Hamburger Menu Button
Thermo Fisher Scientific Logo
登录
没有账号?建立账号 注册
  • 产品
    • 抗体
    • 引物合成
    • GeneArt Gene Synthesis Instant Designer
    • TaqMan Assay and Array Search
    • PCR 设备和耗材
    • 色谱柱和纯化柱
    • 实验室离心机
    • 分子生物学试剂和试剂盒
    • 实验室塑料耗材及用品
    • 查看所有产品分类
  • 应用和技术
    • 色谱
    • 细胞转染和培养
    • 实时荧光定量PCR
    • 质谱
    • 实验室塑料耗材及用品
    • 电子显微镜
    • 蛋白质生物学
    • PCR
    • RNAi
    • 环境
    • 查看所有应用和技术
  • 服务
    • 定制服务
    • 企业级实验室信息化服务
    • 金融&租赁服务
    • 仪器服务
    • OEM和商业供应
    • 培训服务
    • 360° CDMO 和 CRO 服务
    • CDMO 服务
    • 临床试验 CRO 服务
    • Unity Lab Services
    • 查看所有帮助和支持
  • 帮助和支持
    • 学习中心
    • 联系我们
    • 更改国家或地区
    • 查看所有帮助和支持
  • 热门产品
    • TaqMan Real-Time PCR Assays
      TaqMan 实时荧光定量 PCR 试剂盒
    • Antibodies
      抗体
    • Oligos, Primers & Probes
      寡核苷酸、引物、探针
    • GeneArt Gene Synthesis
      GeneArt 基因合成
    • Cell Culture Plastics
      细胞培养耗材
  • Who We Serve
    • 抗体治疗解决方案
    • 细胞与基因治疗解决方案
    • 学术科研
    • 工业与应用
  • 联系我们
  • 货号直购
  • 订单查询
  • 查找文件&证书
Thermo Fisher Scientific Logo

Search

搜索全部或下列指定分类
Search button
          • 联系我们
          • 货号直购
          • 登录
            登录
            没有账号?建立账号 注册
            • 我的账号
            • 订单
            • 会员中心
            • 账单及发票查询
            • 定制产品及项目
          • Primary Antibodies ›
          • CD146 Antibodies

          Invitrogen

          CD146 Recombinant Rabbit Monoclonal Antibody (5)

          高级验证
          2个已发表图片
          1 篇参考文献
          查看其他70个CD146抗体

          {{$productOrderCtrl.translations['antibody.pdp.commerceCard.promotion.promotions']}}

          {{$productOrderCtrl.translations['antibody.pdp.commerceCard.promotion.viewpromo']}}

          {{$productOrderCtrl.translations['antibody.pdp.commerceCard.promotion.promocode']}}: {{promo.promoCode}} {{promo.promoTitle}} {{promo.promoDescription}}. {{$productOrderCtrl.translations['antibody.pdp.commerceCard.promotion.learnmore']}}

          说明书
          证书
          实验方案
          问题与答案
          技术支持
          说明书
          证书
          实验方案
          问题与答案
          技术支持
          说明书
          证书
          实验方案
          问题与答案
          技术支持

          Cite CD146 Recombinant Rabbit Monoclonal Antibody (5)

          Additional Information:
          {{banner.description}}
          {{$ctrl.isSkuNotesCollapsed ? 'View more' : 'View less'}}
          • 抗体检测数据 (6)
          • 已发表图片 (2)
          • 高级验证 (2)
          CD146 Antibody in Immunocytochemistry (ICC/IF)
          Group 53 Created with Sketch.
          CD146 Antibody in Immunocytochemistry (ICC/IF)
          Group 53 Created with Sketch.

