Hamburger Menu Button
Thermo Fisher Scientific Logo
登录
没有账号?建立账号 注册
  • 产品
    • 抗体
    • 引物合成
    • GeneArt Gene Synthesis Instant Designer
    • TaqMan Assay and Array Search
    • PCR 设备和耗材
    • 色谱柱和纯化柱
    • 实验室离心机
    • 分子生物学试剂和试剂盒
    • 实验室塑料耗材及用品
    • 查看所有产品分类
  • 应用和技术
    • 色谱
    • 细胞转染和培养
    • 实时荧光定量PCR
    • 质谱
    • 实验室塑料耗材及用品
    • 电子显微镜
    • 蛋白质生物学
    • PCR
    • RNAi
    • 环境
    • 查看所有应用和技术
  • 服务
    • 定制服务
    • 企业级实验室信息化服务
    • 金融&租赁服务
    • 仪器服务
    • OEM和商业供应
    • 培训服务
    • 360° CDMO 和 CRO 服务
    • CDMO 服务
    • 临床试验 CRO 服务
    • Unity Lab Services
    • 查看所有帮助和支持
  • 帮助和支持
    • 学习中心
    • 联系我们
    • 更改国家或地区
    • 查看所有帮助和支持
  • 热门产品
    • TaqMan Real-Time PCR Assays
      TaqMan 实时荧光定量 PCR 试剂盒
    • Antibodies
      抗体
    • Oligos, Primers & Probes
      寡核苷酸、引物、探针
    • GeneArt Gene Synthesis
      GeneArt 基因合成
    • Cell Culture Plastics
      细胞培养耗材
  • Who We Serve
    • 抗体治疗解决方案
    • 细胞与基因治疗解决方案
    • 学术科研
    • 工业与应用
  • 联系我们
  • 货号直购
  • 订单查询
  • 查找文件&证书
Thermo Fisher Scientific Logo

Search

搜索全部或下列指定分类
Search button
          • 联系我们
          • 货号直购
          • 登录
            登录
            没有账号?建立账号 注册
            • 我的账号
            • 订单
            • 会员中心
            • 账单及发票查询
            • 定制产品及项目
          • Primary Antibodies ›
          • CCR2 (CD192) Antibodies

          Invitrogen

          CCR2 Recombinant Rabbit Monoclonal Antibody (SN707)

          3个已发表图片
          4 篇参考文献
          查看其他28个CCR2 (CD192)抗体

          {{$productOrderCtrl.translations['antibody.pdp.commerceCard.promotion.promotions']}}

          {{$productOrderCtrl.translations['antibody.pdp.commerceCard.promotion.viewpromo']}}

          {{$productOrderCtrl.translations['antibody.pdp.commerceCard.promotion.promocode']}}: {{promo.promoCode}} {{promo.promoTitle}} {{promo.promoDescription}}. {{$productOrderCtrl.translations['antibody.pdp.commerceCard.promotion.learnmore']}}

          说明书
          证书
          实验方案
          问题与答案
          技术支持
          说明书
          证书
          实验方案
          问题与答案
          技术支持
          说明书
          证书
          实验方案
          问题与答案
          技术支持

          Cite CCR2 Recombinant Rabbit Monoclonal Antibody (SN707)

          Additional Information:
          {{banner.description}}
          {{$ctrl.isSkuNotesCollapsed ? 'View more' : 'View less'}}
          • 抗体检测数据 (4)
          • 已发表图片 (3)
          CCR2 Antibody in Flow Cytometry (Flow)
          Group 53 Created with Sketch.
          CCR2 Antibody in Flow Cytometry (Flow)
          Group 53 Created with Sketch.

          图: 1 / 7

          {{ $ctrl.currentElement.advancedVerification.fullName }}
          {{ $ctrl.currentElement.advancedVerification.text }}

          CCR2 Antibody (MA5-41175) in Flow

          Flow Cytometry analysis of CCR2-CD192- in K562 cells. The cells were fixed, permeabilized and stained with CCR2 Recombinant Monoclonal Antibody (Product # MA5-41175) at a dilution of 1:50 (red). After incubation of the primary antibody at room temperature for an hour, the cells were stained with a Alexa Fluor 488-conjugated Goat anti-Rabbit IgG Secondary antibody at 1:1,000 dilution for 30 minutes. Unlabelled sample was used as a control (cells without incubation with primary antibody; black). {{ $ctrl.currentElement.advancedVerification.fullName }} 验证信息 View more
          已发表图片由___提供 benchsci-logo
          PMID: {{$ctrl.currentElement.benchSciPubmedId}}
          查看产品

