Hamburger Menu Button
Thermo Fisher Scientific Logo
登录
没有账号?建立账号 注册
  • 产品
    • 抗体
    • 引物合成
    • GeneArt Gene Synthesis Instant Designer
    • TaqMan Assay and Array Search
    • PCR 设备和耗材
    • 色谱柱和纯化柱
    • 实验室离心机
    • 分子生物学试剂和试剂盒
    • 实验室塑料耗材及用品
    • 查看所有产品分类
  • 应用和技术
    • 色谱
    • 细胞转染和培养
    • 实时荧光定量PCR
    • 质谱
    • 实验室塑料耗材及用品
    • 电子显微镜
    • 蛋白质生物学
    • PCR
    • RNAi
    • 环境
    • 查看所有应用和技术
  • 服务
    • 定制服务
    • 企业级实验室信息化服务
    • 企业服务
    • 金融&租赁服务
    • 仪器服务
    • OEM和商业供应
    • 培训服务
    • 360° CDMO 和 CRO 服务
    • CDMO 服务
    • 临床试验 CRO 服务
    • 查看所有帮助和支持
  • 帮助和支持
    • 学习中心
    • 联系我们
    • 更改国家或地区
    • 查看所有帮助和支持
  • 热门产品
    • TaqMan Real-Time PCR Assays
      TaqMan 实时荧光定量 PCR 试剂盒
    • Antibodies
      抗体
    • Oligos, Primers & Probes
      寡核苷酸、引物、探针
    • GeneArt Gene Synthesis
      GeneArt 基因合成
    • Cell Culture Plastics
      细胞培养耗材
  • 联系我们
  • 货号直购
  • 订单查询
  • 查找文件&证书
Thermo Fisher Scientific Logo

Search

搜索全部或下列指定分类
Search button
          • 联系我们
          • 货号直购
          • 登录
            登录
            没有账号?建立账号 注册
            • 我的账号
            • 订单
            • 账单及发票查询
            • 定制产品及项目

          Disclaimer

          Clicking the images or links will redirect you to a website hosted by BenchSci that provides third-party scientific content. Neither the content nor the BenchSci technology and processes for selection have been evaluated by us; we are providing them as-is and without warranty of any kind, including for use or application of the Thermo Fisher Scientific products presented.

          • Primary Antibodies ›
          • Cytokeratin Pan Type II Antibodies

          OriGene

          Basic Cytokeratin Monoclonal Antibody (AE3), TrueMAB™

          查看其他32个Cytokeratin Pan Type II抗体

          {{$productOrderCtrl.translations['antibody.pdp.commerceCard.promotion.promotions']}}

          {{$productOrderCtrl.translations['antibody.pdp.commerceCard.promotion.viewpromo']}}

          {{$productOrderCtrl.translations['antibody.pdp.commerceCard.promotion.promocode']}}: {{promo.promoCode}} {{promo.promoTitle}} {{promo.promoDescription}}. {{$productOrderCtrl.translations['antibody.pdp.commerceCard.promotion.learnmore']}}

          说明书
          证书
          实验方案
          问题与答案
          技术支持
          说明书
          证书
          实验方案
          问题与答案
          技术支持
          说明书
          证书
          实验方案
          问题与答案
          技术支持

          Cite Basic Cytokeratin Monoclonal Antibody (AE3), TrueMAB™

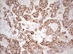
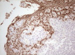
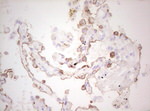
          • 抗体检测数据 (17)
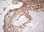
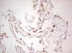
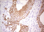
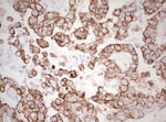
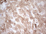
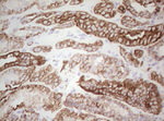
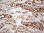
          Basic Cytokeratin Antibody in Immunohistochemistry (Paraffin) (IHC (P))
          Group 53 Created with Sketch.
          Basic Cytokeratin Antibody in Immunohistochemistry (Paraffin) (IHC (P))
          Group 53 Created with Sketch.

