Hamburger Menu Button
Thermo Fisher Scientific Logo
登录
没有账号?建立账号 注册
  • 产品
    • 抗体
    • 引物合成
    • GeneArt Gene Synthesis Instant Designer
    • TaqMan Assay and Array Search
    • PCR 设备和耗材
    • 色谱柱和纯化柱
    • 实验室离心机
    • 分子生物学试剂和试剂盒
    • 实验室塑料耗材及用品
    • 查看所有产品分类
  • 应用和技术
    • 色谱
    • 细胞转染和培养
    • 实时荧光定量PCR
    • 质谱
    • 实验室塑料耗材及用品
    • 电子显微镜
    • 蛋白质生物学
    • PCR
    • RNAi
    • 环境
    • 查看所有应用和技术
  • 服务
    • 定制服务
    • 企业级实验室信息化服务
    • 金融&租赁服务
    • 仪器服务
    • OEM和商业供应
    • 培训服务
    • 360° CDMO 和 CRO 服务
    • CDMO 服务
    • 临床试验 CRO 服务
    • Unity Lab Services
    • 查看所有帮助和支持
  • 帮助和支持
    • 学习中心
    • 联系我们
    • 更改国家或地区
    • 查看所有帮助和支持
  • 热门产品
    • TaqMan Real-Time PCR Assays
      TaqMan 实时荧光定量 PCR 试剂盒
    • Antibodies
      抗体
    • Oligos, Primers & Probes
      寡核苷酸、引物、探针
    • GeneArt Gene Synthesis
      GeneArt 基因合成
    • Cell Culture Plastics
      细胞培养耗材
  • Who We Serve
    • 抗体治疗解决方案
    • 细胞与基因治疗解决方案
    • 学术科研
    • 工业与应用
  • 联系我们
  • 货号直购
  • 订单查询
  • 查找文件&证书
Thermo Fisher Scientific Logo

Search

搜索全部或下列指定分类
Search button
          • 联系我们
          • 货号直购
          • 登录
            登录
            没有账号?建立账号 注册
            • 我的账号
            • 订单
            • 会员中心
            • 账单及发票查询
            • 定制产品及项目
          • Primary Antibodies ›
          • CD24 Antibodies

          Invitrogen

          CD24 Monoclonal Antibody (M1/69), Functional Grade, eBioscience™

          68个已发表图片
          41 篇参考文献
          查看其他97个CD24抗体

          {{$productOrderCtrl.translations['antibody.pdp.commerceCard.promotion.promotions']}}

          {{$productOrderCtrl.translations['antibody.pdp.commerceCard.promotion.viewpromo']}}

          {{$productOrderCtrl.translations['antibody.pdp.commerceCard.promotion.promocode']}}: {{promo.promoCode}} {{promo.promoTitle}} {{promo.promoDescription}}. {{$productOrderCtrl.translations['antibody.pdp.commerceCard.promotion.learnmore']}}

          说明书
          证书
          实验方案
          问题与答案
          技术支持
          说明书
          证书
          实验方案
          问题与答案
          技术支持
          说明书
          证书
          实验方案
          问题与答案
          技术支持

          Cite CD24 Monoclonal Antibody (M1/69), Functional Grade, eBioscience™

          Additional Information:
          {{banner.description}}
          {{$ctrl.isSkuNotesCollapsed ? 'View more' : 'View less'}}
          • 已发表图片 (68)
          CD24 Antibody in Flow Cytometry (Flow)
          Group 53 Created with Sketch.
          CD24 Antibody in Flow Cytometry (Flow)
          Group 53 Created with Sketch.

          图: 1 / 68

          {{ $ctrl.currentElement.advancedVerification.fullName }}
          {{ $ctrl.currentElement.advancedVerification.text }}

          CD24 Antibody (16-0242-85) in Flow

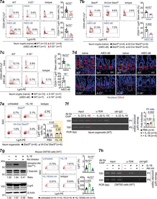
          Nature communications 2022 - Fig. 7 IL-18-Akt-Tcf4 signalling upregulates Lgr5 + stem cells. a - c Flow cytometry analysis of CD24 -/low ileum crypts, isolated from the indicated uninfected or AIEC-infected mice at d6, for Lgr5 + stem cells. An isotype antibody was included to indicate the specificity of the Lgr5 antibody. d Immunofluorescence analysis of ileum crypts for Olfm4 + stem cells in the indicated uninfected or AIEC-infected ... View More {{ $ctrl.currentElement.advancedVerification.fullName }} 验证信息 View more
          已发表图片由___提供 benchsci-logo
          PMID: {{$ctrl.currentElement.benchSciPubmedId}}
          查看产品

