Hamburger Menu Button
Thermo Fisher Scientific Logo
登录
没有账号?建立账号 注册
  • 产品
    • 抗体
    • 引物合成
    • GeneArt Gene Synthesis Instant Designer
    • TaqMan Assay and Array Search
    • PCR 设备和耗材
    • 色谱柱和纯化柱
    • 实验室离心机
    • 分子生物学试剂和试剂盒
    • 实验室塑料耗材及用品
    • 查看所有产品分类
  • 应用和技术
    • 色谱
    • 细胞转染和培养
    • 实时荧光定量PCR
    • 质谱
    • 实验室塑料耗材及用品
    • 电子显微镜
    • 蛋白质生物学
    • PCR
    • RNAi
    • 环境
    • 查看所有应用和技术
  • 服务
    • 定制服务
    • 企业级实验室信息化服务
    • 企业服务
    • 金融&租赁服务
    • 仪器服务
    • OEM和商业供应
    • 培训服务
    • 360° CDMO 和 CRO 服务
    • CDMO 服务
    • 临床试验 CRO 服务
    • 查看所有帮助和支持
  • 帮助和支持
    • 学习中心
    • 联系我们
    • 更改国家或地区
    • 查看所有帮助和支持
  • 热门产品
    • TaqMan Real-Time PCR Assays
      TaqMan 实时荧光定量 PCR 试剂盒
    • Antibodies
      抗体
    • Oligos, Primers & Probes
      寡核苷酸、引物、探针
    • GeneArt Gene Synthesis
      GeneArt 基因合成
    • Cell Culture Plastics
      细胞培养耗材
  • 联系我们
  • 货号直购
  • 订单查询
  • 查找文件&证书
Thermo Fisher Scientific Logo

Search

搜索全部或下列指定分类
Search button
          • 联系我们
          • 货号直购
          • 登录
            登录
            没有账号?建立账号 注册
            • 我的账号
            • 订单
            • 账单及发票查询
            • 定制产品及项目

          Disclaimer

          Clicking the images or links will redirect you to a website hosted by BenchSci that provides third-party scientific content. Neither the content nor the BenchSci technology and processes for selection have been evaluated by us; we are providing them as-is and without warranty of any kind, including for use or application of the Thermo Fisher Scientific products presented.

          • Primary Antibodies ›
          • CD14 Antibodies

          Invitrogen

          CD14 Monoclonal Antibody (5A3)

          高级验证
          1个已发表图片
          2 篇参考文献
          查看其他173个CD14抗体

          {{$productOrderCtrl.translations['antibody.pdp.commerceCard.promotion.promotions']}}

          {{$productOrderCtrl.translations['antibody.pdp.commerceCard.promotion.viewpromo']}}

          {{$productOrderCtrl.translations['antibody.pdp.commerceCard.promotion.promocode']}}: {{promo.promoCode}} {{promo.promoTitle}} {{promo.promoDescription}}. {{$productOrderCtrl.translations['antibody.pdp.commerceCard.promotion.learnmore']}}

          说明书
          证书
          实验方案
          问题与答案
          技术支持
          说明书
          证书
          实验方案
          问题与答案
          技术支持
          说明书
          证书
          实验方案
          问题与答案
          技术支持

          Cite CD14 Monoclonal Antibody (5A3)

          • 抗体检测数据 (7)
          • 已发表图片 (1)
          • 高级验证 (2)
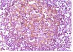
          CD14 Antibody in Immunohistochemistry (Paraffin) (IHC (P))
          Group 53 Created with Sketch.
          CD14 Antibody in Immunohistochemistry (Paraffin) (IHC (P))
          Group 53 Created with Sketch.

