Hamburger Menu Button
Thermo Fisher Scientific Logo
登录
没有账号?建立账号 注册
  • 产品
    • 抗体
    • 引物合成
    • GeneArt Gene Synthesis Instant Designer
    • TaqMan Assay and Array Search
    • PCR 设备和耗材
    • 色谱柱和纯化柱
    • 实验室离心机
    • 分子生物学试剂和试剂盒
    • 实验室塑料耗材及用品
    • 查看所有产品分类
  • 应用和技术
    • 色谱
    • 细胞转染和培养
    • 实时荧光定量PCR
    • 质谱
    • 实验室塑料耗材及用品
    • 电子显微镜
    • 蛋白质生物学
    • PCR
    • RNAi
    • 环境
    • 查看所有应用和技术
  • 服务
    • 定制服务
    • 企业级实验室信息化服务
    • 金融&租赁服务
    • 仪器服务
    • OEM和商业供应
    • 培训服务
    • 360° CDMO 和 CRO 服务
    • CDMO 服务
    • 临床试验 CRO 服务
    • Unity Lab Services
    • 查看所有帮助和支持
  • 帮助和支持
    • 学习中心
    • 联系我们
    • 更改国家或地区
    • 查看所有帮助和支持
  • 热门产品
    • TaqMan Real-Time PCR Assays
      TaqMan 实时荧光定量 PCR 试剂盒
    • Antibodies
      抗体
    • Oligos, Primers & Probes
      寡核苷酸、引物、探针
    • GeneArt Gene Synthesis
      GeneArt 基因合成
    • Cell Culture Plastics
      细胞培养耗材
  • Who We Serve
    • 抗体治疗解决方案
    • 细胞与基因治疗解决方案
    • 学术科研
    • 工业与应用
  • 联系我们
  • 货号直购
  • 订单查询
  • 查找文件&证书
Thermo Fisher Scientific Logo

Search

搜索全部或下列指定分类
Search button
          • 联系我们
          • 货号直购
          • 登录
            登录
            没有账号?建立账号 注册
            • 我的账号
            • 订单
            • 会员中心
            • 账单及发票查询
            • 定制产品及项目
          • Primary Antibodies ›
          • Bim Antibodies

          Bioss

          Bim/BCL2L11 Polyclonal Antibody

          查看其他33个Bim抗体

          {{$productOrderCtrl.translations['antibody.pdp.commerceCard.promotion.promotions']}}

          {{$productOrderCtrl.translations['antibody.pdp.commerceCard.promotion.viewpromo']}}

          {{$productOrderCtrl.translations['antibody.pdp.commerceCard.promotion.promocode']}}: {{promo.promoCode}} {{promo.promoTitle}} {{promo.promoDescription}}. {{$productOrderCtrl.translations['antibody.pdp.commerceCard.promotion.learnmore']}}

          说明书
          证书
          实验方案
          问题与答案
          技术支持
          说明书
          证书
          实验方案
          问题与答案
          技术支持
          说明书
          证书
          实验方案
          问题与答案
          技术支持

          Cite Bim/BCL2L11 Polyclonal Antibody

          Additional Information:
          {{banner.description}}
          {{$ctrl.isSkuNotesCollapsed ? 'View more' : 'View less'}}
          • 抗体检测数据 (1)
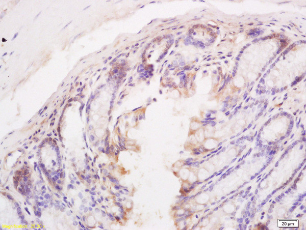
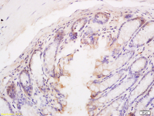
          Bim/BCL2L11 Antibody in Immunohistochemistry (Paraffin) (IHC (P))
          Group 53 Created with Sketch.
          Bim/BCL2L11 Antibody in Immunohistochemistry (Paraffin) (IHC (P))
          Group 53 Created with Sketch.

