Hamburger Menu Button
Thermo Fisher Scientific Logo
登录
没有账号?建立账号 注册
  • 产品
    • 抗体
    • 引物合成
    • GeneArt Gene Synthesis Instant Designer
    • TaqMan Assay and Array Search
    • PCR 设备和耗材
    • 色谱柱和纯化柱
    • 实验室离心机
    • 分子生物学试剂和试剂盒
    • 实验室塑料耗材及用品
    • 查看所有产品分类
  • 应用和技术
    • 色谱
    • 细胞转染和培养
    • 实时荧光定量PCR
    • 质谱
    • 实验室塑料耗材及用品
    • 电子显微镜
    • 蛋白质生物学
    • PCR
    • RNAi
    • 环境
    • 查看所有应用和技术
  • 服务
    • 定制服务
    • 企业级实验室信息化服务
    • 企业服务
    • 金融&租赁服务
    • 仪器服务
    • OEM和商业供应
    • 培训服务
    • 360° CDMO 和 CRO 服务
    • CDMO 服务
    • 临床试验 CRO 服务
    • 查看所有帮助和支持
  • 帮助和支持
    • 学习中心
    • 联系我们
    • 更改国家或地区
    • 查看所有帮助和支持
  • 热门产品
    • TaqMan Real-Time PCR Assays
      TaqMan 实时荧光定量 PCR 试剂盒
    • Antibodies
      抗体
    • Oligos, Primers & Probes
      寡核苷酸、引物、探针
    • GeneArt Gene Synthesis
      GeneArt 基因合成
    • Cell Culture Plastics
      细胞培养耗材
  • 联系我们
  • 货号直购
  • 订单查询
  • 查找文件&证书
Thermo Fisher Scientific Logo

Search

搜索全部或下列指定分类
Search button
          • 联系我们
          • 货号直购
          • 登录
            登录
            没有账号?建立账号 注册
            • 我的账号
            • 订单
            • 账单及发票查询
            • 定制产品及项目

          Disclaimer

          Clicking the images or links will redirect you to a website hosted by BenchSci that provides third-party scientific content. Neither the content nor the BenchSci technology and processes for selection have been evaluated by us; we are providing them as-is and without warranty of any kind, including for use or application of the Thermo Fisher Scientific products presented.

          • Primary Antibodies ›
          • Biglycan Antibodies

          Proteintech

          Biglycan Polyclonal Antibody

          25 篇参考文献
          查看其他13个Biglycan抗体

          {{$productOrderCtrl.translations['antibody.pdp.commerceCard.promotion.promotions']}}

          {{$productOrderCtrl.translations['antibody.pdp.commerceCard.promotion.viewpromo']}}

          {{$productOrderCtrl.translations['antibody.pdp.commerceCard.promotion.promocode']}}: {{promo.promoCode}} {{promo.promoTitle}} {{promo.promoDescription}}. {{$productOrderCtrl.translations['antibody.pdp.commerceCard.promotion.learnmore']}}

          说明书
          证书
          实验方案
          问题与答案
          技术支持
          说明书
          证书
          实验方案
          问题与答案
          技术支持
          说明书
          证书
          实验方案
          问题与答案
          技术支持

          Cite Biglycan Polyclonal Antibody

          Additional Information:
          {{banner.description}}
          {{$ctrl.isSkuNotesCollapsed ? 'View more' : 'View less'}}
          • 抗体检测数据 (22)
          Biglycan Antibody in Immunocytochemistry (ICC/IF)
          Group 53 Created with Sketch.
          Biglycan Antibody in Immunocytochemistry (ICC/IF)
          Group 53 Created with Sketch.

          图: 1 / 22

          {{ $ctrl.currentElement.advancedVerification.fullName }}
          {{ $ctrl.currentElement.advancedVerification.text }}

          Biglycan Antibody (16409-1-AP) in ICC/IF

          Immunofluorescent analysis of HepG2 cells using 16409-1-AP (Biglycan antibody) at dilution of 1:50 and Alexa Fluor 488-conjugated AffiniPure Goat Anti-Rabbit IGG (H+L). {{ $ctrl.currentElement.advancedVerification.fullName }} 验证信息 View more
          已发表图片由___提供 benchsci-logo
          PMID: {{$ctrl.currentElement.benchSciPubmedId}}
          查看产品

