Hamburger Menu Button
Thermo Fisher Scientific Logo
登录
没有账号?建立账号 注册
  • 产品
    • 抗体
    • 引物合成
    • GeneArt Gene Synthesis Instant Designer
    • TaqMan Assay and Array Search
    • PCR 设备和耗材
    • 色谱柱和纯化柱
    • 实验室离心机
    • 分子生物学试剂和试剂盒
    • 实验室塑料耗材及用品
    • 查看所有产品分类
  • 应用和技术
    • 色谱
    • 细胞转染和培养
    • 实时荧光定量PCR
    • 质谱
    • 实验室塑料耗材及用品
    • 电子显微镜
    • 蛋白质生物学
    • PCR
    • RNAi
    • 环境
    • 查看所有应用和技术
  • 服务
    • 定制服务
    • 企业级实验室信息化服务
    • 企业服务
    • 金融&租赁服务
    • 仪器服务
    • OEM和商业供应
    • 培训服务
    • 360° CDMO 和 CRO 服务
    • CDMO 服务
    • 临床试验 CRO 服务
    • 查看所有帮助和支持
  • 帮助和支持
    • 学习中心
    • 联系我们
    • 更改国家或地区
    • 查看所有帮助和支持
  • 热门产品
    • TaqMan Real-Time PCR Assays
      TaqMan 实时荧光定量 PCR 试剂盒
    • Antibodies
      抗体
    • Oligos, Primers & Probes
      寡核苷酸、引物、探针
    • GeneArt Gene Synthesis
      GeneArt 基因合成
    • Cell Culture Plastics
      细胞培养耗材
  • 联系我们
  • 货号直购
  • 订单查询
  • 查找文件&证书
Thermo Fisher Scientific Logo

Search

搜索全部或下列指定分类
Search button
          • 联系我们
          • 货号直购
          • 登录
            登录
            没有账号?建立账号 注册
            • 我的账号
            • 订单
            • 账单及发票查询
            • 定制产品及项目

          Disclaimer

          Clicking the images or links will redirect you to a website hosted by BenchSci that provides third-party scientific content. Neither the content nor the BenchSci technology and processes for selection have been evaluated by us; we are providing them as-is and without warranty of any kind, including for use or application of the Thermo Fisher Scientific products presented.

          • Primary Antibodies ›
          • beta Catenin Antibodies

          OriGene

          Beta-catenin Monoclonal Antibody (OTI9C1), TrueMAB™

          查看其他127个beta Catenin抗体

          {{$productOrderCtrl.translations['antibody.pdp.commerceCard.promotion.promotions']}}

          {{$productOrderCtrl.translations['antibody.pdp.commerceCard.promotion.viewpromo']}}

          {{$productOrderCtrl.translations['antibody.pdp.commerceCard.promotion.promocode']}}: {{promo.promoCode}} {{promo.promoTitle}} {{promo.promoDescription}}. {{$productOrderCtrl.translations['antibody.pdp.commerceCard.promotion.learnmore']}}

          说明书
          证书
          实验方案
          问题与答案
          技术支持
          说明书
          证书
          实验方案
          问题与答案
          技术支持
          说明书
          证书
          实验方案
          问题与答案
          技术支持

          Cite Beta-catenin Monoclonal Antibody (OTI9C1), TrueMAB™

          • 抗体检测数据 (9)
          Beta-catenin Antibody in Immunocytochemistry (ICC/IF)
          Group 53 Created with Sketch.
          Beta-catenin Antibody in Immunocytochemistry (ICC/IF)
          Group 53 Created with Sketch.

          图: 1 / 9

          {{ $ctrl.currentElement.advancedVerification.fullName }}
          {{ $ctrl.currentElement.advancedVerification.text }}

          Beta-catenin Antibody (CF502408) in ICC/IF

          Anti-CTNNB1 mouse monoclonal antibody (TA502408) Immunofluorescent staining of COS7 cells transiently transfected by pCMV6-ENTRY CTNNB1(RC208947). {{ $ctrl.currentElement.advancedVerification.fullName }} 验证信息 View more
          已发表图片由___提供 benchsci-logo
          PMID: {{$ctrl.currentElement.benchSciPubmedId}}
          查看产品

          {{$ctrl.videoDesc}}

          {{$ctrl.videoLongDesc}}

          Beta-catenin Antibody in Immunocytochemistry (ICC/IF)
          Beta-catenin Antibody in Immunocytochemistry (ICC/IF)
          Beta-catenin Antibody in Immunohistochemistry (Paraffin) (IHC (P))
          Beta-catenin Antibody in Immunohistochemistry (Paraffin) (IHC (P))
          Beta-catenin Antibody in Immunohistochemistry (Paraffin) (IHC (P))
          Beta-catenin Antibody in Immunohistochemistry (Paraffin) (IHC (P))
          Beta-catenin Antibody in Immunohistochemistry (Paraffin) (IHC (P))
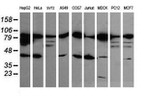
          Beta-catenin Antibody in Western Blot (WB)
          Beta-catenin Antibody in Western Blot (WB)
          Beta-catenin Monoclonal Antibody (OTI9C1), TrueMAB™

