Hamburger Menu Button
Thermo Fisher Scientific Logo
登录
没有账号?建立账号 注册
  • 产品
    • 抗体
    • 引物合成
    • GeneArt Gene Synthesis Instant Designer
    • TaqMan Assay and Array Search
    • PCR 设备和耗材
    • 色谱柱和纯化柱
    • 实验室离心机
    • 分子生物学试剂和试剂盒
    • 实验室塑料耗材及用品
    • 查看所有产品分类
  • 应用和技术
    • 色谱
    • 细胞转染和培养
    • 实时荧光定量PCR
    • 质谱
    • 实验室塑料耗材及用品
    • 电子显微镜
    • 蛋白质生物学
    • PCR
    • RNAi
    • 环境
    • 查看所有应用和技术
  • 服务
    • 定制服务
    • 企业级实验室信息化服务
    • 金融&租赁服务
    • 仪器服务
    • OEM和商业供应
    • 培训服务
    • 360° CDMO 和 CRO 服务
    • CDMO 服务
    • 临床试验 CRO 服务
    • Unity Lab Services
    • 查看所有帮助和支持
  • 帮助和支持
    • 学习中心
    • 联系我们
    • 更改国家或地区
    • 查看所有帮助和支持
  • 热门产品
    • TaqMan Real-Time PCR Assays
      TaqMan 实时荧光定量 PCR 试剂盒
    • Antibodies
      抗体
    • Oligos, Primers & Probes
      寡核苷酸、引物、探针
    • GeneArt Gene Synthesis
      GeneArt 基因合成
    • Cell Culture Plastics
      细胞培养耗材
  • Who We Serve
    • 抗体治疗解决方案
    • 细胞与基因治疗解决方案
    • 学术科研
    • 工业与应用
  • 联系我们
  • 货号直购
  • 订单查询
  • 查找文件&证书
Thermo Fisher Scientific Logo

Search

搜索全部或下列指定分类
Search button
          • 联系我们
          • 货号直购
          • 登录
            登录
            没有账号?建立账号 注册
            • 我的账号
            • 订单
            • 会员中心
            • 账单及发票查询
            • 定制产品及项目
          • Primary Antibodies ›
          • BAX Antibodies

          NeoBiotechnologies

          Bax Monoclonal Antibody (BAX, 962)

          查看其他53个BAX抗体

          {{$productOrderCtrl.translations['antibody.pdp.commerceCard.promotion.promotions']}}

          {{$productOrderCtrl.translations['antibody.pdp.commerceCard.promotion.viewpromo']}}

          {{$productOrderCtrl.translations['antibody.pdp.commerceCard.promotion.promocode']}}: {{promo.promoCode}} {{promo.promoTitle}} {{promo.promoDescription}}. {{$productOrderCtrl.translations['antibody.pdp.commerceCard.promotion.learnmore']}}

          说明书
          证书
          实验方案
          问题与答案
          技术支持
          说明书
          证书
          实验方案
          问题与答案
          技术支持
          说明书
          证书
          实验方案
          问题与答案
          技术支持

          Cite Bax Monoclonal Antibody (BAX, 962)

