Hamburger Menu Button
Thermo Fisher Scientific Logo
登录
没有账号?建立账号 注册
  • 产品
    • 抗体
    • 引物合成
    • GeneArt Gene Synthesis Instant Designer
    • TaqMan Assay and Array Search
    • PCR 设备和耗材
    • 色谱柱和纯化柱
    • 实验室离心机
    • 分子生物学试剂和试剂盒
    • 实验室塑料耗材及用品
    • 查看所有产品分类
  • 应用和技术
    • 色谱
    • 细胞转染和培养
    • 实时荧光定量PCR
    • 质谱
    • 实验室塑料耗材及用品
    • 电子显微镜
    • 蛋白质生物学
    • PCR
    • RNAi
    • 环境
    • 查看所有应用和技术
  • 服务
    • 定制服务
    • 企业级实验室信息化服务
    • 金融&租赁服务
    • 仪器服务
    • OEM和商业供应
    • 培训服务
    • 360° CDMO 和 CRO 服务
    • CDMO 服务
    • 临床试验 CRO 服务
    • Unity Lab Services
    • 查看所有帮助和支持
  • 帮助和支持
    • 学习中心
    • 联系我们
    • 更改国家或地区
    • 查看所有帮助和支持
  • 热门产品
    • TaqMan Real-Time PCR Assays
      TaqMan 实时荧光定量 PCR 试剂盒
    • Antibodies
      抗体
    • Oligos, Primers & Probes
      寡核苷酸、引物、探针
    • GeneArt Gene Synthesis
      GeneArt 基因合成
    • Cell Culture Plastics
      细胞培养耗材
  • Who We Serve
    • 抗体治疗解决方案
    • 细胞与基因治疗解决方案
    • 学术科研
    • 工业与应用
  • 联系我们
  • 货号直购
  • 订单查询
  • 查找文件&证书
Thermo Fisher Scientific Logo

Search

搜索全部或下列指定分类
Search button
          • 联系我们
          • 货号直购
          • 登录
            登录
            没有账号?建立账号 注册
            • 我的账号
            • 订单
            • 账单及发票查询
            • 定制产品及项目
          • Primary Antibodies ›
          • Cathelicidin Antibodies

          Proteintech

          CAMP Polyclonal Antibody

          5 篇参考文献
          查看其他22个Cathelicidin抗体

          {{$productOrderCtrl.translations['antibody.pdp.commerceCard.promotion.promotions']}}

          {{$productOrderCtrl.translations['antibody.pdp.commerceCard.promotion.viewpromo']}}

          {{$productOrderCtrl.translations['antibody.pdp.commerceCard.promotion.promocode']}}: {{promo.promoCode}} {{promo.promoTitle}} {{promo.promoDescription}}. {{$productOrderCtrl.translations['antibody.pdp.commerceCard.promotion.learnmore']}}

          说明书
          证书
          实验方案
          问题与答案
          技术支持
          说明书
          证书
          实验方案
          问题与答案
          技术支持
          说明书
          证书
          实验方案
          问题与答案
          技术支持

          Cite CAMP Polyclonal Antibody

          Additional Information:
          {{banner.description}}
          {{$ctrl.isSkuNotesCollapsed ? 'View more' : 'View less'}}
          • 抗体检测数据 (9)
          CAMP Antibody in Immunocytochemistry (ICC/IF)
          Group 53 Created with Sketch.
          CAMP Antibody in Immunocytochemistry (ICC/IF)
          Group 53 Created with Sketch.

          图: 1 / 9

          {{ $ctrl.currentElement.advancedVerification.fullName }}
          {{ $ctrl.currentElement.advancedVerification.text }}

          CAMP Antibody (12009-1-AP) in ICC/IF

          Immunofluorescent analysis of ( -20°C Ethanol ) fixed HeLa cells using 12009-1-AP (CAMP antibody) at dilution of 1:50 and Alexa Fluor 488-conjugated AffiniPure Goat Anti-Rabbit IGG (H+L). {{ $ctrl.currentElement.advancedVerification.fullName }} 验证信息 View more
          已发表图片由___提供 benchsci-logo
          PMID: {{$ctrl.currentElement.benchSciPubmedId}}
          查看产品

