Hamburger Menu Button
Thermo Fisher Scientific Logo
登录
没有账号?建立账号 注册
  • 产品
    • 抗体
    • 引物合成
    • GeneArt Gene Synthesis Instant Designer
    • TaqMan Assay and Array Search
    • PCR 设备和耗材
    • 色谱柱和纯化柱
    • 实验室离心机
    • 分子生物学试剂和试剂盒
    • 实验室塑料耗材及用品
    • 查看所有产品分类
  • 应用和技术
    • 色谱
    • 细胞转染和培养
    • 实时荧光定量PCR
    • 质谱
    • 实验室塑料耗材及用品
    • 电子显微镜
    • 蛋白质生物学
    • PCR
    • RNAi
    • 环境
    • 查看所有应用和技术
  • 服务
    • 定制服务
    • 企业级实验室信息化服务
    • 企业服务
    • 金融&租赁服务
    • 仪器服务
    • OEM和商业供应
    • 培训服务
    • 360° CDMO 和 CRO 服务
    • CDMO 服务
    • 临床试验 CRO 服务
    • 查看所有帮助和支持
  • 帮助和支持
    • 学习中心
    • 联系我们
    • 更改国家或地区
    • 查看所有帮助和支持
  • 热门产品
    • TaqMan Real-Time PCR Assays
      TaqMan 实时荧光定量 PCR 试剂盒
    • Antibodies
      抗体
    • Oligos, Primers & Probes
      寡核苷酸、引物、探针
    • GeneArt Gene Synthesis
      GeneArt 基因合成
    • Cell Culture Plastics
      细胞培养耗材
  • 联系我们
  • 货号直购
  • 订单查询
  • 查找文件&证书
Thermo Fisher Scientific Logo

Search

搜索全部或下列指定分类
Search button
          • 联系我们
          • 货号直购
          • 登录
            登录
            没有账号?建立账号 注册
            • 我的账号
            • 订单
            • 账单及发票查询
            • 定制产品及项目

          Disclaimer

          Clicking the images or links will redirect you to a website hosted by BenchSci that provides third-party scientific content. Neither the content nor the BenchSci technology and processes for selection have been evaluated by us; we are providing them as-is and without warranty of any kind, including for use or application of the Thermo Fisher Scientific products presented.

          • Primary Antibodies ›
          • beta-5 Tubulin Antibodies

          Invitrogen

          beta-5 Tubulin Polyclonal Antibody

          高级验证
          查看其他6个beta-5 Tubulin抗体

          {{$productOrderCtrl.translations['antibody.pdp.commerceCard.promotion.promotions']}}

          {{$productOrderCtrl.translations['antibody.pdp.commerceCard.promotion.viewpromo']}}

          {{$productOrderCtrl.translations['antibody.pdp.commerceCard.promotion.promocode']}}: {{promo.promoCode}} {{promo.promoTitle}} {{promo.promoDescription}}. {{$productOrderCtrl.translations['antibody.pdp.commerceCard.promotion.learnmore']}}

          说明书
          实验方案
          问题与答案
          技术支持
          说明书
          实验方案
          问题与答案
          技术支持
          说明书
          实验方案
          问题与答案
          技术支持

          Cite beta-5 Tubulin Polyclonal Antibody

          • 抗体检测数据 (6)
          • 高级验证 (2)
          beta-5 Tubulin Antibody in Immunocytochemistry (ICC/IF)
          Group 53 Created with Sketch.
          beta-5 Tubulin Antibody in Immunocytochemistry (ICC/IF)
          Group 53 Created with Sketch.

          图: 1 / 8

          {{ $ctrl.currentElement.advancedVerification.fullName }}
          {{ $ctrl.currentElement.advancedVerification.text }}

          beta-5 Tubulin Antibody (PA5-80198) in ICC/IF

          Immunocytochemistry/Immunofluorescence analysis of Beta III Tubulin in U2OS cells using Beta III Tubulin Polyclonal Antibody (Product # PA5-80198). Enzyme antigen retrieval was performed using IHC enzyme antigen retrieval reagent for 15 mins. The cells were blocked with 10% goat serum and incubated with the primary antibody at 5 µg/mL. Cy3 conjugated goat anti-rabbit IgG was used as secondary antibody at 1:... View More {{ $ctrl.currentElement.advancedVerification.fullName }} 验证信息 View more
          已发表图片由___提供 benchsci-logo
          PMID: {{$ctrl.currentElement.benchSciPubmedId}}
          查看产品

          {{$ctrl.videoDesc}}

          {{$ctrl.videoLongDesc}}

          beta-5 Tubulin Antibody in Immunocytochemistry (ICC/IF)
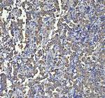
          beta-5 Tubulin Antibody in Immunohistochemistry (Paraffin) (IHC (P))
          beta-5 Tubulin Antibody in Immunohistochemistry (Paraffin) (IHC (P))
          beta-5 Tubulin Antibody in Western Blot (WB)
          beta-5 Tubulin Antibody in Western Blot (WB)
          beta-5 Tubulin Antibody in Flow Cytometry (Flow)
          beta-5 Tubulin Antibody
          beta-5 Tubulin Antibody
          beta-5 Tubulin Polyclonal Antibody

          产品信息

          PA5-80198

          应用
          建议稀释比
          已发表文章

          免疫印迹 (WB)

          0.1-0.5 µg/mL
          -

          免疫组化(石蜡) (IHC (P))

          2-5 µg/mL
          -

          免疫细胞化学 (ICC/IF)

          5 µg/mL
          -

          流式细胞分析 (Flow)

          1-3 µg/1x10^6 cells
          -
          产品规格

          种属反应

          Chicken, Human, Mouse, Non-human primate, Rat

          宿主/亚型

          Rabbit / IgG

          分类

          Polyclonal

          类型

          Antibody

          抗原

          A synthetic peptide corresponding to a sequence at the C-terminus of human Beta Tubulin (383-412aa EQFTAMFRRKAFLHWYTGEGMDEMEFTEAE).
          查看免疫原

          偶联物

          Unconjugated Unconjugated Unconjugated

          形式

          Lyophilized

          浓度

          500 µg/mL

          纯化类型

          Antigen affinity chromatography

          保存液

          PBS with 4mg trehalose

          内含物

          no preservative

          保存条件

          -20°C

          运输条件

          Ambient (domestic); Wet ice (international)

          RRID

          AB_2747312

          产品详细信息

          Reconstitute with 0.2 mL of distilled water to yield a concentration of 500 µg/mL.

