • Who We Serve
    • 抗体治疗解决方案
    • 细胞与基因治疗解决方案
    • 学术科研
    • 工业与应用
  • 联系我们
  • 货号直购
  • 订单查询
  • 查找文件&证书
Thermo Fisher Scientific Logo

Search

搜索全部或下列指定分类
Search button
          • 联系我们
          • 货号直购
          • 登录
            登录
            没有账号?建立账号 注册
            • 我的账号
            • 订单
            • 会员中心
            • 账单及发票查询
            • 定制产品及项目
          • Primary Antibodies ›
          • BUBR1 Antibodies

          Invitrogen

          BUBR1 Polyclonal Antibody

          查看其他26个BUBR1抗体

          {{$productOrderCtrl.translations['antibody.pdp.commerceCard.promotion.promotions']}}

          {{$productOrderCtrl.translations['antibody.pdp.commerceCard.promotion.viewpromo']}}

          {{$productOrderCtrl.translations['antibody.pdp.commerceCard.promotion.promocode']}}: {{promo.promoCode}} {{promo.promoTitle}} {{promo.promoDescription}}. {{$productOrderCtrl.translations['antibody.pdp.commerceCard.promotion.learnmore']}}

          说明书
          证书
          实验方案
          问题与答案
          技术支持
          说明书
          证书
          实验方案
          问题与答案
          技术支持
          说明书
          证书
          实验方案
          问题与答案
          技术支持

          Cite BUBR1 Polyclonal Antibody

          Additional Information:
          {{banner.description}}
          {{$ctrl.isSkuNotesCollapsed ? 'View more' : 'View less'}}
          • 抗体检测数据 (12)
          BUBR1 Antibody in Immunocytochemistry (ICC/IF)
          Group 53 Created with Sketch.
          BUBR1 Antibody in Immunocytochemistry (ICC/IF)
          Group 53 Created with Sketch.

          图: 1 / 12

          {{ $ctrl.currentElement.advancedVerification.fullName }}
          {{ $ctrl.currentElement.advancedVerification.text }}

          BUBR1 Antibody (PA5-143857) in ICC/IF

          Immunocytochemistry analysis of BUBR1 in U2OS cells. Enzyme antigen retrieval was performed using IHC enzyme antigen retrieval reagent for 15 mins. The cells were blocked with 10% goat serum. Samples were then incubated in BUBR1 Polyclonal antibody (Product # PA5-143857) using a dilution of 2 μg/mL. DyLight®594 Conjugated Goat Anti-Rabbit IgG was used as secondary antibody at 1:100 dilution and incubated for 30 minutes at 37°C. The section was counterstained with DAPI. Visualize using a fluorescence microscope and filter sets appropriate f... View More {{ $ctrl.currentElement.advancedVerification.fullName }} 验证信息 View more
          已发表图片由___提供 benchsci-logo
          PMID: {{$ctrl.currentElement.benchSciPubmedId}}
          查看产品

          {{$ctrl.videoDesc}}

          {{$ctrl.videoLongDesc}}

          BUBR1 Antibody in Immunocytochemistry (ICC/IF)
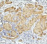
          BUBR1 Antibody in Immunohistochemistry (Paraffin) (IHC (P))
          BUBR1 Antibody in Immunohistochemistry (Paraffin) (IHC (P))
          BUBR1 Antibody in Immunohistochemistry (Paraffin) (IHC (P))
          BUBR1 Antibody in Immunohistochemistry (Paraffin) (IHC (P))
          BUBR1 Antibody in Immunohistochemistry (Paraffin) (IHC (P))
          BUBR1 Antibody in Immunohistochemistry (Paraffin) (IHC (P))
          BUBR1 Antibody in Immunohistochemistry (Paraffin) (IHC (P))
          BUBR1 Antibody in Immunohistochemistry (Paraffin) (IHC (P))
          BUBR1 Antibody in Western Blot (WB)
          BUBR1 Antibody in Flow Cytometry (Flow)
          BUBR1 Antibody in Flow Cytometry (Flow)
          BUBR1 Polyclonal Antibody

          产品信息

          PA5-143857

          应用
          建议稀释比
          已发表文章

          免疫印迹 (WB)

          0.1-0.25 µg/mL
          -

          免疫组化(石蜡) (IHC (P))

          0.5-1 µg/mL
          -

          免疫细胞化学 (ICC/IF)

          2 µg/mL
          -

          流式细胞分析 (Flow)

          1-3 µg/1x10^6 cells
          -

          酶联免疫吸附实验 (ELISA)

          0.1-0.5 µg/mL
          -
          产品规格

          种属反应

          Human, Mouse, Rat

          宿主/亚型

          Rabbit / IgG

          分类

          Polyclonal

          类型

          Antibody

          抗原

          E.coli-derived human BubR1/BUB1B recombinant protein (Position: K26-E448).
          3D表位/免疫原

          偶联物

          Unconjugated Unconjugated Unconjugated

          形式

          Lyophilized

          浓度

          500 µg/mL

          规格

          100 µg

          纯化类型

          Antigen affinity chromatography

          保存液

          PBS with 4mg trehalose

          内含物

          0.05mg sodium azide

          保存条件

          -20°C

          运输条件

          Ambient (domestic); Wet ice (international)

          RRID

          AB_3075071

          产品详细信息

          Adding 0.2 mL of distilled water will yield a concentration of 500 µg/mL.