          产品信息

          CF502408

          应用
          建议稀释比
          已发表文章

          免疫印迹 (WB)

          1:200-1:2,000
          -

          免疫组化(石蜡) (IHC (P))

          1:150
          -

          免疫细胞化学 (ICC/IF)

          1:100
          -
          产品规格

          种属反应

          Dog, Human, Mouse, Rat

          宿主/亚型

          Mouse / IgG2b

          分类

          Monoclonal

          类型

          Antibody

          克隆号

          OTI9C1

          抗原

          Full length human recombinant protein of human CTNNB1 produced in HEK293T cell.
          查看免疫原

          偶联物

          Unconjugated Unconjugated Unconjugated

          形式

          Lyophilized

          浓度

          1 mg/mL

          纯化类型

          Affinity chromatography

          保存液

          PBS, pH 7.3, with 8% trehalose

          内含物

          no preservative

          保存条件

          -20°C, Avoid Freeze/Thaw Cycles

          运输条件

          Ambient (domestic); Wet ice (international)

          产品详细信息

          For reconstitution, we recommend adding 100 µL distilled water to a final antibody concentration of about 1 mg/mL. To use this carrier-free antibody for conjugation experiments, we strongly recommend performing another round of desalting. (Zeba Spin Desalting Columns, 7KMWCO, 0.5 mL, Product # 89882)

          靶标信息

          Beta-catenin, an adherens junction (AJ) protein, was originally identified as a component of cell-cell adhesion structures. AJs are necessary for the creation and maintenance of epithelial cell layers by regulating cell growth and adhesion between cells. Beta-catenin interacts with the cytoplasmic domain of E-cadherin and links E-cadherin to alpha-catenin, which in turn mediates anchorage of the E-cadherin complex to the cortical actin cytoskeleton. Studies show that Beta-catenin also binds to another cytoskeletal complex containing the adenomatous polyposis coli protein and microtubules, and interacts with several signaling pathways that include tyrosine kinases, phosphatases and Wnt/Wingless. The interplay between beta-catenin, cytoskeletal complexes and signaling pathways may regulate morphogenesis. Beta-catenin is expressed in several hair follicle cell types, basal and peripheral matrix cells, and cells of the outer and inner root sheats. A pathological role of beta-catenin has been identified in pilomatrixoma (PTR), medulloblastoma (MDB), colorectal cancer (CRC), ovarian cancer, and tumor development. In the nucleus, beta-catenin serves to co activate a family of Lef/Tcf transcription factors that stimulate transcription of target genes including those encoding cyclin D and c-myc that promote cell proliferation. The influence on cell proliferation is the molecular basis for the role of beta-catenin in tumorgenesis, specifically, solid tumors of the breast, colon, liver, lung, gastric, prostate, and skin.

          仅用于科研。不用于诊断过程。未经明确授权不得转售。

          篇参考文献 (0)

          您是否在文献中引用过该产品?请点击下方按钮邮件告知我们。
          引用该产品

          生物信息学

          蛋白别名: Bcatenin; beta 1 88kDa; Beta-catenin; Betacatenin; C20orf33; Cadherin associated protein; catenin; catenin (cadherin associated protein), beta 1, 88kDa; catenin (cadherin-associated protein), beta 1; catenin (cadherin-associated protein), beta 1, 88kDa; Catenin b 1; Catenin b1; catenin beta; Catenin beta-1; Catenin beta1; Catenin β 1; Catenin β1; CTNB1; dJ633O20.1; DKFZp686D02253; FLJ25606; FLJ37923; NAP; NYD-SP19; OTTHUMP00000209289; P14L; PP8304; RP5-1118M15.1; β catenin; βcatenin