          {{$ctrl.videoDesc}}

          {{$ctrl.videoLongDesc}}

          CAMP Antibody in Immunocytochemistry (ICC/IF)
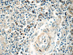
          CAMP Antibody in Immunohistochemistry (Paraffin) (IHC (P))
          CAMP Antibody in Immunohistochemistry (Paraffin) (IHC (P))
          CAMP Antibody in Immunohistochemistry (Paraffin) (IHC (P))
          CAMP Antibody in Immunohistochemistry (Paraffin) (IHC (P))
          CAMP Antibody in Immunohistochemistry (Paraffin) (IHC (P))
          CAMP Antibody in Immunohistochemistry (Paraffin) (IHC (P))
          CAMP Antibody in Western Blot (WB)
          CAMP Antibody in Western Blot (WB)
          CAMP Polyclonal Antibody

          产品信息

          12009-1-AP

          应用
          建议稀释比
          已发表文章

          免疫印迹 (WB)

          1:200-1:1,000
          查看4篇已发表文章 4篇已发表文章

          免疫组化 (IHC)

          -
          查看1篇已发表文章 1篇已发表文章

          免疫组化(石蜡) (IHC (P))

          1:20-1:200
          -

          免疫细胞化学 (ICC/IF)

          1:50-1:500
          -
          产品规格

          种属反应

          Human, Mouse

          宿主/亚型

          Rabbit / IgG

          分类

          Polyclonal

          类型

          Antibody

          抗原

          CAMP Fusion Protein Ag2622 (1-170 aa encoded by BC055089)
          3D表位/免疫原

          偶联物

          Unconjugated Unconjugated Unconjugated

          形式

          Liquid

          浓度

          0.22 mg/mL

          规格

          33 µg

          纯化类型

          Antigen affinity chromatography

          保存液

          PBS, pH 7.3, with 50% glycerol

          内含物

          0.02% sodium azide

          保存条件

          -20°C

          运输条件

          Wet ice (domestic); Dry ice (international)

          产品详细信息

          This antibody can recognize all the proprotein and cleaved species.

          Immunogen sequence: MKTQRDGHS LGRWSLVLLL LGLVMPLAII AQVLSYKEAV LRAIDGINQR SSDANLYRLL DLDPRPTMDG DPDTPKPVSF TVKETVCPRT TQQSPEDCDF KKDGLVKRCM GTVTLNQARG SFDISCDKDN KRFALLGDFF RKSKEKIGKE FKRIVQRIKD FLRNLVPRTE S (1-170 aa encoded by BC055089)

          靶标信息

          Cathelicidin is an epithelial-derived antimicrobial protein found in specific granules of polymorphonuclear leukocytes of bone marrow, testis and neutrophils. Cathelicidins are one family of antimicrobial peptides characterized by conserved pro-peptide sequences that have been identified in epithelial tissues and some myeloid cells of humans and animals. LL-37/hCAP-18 is the only Cathelicidin found in humans and is expressed in inflammatory and epithelial cells. The presence of these molecules is essential for defense against invasive bacterial infection in skin. Besides their direct antimicrobial function, Cathelicidins have multiple roles in mediating innate and adaptive immunity, such as endotoxin neutralizing, angiogenesis, wound healing and promoting neutrophil chemotaxis and mast cell recruitment. Cathelicidin antimicrobial peptides qualify as prototypes of innovative drugs that may be used to treat infection and/or modulate the immune response.

