Hamburger Menu Button
Thermo Fisher Scientific Logo
登录
没有账号?建立账号 注册
  • 产品
    • 抗体
    • 引物合成
    • GeneArt Gene Synthesis Instant Designer
    • TaqMan Assay and Array Search
    • PCR 设备和耗材
    • 色谱柱和纯化柱
    • 实验室离心机
    • 分子生物学试剂和试剂盒
    • 实验室塑料耗材及用品
    • 查看所有产品分类
  • 应用和技术
    • 色谱
    • 细胞转染和培养
    • 实时荧光定量PCR
    • 质谱
    • 实验室塑料耗材及用品
    • 电子显微镜
    • 蛋白质生物学
    • PCR
    • RNAi
    • 环境
    • 查看所有应用和技术
  • 服务
    • 定制服务
    • 企业级实验室信息化服务
    • 企业服务
    • 金融&租赁服务
    • 仪器服务
    • OEM和商业供应
    • 培训服务
    • 360° CDMO 和 CRO 服务
    • CDMO 服务
    • 临床试验 CRO 服务
    • 查看所有帮助和支持
  • 帮助和支持
    • 学习中心
    • 联系我们
    • 更改国家或地区
    • 查看所有帮助和支持
  • 热门产品
    • TaqMan Real-Time PCR Assays
      TaqMan 实时荧光定量 PCR 试剂盒
    • Antibodies
      抗体
    • Oligos, Primers & Probes
      寡核苷酸、引物、探针
    • GeneArt Gene Synthesis
      GeneArt 基因合成
    • Cell Culture Plastics
      细胞培养耗材
  • 联系我们
  • 货号直购
  • 订单查询
  • 查找文件&证书
Thermo Fisher Scientific Logo

Search

搜索全部或下列指定分类
Search button
          • 联系我们
          • 货号直购
          • 登录
            登录
            没有账号?建立账号 注册
            • 我的账号
            • 订单
            • 账单及发票查询
            • 定制产品及项目

          Disclaimer

          Clicking the images or links will redirect you to a website hosted by BenchSci that provides third-party scientific content. Neither the content nor the BenchSci technology and processes for selection have been evaluated by us; we are providing them as-is and without warranty of any kind, including for use or application of the Thermo Fisher Scientific products presented.

          • Primary Antibodies ›
          • c-Jun Antibodies

          OriGene

          C-Jun Monoclonal Antibody (UMAB67), UltraMAB™

          查看其他58个c-Jun抗体

          {{$productOrderCtrl.translations['antibody.pdp.commerceCard.promotion.promotions']}}

          {{$productOrderCtrl.translations['antibody.pdp.commerceCard.promotion.viewpromo']}}

          {{$productOrderCtrl.translations['antibody.pdp.commerceCard.promotion.promocode']}}: {{promo.promoCode}} {{promo.promoTitle}} {{promo.promoDescription}}. {{$productOrderCtrl.translations['antibody.pdp.commerceCard.promotion.learnmore']}}

          说明书
          证书
          实验方案
          问题与答案
          技术支持
          说明书
          证书
          实验方案
          问题与答案
          技术支持
          说明书
          证书
          实验方案
          问题与答案
          技术支持

          Cite C-Jun Monoclonal Antibody (UMAB67), UltraMAB™

          • 抗体检测数据 (7)
          C-Jun Antibody in Immunocytochemistry (ICC/IF)
          Group 53 Created with Sketch.
          C-Jun Antibody in Immunocytochemistry (ICC/IF)
          Group 53 Created with Sketch.

          图: 1 / 7

          {{ $ctrl.currentElement.advancedVerification.fullName }}
          {{ $ctrl.currentElement.advancedVerification.text }}

          C-Jun Antibody (UM800011CF) in ICC/IF

          Immunofluorescent staining of HeLa cells using JUN mouse monoclonal antibody (UM800011, green). Actin filaments were labeled with TRITC-phalloidin (red), and nuclear with DAPI (blue). The three-color overlay image is located at the bottom-right corner. {{ $ctrl.currentElement.advancedVerification.fullName }} 验证信息 View more
          已发表图片由___提供 benchsci-logo
          PMID: {{$ctrl.currentElement.benchSciPubmedId}}
          查看产品

