Hamburger Menu Button
Thermo Fisher Scientific Logo
登录
没有账号?建立账号 注册
  • 产品
    • 抗体
    • 引物合成
    • GeneArt Gene Synthesis Instant Designer
    • TaqMan Assay and Array Search
    • PCR 设备和耗材
    • 色谱柱和纯化柱
    • 实验室离心机
    • 分子生物学试剂和试剂盒
    • 实验室塑料耗材及用品
    • 查看所有产品分类
  • 应用和技术
    • 色谱
    • 细胞转染和培养
    • 实时荧光定量PCR
    • 质谱
    • 实验室塑料耗材及用品
    • 电子显微镜
    • 蛋白质生物学
    • PCR
    • RNAi
    • 环境
    • 查看所有应用和技术
  • 服务
    • 定制服务
    • 企业级实验室信息化服务
    • 金融&租赁服务
    • 仪器服务
    • OEM和商业供应
    • 培训服务
    • 360° CDMO 和 CRO 服务
    • CDMO 服务
    • 临床试验 CRO 服务
    • Unity Lab Services
    • 查看所有帮助和支持
  • 帮助和支持
    • 学习中心
    • 联系我们
    • 更改国家或地区
    • 查看所有帮助和支持
  • 热门产品
    • TaqMan Real-Time PCR Assays
      TaqMan 实时荧光定量 PCR 试剂盒
    • Antibodies
      抗体
    • Oligos, Primers & Probes
      寡核苷酸、引物、探针
    • GeneArt Gene Synthesis
      GeneArt 基因合成
    • Cell Culture Plastics
      细胞培养耗材
  • Who We Serve
    • 抗体治疗解决方案
    • 细胞与基因治疗解决方案
    • 学术科研
    • 工业与应用
  • 联系我们
  • 货号直购
  • 订单查询
  • 查找文件&证书
Thermo Fisher Scientific Logo

Search

搜索全部或下列指定分类
Search button
          • 联系我们
          • 货号直购
          • 登录
            登录
            没有账号?建立账号 注册
            • 我的账号
            • 订单
            • 会员中心
            • 账单及发票查询
            • 定制产品及项目
          • Primary Antibodies ›
          • CD20 Antibodies

          Proteintech

          CD20 Monoclonal Antibody (4A7G3)

          17 篇参考文献
          查看其他194个CD20抗体

          {{$productOrderCtrl.translations['antibody.pdp.commerceCard.promotion.promotions']}}

          {{$productOrderCtrl.translations['antibody.pdp.commerceCard.promotion.viewpromo']}}

          {{$productOrderCtrl.translations['antibody.pdp.commerceCard.promotion.promocode']}}: {{promo.promoCode}} {{promo.promoTitle}} {{promo.promoDescription}}. {{$productOrderCtrl.translations['antibody.pdp.commerceCard.promotion.learnmore']}}

          说明书
          证书
          实验方案
          问题与答案
          技术支持
          说明书
          证书
          实验方案
          问题与答案
          技术支持
          说明书
          证书
          实验方案
          问题与答案
          技术支持

          Cite CD20 Monoclonal Antibody (4A7G3)

          Additional Information:
          {{banner.description}}
          {{$ctrl.isSkuNotesCollapsed ? 'View more' : 'View less'}}
          • 抗体检测数据 (13)
          CD20 Antibody in Immunohistochemistry (Paraffin) (IHC (P))
          Group 53 Created with Sketch.
          CD20 Antibody in Immunohistochemistry (Paraffin) (IHC (P))
          Group 53 Created with Sketch.