          Positive Control - WB: human Hela whole cell, human Jurkat whole cell, human Hek293 whole cell, human K562 whole cell, human HL-60 whole cell. IHC: mouse testis tissue, rat testis tissue, human colon cancer tissue, human mammary cancer tissue, mouse testis tissue, rat testis tissue, human colon cancer tissue, human mammary cancer tissue. ICC/IF: U20S cell. Flow: U87 cell.|Store at -20°C for one year from date of receipt. After reconstitution, at 4°C for one month. It can also be aliquotted and stored frozen at -20°C for six months. Avoid repeated freeze-thaw cycles.

          靶标信息

          BUBR1 is a member of the Ser/Thr protein kinase family. It is a component of the mitotic checkpoint that delays anaphase until all chromosome are properly attached to the mitotic spindle. Compromised spindle checkpoints are thought to play an important role in genetic instability that predisposes cells to malignant transformations. Human cells contain two related checkpoint protein kinases, evolved from the BUB1 gene; hBUBR1 and hBUB1. They are important components of the spindle checkpoint Both kinases monitor mitotic kinetochore-microtubule interactions. hBUBR1 is essential for normal mitotic progression as it prevents cells from entering into anaphase too early. BUBR1 has been detected in human cancers. It has been identified as a novel binding partner of BCSG1 (Breast Cancer-Specific Gene 1), which has been suggested to accelerate the progression of breast cancer by compromising the mitotic checkpoint control through inactivation of BUBR1.

          仅用于科研。不用于诊断过程。未经明确授权不得转售。

          篇参考文献 (0)

          您是否在文献中引用过该产品?请点击下方按钮邮件告知我们。
          引用该产品

          生物信息学

          蛋白别名: BUB1B, mitotic checkpoint serine/threonine kinase; BubR1; budding uninhibited by benzimidazoles 1 beta; budding uninhibited by benzimidazoles 1 homolog beta; hBub1; hBUBR1; MAD3/BUB1-related protein kinase; Mitotic checkpoint kinase MAD3L; Mitotic checkpoint serine/threonine-protein kinase BUB1 beta; Protein SSK1; similar to protein kinase; unnamed protein product

          查看更多 收起

          基因别名: AU045529; Bub1A; BUB1B; BUB1beta; BUBR1; hBUBR1; MAD3L; MVA1; SSK1

          查看更多 收起

          UniProt ID: (Human) O60566, (Mouse) Q9Z1S0

          查看更多 收起

          Entrez Gene ID: (Human) 701, (Rat) 171576, (Mouse) 12236

          查看更多 收起

          功能
          nucleotide binding protein kinase activity protein serine/threonine kinase activity protein binding ATP binding kinase activity transferase activity protein serine kinase activity molecular_function transferase activity, transferring phosphorus-containing groups non-receptor serine/threonine protein kinase
          参与通路
          apoptotic process metaphase/anaphase transition of mitotic cell cycle mitotic spindle assembly checkpoint regulation of sister chromatid segregation cell division meiotic sister chromatid cohesion, centromeric protein localization to chromosome, centromeric region protein phosphorylation mitotic nuclear division phosphorylation protein localization to kinetochore cell cycle
          It has to be done as per old AB suggested Products section.

          Disclaimer

          Close

          Clicking the images or links will redirect you to a website hosted by BenchSci that provides third-party scientific content. Neither the content nor the BenchSci technology and processes for selection have been evaluated by us; we are providing them as-is and without warranty of any kind, including for use or application of the Thermo Fisher Scientific products presented.

          guarantee_icon

          性能保障

          只要您发现Invitrogen抗体在实验中的表现与网站或说明书的所述内容不符,您即可享受免费退换货服务。*

          了解更多
          help_icon

          随时为您服务

          获取常见问题的专家解答,或者直接联系我们的技术专家,咨询应用、设备、常规产品使用问题。

          联系技术支持
          订购 Plus Icon Minus Icon
          • 订单状态查询
          • 订单支持
          • 货号直购
          • 现货供应中心
          • 电子采购
          支持 Plus Icon Minus Icon
          • 帮助&支持
          • 联系我们 - 400 820 8982
          • 技术支持中心
          • 查找文件&证书
          • 报告网站问题
          资源 Plus Icon Minus Icon
          • 学习中心
          • 促销
          • 活动&研讨会
          • 社交媒体
          关于赛默飞 Plus Icon Minus Icon
          • 关于我们
          • 招聘 招聘
          • 投资者关系 投资者关系
          • 新闻 新闻
          • 社会责任 社会责任
          • 商标
          • 政策和通知
          品牌 Plus Icon Minus Icon
          • Thermo Scientific
          • Applied Biosystems
          • Invitrogen
          • Gibco
          • Ion Torrent
          • Unity Lab Services
          • Patheon
          • PPD
          • 服务条款
          • 隐私政策
          • 定价和运输保险政策
          © 2006-2026 Thermo Fisher Scientific Inc. All rights reserved. All trademarks are the property of Thermo Fisher Scientific and its subsidiaries unless otherwise specified.
          China flag icon
          China
          本网站销售的所有产品均不得用于人类或动物之临床诊断或治疗,仅可用于工业或者科研等非医疗目的。
             电子营业执照 | 经营证照公示 | ICP备案号:沪ICP备11003924号 | 沪公网安备 31011502006935号

          Your items have has been added!


          Host server : magellan-search-green-6479c7f679-zb4k5:80/100.66.74.142:80.
          git-commit: b70c0dceb888abc3b0dcebb5bc3a5b8753e7e816
          git-url: https://github.com/thermofisher/magellan-search
          git-branch: release/2.50.0-Offline