          查看更多 收起

          基因别名: armadillo; Bfc; Catnb; CTNNB; CTNNB1; Mesc; MRD19; OK/SW-cl.35; PRO2286

          查看更多 收起

          UniProt ID: (Dog) B6V8E6, (Human) P35222, (Mouse) Q02248, (Rat) Q9WU82

          查看更多 收起

          Entrez Gene ID: (Dog) 477032, (Human) 1499, (Mouse) 12387, (Rat) 84353

          查看更多 收起

          功能
          RNA polymerase II transcription factor binding RNA polymerase II activating transcription factor binding chromatin binding transcription factor activity, sequence-specific DNA binding transcription coactivator activity protein binding beta-catenin binding protein C-terminus binding protein kinase binding estrogen receptor binding ion channel binding I-SMAD binding repressing transcription factor binding disordered domain specific binding double-stranded DNA binding signal transducer activity transcription factor binding enzyme binding kinase binding protein phosphatase binding protein complex binding ionotropic glutamate receptor binding nuclear hormone receptor binding transcription regulatory region DNA binding alpha-catenin binding cadherin binding SMAD binding androgen receptor binding nitric-oxide synthase binding cadherin binding involved in cell-cell adhesion euchromatin binding DNA binding R-SMAD binding
          参与通路
          negative regulation of transcription from RNA polymerase II promoter protein polyubiquitination embryonic axis specification cell morphogenesis involved in differentiation patterning of blood vessels branching involved in ureteric bud morphogenesis in utero embryonic development gastrulation with mouth forming second cell fate specification endodermal cell fate commitment neuron migration neural plate development positive regulation of neuroblast proliferation positive regulation of mesenchymal cell proliferation lens morphogenesis in camera-type eye regulation of secondary heart field cardioblast proliferation metanephros morphogenesis negative regulation of mesenchymal to epithelial transition involved in metanephros morphogenesis cell adhesion cell-matrix adhesion chemical synaptic transmission ectoderm development glial cell fate determination negative regulation of cell proliferation anterior/posterior axis specification dorsal/ventral axis specification proximal/distal pattern formation positive regulation of heparan sulfate proteoglycan biosynthetic process negative regulation of angiogenesis layer formation in cerebral cortex central nervous system vasculogenesis osteoclast differentiation male genitalia development hindbrain development regulation of centriole-centriole cohesion pancreas development hair follicle morphogenesis regulation of myelination positive regulation of telomere maintenance via telomerase negative regulation of chondrocyte differentiation response to estradiol T cell differentiation in thymus negative regulation of protein sumoylation adherens junction assembly protein localization to cell surface embryonic heart tube development genitalia morphogenesis embryonic forelimb morphogenesis embryonic hindlimb morphogenesis embryonic skeletal limb joint morphogenesis astrocyte-dopaminergic neuron signaling regulation of T cell proliferation odontogenesis of dentin-containing tooth response to drug embryonic digit morphogenesis positive regulation of apoptotic process positive regulation of I-kappaB kinase/NF-kappaB signaling proteasome-mediated ubiquitin-dependent protein catabolic process positive regulation of MAPK cascade positive regulation of neuron apoptotic process canonical Wnt signaling pathway involved in positive regulation of epithelial to mesenchymal transition bone resorption positive regulation of endothelial cell differentiation positive regulation of osteoblast differentiation negative regulation of osteoclast differentiation positive regulation of fibroblast growth factor receptor signaling pathway negative regulation of transcription, DNA-templated positive regulation of transcription, DNA-templated positive regulation of transcription from RNA polymerase II promoter negative regulation of mitotic cell cycle, embryonic chromatin-mediated maintenance of transcription cell maturation synaptic vesicle transport thymus development oocyte development embryonic foregut morphogenesis positive regulation of skeletal muscle tissue development regulation of smooth muscle cell proliferation negative regulation of oligodendrocyte differentiation synapse organization positive regulation of sequence-specific DNA binding transcription factor activity smooth muscle cell differentiation regulation of timing of anagen positive regulation of telomerase activity oviduct development canonical Wnt signaling pathway trachea formation epithelial tube branching involved in lung morphogenesis lung cell differentiation lung-associated mesenchyme development lung induction epithelial cell differentiation involved in prostate gland development positive regulation of epithelial cell proliferation involved in prostate gland development hair follicle placode formation mesenchymal cell proliferation involved in lung development endothelial tube morphogenesis fungiform papilla formation canonical Wnt signaling pathway involved in positive regulation of cardiac outflow tract cell proliferation sympathetic ganglion development cranial ganglion development regulation of centromeric sister chromatid cohesion bicellular tight junction assembly cellular response to growth factor stimulus cellular response to indole-3-methanol renal vesicle formation renal inner medulla development renal outer medulla development nephron tubule formation regulation of nephron tubule epithelial cell differentiation regulation of calcium ion import synaptic vesicle clustering cell-cell adhesion negative regulation of oxidative stress-induced neuron death positive regulation of chromatin-mediated maintenance of transcription regulation of euchromatin binding positive regulation of core promoter binding cranial skeletal system development midbrain dopaminergic neuron differentiation neuron projection extension embryonic brain development dorsal root ganglion development regulation of protein localization to cell surface positive regulation of determination of dorsal identity positive regulation of DNA-templated transcription, initiation negative regulation of apoptotic signaling pathway skeletal system development vasculogenesis endoderm formation cell fate determination kidney development vasculature development ventricular compact myocardium morphogenesis mesenchymal to epithelial transition involved in metanephros morphogenesis transcription, DNA-templated regulation of transcription, DNA-templated regulation of transcription from RNA polymerase II promoter nervous system development heart development cell proliferation positive regulation of cell proliferation dorsal/ventral pattern formation cellular process regulation of gene expression positive regulation of gene expression positive regulation of epithelial to mesenchymal transition Schwann cell proliferation Wnt signaling pathway morphogenesis of embryonic epithelium single organismal cell-cell adhesion stem cell population maintenance hair cycle process hemopoiesis cell differentiation T cell differentiation lung development regulation of epithelial cell differentiation positive regulation of epithelial cell differentiation forebrain development response to cytokine adherens junction organization cellular protein localization regulation of cell proliferation regulation of cell fate specification regulation of apoptotic process skin development response to estrogen canonical Wnt signaling pathway involved in negative regulation of apoptotic process regulation of cell differentiation negative regulation of cell differentiation regulation of osteoblast differentiation regulation of osteoclast differentiation animal organ development protein heterooligomerization cardiac muscle cell proliferation limb development trachea morphogenesis mesenchyme development cardiac vascular smooth muscle cell differentiation coronary artery morphogenesis epicardium-derived cardiac vascular smooth muscle cell differentiation positive regulation of branching involved in lung morphogenesis cellular response to mechanical stimulus cellular response to organic cyclic compound renal system development mesenchyme morphogenesis negative regulation of neuron death cellular response to insulin-like growth factor stimulus liver development midgut development response to hormone response to organic cyclic compound myoblast differentiation response to cadmium ion epithelial to mesenchymal transition Wnt signaling pathway, calcium modulating pathway response to activity androgen receptor signaling pathway positive regulation of type I interferon production hair cell differentiation catenin import into nucleus cellular response to fibroblast growth factor stimulus regulation of angiogenesis regulation of fibroblast proliferation embryonic cranial skeleton morphogenesis regulation of neurogenesis positive regulation of muscle cell differentiation positive regulation of histone H3-K4 methylation cellular response to lithium ion regulation of core promoter binding beta-catenin-TCF complex assembly beta-catenin destruction complex disassembly canonical Wnt signaling pathway involved in midbrain dopaminergic neuron differentiation
          It has to be done as per old AB suggested Products section.
          guarantee_icon