          {{$ctrl.videoDesc}}

          {{$ctrl.videoLongDesc}}

          CD24 Antibody in Immunocytochemistry (ICC/IF)
          CD24 Antibody in Immunocytochemistry, Flow Cytometry (ICC/IF, Flow)
          CD24 Antibody in Immunocytochemistry, Flow Cytometry (ICC/IF, Flow)
          CD24 Antibody in Immunocytochemistry, Flow Cytometry (ICC/IF, Flow)
          CD24 Antibody in Immunohistochemistry (IHC)
          CD24 Antibody in Immunohistochemistry (IHC)
          CD24 Antibody in Flow Cytometry (Flow)
          CD24 Antibody in Flow Cytometry (Flow)
          CD24 Antibody in Flow Cytometry (Flow)
          CD24 Antibody in Flow Cytometry (Flow)
          CD24 Antibody in Flow Cytometry (Flow)
          CD24 Antibody in Flow Cytometry (Flow)
          CD24 Antibody in Flow Cytometry (Flow)
          CD24 Antibody in Flow Cytometry (Flow)
          CD24 Antibody in Flow Cytometry (Flow)
          CD24 Antibody in Flow Cytometry (Flow)
          CD24 Antibody in Flow Cytometry (Flow)
          CD24 Antibody in Flow Cytometry (Flow)
          CD24 Antibody in Flow Cytometry (Flow)
          CD24 Antibody in Flow Cytometry (Flow)
          CD24 Antibody in Flow Cytometry (Flow)
          CD24 Antibody in Flow Cytometry (Flow)
          CD24 Antibody in Flow Cytometry (Flow)
          CD24 Antibody in Flow Cytometry (Flow)
          CD24 Antibody in Flow Cytometry (Flow)
          CD24 Antibody in Flow Cytometry (Flow)
          CD24 Antibody in Flow Cytometry (Flow)
          CD24 Antibody in Flow Cytometry (Flow)
          CD24 Antibody in Flow Cytometry (Flow)
          CD24 Antibody in Flow Cytometry (Flow)
          CD24 Antibody in Flow Cytometry (Flow)
          CD24 Antibody in Flow Cytometry (Flow)
          CD24 Antibody in Flow Cytometry (Flow)
          CD24 Antibody in Flow Cytometry (Flow)
          CD24 Antibody in Flow Cytometry (Flow)
          CD24 Antibody in Flow Cytometry (Flow)
          CD24 Antibody in Flow Cytometry (Flow)
          CD24 Antibody in Flow Cytometry (Flow)
          CD24 Antibody in Flow Cytometry (Flow)
          CD24 Antibody in Flow Cytometry (Flow)
          CD24 Antibody in Flow Cytometry (Flow)
          CD24 Antibody in Flow Cytometry (Flow)
          CD24 Antibody in Flow Cytometry (Flow)
          CD24 Antibody in Flow Cytometry (Flow)
          CD24 Antibody in Flow Cytometry (Flow)
          CD24 Antibody in Flow Cytometry (Flow)
          CD24 Antibody in Flow Cytometry (Flow)
          CD24 Antibody in Flow Cytometry (Flow)
          CD24 Antibody in Flow Cytometry (Flow)
          CD24 Antibody in Flow Cytometry (Flow)
          CD24 Antibody in Flow Cytometry (Flow)
          CD24 Antibody in Flow Cytometry (Flow)
          CD24 Antibody in Flow Cytometry (Flow)
          CD24 Antibody in Flow Cytometry (Flow)
          CD24 Antibody in Flow Cytometry (Flow)
          CD24 Antibody in Flow Cytometry (Flow)
          CD24 Antibody in Flow Cytometry (Flow)
          CD24 Antibody in Flow Cytometry (Flow)
          CD24 Antibody in Flow Cytometry (Flow)
          CD24 Antibody in Flow Cytometry (Flow)
          CD24 Antibody in Flow Cytometry (Flow)
          CD24 Antibody in Flow Cytometry (Flow)
          CD24 Antibody in Flow Cytometry (Flow)
          CD24 Antibody in Flow Cytometry (Flow)
          CD24 Antibody in Flow Cytometry (Flow)
          CD24 Antibody in Flow Cytometry (Flow)
          CD24 Antibody in Flow Cytometry (Flow)
          CD24 Antibody in Functional Assay, T-Cell Activation (Functional, TCA)

          产品信息

          16-0242-85

          应用
          建议稀释比
          已发表文章

          免疫组化 (IHC)

          -
          查看1篇已发表文章 1篇已发表文章

          免疫细胞化学 (ICC/IF)

          -
          查看3篇已发表文章 3篇已发表文章

          流式细胞分析 (Flow)

          0.125 µg/test
          查看34篇已发表文章 34篇已发表文章

          功能检测 (Functional)

          Assay-Dependent
          查看2篇已发表文章 2篇已发表文章

          T细胞活化 (TCA)