          {{$ctrl.videoDesc}}

          {{$ctrl.videoLongDesc}}

          C-Jun Antibody in Immunocytochemistry (ICC/IF)
          C-Jun Antibody in Immunocytochemistry (ICC/IF)
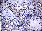
          C-Jun Antibody in Immunohistochemistry (Paraffin) (IHC (P))
          C-Jun Antibody in Immunohistochemistry (Paraffin) (IHC (P))
          C-Jun Antibody in Immunohistochemistry (Paraffin) (IHC (P))
          C-Jun Antibody in Western Blot (WB)
          C-Jun Antibody in Western Blot (WB)
          C-Jun Monoclonal Antibody (UMAB67), UltraMAB™

          产品信息

          UM800011CF

          应用
          建议稀释比
          已发表文章

          免疫印迹 (WB)

          Assay-dependent
          -

          免疫组化(石蜡) (IHC (P))

          1:100
          -

          免疫细胞化学 (ICC/IF)

          1:100
          -
          产品规格

          种属反应

          Dog, Human, Mouse, Rat

          宿主/亚型

          Mouse / IgG1

          分类

          Monoclonal

          类型

          Antibody

          克隆号

          UMAB67

          抗原

          Full length human recombinant protein of human JUN produced in E.coli.
          查看免疫原

          偶联物

          Unconjugated Unconjugated Unconjugated

          形式

          Lyophilized

          浓度

          1 mg/mL

          纯化类型

          Affinity chromatography

          保存液

          PBS, pH 7.3, with 8% trehalose

          内含物

          no preservative

          保存条件

          -20°C, Avoid Freeze/Thaw Cycles

          运输条件

          Ambient (domestic); Wet ice (international)

          产品详细信息

          For reconstitution, we recommend adding 100 µL distilled water to a final antibody concentration of about 1 mg/mL. To use this carrier-free antibody for conjugation experiments, we strongly recommend performing another round of desalting. (Zeba Spin Desalting Columns, 7KMWCO, 0.5 mL, Product # 89882)

          靶标信息

          c-Jun is a transcription factor that recognizes and binds to the enhancer heptamer motif 5'-TGA[CG]TCA-3'. It promotes activity of NR5A1 when phosphorylated by HIPK3 leading to increased steroidogenic gene expression upon cAMP signaling pathway stimulation. Involved in activated KRAS-mediated transcriptional activation of USP28 in colorectal cancer (CRC) cells.

          仅用于科研。不用于诊断过程。未经明确授权不得转售。

          篇参考文献 (0)

          您是否在文献中引用过该产品?请点击下方按钮邮件告知我们。
          引用该产品

          生物信息学

          蛋白别名: Activator protein 1; AH119; AP1; Avian sarcoma virus 17 (v-jun) oncogene homolog; cjun; enhancer-binding protein AP1; immediate early; Jun A; Jun activation domain binding protein; Jun oncogene; jun proto-oncogene; JUND; p39; Proto-oncogene c-Jun; transcription factor AP-1; Transcription factor AP-1 subunit Jun; Transcription factor Jun; V-jun avian sarcoma virus 17 oncogene homolog; v-jun sarcoma virus 17 oncogene homolog