          Positive Control - WB: human SiHa whole cell, human 293T whole cell, human HepG2 whole cell, monkey COS-7 whole cell, chicken heart tissue, rat brain tissue, rat PC-12 whole cell, mouse brain tissue, mouse NIH/3T3 whole cell. IHC: human liver cancer tissue, human testicular germ cell tumor tissue. ICC/IF: U20S cell. Flow: SiHa cell.

          靶标信息

          Microtubules, the major cytoskeletal elements found in all eukaryotic cells, consist of Tublin, which is a dimer of two 55kDa subunits: alpha and Beta. Microtubules play key roles in chromosome segregation in mitosis, intracellular transport, ciliary and flagellar bending, and structural support of the cytoskeleton. This antibody does not cause the 10-nm filaments to collapse into large lateral aggregates collecting in the cell periphery or tight juxtanuclear caps. It does not block microtubule assembly. Ab-3 does not inhibit polymerization or depolymerization of platelet tubulin in vitro. It blocks (by 70-80%) the ability of tubulin dimers (with GppNHp bound) to promote a stable inhibition of adenylyl cyclase.

          仅用于科研。不用于诊断过程。未经明确授权不得转售。

          篇参考文献 (0)

          您是否在文献中引用过该产品?请点击下方按钮邮件告知我们。
          引用该产品

          生物信息学

          蛋白别名: beta 5-tubulin; beta Ib tubulin; c(beta)7 tubulin; tbb5; tubulin beta; Tubulin beta 4'; Tubulin beta chain; tubulin beta-1 chain; Tubulin beta-5 chain; Tubulin beta-7 chain; tubulin, beta 2A; tubulin, beta class I; tubulin, beta polypeptide; unnamed protein product

          查看更多 收起

          基因别名: AA408537; AI596182; B130022C14Rik; CDCBM6; CSCSC1; M(beta)5; M40; OK/SW-cl.56; TUBB; TUBB1; TUBB5

          查看更多 收起

          UniProt ID: (Human) P07437, (Chicken) P09244, (Mouse) P99024, (Rat) P69897

          查看更多 收起

          Entrez Gene ID: (Human) 203068, (Chicken) 396254, (Mouse) 22154, (Rat) 29214

          查看更多 收起

          功能
          GTPase activity structural molecule activity structural constituent of cytoskeleton protein binding GTP binding protein domain specific binding ubiquitin protein ligase binding protein complex binding GTPase activating protein binding MHC class I protein binding nucleotide binding tubulin
          参与通路
          G2/M transition of mitotic cell cycle movement of cell or subcellular component microtubule-based process cellular process cytoskeleton-dependent intracellular transport natural killer cell mediated cytotoxicity spindle assembly cell division microtubule cytoskeleton organization mitotic cell cycle regulation of synapse organization protein polymerization biological_process metabolic process
          It has to be done as per old AB suggested Products section.
          guarantee_icon

          性能保障

          只要您发现Invitrogen抗体在实验中的表现与网站或说明书的所述内容不符,您即可享受免费退换货服务。*

          了解更多
          help_icon

          随时为您服务

          获取常见问题的专家解答,或者直接联系我们的技术专家,咨询应用、设备、常规产品使用问题。

          联系技术支持
          订购 Plus Icon Minus Icon
          • 订单状态查询
          • 订单支持
          • 货号直购
          • 现货供应中心
          • 电子采购
          支持 Plus Icon Minus Icon
          • 帮助&支持
          • 联系我们 - 400 820 8982
          • 技术支持中心
          • 查找文件&证书
          • 报告网站问题
          资源 Plus Icon Minus Icon
          • 学习中心
          • 促销
          • 活动&研讨会
          • 社交媒体
          关于赛默飞 Plus Icon Minus Icon
          • 关于我们
          • 招聘 招聘
          • 投资者关系 投资者关系
          • 新闻 新闻
          • 社会责任 社会责任
          • 商标
          • 政策和通知
          品牌 Plus Icon Minus Icon
          • Thermo Scientific
          • Applied Biosystems
          • Invitrogen
          • Gibco
          • Ion Torrent
          • Patheon
          • PPD
          • 服务条款
          • 隐私政策
          • 定价和运输保险政策
          © 2006-2025 Thermo Fisher Scientific Inc. All rights reserved. All trademarks are the property of Thermo Fisher Scientific and its subsidiaries unless otherwise specified.
          China flag icon
          China
          本网站销售的所有产品均不得用于人类或动物之临床诊断或治疗,仅可用于工业或者科研等非医疗目的。
             电子营业执照 | 经营证照公示 | ICP备案号:沪ICP备11003924号 | 沪公网安备 31011502006935号

          Your items have has been added!


          Host server : magellan-search-green-55658555d6-qfdf2:80/100.66.76.55:80.
          git-commit: ec8e7df5f8fec8d765bd419205f1b5046a016d37
          git-url: https://github.com/thermofisher/magellan-search
          git-branch: release/2.41.0-Offline