          图: 1 / 10

          {{ $ctrl.currentElement.advancedVerification.fullName }}
          {{ $ctrl.currentElement.advancedVerification.text }}

          CD14 Antibody (MA5-14773) in IHC (P)

          Immunohistochemical analysis of CD14 was performed using formalin-fixed paraffin-embedded human tonsil tissue sections. To expose the target protein, heat-induced epitope retrieval was performed on de-paraffinized sections using eBioscience™ IHC Antigen Retrieval Solution - High pH (10X) (Product # 00-4956-58) diluted to 1X solution in water in a decloaking chamber at 110 degree Celsius for 15 minutes. Foll... View More {{ $ctrl.currentElement.advancedVerification.fullName }} 验证信息 View more
          已发表图片由___提供 benchsci-logo
          PMID: {{$ctrl.currentElement.benchSciPubmedId}}
          查看产品

          {{$ctrl.videoDesc}}

          {{$ctrl.videoLongDesc}}

          CD14 Antibody in Immunohistochemistry (Paraffin) (IHC (P))
          CD14 Antibody in Immunohistochemistry (Paraffin) (IHC (P))
          CD14 Antibody in Immunohistochemistry (Paraffin) (IHC (P))
          CD14 Antibody in Immunohistochemistry (Paraffin) (IHC (P))
          CD14 Antibody in Immunohistochemistry (Paraffin) (IHC (P))
          CD14 Antibody in Western Blot (WB)
          CD14 Antibody in Flow Cytometry (Flow)
          CD14 Antibody in Immunohistochemistry (PFA fixed), Immunocytochemistry (IHC (PFA), ICC/IF)
          CD14 Antibody
          CD14 Antibody

          产品信息

          MA5-14773

          应用
          建议稀释比
          已发表文章

          免疫印迹 (WB)

          1:1,000
          -

          免疫组化(石蜡) (IHC (P))

          1:200-1:1,000
          -

          免疫组织化学(多聚甲醛固定) (IHC (PFA))

          -
          查看1篇已发表文章 1篇已发表文章

          免疫细胞化学 (ICC/IF)

          -
          查看1篇已发表文章 1篇已发表文章

          流式细胞分析 (Flow)

          1:200-1:400
          -

          酶联免疫吸附实验 (ELISA)

          1:10,000
          -
          产品规格

          种属反应

          Human

          已发表种属

          Human

          宿主/亚型

          Mouse / IgG1

          分类

          Monoclonal

          类型

          Antibody

          克隆号

          5A3

          抗原

          Purified recombinant fragment of human CD14 expressed in E. Coli.

          偶联物

          Unconjugated Unconjugated Unconjugated

          形式

          Liquid

          浓度

          Conc. not determined

          保存液

          ascites

          内含物

          0.03% sodium azide

          保存条件

          Store at 4°C short term. For long term storage, store at -20°C, avoiding freeze/thaw cycles.

          运输条件

          Ambient (domestic); Wet ice (international)

          RRID

          AB_10983091

          产品详细信息

          MA5-14773 targets CD14 in indirect ELISA, FACS and IHC applications and shows reactivity with Human samples.

          The MA5-14773 immunogen is purified recombinant fragment of human CD14 expressed in E. Coli.

          靶标信息

          CD14 is a 55 kDa GPI-anchored glycoprotein that is constitutively expressed on the surface of mature monocytes, macrophages, and neutrophils. CD14 also serves as a multifunctional lipopolysaccharide receptor, and is released to the serum both as a secreted and enzymatically cleaved GPI-anchored form. CD14 binds lipopolysaccharide molecule in a reaction catalyzed by lipopolysaccharide-binding protein (LBP), an acute phase serum protein. The soluble sCD14 can discriminate slight structural differences between lipopolysaccharides and is important for neutralization of serum allochthonous lipopolysaccharides by reconstituted lipoprotein particles. Further, CD14 has been shown to bind apoptotic cells, and can affect allergic, inflammatory and infectious processes. Alternative splicing results in multiple transcript variants encoding the same CD14 isoform. Diseases associated with CD14 dysfunction include mycobacterium chelonae infection and Croup.