          {{$ctrl.videoDesc}}

          {{$ctrl.videoLongDesc}}

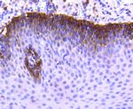
          CCR2 Antibody in Immunohistochemistry (Paraffin) (IHC (P))
          CCR2 Antibody in Immunohistochemistry (Paraffin) (IHC (P))
          CCR2 Antibody in Western Blot (WB)
          CCR2 Antibody in Flow Cytometry (Flow)
          CCR2 Antibody in Immunocytochemistry (ICC/IF)
          CCR2 Antibody in Western Blot (WB)
          CCR2 Antibody in Western Blot (WB)
          CCR2 Recombinant Rabbit Monoclonal Antibody (SN707)

          产品信息

          MA5-41175

          应用
          建议稀释比
          已发表文章

          免疫印迹 (WB)

          1:2,000
          查看2篇已发表文章 2篇已发表文章

          免疫组化(石蜡) (IHC (P))

          1:500
          -

          免疫组织化学(多聚甲醛固定) (IHC (PFA))

          -
          查看1篇已发表文章 1篇已发表文章

          免疫细胞化学 (ICC/IF)

          -
          查看1篇已发表文章 1篇已发表文章

          流式细胞分析 (Flow)

          1:500-1:1,000
          -
          产品规格

          种属反应

          Human, Mouse

          已发表种属

          Mouse

          宿主/亚型

          Rabbit / IgG

          Expression System

          HEK293 cells

          分类

          Recombinant Monoclonal

          类型

          Antibody

          克隆号

          SN707

          抗原

          Synthetic peptide within N-terminal human CCR2.
          3D表位/免疫原

          偶联物

          Unconjugated Unconjugated Unconjugated

          形式

          Liquid

          浓度

          1.045 mg/mL

          规格

          104.5 µg

          纯化类型

          Protein A

          保存液

          TBS, pH 7.4, with 0.05% BSA, 40% glycerol

          内含物

          0.05% sodium azide

          保存条件

          Store at 4°C short term. For long term storage, store at -20°C, avoiding freeze/thaw cycles.

          运输条件

          Ambient (domestic); Wet ice (international)

          RRID

          AB_2898929

          靶标信息

          CCR2, a chemokine receptor, is a regulator of monocyte/macrophage traffickings and is upregulated in response to inflammation. Resistance to HIV-1 infection or delayed progression to AIDS may be linked to CCR2 polymorphisms. The ligand for CCR2 is monocyte chemoattractant protein (MCP-1), a chemokine produced by endothelial cells, smooth muscle cells, and macrophages. Activation of monocytes by MCP-1 may mediate the monocytic infiltration of tissues in atherosclerosis and other inflammatory disorders including rheumatoid arthritis, alveolitis, and tumor infiltration. Two isoforms are produced by alternative splicing. CCR2 has been reported to be expressed in a wide variety of tissues, including blood, brain, heart, kidney, liver, lung, ovary, pancreas, spinal cord, spleen, thymus, and vessel. Increased expression of CCR2 has been documented in CD3+ lymphocytes in rheumatoid arthritis. ESTs have been isolated from liver/spleen and prostate libraries.

          仅用于科研。不用于诊断过程。未经明确授权不得转售。

          生物信息学

          蛋白别名: C-C chemokine receptor type 2; C-C CHEMOKINE RECEPTOR TYPE 2 (C-C CKR-2) (CC-CKR-2) (CCR-2) (CCR2) (JE/FIC RECEPTOR) (MCP-1 RECEPTOR); C-C CKR-2; Cc-ckr2; CCR-2; CD192; CD192 antigen; chemoattractant protein-1 receptor; chemokine (C-C motif) receptor 2; chemokine (C-C) receptor 2; hCG_14621; JE/FIC receptor; MCP-1 receptor; MCP-1-R; Mcp1 receptor; Mcp1r; MIP-1 alphaR; Monocyte chemoattractant protein 1 receptor; monocyte chemotactic protein 1 receptor; unnamed protein product

