Hamburger Menu Button
Thermo Fisher Scientific Logo
登录
没有账号?建立账号 注册
  • 产品
    • 抗体
    • 引物合成
    • GeneArt Gene Synthesis Instant Designer
    • TaqMan Assay and Array Search
    • PCR 设备和耗材
    • 色谱柱和纯化柱
    • 实验室离心机
    • 分子生物学试剂和试剂盒
    • 实验室塑料耗材及用品
    • 查看所有产品分类
  • 应用和技术
    • 色谱
    • 细胞转染和培养
    • 实时荧光定量PCR
    • 质谱
    • 实验室塑料耗材及用品
    • 电子显微镜
    • 蛋白质生物学
    • PCR
    • RNAi
    • 环境
    • 查看所有应用和技术
  • 服务
    • 定制服务
    • 企业级实验室信息化服务
    • 企业服务
    • 金融&租赁服务
    • 仪器服务
    • OEM和商业供应
    • 培训服务
    • 360° CDMO 和 CRO 服务
    • CDMO 服务
    • 临床试验 CRO 服务
    • 查看所有帮助和支持
  • 帮助和支持
    • 学习中心
    • 联系我们
    • 更改国家或地区
    • 查看所有帮助和支持
  • 热门产品
    • TaqMan Real-Time PCR Assays
      TaqMan 实时荧光定量 PCR 试剂盒
    • Antibodies
      抗体
    • Oligos, Primers & Probes
      寡核苷酸、引物、探针
    • GeneArt Gene Synthesis
      GeneArt 基因合成
    • Cell Culture Plastics
      细胞培养耗材
  • 联系我们
  • 货号直购
  • 订单查询
  • 查找文件&证书
Thermo Fisher Scientific Logo

Search

搜索全部或下列指定分类
Search button
          • 联系我们
          • 货号直购
          • 登录
            登录
            没有账号?建立账号 注册
            • 我的账号
            • 订单
            • 账单及发票查询
            • 定制产品及项目

          Disclaimer

          Clicking the images or links will redirect you to a website hosted by BenchSci that provides third-party scientific content. Neither the content nor the BenchSci technology and processes for selection have been evaluated by us; we are providing them as-is and without warranty of any kind, including for use or application of the Thermo Fisher Scientific products presented.

          • Primary Antibodies ›
          • CD103 (Integrin alpha E) Antibodies

          NeoBiotechnologies

          CD103/Integrin E7 Monoclonal Antibody (ITGAE, 2063)

          查看其他75个CD103 (Integrin alpha E)抗体

          {{$productOrderCtrl.translations['antibody.pdp.commerceCard.promotion.promotions']}}

          {{$productOrderCtrl.translations['antibody.pdp.commerceCard.promotion.viewpromo']}}

          {{$productOrderCtrl.translations['antibody.pdp.commerceCard.promotion.promocode']}}: {{promo.promoCode}} {{promo.promoTitle}} {{promo.promoDescription}}. {{$productOrderCtrl.translations['antibody.pdp.commerceCard.promotion.learnmore']}}

          说明书
          实验方案
          问题与答案
          技术支持
          说明书
          实验方案
          问题与答案
          技术支持
          说明书
          实验方案
          问题与答案
          技术支持

          Cite CD103/Integrin E7 Monoclonal Antibody (ITGAE, 2063)