          图: 1 / 17

          {{ $ctrl.currentElement.advancedVerification.fullName }}
          {{ $ctrl.currentElement.advancedVerification.text }}

          Basic Cytokeratin Antibody (CF190295) in IHC (P)

          Immunohistochemical staining of paraffin-embedded human endometrium tissue within the normal limits using anti-Acidic Cytokeratin mouse monoclonal antibody. (Heat-induced epitope retrieval by Tris-EDTA, pH8.0, TA190295) {{ $ctrl.currentElement.advancedVerification.fullName }} 验证信息 View more
          已发表图片由___提供 benchsci-logo
          PMID: {{$ctrl.currentElement.benchSciPubmedId}}
          查看产品

          {{$ctrl.videoDesc}}

          {{$ctrl.videoLongDesc}}

          Basic Cytokeratin Antibody in Immunohistochemistry (Paraffin) (IHC (P))
          Basic Cytokeratin Antibody in Immunohistochemistry (Paraffin) (IHC (P))
          Basic Cytokeratin Antibody in Immunohistochemistry (Paraffin) (IHC (P))
          Basic Cytokeratin Antibody in Immunohistochemistry (Paraffin) (IHC (P))
          Basic Cytokeratin Antibody in Immunohistochemistry (Paraffin) (IHC (P))
          Basic Cytokeratin Antibody in Immunohistochemistry (Paraffin) (IHC (P))
          Basic Cytokeratin Antibody in Immunohistochemistry (Paraffin) (IHC (P))
          Basic Cytokeratin Antibody in Immunohistochemistry (Paraffin) (IHC (P))
          Basic Cytokeratin Antibody in Immunohistochemistry (Paraffin) (IHC (P))
          Basic Cytokeratin Antibody in Immunohistochemistry (Paraffin) (IHC (P))
          Basic Cytokeratin Antibody in Immunohistochemistry (Paraffin) (IHC (P))
          Basic Cytokeratin Antibody in Immunohistochemistry (Paraffin) (IHC (P))
          Basic Cytokeratin Antibody in Immunohistochemistry (Paraffin) (IHC (P))
          Basic Cytokeratin Antibody in Immunohistochemistry (Paraffin) (IHC (P))
          Basic Cytokeratin Antibody in Immunohistochemistry (Paraffin) (IHC (P))
          Basic Cytokeratin Antibody in Immunohistochemistry (Paraffin) (IHC (P))
          Basic Cytokeratin Antibody in Immunohistochemistry (Paraffin) (IHC (P))
          Basic Cytokeratin Monoclonal Antibody (AE3), TrueMAB™

          产品信息

          CF190295

          应用
          建议稀释比
          已发表文章

          免疫组化(石蜡) (IHC (P))

          1:150
          -
          产品规格

          种属反应

          Human

          宿主/亚型

          Mouse / IgG1

          分类

          Monoclonal

          类型

          Antibody

          克隆号

          AE3

          抗原

          Human epithelial keratin
          查看免疫原

          偶联物

          Unconjugated Unconjugated Unconjugated

          形式

          Lyophilized

          浓度

          1 mg/mL

          纯化类型

          Affinity chromatography

          保存液

          PBS, pH 7.3, with 8% trehalose

          内含物

          no preservative

          保存条件

          -20°C, Avoid Freeze/Thaw Cycles

          运输条件

          Ambient (domestic); Wet ice (international)

          产品详细信息

          For reconstitution, we recommend adding 100 µL distilled water to a final antibody concentration of about 1 mg/mL. To use this carrier-free antibody for conjugation experiments, we strongly recommend performing another round of desalting. (Zeba Spin Desalting Columns, 7KMWCO, 0.5 mL, Product # 89882)

          靶标信息

          Cytokeratin pan is part of a subfamily of intermediate filament proteins that are characterized by remarkable biochemical diversity, and represented in human epithelial tissues by at least 20 different polypeptides. Cytokeratins range in molecular weight between 40 kDa- 68 kDa, and an isoelectric pH between 4.9-7.8. The individual human cytokeratins are numbered 1 to 20. The various epithelia in the human body usually express cytokeratins which are not only characteristic of the type of epithelium, but also related to the degree of maturation or differentiation within an epithelium. Cytokeratin subtype expression patterns are used to an increasing extent in the distinction of different types of epithelial malignancies. The cytokeratin antibodies are not only of assistance in the differential diagnosis of tumors using immunohistochemistry on tissue sections, but are also a useful tool in cytopathology and flow cytometric assays. The composition of cytokeratin pairs vary with the epithelial cell type, stage of differentiation, cellular growth environment, and disease state. Many studies have shown the usefulness of keratins as markers in cancer research and tumor diagnosis.