          {{$ctrl.videoDesc}}

          {{$ctrl.videoLongDesc}}

          Biglycan Antibody in Immunocytochemistry (ICC/IF)
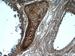
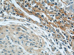
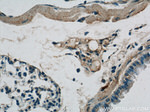
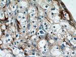
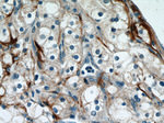
          Biglycan Antibody in Immunohistochemistry (Paraffin) (IHC (P))
          Biglycan Antibody in Immunohistochemistry (Paraffin) (IHC (P))
          Biglycan Antibody in Immunohistochemistry (Paraffin) (IHC (P))
          Biglycan Antibody in Immunohistochemistry (Paraffin) (IHC (P))
          Biglycan Antibody in Immunohistochemistry (Paraffin) (IHC (P))
          Biglycan Antibody in Immunohistochemistry (Paraffin) (IHC (P))
          Biglycan Antibody in Immunohistochemistry (Paraffin) (IHC (P))
          Biglycan Antibody in Immunohistochemistry (Paraffin) (IHC (P))
          Biglycan Antibody in Immunohistochemistry (Paraffin) (IHC (P))
          Biglycan Antibody in Immunohistochemistry (Paraffin) (IHC (P))
          Biglycan Antibody in Immunohistochemistry (Paraffin) (IHC (P))
          Biglycan Antibody in Immunohistochemistry (Paraffin) (IHC (P))
          Biglycan Antibody in Immunohistochemistry (Paraffin) (IHC (P))
          Biglycan Antibody in Immunohistochemistry (Paraffin) (IHC (P))
          Biglycan Antibody in Western Blot (WB)
          Biglycan Antibody in Western Blot (WB)
          Biglycan Antibody in Western Blot (WB)
          Biglycan Antibody in Western Blot (WB)
          Biglycan Antibody in Western Blot (WB)
          Biglycan Antibody in Western Blot (WB)
          Biglycan Antibody in Immunoprecipitation (IP)
          Biglycan Polyclonal Antibody

          产品信息

          16409-1-AP

          应用
          建议稀释比
          已发表文章

          免疫印迹 (WB)

          1:500-1:1,000
          查看12篇已发表文章 12篇已发表文章

          免疫组化 (IHC)

          -
          查看7篇已发表文章 7篇已发表文章

          免疫组化(石蜡) (IHC (P))

          1:20-1:200
          -

          免疫细胞化学 (ICC/IF)

          1:20-1:200
          查看5篇已发表文章 5篇已发表文章

          免疫沉淀 (IP)

          0.5-4.0 µg
          -

          其他PubMed (Misc)

          -
          查看1篇已发表文章 1篇已发表文章
          产品规格

          种属反应

          Human, Mouse, Pig, Rat

          已发表种属

          Human, Mouse

          宿主/亚型

          Rabbit / IgG

          分类

          Polyclonal

          类型

          Antibody

          抗原

          Biglycan Fusion Protein Ag0683 (1-368 aa encoded by BC004244)
          查看免疫原

          偶联物

          Unconjugated Unconjugated Unconjugated

          形式

          Liquid

          浓度

          0.22 mg/mL

          纯化类型

          Antigen affinity chromatography

          保存液

          PBS, pH 7.3, with 50% glycerol

          内含物

          0.02% sodium azide

          保存条件

          -20°C

          运输条件

          Wet ice (domestic); Dry ice (international)

          产品详细信息

          Immunogen sequence: MWPLWRLVS LLALSQALPF EQRGFWDFTL DDGPFMMNDE EASGADTSGV LDPDSVTPTY SAMCPFGCHC HLRVVQCSDL GLKSVPKEIS PDTTLLDLQN NDISELRKDD FKGLQHLYAL VLVNNKISKI HEKAFSPLRK LQKLYISKNH LVEIPPNLPS SLVELRIHDN RIRKVPKGVF SGLRNMNCIE MGGNPLENSG FEPGAFDGLK LNYLRISEAK LTGIPKDLPE TLNELHLDHN KIQAIELEDL LRYSKLYRLG LGHNQIRMIE NGSLSFLPTL RELHLDNNKL ARVPSGLPDL KLLQVVYLHS NNITKVGVND FCPMGFGVKR AYYNGISLFN NPVPYWEVQP ATFRCVTDRL AIQFGNYKK (1-368 aa encoded by BC004244 )

          靶标信息

          BGN is a small cellular or pericellular matrix proteoglycan that is closely related in structure to two other small proteoglycans, decorin and fibromodulin. The protein and decorin are thought to be the result of a gene duplication. Decorin contains one attached glycosaminoglycan chain, while this protein probably contains two chains. For this reason, this protein is called biglycan. This protein is thought to function in connective tissue metabolism by binding to collagen fibrils and transferring growth factor-beta. It may promote neuronal survival.