          • 抗体检测数据 (5)
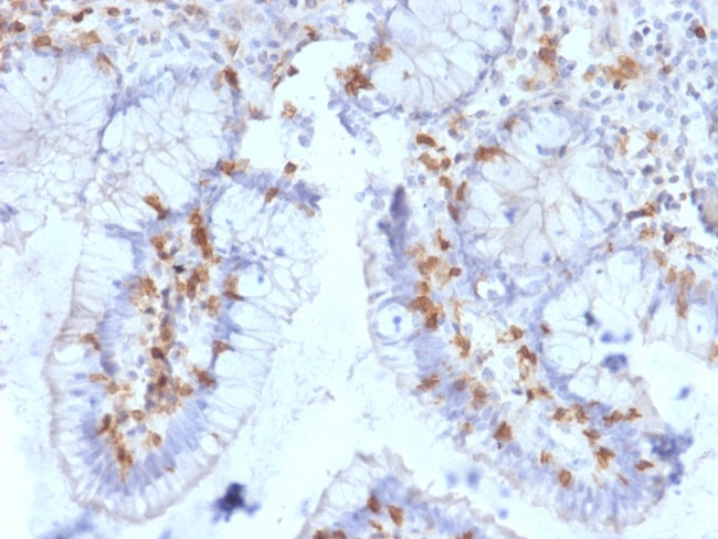
          CD103/Integrin E7 Antibody in Immunohistochemistry (Paraffin) (IHC (P))
          Group 53 Created with Sketch.
          CD103/Integrin E7 Antibody in Immunohistochemistry (Paraffin) (IHC (P))
          Group 53 Created with Sketch.

          图: 1 / 5

          {{ $ctrl.currentElement.advancedVerification.fullName }}
          {{ $ctrl.currentElement.advancedVerification.text }}

          CD103/Integrin E7 Antibody (3682-MSM3-P1ABX) in IHC (P)

          Immunohistochemistry (Paraffin) analysis performed in formalin fixed, paraffin-embedded human small intestine using CD103, Integrin E7 Monoclonal Antibody (Product # 3682-MSM3-P1ABX). {{ $ctrl.currentElement.advancedVerification.fullName }} 验证信息 View more
          已发表图片由___提供 benchsci-logo
          PMID: {{$ctrl.currentElement.benchSciPubmedId}}
          查看产品

          {{$ctrl.videoDesc}}

          {{$ctrl.videoLongDesc}}

          CD103/Integrin E7 Antibody in Immunohistochemistry (Paraffin) (IHC (P))
          CD103/Integrin E7 Antibody in Immunohistochemistry (Paraffin) (IHC (P))
          CD103/Integrin E7 Antibody in Immunohistochemistry (Paraffin) (IHC (P))
          CD103/Integrin E7 Antibody in Peptide array (ARRAY)
          CD103/Integrin E7 Antibody in SDS-PAGE (SDS-PAGE)

          产品信息

          3682-MSM3-P1ABX

          应用
          建议稀释比
          已发表文章

          免疫组化(石蜡) (IHC (P))

          1-2 µg/mL
          -

          肽阵列 (Array)

          Assay-dependent
          -
          产品规格

          种属反应

          Human

          宿主/亚型

          Mouse / IgG2c, kappa

          分类

          Monoclonal

          类型

          Antibody

          克隆号

          ITGAE, 2063

          抗原

          Recombinant human ITGAE protein fragment (around aa 775-855).

          偶联物

          Unconjugated Unconjugated Unconjugated

          形式

          Liquid

          浓度

          1 mg/mL

          纯化类型

          Protein A/G

          保存液

          PBS, pH 7.4

          内含物

          no preservative

          保存条件

          -20°C or -80°C if preferred

          运输条件

          Ambient (domestic); Wet ice (international)

          产品详细信息

          Immunohistochemistry (PFA fixed): incubate antibody for 30 min RT. Staining of formalin-fixed tissues requires heating tissue sections in 10mM Tris with 1mM EDTA, pH 9.0, for 45 min at 95 degrees C followed by cooling at RT for 20 minutes.