          仅用于科研。不用于诊断过程。未经明确授权不得转售。

          篇参考文献 (0)

          您是否在文献中引用过该产品?请点击下方按钮邮件告知我们。
          引用该产品

          生物信息学

          蛋白别名: 58 kDa cytokeratin; 65 kDa cytokeratin; 67 kDa cytokeratin; CK-1; CK-2e; CK-2P; CK-3; CK-4; CK-5; CK-6A; CK-6D; CK-7; CK-72; CK-8; cytokeratin 1; cytokeratin 2; cytokeratin 3; cytokeratin 4; cytokeratin 6A; cytokeratin 6C; cytokeratin 6D; cytokeratin 7; Cytokeratin-1; Cytokeratin-2e; Cytokeratin-2P; Cytokeratin-3; Cytokeratin-4; Cytokeratin-5; Cytokeratin-6A; cytokeratin-6C; Cytokeratin-6D; cytokeratin-6E; Cytokeratin-7; Cytokeratin-72; Cytokeratin-8; epidermolysis bullosa simplex 2 Dowling-Meara/Kobner/Weber-Cockayne types; epidermolytic hyperkeratosis 1; Epithelial keratin-2e; Hair alpha protein; K1; K2e; K2P; K3; K4; K5; K6A; K7; K72; K76; K8; kamp-keratin derived antimicrobial peptide; KDAMP; keratin 1, type II; keratin 2, type II; keratin 2p; keratin 3, type II; keratin 4, type II; keratin 5 (epidermolysis bullosa simplex, Dowling-Meara/Kobner/Weber-Cockayne types); keratin 5, type II; keratin 6, inner root sheath, 2; keratin 6A, , type II; keratin 6A, type II; keratin 7, type II; keratin 72, type II; keratin 76, type II; keratin 8, type II; keratin K6h; keratin protein K6irs; keratin, 55K type II cytoskeletal; keratin, epidermal type II, K6A; keratin, simple epithelial type I, K7; Keratin, type II cytoskeletal 1; Keratin, type II cytoskeletal 2 epidermal; Keratin, type II cytoskeletal 2 oral; Keratin, type II cytoskeletal 3; Keratin, type II cytoskeletal 4; Keratin, type II cytoskeletal 5; Keratin, type II cytoskeletal 6A; Keratin, type II cytoskeletal 7; Keratin, type II cytoskeletal 72; Keratin, type II cytoskeletal 8; Keratin-1; Keratin-2 epidermis; Keratin-2e; Keratin-3; Keratin-4; Keratin-5; Keratin-6A; keratin-6C; Keratin-7; Keratin-72; Keratin-76; Keratin-8; MGC116967; MGC116968; pan keratin; Sarcolectin; Type II inner root sheath-specific keratin-K6irs2; type II mesothelial keratin K7; Type-II keratin Kb1; type-II keratin Kb12; Type-II keratin Kb2; Type-II keratin Kb3; Type-II keratin Kb35; Type-II keratin Kb4; Type-II keratin Kb5; Type-II keratin Kb6; Type-II keratin Kb7; Type-II keratin Kb8; Type-II keratin Kb9