          Additional Information:
          {{banner.description}}
          {{$ctrl.isSkuNotesCollapsed ? 'View more' : 'View less'}}
          • 抗体检测数据 (3)
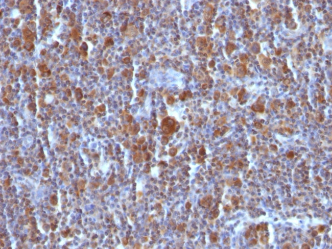
          Bax Antibody in Immunohistochemistry (Paraffin) (IHC (P))
          Group 53 Created with Sketch.
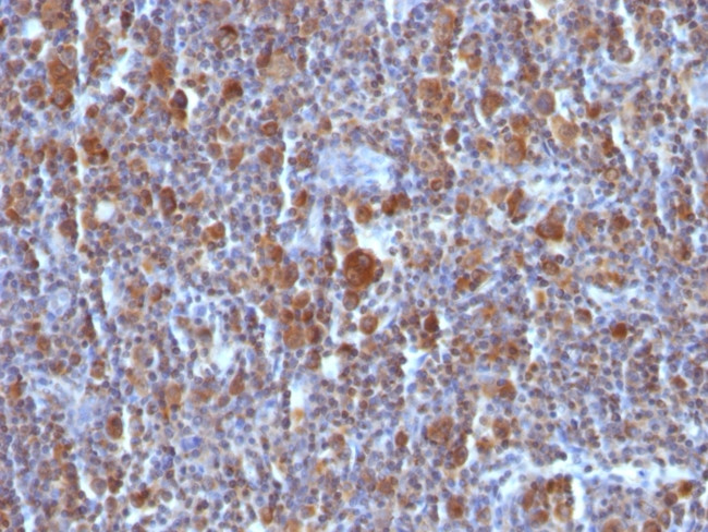
          Bax Antibody in Immunohistochemistry (Paraffin) (IHC (P))
          Group 53 Created with Sketch.

          图: 1 / 3

          {{ $ctrl.currentElement.advancedVerification.fullName }}
          {{ $ctrl.currentElement.advancedVerification.text }}

          Bax Antibody (581-MSM2-P1ABX) in IHC (P)

          Immunohistochemistry (Paraffin) analysis performed in formalin fixed, paraffin-embedded Hodgkins lymphoma using Bax Monoclonal Antibody (Product # 581-MSM2-P1ABX). {{ $ctrl.currentElement.advancedVerification.fullName }} 验证信息 View more
          已发表图片由___提供 benchsci-logo
          PMID: {{$ctrl.currentElement.benchSciPubmedId}}
          查看产品

          {{$ctrl.videoDesc}}

          {{$ctrl.videoLongDesc}}

          Bax Antibody in Immunohistochemistry (Paraffin) (IHC (P))
          Bax Antibody in Immunohistochemistry (Paraffin) (IHC (P))
          Bax Antibody in Flow Cytometry (Flow)
          Bax Monoclonal Antibody (BAX, 962)

          产品信息

          581-MSM2-P1ABX

          应用
          建议稀释比
          已发表文章

          免疫组化(石蜡) (IHC (P))

          1-2 µg/mL
          -

          流式细胞分析 (Flow)

          1-2 µg/10^6 cells
          -
          产品规格

          种属反应

          Human, Non-human primate

          宿主/亚型

          Mouse / IgG1, kappa

          分类

          Monoclonal

          类型

          Antibody

          克隆号

          BAX, 962

          抗原

          Recombinant full-length human BAX protein.
          3D表位/免疫原

          偶联物

          Unconjugated Unconjugated Unconjugated

          形式

          Liquid

          浓度

          1 mg/mL

          规格

          100 µg

          纯化类型

          Protein A/G

          保存液

          PBS, pH 7.4

          内含物

          no preservative

          保存条件

          -20°C or -80°C if preferred

          运输条件

          Ambient (domestic); Wet ice (international)

          产品详细信息

          This antibody does not react with Mouse or Rat.

          Immunohistochemistry (PFA fixed): incubate antibody for 30 min RT. Staining of formalin-fixed tissues requires heating tissue sections in 10mM Tris with 1mM EDTA, pH 9.0, for 45 min at 95 degrees C followed by cooling at RT for 20 minutes.

