Hamburger Menu Button
Thermo Fisher Scientific Logo
登录
没有账号?建立账号 注册
  • 产品
    • 抗体
    • 引物合成
    • GeneArt Gene Synthesis Instant Designer
    • TaqMan Assay and Array Search
    • PCR 设备和耗材
    • 色谱柱和纯化柱
    • 实验室离心机
    • 分子生物学试剂和试剂盒
    • 实验室塑料耗材及用品
    • 查看所有产品分类
  • 应用和技术
    • 色谱
    • 细胞转染和培养
    • 实时荧光定量PCR
    • 质谱
    • 实验室塑料耗材及用品
    • 电子显微镜
    • 蛋白质生物学
    • PCR
    • RNAi
    • 环境
    • 查看所有应用和技术
  • 服务
    • 定制服务
    • 企业级实验室信息化服务
    • 企业服务
    • 金融&租赁服务
    • 仪器服务
    • OEM和商业供应
    • 培训服务
    • 360° CDMO 和 CRO 服务
    • CDMO 服务
    • 临床试验 CRO 服务
    • 查看所有帮助和支持
  • 帮助和支持
    • 学习中心
    • 联系我们
    • 更改国家或地区
    • 查看所有帮助和支持
  • 热门产品
    • TaqMan Real-Time PCR Assays
      TaqMan 实时荧光定量 PCR 试剂盒
    • Antibodies
      抗体
    • Oligos, Primers & Probes
      寡核苷酸、引物、探针
    • GeneArt Gene Synthesis
      GeneArt 基因合成
    • Cell Culture Plastics
      细胞培养耗材
  • 联系我们
  • 货号直购
  • 订单查询
  • 查找文件&证书
Thermo Fisher Scientific Logo

Search

搜索全部或下列指定分类
Search button
          • 联系我们
          • 货号直购
          • 登录
            登录
            没有账号?建立账号 注册
            • 我的账号
            • 订单
            • 账单及发票查询
            • 定制产品及项目

          Disclaimer

          Clicking the images or links will redirect you to a website hosted by BenchSci that provides third-party scientific content. Neither the content nor the BenchSci technology and processes for selection have been evaluated by us; we are providing them as-is and without warranty of any kind, including for use or application of the Thermo Fisher Scientific products presented.

          • Primary Antibodies ›
          • CCKAR Antibodies

          Invitrogen

          CCKAR Polyclonal Antibody

          5个已发表图片
          4 篇参考文献
          查看其他11个CCKAR抗体

          {{$productOrderCtrl.translations['antibody.pdp.commerceCard.promotion.promotions']}}

          {{$productOrderCtrl.translations['antibody.pdp.commerceCard.promotion.viewpromo']}}

          {{$productOrderCtrl.translations['antibody.pdp.commerceCard.promotion.promocode']}}: {{promo.promoCode}} {{promo.promoTitle}} {{promo.promoDescription}}. {{$productOrderCtrl.translations['antibody.pdp.commerceCard.promotion.learnmore']}}

          说明书
          证书
          实验方案
          问题与答案
          技术支持
          说明书
          证书
          实验方案
          问题与答案
          技术支持
          说明书
          证书
          实验方案
          问题与答案
          技术支持

          Cite CCKAR Polyclonal Antibody

          • 抗体检测数据 (3)
          • 已发表图片 (5)
          CCKAR Antibody in Immunocytochemistry (ICC/IF)
          Group 53 Created with Sketch.
          CCKAR Antibody in Immunocytochemistry (ICC/IF)
          Group 53 Created with Sketch.

          图: 1 / 8

          {{ $ctrl.currentElement.advancedVerification.fullName }}
          {{ $ctrl.currentElement.advancedVerification.text }}

          CCKAR Antibody (PA3-116) in ICC/IF

          Immunofluorescence analysis of CCK-A Receptor was performed using 70% confluent log phase PANC-1 cells. The cells were fixed with 4% paraformaldehyde for 10 minutes, permeabilized with 0.1% Triton™ X-100 for 10 minutes, and blocked with 1% BSA for 1 hour at room temperature. The cells were labeled with CCKAR Rabbit Polyclonal Antibody (Product # PA3-116) at 1:250 dilution in 0.1% BSA and incubated for 3 hours at room temperature and then labeled with Goat anti-Rabbit IgG (Heavy Chain) Superclonal™ Secondary Antibody, Alexa Fluor® 488 conju... View More {{ $ctrl.currentElement.advancedVerification.fullName }} 验证信息 View more
          已发表图片由___提供 benchsci-logo
          PMID: {{$ctrl.currentElement.benchSciPubmedId}}
          查看产品

          {{$ctrl.videoDesc}}

          {{$ctrl.videoLongDesc}}

          CCKAR Antibody in Immunocytochemistry (ICC/IF)
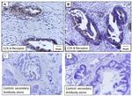
          CCKAR Antibody in Immunohistochemistry (IHC)
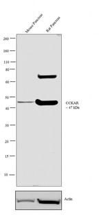
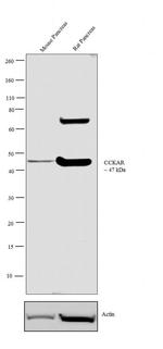
          CCKAR Antibody in Western Blot (WB)
          CCKAR Antibody in Immunocytochemistry (ICC/IF)
          CCKAR Antibody in Immunohistochemistry (Paraffin) (IHC (P))
          CCKAR Antibody in Immunohistochemistry (Paraffin) (IHC (P))
          CCKAR Antibody in Immunohistochemistry (IHC)
          CCKAR Antibody in Immunohistochemistry (IHC)
          CCKAR Polyclonal Antibody