          查看更多 收起

          基因别名: CC-CKR-2; CCR-2; CCR2; CCR2A; CCR2B; CD192; CKR2; CKR2A; CKR2B; CMKBR2; MCP-1-R; mJe-r; PCLUD

          查看更多 收起

          UniProt ID: (Human) P41597, (Mouse) P51683

          查看更多 收起

          Entrez Gene ID: (Human) 729230, (Mouse) 12772

          查看更多 收起

          功能
          G-protein coupled receptor activity chemokine receptor activity protein binding C-C chemokine receptor activity cytokine binding C-C chemokine binding CCR2 chemokine receptor binding chemokine (C-C motif) ligand 2 binding chemokine (C-C motif) ligand 12 binding chemokine (C-C motif) ligand 7 binding identical protein binding signal transducer activity
          参与通路
          blood vessel remodeling dendritic cell chemotaxis monocyte chemotaxis regulation of T cell cytokine production positive regulation of T-helper 1 type immune response negative regulation of type 2 immune response cellular calcium ion homeostasis chemotaxis inflammatory response immune response humoral immune response cellular defense response signal transduction cell surface receptor signaling pathway G-protein coupled receptor signaling pathway negative regulation of adenylate cyclase activity positive regulation of cytosolic calcium ion concentration JAK-STAT cascade response to wounding regulation of vascular endothelial growth factor production positive regulation of T cell chemotaxis negative regulation of angiogenesis cytokine-mediated signaling pathway sensory perception of pain calcium-mediated signaling cellular homeostasis hemopoiesis positive regulation of interferon-gamma production positive regulation of interleukin-2 production positive regulation of tumor necrosis factor production monocyte extravasation T-helper 17 cell chemotaxis negative regulation of eosinophil degranulation regulation of T cell differentiation positive regulation of alpha-beta T cell proliferation homeostasis of number of cells within a tissue regulation of inflammatory response positive regulation of inflammatory response positive regulation of T cell activation positive regulation of synaptic transmission, glutamatergic cell chemotaxis leukocyte adhesion to vascular endothelial cell chemokine-mediated signaling pathway cellular response to cytokine stimulus regulation of mononuclear cell migration positive regulation of monocyte chemotaxis positive regulation of immune complex clearance by monocytes and macrophages inflammatory response to wounding neutrophil clearance positive regulation of cold-induced thermogenesis positive regulation of glutamate receptor signaling pathway positive regulation of leukocyte tethering or rolling macrophage migration regulation of macrophage migration regulation of T cell migration positive regulation of thymocyte migration positive regulation of monocyte extravasation positive regulation of CD8-positive, alpha-beta T cell extravasation positive regulation of astrocyte chemotaxis positive regulation of hematopoietic stem cell migration angiogenesis wound healing involved in inflammatory response regulation of cell migration positive regulation of tumor necrosis factor biosynthetic process apoptotic cell clearance positive regulation of T-helper 1 cell differentiation
          It has to be done as per old AB suggested Products section.

          Disclaimer

          Close

          Clicking the images or links will redirect you to a website hosted by BenchSci that provides third-party scientific content. Neither the content nor the BenchSci technology and processes for selection have been evaluated by us; we are providing them as-is and without warranty of any kind, including for use or application of the Thermo Fisher Scientific products presented.

          guarantee_icon

          性能保障

          只要您发现Invitrogen抗体在实验中的表现与网站或说明书的所述内容不符,您即可享受免费退换货服务。*

          了解更多
          help_icon

          随时为您服务

          获取常见问题的专家解答,或者直接联系我们的技术专家,咨询应用、设备、常规产品使用问题。

          联系技术支持
          订购 Plus Icon Minus Icon
          • 订单状态查询
          • 订单支持
          • 货号直购
          • 现货供应中心
          • 电子采购
          支持 Plus Icon Minus Icon
          • 帮助&支持
          • 联系我们 - 400 820 8982
          • 技术支持中心
          • 查找文件&证书
          • 报告网站问题
          资源 Plus Icon Minus Icon
          • 学习中心
          • 促销
          • 活动&研讨会
          • 社交媒体
          关于赛默飞 Plus Icon Minus Icon
          • 关于我们
          • 招聘 招聘
          • 投资者关系 投资者关系
          • 新闻 新闻
          • 社会责任 社会责任
          • 商标
          • 政策和通知
          品牌 Plus Icon Minus Icon
          • Thermo Scientific
          • Applied Biosystems
          • Invitrogen
          • Gibco
          • Ion Torrent
          • Unity Lab Services
          • Patheon
          • PPD
          • 服务条款
          • 隐私政策
          • 定价和运输保险政策
          © 2006-2026 Thermo Fisher Scientific Inc. All rights reserved. All trademarks are the property of Thermo Fisher Scientific and its subsidiaries unless otherwise specified.
          China flag icon
          China
          本网站销售的所有产品均不得用于人类或动物之临床诊断或治疗,仅可用于工业或者科研等非医疗目的。
             电子营业执照 | 经营证照公示 | ICP备案号:沪ICP备11003924号 | 沪公网安备 31011502006935号

          Your items have has been added!


          Host server : magellan-search-green-6479c7f679-2z78h:80/100.66.76.236:80.
          git-commit: b70c0dceb888abc3b0dcebb5bc3a5b8753e7e816
          git-url: https://github.com/thermofisher/magellan-search
          git-branch: release/2.50.0-Offline