          靶标信息

          BAX is a members of the Bcl-2 Family and plays an important role in regulation of apoptosis. Whereas Bcl-2 is commonly regarded as an anti-apoptotic protein, BAX is considered to have a pro-apoptotic function. Regulation of apoptosis is supposed to involve both homo- and heterodimerization of different isoforms of BAX and Bcl-2. The Bax gene encodes different isoforms including Bax alpha (21 kDa) and Bax beta (24 kDa), whereas both isoforms contain the BH1, BH2 and BH3 domains, Bax beta has a unique carboxyl terminus and does not contain a hydrophobic transmembrane domain. Bcl-2 is also expressed in different Isoforms. Bcl-2 beta differs in the 3' UTR and coding region compared to variant alpha. Bcl-2 beta is shorter (22 kDa) and has a distinct C-terminus compared to Bcl-2 alpha (26 kDa). BAX is a member of the BCL-2 family of proteins, which function as regulators of apoptosis. Overexpression of BAX functions to promote cell death. BAX can form homodimers and is also able to heterodimerize with other BCL-2 related proteins.

          仅用于科研。不用于诊断过程。未经明确授权不得转售。

          篇参考文献 (0)

          您是否在文献中引用过该产品?请点击下方按钮邮件告知我们。
          引用该产品

          生物信息学

          蛋白别名: alternatively spliced; Apoptosis regulator BAX; Bax zeta; Baxdelta2(G7); Baxdelta2(G8)-RFS protein; Baxdelta2G9; Baxdelta2G9omega; Baxdelta2omega; Bcl-2-like protein 4; BCL2 associated X protein; BCL2-associated X protein omega; Bcl2-L-4; unnamed protein product

          查看更多 收起

          基因别名: BAX; BCL2L4

          查看更多 收起

          UniProt ID: (Human) Q07812

          查看更多 收起

          Entrez Gene ID: (Human) 581

          查看更多 收起

          功能
          protein binding lipid binding channel activity Hsp70 protein binding identical protein binding protein homodimerization activity protein heterodimerization activity chaperone binding BH3 domain binding
          参与通路
          ovarian follicle development neuron migration leukocyte homeostasis T cell homeostatic proliferation B cell homeostasis B cell apoptotic process kidney development release of cytochrome c from mitochondria blood vessel remodeling myeloid cell homeostasis B cell negative selection B cell homeostatic proliferation positive regulation of B cell apoptotic process glycosphingolipid metabolic process regulation of nitrogen utilization apoptotic process cellular response to DNA damage stimulus mitochondrion organization germ cell development spermatogenesis nervous system development sex differentiation mitochondrial fusion cell proliferation negative regulation of cell proliferation male gonad development extrinsic apoptotic signaling pathway via death domain receptors intrinsic apoptotic signaling pathway in response to DNA damage apoptotic mitochondrial changes fertilization response to wounding response to toxic substance response to salt stress post-embryonic development response to ionizing radiation establishment or maintenance of transmembrane electrochemical gradient response to gamma radiation positive regulation of calcium ion transport into cytosol negative regulation of mitochondrial membrane potential hypothalamus development cerebral cortex development positive regulation of protein complex assembly negative regulation of protein binding endoplasmic reticulum calcium ion homeostasis negative regulation of endoplasmic reticulum calcium ion concentration release of matrix enzymes from mitochondria cellular response to stress regulation of mammary gland epithelial cell proliferation cellular response to unfolded protein cellular response to UV limb morphogenesis ectopic germ cell programmed cell death odontogenesis of dentin-containing tooth regulation of apoptotic process positive regulation of apoptotic process regulation of neuron apoptotic process negative regulation of neuron apoptotic process positive regulation of neuron apoptotic process mitochondrial fragmentation involved in apoptotic process development of secondary sexual characteristics retinal cell programmed cell death positive regulation of developmental pigmentation negative regulation of fibroblast proliferation spermatid differentiation post-embryonic camera-type eye morphogenesis response to axon injury homeostasis of number of cells homeostasis of number of cells within a tissue epithelial cell proliferation positive regulation of developmental process protein insertion into mitochondrial membrane release of sequestered calcium ion into cytosol positive regulation of release of sequestered calcium ion into cytosol neuron apoptotic process establishment of localization in cell regulation of cell cycle regulation of mitochondrial membrane potential Sertoli cell proliferation retina development in camera-type eye apoptotic process involved in mammary gland involution positive regulation of apoptotic process involved in mammary gland involution vagina development calcium ion transport into cytosol intrinsic apoptotic signaling pathway in response to endoplasmic reticulum stress thymocyte apoptotic process intrinsic apoptotic signaling pathway by p53 class mediator positive regulation of release of cytochrome c from mitochondria motor neuron apoptotic process apoptotic signaling pathway extrinsic apoptotic signaling pathway extrinsic apoptotic signaling pathway in absence of ligand intrinsic apoptotic signaling pathway execution phase of apoptosis fibril organization cellular response to virus regulation of mitochondrial membrane permeability involved in apoptotic process positive regulation of mitochondrial membrane permeability involved in apoptotic process apoptotic process involved in patterning of blood vessels apoptotic process involved in embryonic digit morphogenesis regulation of mitochondrial membrane permeability involved in programmed necrotic cell death positive regulation of apoptotic DNA fragmentation regulation of intracellular signal transduction positive regulation of IRE1-mediated unfolded protein response epithelial cell apoptotic process positive regulation of epithelial cell apoptotic process B cell receptor apoptotic signaling pathway positive regulation of reproductive process positive regulation of motor neuron apoptotic process regulation of apoptotic signaling pathway negative regulation of apoptotic signaling pathway positive regulation of intrinsic apoptotic signaling pathway
          It has to be done as per old AB suggested Products section.