          图: 1 / 13

          {{ $ctrl.currentElement.advancedVerification.fullName }}
          {{ $ctrl.currentElement.advancedVerification.text }}

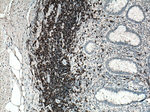
          CD20 Antibody (60271-1-IG) in IHC (P)

          Immunohistochemistry of paraffin-embedded human appendicitis tissue slide using 60271-1-Ig (CD20 antibody) at dilution of 1:12800 (under 40x lens) heat mediated antigen retrieved with Tris-EDTA buffer (pH 9). {{ $ctrl.currentElement.advancedVerification.fullName }} 验证信息 View more
          已发表图片由___提供 benchsci-logo
          PMID: {{$ctrl.currentElement.benchSciPubmedId}}
          查看产品

          {{$ctrl.videoDesc}}

          {{$ctrl.videoLongDesc}}

          CD20 Antibody in Immunohistochemistry (Paraffin) (IHC (P))
          CD20 Antibody in Immunohistochemistry (Paraffin) (IHC (P))
          CD20 Antibody in Immunohistochemistry (Paraffin) (IHC (P))
          CD20 Antibody in Immunohistochemistry (Paraffin) (IHC (P))
          CD20 Antibody in Immunohistochemistry (Paraffin) (IHC (P))
          CD20 Antibody in Immunohistochemistry (PFA fixed) (IHC (PFA))
          CD20 Antibody in Immunohistochemistry (PFA fixed) (IHC (PFA))
          CD20 Antibody in Immunohistochemistry (PFA fixed) (IHC (PFA))
          CD20 Antibody in Western Blot (WB)
          CD20 Antibody in Western Blot (WB)
          CD20 Antibody in Western Blot (WB)
          CD20 Antibody in Flow Cytometry (Flow)
          CD20 Antibody in Flow Cytometry (Flow)
          CD20 Monoclonal Antibody (4A7G3)

          产品信息

          60271-1-IG

          应用
          建议稀释比
          已发表文章

          免疫印迹 (WB)

          1:2,000-1:16,000
          -

          免疫组化 (IHC)

          -
          查看13篇已发表文章 13篇已发表文章

          免疫组化(石蜡) (IHC (P))

          1:1,000-1:15,000
          -

          免疫组织化学(多聚甲醛固定) (IHC (PFA))

          1:50-1:500
          -

          免疫细胞化学 (ICC/IF)

          1:50-1:500
          查看4篇已发表文章 4篇已发表文章

          流式细胞分析 (Flow)

          0.2 µg/1x10^6 cells
          -
          产品规格

          种属反应

          Human

          宿主/亚型

          Mouse / IgG2b

          分类

          Monoclonal

          类型

          Antibody

          克隆号

          4A7G3

          抗原

          CD20 Fusion Protein Ag17309 (141-297 aa encoded by BC002807)
          3D表位/免疫原

          偶联物

          Unconjugated Unconjugated Unconjugated
          • CoraLite Plus 488
          • CoraLite Plus 647
          • Request custom conjugation

          形式

          Liquid

          浓度

          1 mg/mL

          规格

          150 µg

          纯化类型

          Protein A

          保存液

          PBS, pH 7.3, with 50% glycerol

          内含物

          0.02% sodium azide

          保存条件

          -20°C

          运输条件

          Wet ice (domestic); Dry ice (international)

          产品详细信息

          Immunogen sequence: IKISHFLKM ESLNFIRAHT PYINIYNCEP ANPSEKNSPS TQYCYSIQSL FLGILSVMLI FAFFQELVIA GIVENEWKRT CSRPKSNIVL LSAEEKKEQT IEIKEEVVGL TETSSQPKNE EDIEIIPIQE EEEEETETNF PEPPQDQESS PIENDSSP (141-297 aa encoded by BC002807)

          靶标信息

          CD20 is a non-glycosylated surface phosphoprotein that has a molecular weight range of 33-37 kDa depending on the degree of phosphorylation. CD20 is expressed on mature and most malignant B cells, in a subpopulation of T lymphocytes and follicular dendritic cells. CD20 expression on B cells is synchronous with the expression of surface IgM and it regulates transmembrane calcium conductance, cell cycle progression and B-cell proliferation. CD20 is also associated with lipid rafts, but the intensity of this association depends on extracellular triggering, employing CD20 conformational change, and/or BCR (B cell antigen receptor) aggregation. After the receptor ligation, BCR and CD20 colocalize and then rapidly dissociate before BCR endocytosis, whereas CD20 remains at the cell surface. CD20 serves as a useful target for antibody-mediated therapeutic depletion of B cells, as it is expressed at high levels on most B-cell malignancies, but does not become internalized or shed from the plasma membrane following monoclonal antibody treatment. Diseases associated with CD20 dysfunction include Ms4a1-related common variable immune deficiency.

