Hamburger Menu Button
Thermo Fisher Scientific Logo
登录
没有账号?建立账号 注册
  • 产品
    • 抗体
    • 引物合成
    • GeneArt Gene Synthesis Instant Designer
    • TaqMan Assay and Array Search
    • PCR 设备和耗材
    • 色谱柱和纯化柱
    • 实验室离心机
    • 分子生物学试剂和试剂盒
    • 实验室塑料耗材及用品
    • 查看所有产品分类
  • 应用和技术
    • 色谱
    • 细胞转染和培养
    • 实时荧光定量PCR
    • 质谱
    • 实验室塑料耗材及用品
    • 电子显微镜
    • 蛋白质生物学
    • PCR
    • RNAi
    • 环境
    • 查看所有应用和技术
  • 服务
    • 定制服务
    • 企业级实验室信息化服务
    • 金融&租赁服务
    • 仪器服务
    • OEM和商业供应
    • 培训服务
    • 360° CDMO 和 CRO 服务
    • CDMO 服务
    • 临床试验 CRO 服务
    • Unity Lab Services
    • 查看所有帮助和支持
  • 帮助和支持
    • 学习中心
    • 联系我们
    • 更改国家或地区
    • 查看所有帮助和支持
  • 热门产品
    • TaqMan Real-Time PCR Assays
      TaqMan 实时荧光定量 PCR 试剂盒
    • Antibodies
      抗体
    • Oligos, Primers & Probes
      寡核苷酸、引物、探针
    • GeneArt Gene Synthesis
      GeneArt 基因合成
    • Cell Culture Plastics
      细胞培养耗材
  • Who We Serve
    • 抗体治疗解决方案
    • 细胞与基因治疗解决方案
    • 学术科研
    • 工业与应用
  • 联系我们
  • 货号直购
  • 订单查询
  • 查找文件&证书
Thermo Fisher Scientific Logo

Search

搜索全部或下列指定分类
Search button
          • 联系我们
          • 货号直购
          • 登录
            登录
            没有账号?建立账号 注册
            • 我的账号
            • 订单
            • 会员中心
            • 账单及发票查询
            • 定制产品及项目
          • Primary Antibodies ›
          • CD16 Antibodies

          Invitrogen

          CD16 Polyclonal Antibody

          1 篇参考文献
          查看其他154个CD16抗体

          {{$productOrderCtrl.translations['antibody.pdp.commerceCard.promotion.promotions']}}

          {{$productOrderCtrl.translations['antibody.pdp.commerceCard.promotion.viewpromo']}}

          {{$productOrderCtrl.translations['antibody.pdp.commerceCard.promotion.promocode']}}: {{promo.promoCode}} {{promo.promoTitle}} {{promo.promoDescription}}. {{$productOrderCtrl.translations['antibody.pdp.commerceCard.promotion.learnmore']}}

          说明书
          证书
          实验方案
          问题与答案
          技术支持
          说明书
          证书
          实验方案
          问题与答案
          技术支持
          说明书
          证书
          实验方案
          问题与答案
          技术支持

          Cite CD16 Polyclonal Antibody

          Additional Information:
          {{banner.description}}
          {{$ctrl.isSkuNotesCollapsed ? 'View more' : 'View less'}}
          • 抗体检测数据 (4)
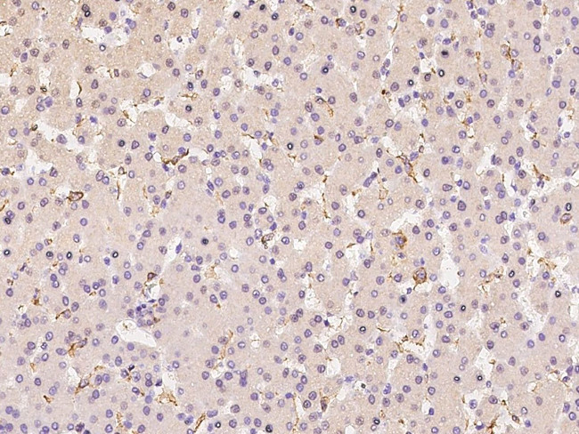
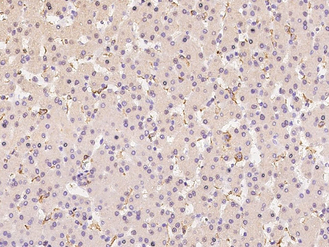
          CD16 Antibody in Immunohistochemistry (Paraffin) (IHC (P))
          Group 53 Created with Sketch.
          CD16 Antibody in Immunohistochemistry (Paraffin) (IHC (P))
          Group 53 Created with Sketch.

