Hamburger Menu Button
Thermo Fisher Scientific Logo
登录
没有账号?建立账号 注册
  • 产品
    • 抗体
    • 引物合成
    • GeneArt Gene Synthesis Instant Designer
    • TaqMan Assay and Array Search
    • PCR 设备和耗材
    • 色谱柱和纯化柱
    • 实验室离心机
    • 分子生物学试剂和试剂盒
    • 实验室塑料耗材及用品
    • 查看所有产品分类
  • 应用和技术
    • 色谱
    • 细胞转染和培养
    • 实时荧光定量PCR
    • 质谱
    • 实验室塑料耗材及用品
    • 电子显微镜
    • 蛋白质生物学
    • PCR
    • RNAi
    • 环境
    • 查看所有应用和技术
  • 服务
    • 定制服务
    • 企业级实验室信息化服务
    • 金融&租赁服务
    • 仪器服务
    • OEM和商业供应
    • 培训服务
    • 360° CDMO 和 CRO 服务
    • CDMO 服务
    • 临床试验 CRO 服务
    • Unity Lab Services
    • 查看所有帮助和支持
  • 帮助和支持
    • 学习中心
    • 联系我们
    • 更改国家或地区
    • 查看所有帮助和支持
  • 热门产品
    • TaqMan Real-Time PCR Assays
      TaqMan 实时荧光定量 PCR 试剂盒
    • Antibodies
      抗体
    • Oligos, Primers & Probes
      寡核苷酸、引物、探针
    • GeneArt Gene Synthesis
      GeneArt 基因合成
    • Cell Culture Plastics
      细胞培养耗材
  • Who We Serve
    • 抗体治疗解决方案
    • 细胞与基因治疗解决方案
    • 学术科研
    • 工业与应用
  • 联系我们
  • 货号直购
  • 订单查询
  • 查找文件&证书
Thermo Fisher Scientific Logo

Search

搜索全部或下列指定分类
Search button
          • 联系我们
          • 货号直购
          • 登录
            登录
            没有账号?建立账号 注册
            • 我的账号
            • 订单
            • 会员中心
            • 账单及发票查询
            • 定制产品及项目
          • Primary Antibodies ›
          • CALM Antibodies

          Invitrogen

          CALM Polyclonal Antibody

          查看其他13个CALM抗体

          {{$productOrderCtrl.translations['antibody.pdp.commerceCard.promotion.promotions']}}

          {{$productOrderCtrl.translations['antibody.pdp.commerceCard.promotion.viewpromo']}}

          {{$productOrderCtrl.translations['antibody.pdp.commerceCard.promotion.promocode']}}: {{promo.promoCode}} {{promo.promoTitle}} {{promo.promoDescription}}. {{$productOrderCtrl.translations['antibody.pdp.commerceCard.promotion.learnmore']}}

          说明书
          证书
          实验方案
          问题与答案
          技术支持
          说明书
          证书
          实验方案
          问题与答案
          技术支持
          说明书
          证书
          实验方案
          问题与答案
          技术支持

          Cite CALM Polyclonal Antibody

          Additional Information:
          {{banner.description}}
          {{$ctrl.isSkuNotesCollapsed ? 'View more' : 'View less'}}
          • 抗体检测数据 (8)
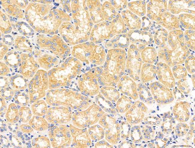
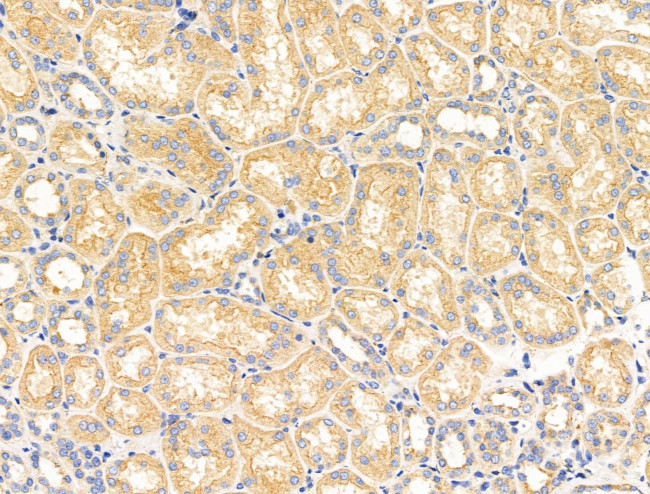
          CALM Antibody in Immunohistochemistry (Paraffin) (IHC (P))
          Group 53 Created with Sketch.
          CALM Antibody in Immunohistochemistry (Paraffin) (IHC (P))
          Group 53 Created with Sketch.

