Hamburger Menu Button
Thermo Fisher Scientific Logo
登录
没有账号?建立账号 注册
  • 产品
    • 抗体
    • 引物合成
    • GeneArt Gene Synthesis Instant Designer
    • TaqMan Assay and Array Search
    • PCR 设备和耗材
    • 色谱柱和纯化柱
    • 实验室离心机
    • 分子生物学试剂和试剂盒
    • 实验室塑料耗材及用品
    • 查看所有产品分类
  • 应用和技术
    • 色谱
    • 细胞转染和培养
    • 实时荧光定量PCR
    • 质谱
    • 实验室塑料耗材及用品
    • 电子显微镜
    • 蛋白质生物学
    • PCR
    • RNAi
    • 环境
    • 查看所有应用和技术
  • 服务
    • 定制服务
    • 企业级实验室信息化服务
    • 金融&租赁服务
    • 仪器服务
    • OEM和商业供应
    • 培训服务
    • 360° CDMO 和 CRO 服务
    • CDMO 服务
    • 临床试验 CRO 服务
    • Unity Lab Services
    • 查看所有帮助和支持
  • 帮助和支持
    • 学习中心
    • 联系我们
    • 更改国家或地区
    • 查看所有帮助和支持
  • 热门产品
    • TaqMan Real-Time PCR Assays
      TaqMan 实时荧光定量 PCR 试剂盒
    • Antibodies
      抗体
    • Oligos, Primers & Probes
      寡核苷酸、引物、探针
    • GeneArt Gene Synthesis
      GeneArt 基因合成
    • Cell Culture Plastics
      细胞培养耗材
  • Who We Serve
    • 抗体治疗解决方案
    • 细胞与基因治疗解决方案
    • 学术科研
    • 工业与应用
  • 联系我们
  • 货号直购
  • 订单查询
  • 查找文件&证书
Thermo Fisher Scientific Logo

Search

搜索全部或下列指定分类
Search button
          • 联系我们
          • 货号直购
          • 登录
            登录
            没有账号?建立账号 注册
            • 我的账号
            • 订单
            • 会员中心
            • 账单及发票查询
            • 定制产品及项目
          • Primary Antibodies ›
          • CD11c Antibodies

          Invitrogen

          CD11c Monoclonal Antibody (118/A5), Biotin, eBioscience™

          查看其他133个CD11c抗体

          {{$productOrderCtrl.translations['antibody.pdp.commerceCard.promotion.promotions']}}

          {{$productOrderCtrl.translations['antibody.pdp.commerceCard.promotion.viewpromo']}}

          {{$productOrderCtrl.translations['antibody.pdp.commerceCard.promotion.promocode']}}: {{promo.promoCode}} {{promo.promoTitle}} {{promo.promoDescription}}. {{$productOrderCtrl.translations['antibody.pdp.commerceCard.promotion.learnmore']}}

          说明书
          证书
          实验方案
          问题与答案
          技术支持
          说明书
          证书
          实验方案
          问题与答案
          技术支持
          说明书
          证书
          实验方案
          问题与答案
          技术支持

          Cite CD11c Monoclonal Antibody (118/A5), Biotin, eBioscience™

          Additional Information:
          {{banner.description}}
          {{$ctrl.isSkuNotesCollapsed ? 'View more' : 'View less'}}
          • 抗体检测数据 (1)
          CD11c Antibody in Immunohistochemistry (Paraffin) (IHC (P))
          Group 53 Created with Sketch.
          CD11c Antibody in Immunohistochemistry (Paraffin) (IHC (P))
          Group 53 Created with Sketch.