          图: 1 / 4

          {{ $ctrl.currentElement.advancedVerification.fullName }}
          {{ $ctrl.currentElement.advancedVerification.text }}

          CD16 Antibody (PA5-80622) in IHC (P)

          Immunohistochemical staining of CD16 in cynomolgus spleen with CD16 Polyclonal Antibody (Product # PA5-80622, 1:1,000 dilution, formalin-fixed paraffin embedded sections). {{ $ctrl.currentElement.advancedVerification.fullName }} 验证信息 View more
          已发表图片由___提供 benchsci-logo
          PMID: {{$ctrl.currentElement.benchSciPubmedId}}
          查看产品

          {{$ctrl.videoDesc}}

          {{$ctrl.videoLongDesc}}

          CD16 Antibody in Immunohistochemistry (Paraffin) (IHC (P))
          CD16 Antibody in Immunohistochemistry (Paraffin) (IHC (P))
          CD16 Antibody in Immunohistochemistry (Paraffin) (IHC (P))
          CD16 Antibody in Immunohistochemistry (Paraffin) (IHC (P))
          CD16 Polyclonal Antibody

          产品信息

          PA5-80622

          应用
          建议稀释比
          已发表文章

          免疫组化 (IHC)

          -
          查看1篇已发表文章 1篇已发表文章

          免疫组化(石蜡) (IHC (P))

          1:500-1:5,000
          -

          酶联免疫吸附实验 (ELISA)

          1:5,000-1:10,000
          -
          产品规格

          种属反应

          Human

          已发表种属

          Human

          宿主/亚型

          Rabbit / IgG

          分类

          Polyclonal

          类型

          Antibody

          抗原

          Recombinant Human CD16a/Fc gamma RIIIa Protein (1-208).
          3D表位/免疫原

          偶联物

          Unconjugated Unconjugated Unconjugated

          形式

          Liquid

          浓度

          1 mg/mL

          规格

          100 µg

          纯化类型

          Antigen affinity chromatography, Protein A

          保存液

          PBS

          内含物

          no preservative

          保存条件

          Store at 4°C short term. For long term storage, store at -20°C, avoiding freeze/thaw cycles.

          运输条件

          Ambient (domestic); Wet ice (international)

          RRID

          AB_2787918

          产品详细信息

          This product is preservative free. It is recommended to add sodium azide to avoid contamination (final concentration 0.05%-0.1%).

          This antibody has specificity for Human CD16a.

          靶标信息

          CD16, known as Fc gamma receptor III, exists in two distinct isoforms: Fc gamma RIIIA and Fc gamma RIIIB. These isoforms are encoded by the genes FCGR3A and FCGR3B, respectively, which are located on chromosome 1 and share a high degree of similarity. Fc gamma RIIIA is expressed as a polypeptide-anchored form on monocytes, macrophages, and lymphocytes such as natural killer (NK) cells, but not on T or B cells. This receptor recognizes the Fc portion of immunoglobulin G (IgG) and is involved in the clearance of immune complexes from circulation. Upon binding IgG, Fc gamma RIIIA activates signal transduction pathways that result in antibody-dependent cell-mediated cytotoxicity (ADCC), phagocytosis, cytokine release, and antigen presentation. Fc gamma RIIIB is expressed on polymorphonuclear neutrophils (PMN) as a glycosylphosphatidylinositol (GPI)-anchored form. It plays a role in similar immune functions, including cellular-mediated cytotoxicity and enhancement of virus infections. Mutations in the FCGR3A gene have been associated with Immunodeficiency 20 and linked to susceptibility to recurrent viral infections, systemic lupus erythematosus, and alloimmune neonatal neutropenia. Alternatively spliced transcript variants encoding different isoforms have been identified for this gene. Diseases associated with FCGR3A include Immunodeficiency 20 and Herpes Zoster.