          性能保障

          只要您发现Invitrogen抗体在实验中的表现与网站或说明书的所述内容不符,您即可享受免费退换货服务。*

          了解更多
          help_icon

          随时为您服务

          获取常见问题的专家解答,或者直接联系我们的技术专家,咨询应用、设备、常规产品使用问题。

          联系技术支持
          订购 Plus Icon Minus Icon
          • 订单状态查询
          • 订单支持
          • 货号直购
          • 现货供应中心
          • 电子采购
          支持 Plus Icon Minus Icon
          • 帮助&支持
          • 联系我们 - 400 820 8982
          • 技术支持中心
          • 查找文件&证书
          • 报告网站问题
          资源 Plus Icon Minus Icon
          • 学习中心
          • 促销
          • 活动&研讨会
          • 社交媒体
          关于赛默飞 Plus Icon Minus Icon
          • 关于我们
          • 招聘 招聘
          • 投资者关系 投资者关系
          • 新闻 新闻
          • 社会责任 社会责任
          • 商标
          • 政策和通知
          品牌 Plus Icon Minus Icon
          • Thermo Scientific
          • Applied Biosystems
          • Invitrogen
          • Gibco
          • Ion Torrent
          • Patheon
          • PPD
          • 服务条款
          • 隐私政策
          • 定价和运输保险政策
          © 2006-2026 Thermo Fisher Scientific Inc. All rights reserved. All trademarks are the property of Thermo Fisher Scientific and its subsidiaries unless otherwise specified.
          China flag icon
          China
          本网站销售的所有产品均不得用于人类或动物之临床诊断或治疗,仅可用于工业或者科研等非医疗目的。
             电子营业执照 | 经营证照公示 | ICP备案号:沪ICP备11003924号 | 沪公网安备 31011502006935号

          Your items have has been added!


          Host server : magellan-search-blue-55ff9ddd88-lffdw:80/100.66.79.31:80.
          git-commit: d366ff9721d93504b2ac26a183b2b3e3d0e7d9ec
          git-url: https://github.com/thermofisher/magellan-search
          git-branch: release/2.42.0-2026.01.03-1.0