          图: 1 / 1

          {{ $ctrl.currentElement.advancedVerification.fullName }}
          {{ $ctrl.currentElement.advancedVerification.text }}

          Bim/BCL2L11 Antibody (BS-1488R) in IHC (P)

          Formalin-fixed and paraffin embedded mouse intestine tissue labeled with Anti BIM/BCL2L11 Polyclonal Antibody, Unconjugated (bs-1488R) at 1:200 followed by conjugation to the secondary antibody and DAB staining. {{ $ctrl.currentElement.advancedVerification.fullName }} 验证信息 View more
          已发表图片由___提供 benchsci-logo
          PMID: {{$ctrl.currentElement.benchSciPubmedId}}
          查看产品

          {{$ctrl.videoDesc}}

          {{$ctrl.videoLongDesc}}

          Bim/BCL2L11 Antibody in Immunohistochemistry (Paraffin) (IHC (P))
          Bim/BCL2L11 Polyclonal Antibody

          产品信息

          BS-1488R

          应用
          建议稀释比
          已发表文章

          免疫印迹 (WB)

          1:500-1:2,000
          -

          免疫组化(石蜡) (IHC (P))

          1:200
          -

          流式细胞分析 (Flow)

          1:20-1:100
          -

          酶联免疫吸附实验 (ELISA)

          1:500-1:1,000
          -
          产品规格

          种属反应

          Human, Mouse, Rat

          宿主/亚型

          Rabbit / IgG

          分类

          Polyclonal

          类型

          Antibody

          抗原

          KLH conjugated synthetic peptide derived from human of human Bim, amino acids 51-150.
          3D表位/免疫原

          偶联物

          Unconjugated Unconjugated Unconjugated

          形式

          Liquid

          浓度

          1 mg/mL

          规格

          100 µg

          纯化类型

          Protein A

          保存液

          0.01M TBS, pH 7.4, with 50% glycerol, 1% BSA

          内含物

          0.02% ProClin 300

          保存条件

          -20°C

          运输条件

          Ambient (domestic); Wet ice (international)

          靶标信息

          BIM belongs to the BCL-2 protein family. BCL-2 family members form hetero- or homodimers and act as anti- or pro-apoptotic regulators that are involved in a wide variety of cellular activities. The protein encoded by this gene contains a Bcl-2 homology domain 3 (BH3). It has been shown to interact with other members of the BCL-2 protein family, including BCL2, BCL2L1/BCL-X(L), and MCL1, and to act as an apoptotic activator. The expression of this gene can be induced by nerve growth factor (NGF), as well as by the forkhead transcription factor FKHR-L1, which suggests a role of this gene in neuronal and lymphocyte apoptosis. Transgenic studies of the mouse counterpart suggested that this gene functions as an essential initiator of apoptosis in thymocyte-negative selection. Several alternatively spliced transcript variants of this gene have been identified.

          仅用于科研。不用于诊断过程。未经明确授权不得转售。

          篇参考文献 (0)

          您是否在文献中引用过该产品?请点击下方按钮邮件告知我们。
          引用该产品

          生物信息学

          蛋白别名: alternatively spliced; bcl-2 interacting mediator of cell death; bcl-2 interacting protein Bim; Bcl-2 like 11; Bcl-2 related apoptotic gene product BimL; Bcl-2-like protein 11; bcl-2-related ovarian death agonist; Bcl-2-related ovarian death protein; Bcl2 interacting mediator of cell death; Bcl2-interacting mediator of cell death; Bcl2-L-11; BCL2-like 11 (apoptosis facilitator); BCL2L11; BH3 domain containing protein; Bim EL; Bim-A; Bim-alpha3; pro-apoptotic; Bim-alpha4; contains new exon; pro-apoptotic; Bim-alpha5; contains new exon; pro-apoptotic; BIM-alpha6; BIM-beta6; BIM-beta7; OTTHUMP00000197013; OTTHUMP00000204247; proapoptosis factor; Bim alpha 3; BLC2L11; proapoptosis factor; BimS; BCL2L11; proapoptotic BH-3; Bim splice variant; unnamed protein product

