Hamburger Menu Button
Thermo Fisher Scientific Logo
登录
没有账号?建立账号 注册
  • 产品
    • 抗体
    • 引物合成
    • GeneArt Gene Synthesis Instant Designer
    • TaqMan Assay and Array Search
    • PCR 设备和耗材
    • 色谱柱和纯化柱
    • 实验室离心机
    • 分子生物学试剂和试剂盒
    • 实验室塑料耗材及用品
    • 查看所有产品分类
  • 应用和技术
    • 色谱
    • 细胞转染和培养
    • 实时荧光定量PCR
    • 质谱
    • 实验室塑料耗材及用品
    • 电子显微镜
    • 蛋白质生物学
    • PCR
    • RNAi
    • 环境
    • 查看所有应用和技术
  • 服务
    • 定制服务
    • 企业级实验室信息化服务
    • 企业服务
    • 金融&租赁服务
    • 仪器服务
    • OEM和商业供应
    • 培训服务
    • 360° CDMO 和 CRO 服务
    • CDMO 服务
    • 临床试验 CRO 服务
    • 查看所有帮助和支持
  • 帮助和支持
    • 学习中心
    • 联系我们
    • 更改国家或地区
    • 查看所有帮助和支持
  • 热门产品
    • TaqMan Real-Time PCR Assays
      TaqMan 实时荧光定量 PCR 试剂盒
    • Antibodies
      抗体
    • Oligos, Primers & Probes
      寡核苷酸、引物、探针
    • GeneArt Gene Synthesis
      GeneArt 基因合成
    • Cell Culture Plastics
      细胞培养耗材
  • 联系我们
  • 货号直购
  • 订单查询
  • 查找文件&证书
Thermo Fisher Scientific Logo

Search

搜索全部或下列指定分类
Search button
          • 联系我们
          • 货号直购
          • 登录
            登录
            没有账号?建立账号 注册
            • 我的账号
            • 订单
            • 账单及发票查询
            • 定制产品及项目

          Disclaimer

          Clicking the images or links will redirect you to a website hosted by BenchSci that provides third-party scientific content. Neither the content nor the BenchSci technology and processes for selection have been evaluated by us; we are providing them as-is and without warranty of any kind, including for use or application of the Thermo Fisher Scientific products presented.

          • Primary Antibodies ›
          • CaV2.1 Antibodies

          Bioss

          CACNA1A/Cav2.1 Polyclonal Antibody

          查看其他5个CaV2.1抗体

          {{$productOrderCtrl.translations['antibody.pdp.commerceCard.promotion.promotions']}}

          {{$productOrderCtrl.translations['antibody.pdp.commerceCard.promotion.viewpromo']}}

          {{$productOrderCtrl.translations['antibody.pdp.commerceCard.promotion.promocode']}}: {{promo.promoCode}} {{promo.promoTitle}} {{promo.promoDescription}}. {{$productOrderCtrl.translations['antibody.pdp.commerceCard.promotion.learnmore']}}

          说明书
          证书
          实验方案
          问题与答案
          技术支持
          说明书
          证书
          实验方案
          问题与答案
          技术支持
          说明书
          证书
          实验方案
          问题与答案
          技术支持

          Cite CACNA1A/Cav2.1 Polyclonal Antibody

          • 抗体检测数据 (1)
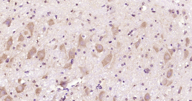
          CACNA1A/Cav2.1 Antibody in Immunohistochemistry (Paraffin) (IHC (P))
          Group 53 Created with Sketch.
          CACNA1A/Cav2.1 Antibody in Immunohistochemistry (Paraffin) (IHC (P))
          Group 53 Created with Sketch.