          图: 1 / 10

          {{ $ctrl.currentElement.advancedVerification.fullName }}
          {{ $ctrl.currentElement.advancedVerification.text }}

          CD146 Antibody (MA5-29413) in ICC/IF

          Immunofluorescence analysis of Cell surface glycoprotein MUC18 was performed using 70% confluent log phase SK-MEL-28 cells. The cells were fixed with 4% paraformaldehyde for 10 minutes, permeabilized with 0.1% Triton™ X-100 for 15 minutes, and blocked with 2% BSA for 1 hour at room temperature. The cells were labeled with CD146 Recombinant Rabbit Monoclonal Antibody (5) (Product # MA5-29413) at 1:100 in 0.1% BSA, incubated at 4 degree celsius overnight and then labeled with Donkey anti-Rabbit IgG (H+L) Highly Cross-Adsorbed Secondary Antib... View More {{ $ctrl.currentElement.advancedVerification.fullName }} 验证信息 View more
          已发表图片由___提供 benchsci-logo
          PMID: {{$ctrl.currentElement.benchSciPubmedId}}
          查看产品

          {{$ctrl.videoDesc}}

          {{$ctrl.videoLongDesc}}

          CD146 Antibody in Immunocytochemistry (ICC/IF)
          CD146 Antibody in Immunohistochemistry (Paraffin) (IHC (P))
          CD146 Antibody in Immunohistochemistry (Paraffin) (IHC (P))
          CD146 Antibody in Immunohistochemistry (Paraffin) (IHC (P))
          CD146 Antibody in Western Blot (WB)
          CD146 Antibody in Western Blot (WB)
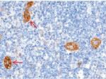
          CD146 Antibody in Immunohistochemistry (IHC)
          CD146 Antibody in Immunohistochemistry (IHC)
          CD146 Antibody
          CD146 Antibody
          CD146 Recombinant Rabbit Monoclonal Antibody (5)

          产品信息

          MA5-29413

          应用
          建议稀释比
          已发表文章

          免疫印迹 (WB)

          1:500-1:2,000
          -

          免疫组化 (IHC)

          -
          查看1篇已发表文章 1篇已发表文章

          免疫组化(石蜡) (IHC (P))

          1:100-1:500
          -

          免疫细胞化学 (ICC/IF)

          1:100
          -
          产品规格

          种属反应

          Human

          已发表种属

          Human

          宿主/亚型

          Rabbit / IgG

          Expression System

          HEK293 cells

          分类

          Recombinant Monoclonal

          类型

          Antibody

          克隆号

          5

          抗原

          Recombinant Human CD146 protein (Met1-Gly559)
          3D表位/免疫原

          偶联物

          Unconjugated Unconjugated Unconjugated

          形式

          Liquid

          浓度

          5 mg/mL

          规格

          500 µg

          纯化类型

          Protein A

          保存液

          PBS

          内含物

          no preservative

          保存条件

          Store at 4°C short term. For long term storage, store at -20°C, avoiding freeze/thaw cycles.

          运输条件

          Ambient (domestic); Wet ice (international)

          RRID

          AB_2785279

          产品详细信息

          This product is preservative free. It is recommended to add sodium azide to avoid contamination (final concentration 0.05%-0.1%).

          Recombinant rabbit monoclonal antibodies are produced using in vitro expression systems. The expression systems are developed by cloning in the specific antibody DNA sequences from immunoreactive rabbits. Then, individual clones are screened to select the best candidates for production. The advantages of using recombinant rabbit monoclonal antibodies include: better specificity and sensitivity, lot-to-lot consistency, animal origin-free formulations, and broader immunoreactivity to diverse targets due to larger rabbit immune repertoire.

          This antibody has specificity for Human CD146/MCAM.

          靶标信息

          CD146, also known as MCAM (Melanoma Cell Adhesion Molecule), is an integral membrane glycoprotein belonging to the immunoglobulin superfamily. It is heavily glycosylated, with more than 50% of its mass derived from carbohydrates. CD146 is primarily expressed on endothelial cells at cell-cell junctions, playing a crucial role in cell adhesion and the cohesion of the endothelial monolayer in vascular tissue. In addition to endothelial cells, CD146 is expressed on bone marrow fibroblasts, mesenchymal stromal cells, endometrial stromal cells, and some tumors, particularly melanoma. It has also been observed on a subset of circulating T cells and activated lymphocytes, but not on circulating endothelial cells, as indicated by the absence of other endothelial markers such as CD31 and CD51/61. CD146 functions as a calcium-independent cell adhesion molecule and may also act as a signal transduction molecule. It is involved in the recruitment of Fyn kinase and the subsequent tyrosine phosphorylation of intracellular proteins, which are important for actin cytoskeleton assembly. This signaling role includes triggering tyrosine phosphorylation of FYN and PTK2 and causing a transient increase in intracellular calcium concentration. In the context of cancer, CD146 expression may facilitate the interaction of melanoma cells with the vascular system, enhancing hematogenous tumor spread. Additionally, CD146 could serve as an adhesion molecule active in neural crest cells during embryonic development, highlighting its diverse roles in both normal physiological processes and disease states.