          查看更多 收起

          基因别名: 1500006F24Rik; BAM; bcl2-L-11; BCL2L11; BIM; BimL; BOD

          查看更多 收起

          UniProt ID: (Human) O43521, (Mouse) O54918, (Rat) O88498

          查看更多 收起

          Entrez Gene ID: (Human) 10018, (Mouse) 12125, (Rat) 64547

          查看更多 收起

          功能
          protein binding microtubule binding protein kinase binding
          参与通路
          in utero embryonic development leukocyte homeostasis B cell homeostasis B cell apoptotic process kidney development lymphocyte homeostasis myeloid cell homeostasis apoptotic process activation of cysteine-type endopeptidase activity involved in apoptotic process cell-matrix adhesion spermatogenesis male gonad development intrinsic apoptotic signaling pathway in response to DNA damage post-embryonic development positive regulation of cell death mammary gland development positive regulation of protein homooligomerization response to endoplasmic reticulum stress tube formation odontogenesis of dentin-containing tooth regulation of apoptotic process T cell homeostasis positive regulation of apoptotic process positive regulation of cysteine-type endopeptidase activity involved in apoptotic process positive regulation of neuron apoptotic process ear development positive regulation of cell cycle regulation of organ growth developmental pigmentation regulation of developmental pigmentation spleen development thymus development post-embryonic organ morphogenesis positive regulation of apoptotic process by virus cellular process regulating host cell cycle in response to virus thymocyte apoptotic process positive regulation of release of cytochrome c from mitochondria extrinsic apoptotic signaling pathway in absence of ligand positive regulation of mitochondrial membrane permeability involved in apoptotic process apoptotic process involved in embryonic digit morphogenesis positive regulation of fibroblast apoptotic process positive regulation of intrinsic apoptotic signaling pathway meiosis I positive regulation of protein complex assembly lymphocyte apoptotic process positive regulation of lymphocyte apoptotic process T cell apoptotic process positive regulation of T cell apoptotic process cellular response to glucocorticoid stimulus positive regulation of endoplasmic reticulum stress-induced intrinsic apoptotic signaling pathway positive regulation of IRE1-mediated unfolded protein response brain development
          It has to be done as per old AB suggested Products section.

          Disclaimer

          Close

          Clicking the images or links will redirect you to a website hosted by BenchSci that provides third-party scientific content. Neither the content nor the BenchSci technology and processes for selection have been evaluated by us; we are providing them as-is and without warranty of any kind, including for use or application of the Thermo Fisher Scientific products presented.

          guarantee_icon

          性能保障

          只要您发现Invitrogen抗体在实验中的表现与网站或说明书的所述内容不符,您即可享受免费退换货服务。*

          了解更多
          help_icon

          随时为您服务

          获取常见问题的专家解答,或者直接联系我们的技术专家,咨询应用、设备、常规产品使用问题。

          联系技术支持
          订购 Plus Icon Minus Icon
          • 订单状态查询
          • 订单支持
          • 货号直购
          • 现货供应中心
          • 电子采购
          支持 Plus Icon Minus Icon
          • 帮助&支持
          • 联系我们 - 400 820 8982
          • 技术支持中心
          • 查找文件&证书
          • 报告网站问题
          资源 Plus Icon Minus Icon
          • 学习中心
          • 促销
          • 活动&研讨会
          • 社交媒体
          关于赛默飞 Plus Icon Minus Icon
          • 关于我们
          • 招聘 招聘
          • 投资者关系 投资者关系
          • 新闻 新闻
          • 社会责任 社会责任
          • 商标
          • 政策和通知
          品牌 Plus Icon Minus Icon
          • Thermo Scientific
          • Applied Biosystems
          • Invitrogen
          • Gibco
          • Ion Torrent
          • Unity Lab Services
          • Patheon
          • PPD
          • 服务条款
          • 隐私政策
          • 定价和运输保险政策
          © 2006-2026 Thermo Fisher Scientific Inc. All rights reserved. All trademarks are the property of Thermo Fisher Scientific and its subsidiaries unless otherwise specified.
          China flag icon
          China
          本网站销售的所有产品均不得用于人类或动物之临床诊断或治疗,仅可用于工业或者科研等非医疗目的。
             电子营业执照 | 经营证照公示 | ICP备案号:沪ICP备11003924号 | 沪公网安备 31011502006935号

          Your items have has been added!


          Host server : magellan-search-green-6479c7f679-v472f:80/100.66.78.195:80.
          git-commit: b70c0dceb888abc3b0dcebb5bc3a5b8753e7e816
          git-url: https://github.com/thermofisher/magellan-search
          git-branch: release/2.50.0-Offline