          仅用于科研。不用于诊断过程。未经明确授权不得转售。

          生物信息学

          蛋白别名: APY; ATOPY; B-lymphocyte antigen CD20; B-lymphocyte cell-surface antigen B1; B-lymphocyte surface antigen B1; Bp35; CD20; CD20 antigen; CD20 receptor; Fc epsilon receptor I beta chain; Fc Fragment of IgE high affinity I receptor for beta polypeptide; FCER1B; High affinity immunoglobulin epsilon receptor subunit beta; IgE Fc receptor subunit beta; IGEL; IGER; IGHER; LEU16; Leukocyte surface antigen Leu-16; Ly44; Membrane-spanning 4-domains subfamily A member 1; membrane-spanning 4-domains, subfamily A, member 1; MGC3969; unnamed protein product

          查看更多 收起

          基因别名: B1; Bp35; CD20; CVID5; FMC7; LEU-16; MS4A1; S7

          查看更多 收起

          UniProt ID: (Human) P11836

          查看更多 收起

          Entrez Gene ID: (Human) 931

          查看更多 收起

          功能
          epidermal growth factor receptor binding protein binding immunoglobulin binding MHC class II protein complex binding identical protein binding
          参与通路
          store-operated calcium entry humoral immune response cell surface receptor signaling pathway response to bacterium B cell differentiation B cell proliferation B cell activation B cell receptor signaling pathway protein tetramerization calcium ion import into cytosol positive regulation of calcium ion import across plasma membrane
          It has to be done as per old AB suggested Products section.

          Disclaimer

          Close

          Clicking the images or links will redirect you to a website hosted by BenchSci that provides third-party scientific content. Neither the content nor the BenchSci technology and processes for selection have been evaluated by us; we are providing them as-is and without warranty of any kind, including for use or application of the Thermo Fisher Scientific products presented.

          guarantee_icon

          性能保障

          只要您发现Invitrogen抗体在实验中的表现与网站或说明书的所述内容不符,您即可享受免费退换货服务。*

          了解更多
          help_icon

          随时为您服务

          获取常见问题的专家解答,或者直接联系我们的技术专家,咨询应用、设备、常规产品使用问题。

          联系技术支持
          订购 Plus Icon Minus Icon
          • 订单状态查询
          • 订单支持
          • 货号直购
          • 现货供应中心
          • 电子采购
          支持 Plus Icon Minus Icon
          • 帮助&支持
          • 联系我们 - 400 820 8982
          • 技术支持中心
          • 查找文件&证书
          • 报告网站问题
          资源 Plus Icon Minus Icon
          • 学习中心
          • 促销
          • 活动&研讨会
          • 社交媒体
          关于赛默飞 Plus Icon Minus Icon
          • 关于我们
          • 招聘 招聘
          • 投资者关系 投资者关系
          • 新闻 新闻
          • 社会责任 社会责任
          • 商标
          • 政策和通知
          品牌 Plus Icon Minus Icon
          • Thermo Scientific
          • Applied Biosystems
          • Invitrogen
          • Gibco
          • Ion Torrent
          • Unity Lab Services
          • Patheon
          • PPD
          • 服务条款
          • 隐私政策
          • 定价和运输保险政策
          © 2006-2026 Thermo Fisher Scientific Inc. All rights reserved. All trademarks are the property of Thermo Fisher Scientific and its subsidiaries unless otherwise specified.
          China flag icon
          China
          本网站销售的所有产品均不得用于人类或动物之临床诊断或治疗,仅可用于工业或者科研等非医疗目的。
             电子营业执照 | 经营证照公示 | ICP备案号:沪ICP备11003924号 | 沪公网安备 31011502006935号

          Your items have has been added!


          Host server : magellan-search-green-6479c7f679-zb4k5:80/100.66.74.142:80.
          git-commit: b70c0dceb888abc3b0dcebb5bc3a5b8753e7e816
          git-url: https://github.com/thermofisher/magellan-search
          git-branch: release/2.50.0-Offline