          查看更多 收起

          基因别名: CARD2; CK-2e; CK-4; CK-6C; CK-6E; CK-8; CK1; CK3; CK4; CK5; CK6A; CK6C; CK6D; CK7; CK8; CYK4; CYK8; DDD; DDD1; EBS2; EHK; EHK1; EPPK; HUMCYT2A; K1; K2C7; K2C8; K2e; K3; K4; K5; K6A; K6C; K6D; K6irs; K6IRS2; K7; K8; KB35; KO; KRT1; KRT1A; KRT2; KRT2A; KRT2B; KRT2E; KRT2P; KRT3; KRT4; KRT5; KRT5A; KRT6; KRT6A; KRT6C; KRT6D; KRT6IRS2; KRT7; KRT72; KRT76; KRT8; KRTA; KRTE; NEPPK; PC3; SCL; WSN1

          查看更多 收起

          UniProt ID: (Human) P86104, (Human) P35908, (Human) P12035, (Human) P19013, (Human) P13647, (Human) P02538, (Human) P08729, (Human) Q14CN4, (Human) Q01546, (Human) P05787

          查看更多 收起

          Entrez Gene ID: (Human) 3848, (Human) 3849, (Human) 3850, (Human) 3851, (Human) 3852, (Human) 3853, (Human) 3855, (Human) 140807, (Human) 51350, (Human) 3856

          查看更多 收起

          功能
          receptor activity structural molecule activity protein binding carbohydrate binding structural constituent of cytoskeleton scaffold protein binding molecular_function protein complex binding
          参与通路
          epithelial cell differentiation intermediate filament cytoskeleton organization cytoskeleton organization negative regulation of epithelial cell proliferation epidermis development sebaceous gland development complement activation, lectin pathway retina homeostasis response to oxidative stress fibrinolysis regulation of angiogenesis negative regulation of inflammatory response establishment of skin barrier keratinization keratinocyte activation keratinocyte proliferation keratinocyte migration viral process tumor necrosis factor-mediated signaling pathway sarcomere organization response to hydrostatic pressure response to other organism cell differentiation involved in embryonic placenta development extrinsic apoptotic signaling pathway hepatocyte apoptotic process biological_process hemidesmosome assembly
          It has to be done as per old AB suggested Products section.
          guarantee_icon

          性能保障

          只要您发现Invitrogen抗体在实验中的表现与网站或说明书的所述内容不符,您即可享受免费退换货服务。*

          了解更多
          help_icon

          随时为您服务

          获取常见问题的专家解答,或者直接联系我们的技术专家,咨询应用、设备、常规产品使用问题。

          联系技术支持
          订购 Plus Icon Minus Icon
          • 订单状态查询
          • 订单支持
          • 货号直购
          • 现货供应中心
          • 电子采购
          支持 Plus Icon Minus Icon
          • 帮助&支持
          • 联系我们 - 400 820 8982
          • 技术支持中心
          • 查找文件&证书
          • 报告网站问题
          资源 Plus Icon Minus Icon
          • 学习中心
          • 促销
          • 活动&研讨会
          • 社交媒体
          关于赛默飞 Plus Icon Minus Icon
          • 关于我们
          • 招聘 招聘
          • 投资者关系 投资者关系
          • 新闻 新闻
          • 社会责任 社会责任
          • 商标
          • 政策和通知
          品牌 Plus Icon Minus Icon
          • Thermo Scientific
          • Applied Biosystems
          • Invitrogen
          • Gibco
          • Ion Torrent
          • Patheon
          • PPD
          • 服务条款
          • 隐私政策
          • 定价和运输保险政策
          © 2006-2026 Thermo Fisher Scientific Inc. All rights reserved. All trademarks are the property of Thermo Fisher Scientific and its subsidiaries unless otherwise specified.
          China flag icon
          China
          本网站销售的所有产品均不得用于人类或动物之临床诊断或治疗,仅可用于工业或者科研等非医疗目的。
             电子营业执照 | 经营证照公示 | ICP备案号:沪ICP备11003924号 | 沪公网安备 31011502006935号

          Your items have has been added!


          Host server : magellan-search-blue-55ff9ddd88-fz59j:80/100.66.79.31:80.
          git-commit: d366ff9721d93504b2ac26a183b2b3e3d0e7d9ec
          git-url: https://github.com/thermofisher/magellan-search
          git-branch: release/2.42.0-2026.01.03-1.0