          图: 1 / 1

          {{ $ctrl.currentElement.advancedVerification.fullName }}
          {{ $ctrl.currentElement.advancedVerification.text }}

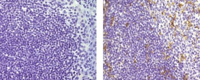
          CD11c Antibody (13-9761-82) in IHC (P)

          Immunohistochemistry of formalin-fixed paraffin embedded human tonsil tissue using 5 µg/mL of Mouse IgG2b K Isotype Control Biotin (left) or 5 µg/mL of Anti-Human CD11c Biotin (right) followed by Streptavidin HRP and DAB visualization. Nuclei are counterstained with hematoxylin. {{ $ctrl.currentElement.advancedVerification.fullName }} 验证信息 View more
          已发表图片由___提供 benchsci-logo
          PMID: {{$ctrl.currentElement.benchSciPubmedId}}
          查看产品

          {{$ctrl.videoDesc}}

          {{$ctrl.videoLongDesc}}

          CD11c Antibody in Immunohistochemistry (Paraffin) (IHC (P))

          产品信息

          13-9761-82

          应用
          建议稀释比
          已发表文章

          免疫组化(石蜡) (IHC (P))

          Assay-Dependent
          -

          免疫组化(冰冻) (IHC (F))

          5 µg/mL
          -
          产品规格

          种属反应

          Human

          宿主/亚型

          Mouse / IgG2b, kappa

          推荐的同型对照

          Mouse IgG2b kappa Isotype Control (eBMG2b), Biotin, eBioscience™

          分类

          Monoclonal

          类型

          Antibody

          克隆号

          118/A5

          偶联物

          Biotin Biotin Biotin
          • Unconjugated
          • Alexa Fluor 700 
          • Alexa Fluor Plus 555 
          • Alexa Fluor Plus 594 
          • Alexa Fluor Plus 647 
          • Request custom conjugation

          形式

          Liquid

          浓度

          0.5 mg/mL

          规格

          100 µg

          纯化类型

          Affinity chromatography

          保存液

          PBS, pH 7.2

          内含物

          0.09% sodium azide

          保存条件

          4°C, store in dark, DO NOT FREEZE!

          运输条件

          Ambient (domestic); Wet ice (international)

          RRID

          AB_2572827

          产品详细信息

          Description: The monoclonal antibody 118/A5 recognizes human CD11c, a 150 kD type I transmembrane protein which is also known as integrin alpha X. Integrins are heterodimeric integral membrane proteins made up of an alpha and a beta chain and are involved in cell adhesion. The CD11/CD18 adhesion molecules consist of three heterodimers sharing a common beta subunit (CD18) with a distinct alpha subunit (CD11a, CD11b, CD11c). The CD11c/CD18 complex is expressed on dendritic cells (highly expressed on type 1 myeloid DCs), monocytes, macrophages, granulocytes, NK cells, and subsets of T and B cells. CD11c is also expressed in hairy cell leukemias, acute nonlymphocytic leukemias, and some B-cell chronic lymphocytic leukemias. CD11c plays a role in adhesion and CTL killing through its interactions with CD54, iC3b and fibrinogen.

          Applications Reported: This 118/A5 antibody has been reported for use in immunohistochemical staining of frozen tissue sections, immunohistochemical staining of formalin-fixed paraffin embedded tissue sections, and microscopy.

          Applications Tested: This 118/A5 antibody has been tested by immunohistochemistry of formalin-fixed paraffin embedded human tissue using low pH antigen retrieval. The 118/A5 antibody can be used at less than or equal to 5 µg/mL. It is recommended that the antibody be carefully titrated for optimal performance in the assay of interest.

          Filtration: 0.2 µm post-manufacturing filtered.

          靶标信息

          CD11, along with CD18, form a heterodimer adhesion molecule. In particular, CD11 is composed of CD11a, CD11b and CD11c. CD11a is a leukocyte marker that is expressed in B and T lymphocytes, macrophages, monocytes, neutrophils, basophils and eosinophils. CD11b is primarily expressed by monocytes, macrophages, natural killer cells, some B and T-cells, and granulocytes. CD11c is expressed in monocytes, macrophages, natural killer cells, some granulocytes and less so in a subset of lymphocytes.