          查看更多 收起

          基因别名: AP-1; AP1; c-Jun; JUN; Junc; Rjg-9

          查看更多 收起

          UniProt ID: (Human) P05412, (Rat) P17325, (Mouse) P05627

          查看更多 收起

          Entrez Gene ID: (Dog) 609429, (Human) 3725, (Rat) 24516, (Mouse) 16476

          查看更多 收起

          功能
          RNA polymerase II core promoter proximal region sequence-specific DNA binding RNA polymerase II distal enhancer sequence-specific DNA binding RNA polymerase II transcription factor activity, sequence-specific DNA binding transcription factor activity, RNA polymerase II core promoter proximal region sequence-specific binding transcriptional activator activity, RNA polymerase II core promoter proximal region sequence-specific binding RNA polymerase II activating transcription factor binding transcriptional activator activity, RNA polymerase II transcription factor binding DNA binding chromatin binding transcription factor activity, sequence-specific DNA binding transcription factor activity, RNA polymerase II distal enhancer sequence-specific binding transcription coactivator activity GTPase activator activity protein binding transcription factor binding enzyme binding cAMP response element binding identical protein binding protein homodimerization activity transcription regulatory region DNA binding poly(A) RNA binding protein heterodimerization activity R-SMAD binding HMG box domain binding double-stranded DNA binding sequence-specific DNA binding basic leucine zipper transcription factor
          参与通路
          angiogenesis microglial cell activation release of cytochrome c from mitochondria liver development positive regulation of endothelial cell proliferation outflow tract morphogenesis transcription from RNA polymerase II promoter transforming growth factor beta receptor signaling pathway SMAD protein import into nucleus Ras protein signal transduction aging learning circadian rhythm negative regulation of cell proliferation response to radiation response to mechanical stimulus positive regulation of epithelial cell migration regulation of cell death monocyte differentiation axon regeneration negative regulation of protein autophosphorylation response to lipopolysaccharide cellular response to hormone stimulus response to cytokine leading edge cell differentiation response to muscle stretch Fc-epsilon receptor signaling pathway regulation of cell proliferation response to drug response to hydrogen peroxide negative regulation of DNA binding negative regulation of neuron apoptotic process positive regulation of neuron apoptotic process positive regulation of GTPase activity negative regulation by host of viral transcription positive regulation by host of viral transcription positive regulation of cell differentiation positive regulation of monocyte differentiation positive regulation of DNA replication negative regulation of transcription, DNA-templated positive regulation of transcription, DNA-templated positive regulation of transcription from RNA polymerase II promoter positive regulation of fibroblast proliferation positive regulation of smooth muscle cell proliferation regulation of sequence-specific DNA binding transcription factor activity cellular response to potassium ion starvation response to cAMP regulation of cell cycle membrane depolarization SMAD protein signal transduction eyelid development in camera-type eye positive regulation of ERK1 and ERK2 cascade cellular response to calcium ion positive regulation of pri-miRNA transcription from RNA polymerase II promoter negative regulation of transcription from RNA polymerase II promoter in response to endoplasmic reticulum stress positive regulation of DNA-templated transcription, initiation transcription, DNA-templated regulation of transcription, DNA-templated positive regulation of cell proliferation cellular process response to organic substance response to organic cyclic compound positive regulation of apoptotic process negative regulation of apoptotic process negative regulation of transcription from RNA polymerase II promoter
          It has to be done as per old AB suggested Products section.
          guarantee_icon

          性能保障

          只要您发现Invitrogen抗体在实验中的表现与网站或说明书的所述内容不符,您即可享受免费退换货服务。*

          了解更多
          help_icon

          随时为您服务

          获取常见问题的专家解答,或者直接联系我们的技术专家,咨询应用、设备、常规产品使用问题。

          联系技术支持
          订购 Plus Icon Minus Icon
          • 订单状态查询
          • 订单支持
          • 货号直购
          • 现货供应中心
          • 电子采购
          支持 Plus Icon Minus Icon
          • 帮助&支持
          • 联系我们 - 400 820 8982
          • 技术支持中心
          • 查找文件&证书
          • 报告网站问题
          资源 Plus Icon Minus Icon
          • 学习中心
          • 促销
          • 活动&研讨会
          • 社交媒体
          关于赛默飞 Plus Icon Minus Icon
          • 关于我们
          • 招聘 招聘
          • 投资者关系 投资者关系
          • 新闻 新闻
          • 社会责任 社会责任
          • 商标
          • 政策和通知
          品牌 Plus Icon Minus Icon
          • Thermo Scientific
          • Applied Biosystems
          • Invitrogen
          • Gibco
          • Ion Torrent
          • Patheon
          • PPD
          • 服务条款
          • 隐私政策
          • 定价和运输保险政策
          © 2006-2026 Thermo Fisher Scientific Inc. All rights reserved. All trademarks are the property of Thermo Fisher Scientific and its subsidiaries unless otherwise specified.
          China flag icon
          China
          本网站销售的所有产品均不得用于人类或动物之临床诊断或治疗,仅可用于工业或者科研等非医疗目的。
             电子营业执照 | 经营证照公示 | ICP备案号:沪ICP备11003924号 | 沪公网安备 31011502006935号

          Your items have has been added!


          Host server : magellan-search-blue-55ff9ddd88-2rf75:80/100.66.79.83:80.
          git-commit: d366ff9721d93504b2ac26a183b2b3e3d0e7d9ec
          git-url: https://github.com/thermofisher/magellan-search
          git-branch: release/2.42.0-2026.01.03-1.0