          仅用于科研。不用于诊断过程。未经明确授权不得转售。

          生物信息学

          蛋白别名: CD146; Cell surface glycoprotein MUC18; Cell surface glycoprotein P1H12; Gicerin; melanoma adhesion molecule; Melanoma cell adhesion molecule; Melanoma-associated antigen A32; Melanoma-associated antigen MUC18; P1H12 antigen; S-endo 1 endothelial-associated antigen; unnamed protein product

          查看更多 收起

          基因别名: CD146; HEMCAM; MCAM; MelCAM; METCAM; MUC18

          查看更多 收起

          UniProt ID: (Human) P43121

          查看更多 收起

          Entrez Gene ID: (Human) 4162

          查看更多 收起

          功能
          laminin receptor activity protein binding
          参与通路
          angiogenesis glomerular filtration cell adhesion anatomical structure morphogenesis positive regulation of cell migration vascular wound healing
          It has to be done as per old AB suggested Products section.

          Disclaimer

          Close

          Clicking the images or links will redirect you to a website hosted by BenchSci that provides third-party scientific content. Neither the content nor the BenchSci technology and processes for selection have been evaluated by us; we are providing them as-is and without warranty of any kind, including for use or application of the Thermo Fisher Scientific products presented.

          guarantee_icon

          性能保障

          只要您发现Invitrogen抗体在实验中的表现与网站或说明书的所述内容不符,您即可享受免费退换货服务。*

          了解更多
          help_icon

          随时为您服务

          获取常见问题的专家解答,或者直接联系我们的技术专家,咨询应用、设备、常规产品使用问题。

          联系技术支持
          订购 Plus Icon Minus Icon
          • 订单状态查询
          • 订单支持
          • 货号直购
          • 现货供应中心
          • 电子采购
          支持 Plus Icon Minus Icon
          • 帮助&支持
          • 联系我们 - 400 820 8982
          • 技术支持中心
          • 查找文件&证书
          • 报告网站问题
          资源 Plus Icon Minus Icon
          • 学习中心
          • 促销
          • 活动&研讨会
          • 社交媒体
          关于赛默飞 Plus Icon Minus Icon
          • 关于我们
          • 招聘 招聘
          • 投资者关系 投资者关系
          • 新闻 新闻
          • 社会责任 社会责任
          • 商标
          • 政策和通知
          品牌 Plus Icon Minus Icon
          • Thermo Scientific
          • Applied Biosystems
          • Invitrogen
          • Gibco
          • Ion Torrent
          • Unity Lab Services
          • Patheon
          • PPD
          • 服务条款
          • 隐私政策
          • 定价和运输保险政策
          © 2006-2026 Thermo Fisher Scientific Inc. All rights reserved. All trademarks are the property of Thermo Fisher Scientific and its subsidiaries unless otherwise specified.
          China flag icon
          China
          本网站销售的所有产品均不得用于人类或动物之临床诊断或治疗,仅可用于工业或者科研等非医疗目的。
             电子营业执照 | 经营证照公示 | ICP备案号:沪ICP备11003924号 | 沪公网安备 31011502006935号

          Your items have has been added!


          Host server : magellan-search-green-6479c7f679-zb4k5:80/100.66.74.142:80.
          git-commit: b70c0dceb888abc3b0dcebb5bc3a5b8753e7e816
          git-url: https://github.com/thermofisher/magellan-search
          git-branch: release/2.50.0-Offline