          Disclaimer

          Close

          Clicking the images or links will redirect you to a website hosted by BenchSci that provides third-party scientific content. Neither the content nor the BenchSci technology and processes for selection have been evaluated by us; we are providing them as-is and without warranty of any kind, including for use or application of the Thermo Fisher Scientific products presented.

          guarantee_icon

          性能保障

          只要您发现Invitrogen抗体在实验中的表现与网站或说明书的所述内容不符,您即可享受免费退换货服务。*

          了解更多
          help_icon

          随时为您服务

          获取常见问题的专家解答,或者直接联系我们的技术专家,咨询应用、设备、常规产品使用问题。

          联系技术支持
          订购 Plus Icon Minus Icon
          • 订单状态查询
          • 订单支持
          • 货号直购
          • 现货供应中心
          • 电子采购
          支持 Plus Icon Minus Icon
          • 帮助&支持
          • 联系我们 - 400 820 8982
          • 技术支持中心
          • 查找文件&证书
          • 报告网站问题
          资源 Plus Icon Minus Icon
          • 学习中心
          • 促销
          • 活动&研讨会
          • 社交媒体
          关于赛默飞 Plus Icon Minus Icon
          • 关于我们
          • 招聘 招聘
          • 投资者关系 投资者关系
          • 新闻 新闻
          • 社会责任 社会责任
          • 商标
          • 政策和通知
          品牌 Plus Icon Minus Icon
          • Thermo Scientific
          • Applied Biosystems
          • Invitrogen
          • Gibco
          • Ion Torrent
          • Unity Lab Services
          • Patheon
          • PPD
          • 服务条款
          • 隐私政策
          • 定价和运输保险政策
          © 2006-2026 Thermo Fisher Scientific Inc. All rights reserved. All trademarks are the property of Thermo Fisher Scientific and its subsidiaries unless otherwise specified.
          China flag icon
          China
          本网站销售的所有产品均不得用于人类或动物之临床诊断或治疗,仅可用于工业或者科研等非医疗目的。
             电子营业执照 | 经营证照公示 | ICP备案号:沪ICP备11003924号 | 沪公网安备 31011502006935号

          Your items have has been added!


          Host server : magellan-search-green-6479c7f679-jmhj8:80/100.66.74.142:80.
          git-commit: b70c0dceb888abc3b0dcebb5bc3a5b8753e7e816
          git-url: https://github.com/thermofisher/magellan-search
          git-branch: release/2.50.0-Offline