          -
          查看1篇已发表文章 1篇已发表文章
          产品规格

          种属反应

          Mouse

          已发表种属

          Fish, Human, Mouse

          宿主/亚型

          Rat / IgG2b, kappa

          推荐的同型对照

          Rat IgG2b kappa Isotype Control (eB149/10H5), Functional Grade, eBioscience™

          分类

          Monoclonal

          类型

          Antibody

          克隆号

          M1/69

          偶联物

          Functional Grade Functional Grade Functional Grade
          • Unconjugated
          • Alexa Fluor 532 
          • Alexa Fluor 700 
          • APC 
          • APC-eFluor 780
          • Biotin 
          • Brilliant UV 395
          • Brilliant UV 496
          • Brilliant UV 615
          • Brilliant UV 737
          • Brilliant UV 805
          • Brilliant Violet 711
          • Brilliant Violet 786
          • eFluor 450
          • FITC
          • NovaFluor Blue 510
          • NovaFluor Blue 610-30S
          • NovaFluor Red 685
          • NovaFluor Red 710
          • NovaFluor Yellow 570
          • NovaFluor Yellow 590
          • NovaFluor Yellow 660
          • PE 
          • PE-Cyanine5
          • PE-Cyanine7
          • PE-eFluor 610
          • PerCP-Cyanine5.5
          • PerCP-eFluor 710
          • Super Bright 436
          • Super Bright 600
          • Super Bright 645
          • Request custom conjugation

          形式

          Liquid

          浓度

          1 mg/mL

          规格

          500 µg

          纯化类型

          Affinity chromatography

          保存液

          PBS, pH 7.2

          内含物

          no preservative

          保存条件

          4°C

          运输条件

          Ambient (domestic); Wet ice (international)

          RRID

          AB_468913

          产品详细信息

          Description: The M1/69 monoclonal antibody reacts with the mouse CD24 molecule, also known as Heat Stable Antigen (HSA). This 35-50 kDa molecule is anchored in the plasma membrane via phosphatidylinositol and is expressed by erythrocytes, thymocytes, peripheral lymphocytes and myeloid lineage. CD24 is a variably glycosylated molecule resulting in heterogeneity of molecular mass of this antigen on cells of different lineages and antibodies to CD24 exhibit subtle differences in staining level on lymphocyte populations. The expression of CD24 has been used to resolve stages of B lymphopoiesis in mouse bone marrow. It has been reported that P-selectin (CD62P) binds to CD24.

          Applications Reported: The M1/69 antibody has been reported for use in flow cytometric analysis. M1/69 has also been reported in in vitro functional assays.

          Applications Tested: The M1/69 antibody has been tested by flow cytometric analysis of mouse splenocytes and thymocytes. This can be used at less than or equal to 0.125 µg per test. A test is defined as the amount (µg) of antibody that will stain a cell sample in a final volume of 100 µL. Cell number should be determined empirically but can range from 10^5 to 10^8 cells/test. It is recommended that the antibody be carefully titrated for optimal performance in the assay of interest.

          Storage and handling: Use in a sterile environment.

          Filtration: 0.2 µm post-manufacturing filtered.

          Purity: Greater than 90%, as determined by SDS-PAGE.

          Endotoxin Level: Less than 0.001 ng/µg antibody, as determined by LAL assay.

          Aggregation: Less than 10%, as determined by HPLC.

          靶标信息

          CD24 is a 35-50 kDa glycosylphosphatidylinositol (GPI)-anchored glycoprotein expressed on a variety of cell types, including erythrocytes, thymocytes, peripheral lymphocytes, and cells of the myeloid lineage. It is variably glycosylated, resulting in heterogeneity in molecular mass across different cell lineages, which can affect antibody staining levels on lymphocyte populations. In the context of B-cell development, CD24 is expressed from the pro-B-cell stage in the bone marrow through to mature, surface Ig-positive B cells, with very low or negative expression on plasma cells. It is also present on the majority of B-lineage acute lymphoblastic leukemias, B-cell chronic lymphocytic leukemias (CCLs), and B-cell non-Hodgkin's lymphomas. CD24 is thought to play a role in regulating B-cell proliferation and maturation, as well as in controlling autoimmunity. Additionally, CD24 has been reported to interact with P-selectin (CD62P), indicating a potential role in cell adhesion and signaling. CD24 is a valuable marker for studying B-cell development, leukemia, lymphoma, and autoimmune regulation, as well as its interactions with other molecules like P-selectin.