          图: 1 / 8

          {{ $ctrl.currentElement.advancedVerification.fullName }}
          {{ $ctrl.currentElement.advancedVerification.text }}

          CALM Antibody (PA5-115756) in IHC (P)

          Immunohistochemistry analysis of CALM in human kidney cancer and adjacent normal tissues. Samples were treated with formaldehyde and treated with citrate buffer for antigen retrieval, blocked, and incubated (1.5 hours at 22°C) with polyclonal antibody (Product # PA5-115756) at a dilution of 1:100. Secondary staining was applied with HRP conjugated anti-Rabbit. {{ $ctrl.currentElement.advancedVerification.fullName }} 验证信息 View more
          已发表图片由___提供 benchsci-logo
          PMID: {{$ctrl.currentElement.benchSciPubmedId}}
          查看产品

          {{$ctrl.videoDesc}}

          {{$ctrl.videoLongDesc}}

          CALM Antibody in Immunohistochemistry (Paraffin) (IHC (P))
          CALM Antibody in Immunohistochemistry (Paraffin) (IHC (P))
          CALM Antibody in Immunohistochemistry (Paraffin) (IHC (P))
          CALM Antibody in Immunohistochemistry (Paraffin) (IHC (P))
          CALM Antibody in Immunohistochemistry (Paraffin) (IHC (P))
          CALM Antibody in Immunohistochemistry (Paraffin) (IHC (P))
          CALM Antibody in Immunohistochemistry (Paraffin) (IHC (P))
          CALM Antibody in Western Blot (WB)
          CALM Polyclonal Antibody

          产品信息

          PA5-115756

          应用
          建议稀释比
          已发表文章

          免疫印迹 (WB)

          1:500-1:2,000
          -

          免疫组化(石蜡) (IHC (P))

          1:50-1:200
          -
          产品规格

          种属反应

          Human, Mouse, Rat

          宿主/亚型

          Rabbit / IgG

          分类

          Polyclonal

          类型

          Antibody

          抗原

          A synthesized peptide derived from human PICALM(Accession Q13492), corresponding to amino acid residues M617-M652.
          3D表位/免疫原

          偶联物

          Unconjugated Unconjugated Unconjugated

          形式

          Liquid

          浓度

          1 mg/mL

          规格

          100 µg

          纯化类型

          Affinity chromatography

          保存液

          PBS with 50% glycerol

          内含物

          0.02% sodium azide

          保存条件

          -20°C

          运输条件

          Ambient (domestic); Wet ice (international)

          RRID

          AB_2900391

          产品详细信息

          Antibody detects endogenous levels of total PICALM.

          靶标信息

          PICALM, also known as the clathrin assembly lymphoid myeloid leukemia (CALM) protein, co-localizes with clathrin at clathrin-coated areas of the plasma membrane and in the Golgi area, and is thought to be an important component of the coated pit internalization machinery. Fusion proteins involving PICALM have been implicated in acute myeloid and T-cell acute lymphoblastic leukemia. PICALM is also expressed in neurons and is present at the synapse where it facilitates the endocytosis of the synaptic vesicle protein VAMP2. Recent studies have identified variants of PICALM associated with Alzheimer's disease and have suggested this protein may play a role in the endocytosis and recycling of the amyloid protein precursor (APP).

          仅用于科研。不用于诊断过程。未经明确授权不得转售。

          篇参考文献 (0)

          您是否在文献中引用过该产品?请点击下方按钮邮件告知我们。
          引用该产品

          生物信息学

          蛋白别名: CALM; Clathrin assembly lymphoid myeloid leukemia; Clathrin assembly lymphoid myeloid leukemia protein; clathrin-assembly lymphoid leukemia protein; clathrin-assembly lymphoid myeloid leukemia protein; Phosphatidylinositol-binding clathrin assembly protein; rCALM; unnamed protein product