          仅用于科研。不用于诊断过程。未经明确授权不得转售。

          生物信息学

          蛋白别名: Biglycan; bone/cartilage proteclycan 1; Bone/cartilage proteoglycan I; bone/cartilage proteoglycan-I; dermatan sulphate proteoglycan I; PG S1; PG-S1; small leucine-rich protein 1A; Small proteoglycan I (biglycan), bone (BSPG1) (bone/cartilage proteclycan 1 precursor)

          查看更多 收起

          基因别名: BG; BGN; BSPG1; DSPG1; PG-S1; PGI; SLRR1A

          查看更多 收起

          UniProt ID: (Human) P21810, (Mouse) P28653, (Rat) P47853

          查看更多 收起

          Entrez Gene ID: (Human) 633, (Pig) 397396, (Mouse) 12111, (Rat) 25181

          查看更多 收起

          功能
          protein kinase inhibitor activity extracellular matrix structural constituent glycosaminoglycan binding extracellular matrix binding extracellular matrix structural constituent conferring compression resistance
          参与通路
          peptide cross-linking via chondroitin 4-sulfate glycosaminoglycan blood vessel remodeling negative regulation of protein kinase activity biological_process cytokine-mediated signaling pathway extracellular matrix organization glycosaminoglycan metabolic process chondroitin sulfate biosynthetic process chondroitin sulfate catabolic process dermatan sulfate biosynthetic process negative regulation of JAK-STAT cascade
          It has to be done as per old AB suggested Products section.
          guarantee_icon

          性能保障

          只要您发现Invitrogen抗体在实验中的表现与网站或说明书的所述内容不符,您即可享受免费退换货服务。*

          了解更多
          help_icon

          随时为您服务

          获取常见问题的专家解答,或者直接联系我们的技术专家,咨询应用、设备、常规产品使用问题。

          联系技术支持
          订购 Plus Icon Minus Icon
          • 订单状态查询
          • 订单支持
          • 货号直购
          • 现货供应中心
          • 电子采购
          支持 Plus Icon Minus Icon
          • 帮助&支持
          • 联系我们 - 400 820 8982
          • 技术支持中心
          • 查找文件&证书
          • 报告网站问题
          资源 Plus Icon Minus Icon
          • 学习中心
          • 促销
          • 活动&研讨会
          • 社交媒体
          关于赛默飞 Plus Icon Minus Icon
          • 关于我们
          • 招聘 招聘
          • 投资者关系 投资者关系
          • 新闻 新闻
          • 社会责任 社会责任
          • 商标
          • 政策和通知
          品牌 Plus Icon Minus Icon
          • Thermo Scientific
          • Applied Biosystems
          • Invitrogen
          • Gibco
          • Ion Torrent
          • Patheon
          • PPD
          • 服务条款
          • 隐私政策
          • 定价和运输保险政策
          © 2006-2026 Thermo Fisher Scientific Inc. All rights reserved. All trademarks are the property of Thermo Fisher Scientific and its subsidiaries unless otherwise specified.
          China flag icon
          China
          本网站销售的所有产品均不得用于人类或动物之临床诊断或治疗,仅可用于工业或者科研等非医疗目的。
             电子营业执照 | 经营证照公示 | ICP备案号:沪ICP备11003924号 | 沪公网安备 31011502006935号

          Your items have has been added!


          Host server : magellan-search-blue-55ff9ddd88-ctdjb:80/100.66.76.55:80.
          git-commit: d366ff9721d93504b2ac26a183b2b3e3d0e7d9ec
          git-url: https://github.com/thermofisher/magellan-search
          git-branch: release/2.42.0-2026.01.03-1.0