          仅用于科研。不用于诊断过程。未经明确授权不得转售。

          篇参考文献 (0)

          您是否在文献中引用过该产品?请点击下方按钮邮件告知我们。
          引用该产品

          生物信息学

          蛋白别名: CD11 antigen-like family member C; CD11c; complement component 3 receptor 4 subunit; integrin alpha X; Integrin alpha-X; integrin, alpha X (antigen CD11C (p150), alpha polypeptide); integrin, alpha X (complement component 3 receptor 4 subunit); integrin; protein p150,95; Leu M5; leu M5, alpha subunit; Leukocyte adhesion glycoprotein p150,95 alpha chain; Leukocyte adhesion receptor p150,95; leukocyte surface antigen p150,95, alpha subunit; myeloid membrane antigen, alpha subunit; p150 95 integrin alpha chain; unnamed protein product

          查看更多 收起

          基因别名: CD11C; ITGAX; SLEB6

          查看更多 收起

          UniProt ID: (Human) P20702

          查看更多 收起

          Entrez Gene ID: (Human) 3687

          查看更多 收起

          功能
          integrin binding protein binding receptor tyrosine kinase binding signaling receptor activity metal ion binding
          参与通路
          cell adhesion cell-matrix adhesion integrin-mediated signaling pathway positive regulation of cell proliferation organ morphogenesis positive regulation of metabolic process positive regulation of gene expression positive regulation of cell migration positive regulation of myelination heterotypic cell-cell adhesion positive regulation of angiogenesis defense response to virus cell-cell adhesion positive regulation of endothelial tube morphogenesis
          It has to be done as per old AB suggested Products section.

          Disclaimer

          Close

          Clicking the images or links will redirect you to a website hosted by BenchSci that provides third-party scientific content. Neither the content nor the BenchSci technology and processes for selection have been evaluated by us; we are providing them as-is and without warranty of any kind, including for use or application of the Thermo Fisher Scientific products presented.

          guarantee_icon

          性能保障

          只要您发现Invitrogen抗体在实验中的表现与网站或说明书的所述内容不符,您即可享受免费退换货服务。*

          了解更多
          help_icon

          随时为您服务

          获取常见问题的专家解答,或者直接联系我们的技术专家,咨询应用、设备、常规产品使用问题。

          联系技术支持
          订购 Plus Icon Minus Icon
          • 订单状态查询
          • 订单支持
          • 货号直购
          • 现货供应中心
          • 电子采购
          支持 Plus Icon Minus Icon
          • 帮助&支持
          • 联系我们 - 400 820 8982
          • 技术支持中心
          • 查找文件&证书
          • 报告网站问题
          资源 Plus Icon Minus Icon
          • 学习中心
          • 促销
          • 活动&研讨会
          • 社交媒体
          关于赛默飞 Plus Icon Minus Icon
          • 关于我们
          • 招聘 招聘
          • 投资者关系 投资者关系
          • 新闻 新闻
          • 社会责任 社会责任
          • 商标
          • 政策和通知
          品牌 Plus Icon Minus Icon
          • Thermo Scientific
          • Applied Biosystems
          • Invitrogen
          • Gibco
          • Ion Torrent
          • Unity Lab Services
          • Patheon
          • PPD
          • 服务条款
          • 隐私政策
          • 定价和运输保险政策
          © 2006-2026 Thermo Fisher Scientific Inc. All rights reserved. All trademarks are the property of Thermo Fisher Scientific and its subsidiaries unless otherwise specified.
          China flag icon
          China
          本网站销售的所有产品均不得用于人类或动物之临床诊断或治疗,仅可用于工业或者科研等非医疗目的。
             电子营业执照 | 经营证照公示 | ICP备案号:沪ICP备11003924号 | 沪公网安备 31011502006935号

          Your items have has been added!


          Host server : magellan-search-green-6479c7f679-v472f:80/100.66.78.195:80.
          git-commit: b70c0dceb888abc3b0dcebb5bc3a5b8753e7e816
          git-url: https://github.com/thermofisher/magellan-search
          git-branch: release/2.50.0-Offline