          仅用于科研。不用于诊断过程。未经明确授权不得转售。

          生物信息学

          蛋白别名: 18 kDa cationic antimicrobial protein; CAMP; CAP-18; Cathelicidin antimicrobial peptide; Cathelin-like protein; cathelin-related antimicrobial peptide; CLP; epididymis secretory sperm binding protein; hCAP-18; hCAP18

          查看更多 收起

          基因别名: CAMP; CAP-18; CAP18; Cnlp; CRAMP; FALL-39; FALL39; HSD26; LL37; MCLP

          查看更多 收起

          UniProt ID: (Human) P49913, (Mouse) P51437

          查看更多 收起

          Entrez Gene ID: (Human) 820, (Mouse) 12796

          查看更多 收起

          功能
          lipopolysaccharide binding protein binding antimicrobial response protein
          参与通路
          response to yeast innate immune response in mucosa immune system process prostaglandin production involved in inflammatory response chronic inflammatory response positive regulation of antimicrobial humoral response defense response positive regulation of cell proliferation response to glucose leukotriene biosynthetic process antibacterial humoral response antifungal humoral response cytolysis positive regulation of granulocyte macrophage colony-stimulating factor production positive regulation of interleukin-1 beta production positive regulation of interleukin-8 production positive regulation of tumor necrosis factor production positive regulation of insulin secretion involved in cellular response to glucose stimulus modification of morphology or physiology of other organism neutrophil activation defense response to bacterium negative regulation of apoptotic process innate immune response positive regulation of angiogenesis defense response to Gram-negative bacterium defense response to Gram-positive bacterium cytolysis by host of symbiont cells killing by host of symbiont cells antimicrobial humoral immune response mediated by antimicrobial peptide cellular response to lipopolysaccharide cellular response to peptidoglycan cellular response to interleukin-1 cellular response to interleukin-6 cellular response to tumor necrosis factor cellular response to exogenous dsRNA positive regulation of monocyte chemotactic protein-1 production positive regulation of macrophage inflammatory protein 1 alpha production dentinogenesis cellular response to butyrate amyloid fibril formation positive regulation of protein phosphorylation negative regulation of growth of symbiont in host negative regulation of growth of symbiont on or near host surface
          It has to be done as per old AB suggested Products section.

          Disclaimer

          Close

          Clicking the images or links will redirect you to a website hosted by BenchSci that provides third-party scientific content. Neither the content nor the BenchSci technology and processes for selection have been evaluated by us; we are providing them as-is and without warranty of any kind, including for use or application of the Thermo Fisher Scientific products presented.

          guarantee_icon

          性能保障

          只要您发现Invitrogen抗体在实验中的表现与网站或说明书的所述内容不符,您即可享受免费退换货服务。*

          了解更多
          help_icon

          随时为您服务

          获取常见问题的专家解答,或者直接联系我们的技术专家,咨询应用、设备、常规产品使用问题。

          联系技术支持
          订购 Plus Icon Minus Icon
          • 订单状态查询
          • 订单支持
          • 货号直购
          • 现货供应中心
          • 电子采购
          支持 Plus Icon Minus Icon
          • 帮助&支持
          • 联系我们 - 400 820 8982
          • 技术支持中心
          • 查找文件&证书
          • 报告网站问题
          资源 Plus Icon Minus Icon
          • 学习中心
          • 促销
          • 活动&研讨会
          • 社交媒体
          关于赛默飞 Plus Icon Minus Icon
          • 关于我们
          • 招聘 招聘
          • 投资者关系 投资者关系
          • 新闻 新闻
          • 社会责任 社会责任
          • 商标
          • 政策和通知
          品牌 Plus Icon Minus Icon
          • Thermo Scientific
          • Applied Biosystems
          • Invitrogen
          • Gibco
          • Ion Torrent
          • Unity Lab Services
          • Patheon
          • PPD
          • 服务条款
          • 隐私政策
          • 定价和运输保险政策
          © 2006-2026 Thermo Fisher Scientific Inc. All rights reserved. All trademarks are the property of Thermo Fisher Scientific and its subsidiaries unless otherwise specified.
          China flag icon
          China
          本网站销售的所有产品均不得用于人类或动物之临床诊断或治疗,仅可用于工业或者科研等非医疗目的。
             电子营业执照 | 经营证照公示 | ICP备案号:沪ICP备11003924号 | 沪公网安备 31011502006935号

          Your items have has been added!


          Host server : magellan-search-blue-744bc48644-fvx7n:80/100.66.78.247:80.
          git-commit: 747bde55a712f6f97bf7760408d445eefba4e16f
          git-url: https://github.com/thermofisher/magellan-search
          git-branch: release/2.48.0-Offline