          仅用于科研。不用于诊断过程。未经明确授权不得转售。

          生物信息学

          蛋白别名: CD24; cluster of differentiation 24; FLJ22950; FLJ43543; heat stable antigen; HSA; Ly-52; Lymphocyte antigen 52; M1/69-J11D heat stable antigen; MGC75043; Nectadrin; R13-Ag; Signal transducer CD24; X62 heat stable antigen

          查看更多 收起

          基因别名: Cd24; Cd24a; HSA; Ly-52; nectadrin

          查看更多 收起

          UniProt ID: (Mouse) P24807

          查看更多 收起

          Entrez Gene ID: (Mouse) 12484

          查看更多 收起

          功能
          protein binding protein kinase binding carbohydrate binding protein tyrosine kinase activator activity
          参与通路
          response to hypoxia cell activation regulation of cytokine-mediated signaling pathway response to molecule of bacterial origin pre-B cell differentiation leukocyte migration involved in inflammatory response positive regulation of T cell mediated immune response to tumor cell positive regulation of inflammatory response to antigenic stimulus positive regulation of B cell apoptotic process cell adhesion heterophilic cell-cell adhesion via plasma membrane cell adhesion molecules leukocyte cell-cell adhesion cell surface receptor signaling pathway positive regulation of cytosolic calcium ion concentration neuromuscular synaptic transmission negative regulation of neuroblast proliferation apoptotic mitochondrial changes positive regulation of neuron projection development cell migration regulation of cell-cell adhesion positive regulation of cell-cell adhesion apoptotic nuclear changes negative regulation of B cell proliferation neuron projection development T cell costimulation chemokine receptor transport out of membrane raft negative regulation of transforming growth factor beta3 production positive regulation of integrin activation positive regulation of cell adhesion mediated by integrin regulation of cell-cell adhesion mediated by integrin positive regulation of cell-cell adhesion mediated by integrin negative regulation of erythrocyte clearance homotypic cell-cell adhesion negative regulation of erythrocyte aggregation positive regulation of T cell homeostatic proliferation positive regulation of activated T cell proliferation regulation of phosphorylation cholesterol homeostasis positive regulation of MAP kinase activity regulation of MAPK cascade response to estrogen regulation of B cell differentiation negative regulation of neuron differentiation respiratory burst negative regulation of T cell homeostatic proliferation positive regulation of alpha-beta T cell proliferation synaptic vesicle endocytosis positive regulation of peptidyl-tyrosine phosphorylation negative regulation of neurogenesis positive regulation of calcium-mediated signaling positive regulation of protein tyrosine kinase activity apoptotic signaling pathway
          It has to be done as per old AB suggested Products section.

          Disclaimer

          Close

          Clicking the images or links will redirect you to a website hosted by BenchSci that provides third-party scientific content. Neither the content nor the BenchSci technology and processes for selection have been evaluated by us; we are providing them as-is and without warranty of any kind, including for use or application of the Thermo Fisher Scientific products presented.

          guarantee_icon

          性能保障

          只要您发现Invitrogen抗体在实验中的表现与网站或说明书的所述内容不符,您即可享受免费退换货服务。*

          了解更多
          help_icon

          随时为您服务

          获取常见问题的专家解答,或者直接联系我们的技术专家,咨询应用、设备、常规产品使用问题。

          联系技术支持
          订购 Plus Icon Minus Icon
          • 订单状态查询
          • 订单支持
          • 货号直购
          • 现货供应中心
          • 电子采购
          支持 Plus Icon Minus Icon
          • 帮助&支持
          • 联系我们 - 400 820 8982
          • 技术支持中心
          • 查找文件&证书
          • 报告网站问题
          资源 Plus Icon Minus Icon
          • 学习中心
          • 促销
          • 活动&研讨会
          • 社交媒体
          关于赛默飞 Plus Icon Minus Icon
          • 关于我们
          • 招聘 招聘
          • 投资者关系 投资者关系
          • 新闻 新闻
          • 社会责任 社会责任
          • 商标
          • 政策和通知
          品牌 Plus Icon Minus Icon
          • Thermo Scientific
          • Applied Biosystems
          • Invitrogen
          • Gibco
          • Ion Torrent
          • Unity Lab Services
          • Patheon
          • PPD
          • 服务条款
          • 隐私政策
          • 定价和运输保险政策
          © 2006-2026 Thermo Fisher Scientific Inc. All rights reserved. All trademarks are the property of Thermo Fisher Scientific and its subsidiaries unless otherwise specified.
          China flag icon
          China
          本网站销售的所有产品均不得用于人类或动物之临床诊断或治疗,仅可用于工业或者科研等非医疗目的。
             电子营业执照 | 经营证照公示 | ICP备案号:沪ICP备11003924号 | 沪公网安备 31011502006935号

          Your items have has been added!


          Host server : magellan-search-green-6479c7f679-jmhj8:80/100.66.74.142:80.
          git-commit: b70c0dceb888abc3b0dcebb5bc3a5b8753e7e816
          git-url: https://github.com/thermofisher/magellan-search
          git-branch: release/2.50.0-Offline