          靶标信息

          CD103, also known as ITGAE or Integrin alpha E, is a molecule that non-covalently associates with integrin beta 7 to form a heterodimeric integral membrane protein. This protein is part of the integrin family, characterized by an alpha chain and a beta chain. Specifically, CD103 includes a 150 kDa alpha chain and a 120 kDa beta chain, with the alpha integrin undergoing post-translational cleavage in the extracellular domain to yield disulfide-linked heavy and light chains. CD103 is primarily expressed on mucosa-associated T lymphocytes, intraepithelial lymphocytes (IELs), and activated cells, as well as a subset of TGF beta-1 cells. It is preferentially found in human intestinal IELs, where it plays a role in adhesion and may serve as an accessory molecule for IEL activation. CD103 binds to epithelial cell antigen E-cadherin, mediating the homing of lymphocytes to the intestinal epithelium. In peripheral blood and lymphoid organs, CD103 is expressed by 0.5 to 2% of resting lymphocytes, and its expression can be upregulated in vitro by stimulating human T cells with mitogens. CD103 is also expressed by hairy cell leukemia (HCL) and some chronic B cell lymphocytic leukemias. The CD103 antibody stains a few bone marrow cells and, rarely, peripheral blood lymphocytes. Diseases associated with CD103 dysfunction include hairy cell leukemia and splenic marginal zone lymphoma.

          仅用于科研。不用于诊断过程。未经明确授权不得转售。

          篇参考文献 (0)

          您是否在文献中引用过该产品?请点击下方按钮邮件告知我们。
          引用该产品

          生物信息学

          蛋白别名: antigen CD103; antigen CD103, human mucosal lymphocyte antigen 1; alpha polypeptide; CD103; DC; DCs; HML-1 antigen; human mucosal lymphocyte antigen 1, alpha polypeptide; integrin alpha E; Integrin alpha-E; Integrin alpha-IEL; integrin, alpha E (antigen CD103, human mucosal lymphocyte antigen 1; alpha polypeptide); Intregrin alpha E2; MGC141996; Mucosal lymphocyte 1 antigen

          查看更多 收起

          基因别名: CD103; HUMINAE; ITGAE

          查看更多 收起

          UniProt ID: (Human) P38570

          查看更多 收起

          Entrez Gene ID: (Human) 3682

          查看更多 收起

          功能
          metal ion binding integrin
          参与通路
          cell adhesion integrin-mediated signaling pathway extracellular matrix organization
          It has to be done as per old AB suggested Products section.
          guarantee_icon

          性能保障

          只要您发现Invitrogen抗体在实验中的表现与网站或说明书的所述内容不符,您即可享受免费退换货服务。*

          了解更多
          help_icon

          随时为您服务

          获取常见问题的专家解答,或者直接联系我们的技术专家,咨询应用、设备、常规产品使用问题。

          联系技术支持
          订购 Plus Icon Minus Icon
          • 订单状态查询
          • 订单支持
          • 货号直购
          • 现货供应中心
          • 电子采购
          支持 Plus Icon Minus Icon
          • 帮助&支持
          • 联系我们 - 400 820 8982
          • 技术支持中心
          • 查找文件&证书
          • 报告网站问题
          资源 Plus Icon Minus Icon
          • 学习中心
          • 促销
          • 活动&研讨会
          • 社交媒体
          关于赛默飞 Plus Icon Minus Icon
          • 关于我们
          • 招聘 招聘
          • 投资者关系 投资者关系
          • 新闻 新闻
          • 社会责任 社会责任
          • 商标
          • 政策和通知
          品牌 Plus Icon Minus Icon
          • Thermo Scientific
          • Applied Biosystems
          • Invitrogen
          • Gibco
          • Ion Torrent
          • Patheon
          • PPD
          • 服务条款
          • 隐私政策
          • 定价和运输保险政策
          © 2006-2025 Thermo Fisher Scientific Inc. All rights reserved. All trademarks are the property of Thermo Fisher Scientific and its subsidiaries unless otherwise specified.
          China flag icon
          China
          本网站销售的所有产品均不得用于人类或动物之临床诊断或治疗,仅可用于工业或者科研等非医疗目的。
             电子营业执照 | 经营证照公示 | ICP备案号:沪ICP备11003924号 | 沪公网安备 31011502006935号

          Your items have has been added!


          Host server : magellan-search-green-55658555d6-7l2qm:80/100.66.75.127:80.
          git-commit: ec8e7df5f8fec8d765bd419205f1b5046a016d37
          git-url: https://github.com/thermofisher/magellan-search
          git-branch: release/2.41.0-Offline