          仅用于科研。不用于诊断过程。未经明确授权不得转售。

          生物信息学

          蛋白别名: CD 14; CD14; cd14 monocyte; LPSR antibody; Monocyte differentiation antigen CD14; My23 antigen; Myeloid cell-specific leucine-rich glycoprotein; sCD14; soluble CD14

          查看更多 收起

          基因别名: CD14

          查看更多 收起

          UniProt ID: (Human) P08571

          查看更多 收起

          Entrez Gene ID: (Human) 929

          查看更多 收起

          功能
          lipopolysaccharide binding opsonin receptor activity protein binding peptidoglycan receptor activity lipoteichoic acid binding transmembrane signal receptor
          参与通路
          MyD88-dependent toll-like receptor signaling pathway MyD88-independent toll-like receptor signaling pathway receptor-mediated endocytosis phagocytosis apoptotic process inflammatory response cell surface receptor signaling pathway I-kappaB kinase/NF-kappaB signaling response to heat lipopolysaccharide-mediated signaling pathway response to magnesium ion positive regulation of type I interferon production positive regulation of interferon-gamma production positive regulation of tumor necrosis factor production negative regulation of MyD88-independent toll-like receptor signaling pathway toll-like receptor 4 signaling pathway response to tumor necrosis factor TRIF-dependent toll-like receptor signaling pathway toll-like receptor TLR1:TLR2 signaling pathway toll-like receptor TLR6:TLR2 signaling pathway innate immune response response to ethanol positive regulation of endocytosis positive regulation of cytokine secretion response to electrical stimulus necroptotic process cellular response to lipopolysaccharide cellular response to lipoteichoic acid cellular response to diacyl bacterial lipopeptide cellular response to triacyl bacterial lipopeptide apoptotic signaling pathway
          It has to be done as per old AB suggested Products section.
          guarantee_icon

          性能保障

          只要您发现Invitrogen抗体在实验中的表现与网站或说明书的所述内容不符,您即可享受免费退换货服务。*

          了解更多
          help_icon

          随时为您服务

          获取常见问题的专家解答,或者直接联系我们的技术专家,咨询应用、设备、常规产品使用问题。

          联系技术支持
          订购 Plus Icon Minus Icon
          • 订单状态查询
          • 订单支持
          • 货号直购
          • 现货供应中心
          • 电子采购
          支持 Plus Icon Minus Icon
          • 帮助&支持
          • 联系我们 - 400 820 8982
          • 技术支持中心
          • 查找文件&证书
          • 报告网站问题
          资源 Plus Icon Minus Icon
          • 学习中心
          • 促销
          • 活动&研讨会
          • 社交媒体
          关于赛默飞 Plus Icon Minus Icon
          • 关于我们
          • 招聘 招聘
          • 投资者关系 投资者关系
          • 新闻 新闻
          • 社会责任 社会责任
          • 商标
          • 政策和通知
          品牌 Plus Icon Minus Icon
          • Thermo Scientific
          • Applied Biosystems
          • Invitrogen
          • Gibco
          • Ion Torrent
          • Patheon
          • PPD
          • 服务条款
          • 隐私政策
          • 定价和运输保险政策
          © 2006-2026 Thermo Fisher Scientific Inc. All rights reserved. All trademarks are the property of Thermo Fisher Scientific and its subsidiaries unless otherwise specified.
          China flag icon
          China
          本网站销售的所有产品均不得用于人类或动物之临床诊断或治疗,仅可用于工业或者科研等非医疗目的。
             电子营业执照 | 经营证照公示 | ICP备案号:沪ICP备11003924号 | 沪公网安备 31011502006935号

          Your items have has been added!


          Host server : magellan-search-blue-55ff9ddd88-4lwcf:80/100.66.75.107:80.
          git-commit: d366ff9721d93504b2ac26a183b2b3e3d0e7d9ec
          git-url: https://github.com/thermofisher/magellan-search
          git-branch: release/2.42.0-2026.01.03-1.0