          仅用于科研。不用于诊断过程。未经明确授权不得转售。

          生物信息学

          蛋白别名: CD16-I; CD16-II; CD16a; CD16a antigen; CD16b; CD32; CD32 receptor 2; CDw32; Fc fragment of IgG low affinity IIIa receptor (CD16a) isoform FCGR3A_1; Fc fragment of IgG low affinity IIIa receptor (CD16a) isoform FCGR3A_2; Fc fragment of IgG receptor IIIa; Fc fragment of IgG receptor IIIb; Fc fragment of IgG, low affinity III, receptor for (CD16); Fc fragment of IgG, low affinity IIIa, receptor (CD16a); Fc fragment of IgG, low affinity IIIb, receptor (CD16b); Fc gamma receptor III-A; Fc gamma receptor III-B; Fc-gamma receptor III-2 (CD 16); Fc-gamma receptor IIIb (CD 16); Fc-gamma receptor IIIb (CD16); Fc-gamma RII-b; Fc-gamma RII-c; Fc-gamma RIII; Fc-gamma RIII-alpha; Fc-gamma RIII-beta; fc-gamma RIIIb; Fc-gamma-RIIb; Fc-gamma-RIIc; FCG2; FcgammaRIIIA; FcgammaRIIIb; FCGR2; FCGR2A; FCGR2B; FCGR2C; FcR-10; FcRII-b; FcRII-c; IgG Fc receptor III-1; IgG Fc receptor III-2; IgG Fc receptor III-A; IgG receptor precursor; immunoglobulin G Fc receptor III; low affinity IgG receptor; low affinity IgG receptor CD16; low affinity IgG receptor precursor; Low affinity immunoglobulin gamma Fc region receptor III-A; low affinity immunoglobulin gamma Fc region receptor III-A/III-B recombinant; Low affinity immunoglobulin gamma Fc region receptor III-B; low affinity immunoglobulin gamma receptor III-a Fc fragment; neutrophil-specific antigen NA; RP11-5K23.1; unnamed protein product

          查看更多 收起

          基因别名: CD16; CD16-I; CD16-II; CD16A; CD16B; FCG3; FCGR3; FCGR3A; FCGR3B; FCGRIII; FcGRIIIA; FCR-10; FCRIII; FCRIIIA; FCRIIIb; IGFR3; IMD20

          查看更多 收起

          UniProt ID: (Human) P08637, (Human) O75015

          查看更多 收起

          Entrez Gene ID: (Human) 2214, (Human) 2215

          查看更多 收起

          功能
          protein binding IgG receptor activity low-affinity IgG receptor activity IgG binding immune receptor activity GPI anchor binding
          参与通路
          antibody-dependent cellular cytotoxicity immune response cell surface receptor signaling pathway Fc-gamma receptor signaling pathway T cell mediated cytotoxicity immune system process protein import calcium-mediated signaling natural killer cell activation positive regulation of tumor necrosis factor production positive regulation of natural killer cell proliferation macrophage activation natural killer cell mediated cytotoxicity natural killer cell degranulation protein kinase B signaling protein transmembrane transport granzyme-mediated programmed cell death signaling pathway
          It has to be done as per old AB suggested Products section.

          Disclaimer

          Close

          Clicking the images or links will redirect you to a website hosted by BenchSci that provides third-party scientific content. Neither the content nor the BenchSci technology and processes for selection have been evaluated by us; we are providing them as-is and without warranty of any kind, including for use or application of the Thermo Fisher Scientific products presented.

          guarantee_icon

          性能保障

          只要您发现Invitrogen抗体在实验中的表现与网站或说明书的所述内容不符,您即可享受免费退换货服务。*

          了解更多
          help_icon

          随时为您服务

          获取常见问题的专家解答,或者直接联系我们的技术专家,咨询应用、设备、常规产品使用问题。

          联系技术支持
          订购 Plus Icon Minus Icon
          • 订单状态查询
          • 订单支持
          • 货号直购
          • 现货供应中心
          • 电子采购
          支持 Plus Icon Minus Icon
          • 帮助&支持
          • 联系我们 - 400 820 8982
          • 技术支持中心
          • 查找文件&证书
          • 报告网站问题
          资源 Plus Icon Minus Icon
          • 学习中心
          • 促销
          • 活动&研讨会
          • 社交媒体
          关于赛默飞 Plus Icon Minus Icon
          • 关于我们
          • 招聘 招聘
          • 投资者关系 投资者关系
          • 新闻 新闻
          • 社会责任 社会责任
          • 商标
          • 政策和通知
          品牌 Plus Icon Minus Icon
          • Thermo Scientific
          • Applied Biosystems
          • Invitrogen
          • Gibco
          • Ion Torrent
          • Unity Lab Services
          • Patheon
          • PPD
          • 服务条款
          • 隐私政策
          • 定价和运输保险政策
          © 2006-2026 Thermo Fisher Scientific Inc. All rights reserved. All trademarks are the property of Thermo Fisher Scientific and its subsidiaries unless otherwise specified.
          China flag icon
          China
          本网站销售的所有产品均不得用于人类或动物之临床诊断或治疗,仅可用于工业或者科研等非医疗目的。
             电子营业执照 | 经营证照公示 | ICP备案号:沪ICP备11003924号 | 沪公网安备 31011502006935号

          Your items have has been added!


          Host server : magellan-search-green-6479c7f679-mppzp:80/100.66.76.236:80.
          git-commit: b70c0dceb888abc3b0dcebb5bc3a5b8753e7e816
          git-url: https://github.com/thermofisher/magellan-search
          git-branch: release/2.50.0-Offline