          产品信息

          PA3-116

          应用
          建议稀释比
          已发表文章

          免疫印迹 (WB)

          1:500-1:2,000
          -

          免疫组化 (IHC)

          -
          查看2篇已发表文章 2篇已发表文章

          免疫组化(石蜡) (IHC (P))

          1:500
          查看1篇已发表文章 1篇已发表文章

          免疫细胞化学 (ICC/IF)

          1:250
          查看1篇已发表文章 1篇已发表文章
          产品规格

          种属反应

          Human

          已发表种属

          Mouse

          宿主/亚型

          Rabbit / IgG

          分类

          Polyclonal

          类型

          Antibody

          抗原

          Synthetic peptide, KLH conjugated, corresponding to the residues T(409) G A S L S R F S Y S H M S A S V P P Q (428) of human CCK1 receptor.
          查看免疫原

          偶联物

          Unconjugated Unconjugated Unconjugated

          形式

          Liquid

          浓度

          Conc. Not Determined

          保存液

          whole serum

          内含物

          0.05% sodium azide

          保存条件

          -20°C, Avoid Freeze/Thaw Cycles

          运输条件

          Ambient (domestic); Wet ice (international)

          RRID

          AB_2072495

          产品详细信息

          PA3-116 detects CCK1-Receptor in human samples.

          PA3-116 has been successfully used in Western blot, immunocytochemistry and immunohistochemistry procedures. By Western blot, this antibody detects an ~80-90 kDa protein representing CCK1-Receptor in human samples. In immunohistochemistry, PAC1 immunoreactivity is predominantly localized at the plasma membrane and in cells of the gastric mucosa, myenteric ganglion cells, myenteric nerve fibers in the gasrtointestinal tract.

          PA3-116 immunogen is a synthetic peptide, KLH conjugated, corresponding to the residues T(409) G A S L S R F S Y S H M S A S V P P Q (428) of human VPAC2 receptor.

          靶标信息

          This gene encodes a G-protein coupled receptor that binds non-sulfated members of the cholecystokinin family of peptide hormones. This receptor is a major physiologic mediator of pancreatic enzyme secretion and smooth muscle contraction of the gallbladder and stomach. In the central and peripheral nervous system this receptor regulates satiety and the release of beta-endorphin and dopamine.

          仅用于科研。不用于诊断过程。未经明确授权不得转售。

          生物信息学

          蛋白别名: CCK-A receptor; CCK-AR; CCK1-R; ccka receptor; Cholecystokinin receptor type A; cholecystokinin type-A receptor; Cholecystokinin-1 receptor; HGNC:1570

          查看更多 收起

          基因别名: CCK-A; CCK1-R; CCK1R; CCKAR; CCKRA

          查看更多 收起

          UniProt ID: (Human) P32238

          查看更多 收起

          Entrez Gene ID: (Human) 886

          查看更多 收起

          功能
          cholecystokinin receptor activity G-protein coupled receptor
          参与通路
          temperature homeostasis gastric acid secretion neuron migration reduction of food intake in response to dietary excess phospholipase C-activating G-protein coupled receptor signaling pathway positive regulation of cytosolic calcium ion concentration axonogenesis response to nutrient digestion feeding behavior response to radiation response to heat insulin secretion pancreatic juice secretion forebrain development pancreas development organ regeneration actin cytoskeleton reorganization response to lipopolysaccharide cellular response to hormone stimulus cholecystokinin signaling pathway response to starvation regulation of potassium ion transport regulation of hormone secretion response to glucocorticoid regulation of calcium ion transport positive regulation of somatostatin secretion
          It has to be done as per old AB suggested Products section.
          guarantee_icon

          性能保障

          只要您发现Invitrogen抗体在实验中的表现与网站或说明书的所述内容不符,您即可享受免费退换货服务。*

          了解更多
          help_icon

          随时为您服务

          获取常见问题的专家解答,或者直接联系我们的技术专家,咨询应用、设备、常规产品使用问题。

          联系技术支持
          订购 Plus Icon Minus Icon
          • 订单状态查询
          • 订单支持
          • 货号直购
          • 现货供应中心
          • 电子采购
          支持 Plus Icon Minus Icon
          • 帮助&支持
          • 联系我们 - 400 820 8982
          • 技术支持中心
          • 查找文件&证书
          • 报告网站问题
          资源 Plus Icon Minus Icon
          • 学习中心
          • 促销
          • 活动&研讨会
          • 社交媒体
          关于赛默飞 Plus Icon Minus Icon
          • 关于我们
          • 招聘 招聘
          • 投资者关系 投资者关系
          • 新闻 新闻
          • 社会责任 社会责任
          • 商标
          • 政策和通知
          品牌 Plus Icon Minus Icon
          • Thermo Scientific
          • Applied Biosystems
          • Invitrogen
          • Gibco
          • Ion Torrent
          • Patheon
          • PPD
          • 服务条款
          • 隐私政策
          • 定价和运输保险政策
          © 2006-2026 Thermo Fisher Scientific Inc. All rights reserved. All trademarks are the property of Thermo Fisher Scientific and its subsidiaries unless otherwise specified.
          China flag icon
          China
          本网站销售的所有产品均不得用于人类或动物之临床诊断或治疗,仅可用于工业或者科研等非医疗目的。
             电子营业执照 | 经营证照公示 | ICP备案号:沪ICP备11003924号 | 沪公网安备 31011502006935号

          Your items have has been added!


          Host server : magellan-search-blue-55ff9ddd88-89x45:80/100.66.77.245:80.
          git-commit: d366ff9721d93504b2ac26a183b2b3e3d0e7d9ec
          git-url: https://github.com/thermofisher/magellan-search
          git-branch: release/2.42.0-2026.01.03-1.0