          图: 1 / 1

          {{ $ctrl.currentElement.advancedVerification.fullName }}
          {{ $ctrl.currentElement.advancedVerification.text }}

          CACNA1A/Cav2.1 Antibody (BS-3930R) in IHC (P)

          Paraformaldehyde-fixed, paraffin embedded Rat cerebellum; Antigen retrieval by boiling in sodium citrate buffer (pH6.0) for 15min; Block endogenous peroxidase by 3% hydrogen peroxide for 20 minutes; Blocking buffer (normal goat serum) at 37°C for 30min; Antibody incubation with CACNA1A/Cav2.1 Polyclonal Antibody, Unconjugated (bs-3930R) at 1:200 overnight at 4°C, DAB staining. {{ $ctrl.currentElement.advancedVerification.fullName }} 验证信息 View more
          已发表图片由___提供 benchsci-logo
          PMID: {{$ctrl.currentElement.benchSciPubmedId}}
          查看产品

          {{$ctrl.videoDesc}}

          {{$ctrl.videoLongDesc}}

          CACNA1A/Cav2.1 Antibody in Immunohistochemistry (Paraffin) (IHC (P))
          CACNA1A/Cav2.1 Polyclonal Antibody

          产品信息

          BS-3930R

          应用
          建议稀释比
          已发表文章

          免疫组化(石蜡) (IHC (P))

          1:200
          -

          免疫组化(冰冻) (IHC (F))

          1:100-1:500
          -

          免疫细胞化学 (ICC/IF)

          1:50-1:200
          -

          酶联免疫吸附实验 (ELISA)

          1:500-1:1,000
          -
          产品规格

          种属反应

          Human, Mouse, Rat

          宿主/亚型

          Rabbit / IgG

          分类

          Polyclonal

          类型

          Antibody

          抗原

          KLH conjugated synthetic peptide derived from human CACNA1A, amino acids 1401-1500.
          查看免疫原

          偶联物

          Unconjugated Unconjugated Unconjugated

          形式

          Liquid

          浓度

          1 mg/mL

          纯化类型

          Protein A

          保存液

          0.01M TBS, pH 7.4, with 1% BSA, 50% glycerol

          内含物

          0.02% ProClin 300

          保存条件

          -20°C

          运输条件

          Ambient (domestic); Wet ice (international)

          靶标信息

          Voltage-dependent calcium channels mediate the entry of calcium ions into excitable cells, and are also involved in a variety of calcium-dependent processes, including muscle contraction, hormone or neurotransmitter release, and gene expression. Calcium channels are multisubunit complexes composed of alpha-1, beta, alpha-2/delta, and gamma subunits. The channel activity is directed by the pore-forming alpha-1 subunit, whereas, the others act as auxiliary subunits regulating this activity. The distinctive properties of the calcium channel types are related primarily to the expression of a variety of alpha-1 isoforms, alpha-1A, B, C, D, E, and S. This gene encodes the alpha-1A subunit, which is predominantly expressed in neuronal tissue. Mutations in this gene are associated with 2 neurologic disorders, familial hemiplegic migraine and episodic ataxia 2. This gene also exhibits polymorphic variation due to n-repeats. Multiple transcript variants encoding different isoforms have been found for this gene. In one set of transcript variants, the n-repeats occur in the 3 UTR, and are not associated with any disease. But in another set of variants, an insertion extends the coding region to include the n-repeats which encode a polyglutamine tract. Expansion of the n-repeats from the normal 4-16 to 21-28 in the coding region is associated with spinocerebellar ataxia 6.

          仅用于科研。不用于诊断过程。未经明确授权不得转售。

          篇参考文献 (0)

          您是否在文献中引用过该产品?请点击下方按钮邮件告知我们。
          引用该产品

          生物信息学

          蛋白别名: BI; brain calcium channel 1; Brain calcium channel I; brain class A; calcium channel alpha 1A; calcium channel, L type, alpha-1 polypeptide; Calcium channel, L type, alpha-1 polypeptide isoform 4; Calcium channel, L type, alpha-1 polypeptide, isoform 4; calcium channel, voltage-dependent, alpha 1A subunit; calcium channel, voltage-dependent, P/Q type, alpha 1A subunit; fetal brain Ca2+ voltage-gated channel alpha1A pore-forming subunit; leaner; Rat brain class A; RBA-I; rocker; tottering; Voltage-dependent P/Q-type calcium channel subunit alpha-1A; Voltage-gated calcium channel subunit alpha Cav2.1

          查看更多 收起

          基因别名: alpha1A; APCA; BccA1; BI; Caca1a; CACH4; CACN3; CACNA1A; CACNL1A4; CAV2.1; Ccha1a; EA2; FHM; HPCA; la; MHP; MHP1; nmf352; rbA-1; rkr; SCA6; tg