          查看更多 收起

          基因别名: CALM; CLTH; fit-1; Fit1; LAP; mKIAA4114; PAP180; PICALM

          查看更多 收起

          UniProt ID: (Human) Q13492, (Mouse) Q7M6Y3, (Rat) O55012

          查看更多 收起

          Entrez Gene ID: (Human) 8301, (Mouse) 233489, (Rat) 89816

          查看更多 收起

          功能
          SNARE binding beta-amyloid binding protein binding phospholipid binding 1-phosphatidylinositol binding phosphatidylinositol-4,5-bisphosphate binding clathrin binding small GTPase binding clathrin heavy chain binding cadherin binding tau protein binding low-density lipoprotein particle receptor binding SH3 domain binding clathrin adaptor activity identical protein binding vesicle coat protein
          参与通路
          cellular iron ion homeostasis endocytosis receptor-mediated endocytosis membrane budding axonogenesis learning or memory negative regulation of gene expression synaptic vesicle maturation vesicle-mediated transport endosomal transport hemopoiesis regulation of endocytosis receptor internalization regulation of protein localization cargo loading into vesicle positive regulation of transcription, DNA-templated positive regulation of Ras protein signal transduction regulation of receptor-mediated endocytosis negative regulation of receptor-mediated endocytosis clathrin coat assembly dendrite morphogenesis multicellular organismal iron ion homeostasis protein-containing complex assembly clathrin-mediated endocytosis regulation of vesicle size membrane bending amyloid-beta clearance by transcytosis regulation of beta-amyloid formation positive regulation of beta-amyloid formation regulation of amyloid precursor protein catabolic process positive regulation of amyloid precursor protein catabolic process negative regulation of protein localization to plasma membrane negative regulation of protein localization to cell surface multicellular organism development cell proliferation regulation of protein transport iron ion homeostasis iron ion import into cell positive regulation of neuron death regulation of aspartic-type endopeptidase activity involved in amyloid precursor protein catabolic process positive regulation of aspartic-type endopeptidase activity involved in amyloid precursor protein catabolic process negative regulation of metalloendopeptidase activity involved in amyloid precursor protein catabolic process
          It has to be done as per old AB suggested Products section.

          Disclaimer

          Close

          Clicking the images or links will redirect you to a website hosted by BenchSci that provides third-party scientific content. Neither the content nor the BenchSci technology and processes for selection have been evaluated by us; we are providing them as-is and without warranty of any kind, including for use or application of the Thermo Fisher Scientific products presented.

          guarantee_icon

          性能保障

          只要您发现Invitrogen抗体在实验中的表现与网站或说明书的所述内容不符,您即可享受免费退换货服务。*

          了解更多
          help_icon

          随时为您服务

          获取常见问题的专家解答,或者直接联系我们的技术专家,咨询应用、设备、常规产品使用问题。

          联系技术支持
          订购 Plus Icon Minus Icon
          • 订单状态查询
          • 订单支持
          • 货号直购
          • 现货供应中心
          • 电子采购
          支持 Plus Icon Minus Icon
          • 帮助&支持
          • 联系我们 - 400 820 8982
          • 技术支持中心
          • 查找文件&证书
          • 报告网站问题
          资源 Plus Icon Minus Icon
          • 学习中心
          • 促销
          • 活动&研讨会
          • 社交媒体
          关于赛默飞 Plus Icon Minus Icon
          • 关于我们
          • 招聘 招聘
          • 投资者关系 投资者关系
          • 新闻 新闻
          • 社会责任 社会责任
          • 商标
          • 政策和通知
          品牌 Plus Icon Minus Icon
          • Thermo Scientific
          • Applied Biosystems
          • Invitrogen
          • Gibco
          • Ion Torrent
          • Unity Lab Services
          • Patheon
          • PPD
          • 服务条款
          • 隐私政策
          • 定价和运输保险政策
          © 2006-2026 Thermo Fisher Scientific Inc. All rights reserved. All trademarks are the property of Thermo Fisher Scientific and its subsidiaries unless otherwise specified.
          China flag icon
          China
          本网站销售的所有产品均不得用于人类或动物之临床诊断或治疗,仅可用于工业或者科研等非医疗目的。
             电子营业执照 | 经营证照公示 | ICP备案号:沪ICP备11003924号 | 沪公网安备 31011502006935号

          Your items have has been added!


          Host server : magellan-search-green-6479c7f679-v472f:80/100.66.78.195:80.
          git-commit: b70c0dceb888abc3b0dcebb5bc3a5b8753e7e816
          git-url: https://github.com/thermofisher/magellan-search
          git-branch: release/2.50.0-Offline