          查看更多 收起

          UniProt ID: (Human) O00555, (Mouse) P97445, (Rat) P54282

          查看更多 收起

          Entrez Gene ID: (Human) 773, (Mouse) 12286, (Rat) 25398

          查看更多 收起

          功能
          voltage-gated calcium channel activity calcium channel activity protein binding high voltage-gated calcium channel activity syntaxin binding metal ion binding DNA binding ion channel activity voltage-gated ion channel activity calmodulin binding voltage-gated ion channel
          参与通路
          sulfur amino acid metabolic process glucose metabolic process positive regulation of cytosolic calcium ion concentration gamma-aminobutyric acid signaling pathway neuromuscular synaptic transmission synapse assembly adult walking behavior cell death gamma-aminobutyric acid secretion regulation of acetylcholine secretion, neurotransmission cell growth regulation of calcium ion-dependent exocytosis transmission of nerve impulse spinal cord motor neuron differentiation cerebellum maturation cerebellar molecular layer development cerebellar Purkinje cell differentiation vestibular nucleus development cellular chloride ion homeostasis negative regulation of hormone biosynthetic process regulation of ion transmembrane transport synaptic transmission, glutamatergic neurotransmitter metabolic process hormone metabolic process receptor clustering negative regulation of neuron apoptotic process behavioral response to pain calcium ion-regulated exocytosis of neurotransmitter dendrite morphogenesis regulation of axonogenesis regulation of insulin secretion musculoskeletal movement, spinal reflex action neuromuscular process controlling balance membrane depolarization rhythmic synaptic transmission calcium ion transmembrane transport membrane depolarization during action potential transport ion transport calcium ion transport chemical synaptic transmission neuron-neuron synaptic transmission calcium ion regulated exocytosis sensory perception of pain cerebellar Purkinje cell layer development central nervous system neuron differentiation regulation of membrane potential thyroid hormone metabolic process response to pain neurological system process neuromuscular process synaptic transmission, GABAergic transmembrane transport calcium ion import
          It has to be done as per old AB suggested Products section.
          guarantee_icon

          性能保障

          只要您发现Invitrogen抗体在实验中的表现与网站或说明书的所述内容不符,您即可享受免费退换货服务。*

          了解更多
          help_icon

          随时为您服务

          获取常见问题的专家解答,或者直接联系我们的技术专家,咨询应用、设备、常规产品使用问题。

          联系技术支持
          订购 Plus Icon Minus Icon
          • 订单状态查询
          • 订单支持
          • 货号直购
          • 现货供应中心
          • 电子采购
          支持 Plus Icon Minus Icon
          • 帮助&支持
          • 联系我们 - 400 820 8982
          • 技术支持中心
          • 查找文件&证书
          • 报告网站问题
          资源 Plus Icon Minus Icon
          • 学习中心
          • 促销
          • 活动&研讨会
          • 社交媒体
          关于赛默飞 Plus Icon Minus Icon
          • 关于我们
          • 招聘 招聘
          • 投资者关系 投资者关系
          • 新闻 新闻
          • 社会责任 社会责任
          • 商标
          • 政策和通知
          品牌 Plus Icon Minus Icon
          • Thermo Scientific
          • Applied Biosystems
          • Invitrogen
          • Gibco
          • Ion Torrent
          • Patheon
          • PPD
          • 服务条款
          • 隐私政策
          • 定价和运输保险政策
          © 2006-2026 Thermo Fisher Scientific Inc. All rights reserved. All trademarks are the property of Thermo Fisher Scientific and its subsidiaries unless otherwise specified.
          China flag icon
          China
          本网站销售的所有产品均不得用于人类或动物之临床诊断或治疗,仅可用于工业或者科研等非医疗目的。
             电子营业执照 | 经营证照公示 | ICP备案号:沪ICP备11003924号 | 沪公网安备 31011502006935号

          Your items have has been added!


          Host server : magellan-search-blue-55ff9ddd88-8jdkq:80/100.66.75.107:80.
          git-commit: d366ff9721d93504b2ac26a183b2b3e3d0e7d9ec
          git-url: https://github.com/thermofisher/magellan-search
          git-branch: release/2.42.0-2026.01.03-1.0