Hamburger Menu Button
Thermo Fisher Scientific Logo
登录
没有账号?建立账号 注册
  • 产品
    • 抗体
    • 引物合成
    • GeneArt Gene Synthesis Instant Designer
    • TaqMan Assay and Array Search
    • PCR 设备和耗材
    • 色谱柱和纯化柱
    • 实验室离心机
    • 分子生物学试剂和试剂盒
    • 实验室塑料耗材及用品
    • 查看所有产品分类
  • 应用和技术
    • 色谱
    • 细胞转染和培养
    • 实时荧光定量PCR
    • 质谱
    • 实验室塑料耗材及用品
    • 电子显微镜
    • 蛋白质生物学
    • PCR
    • RNAi
    • 环境
    • 查看所有应用和技术
  • 服务
    • 定制服务
    • 企业级实验室信息化服务
    • 金融&租赁服务
    • 仪器服务
    • OEM和商业供应
    • 培训服务
    • 360° CDMO 和 CRO 服务
    • CDMO 服务
    • 临床试验 CRO 服务
    • Unity Lab Services
    • 查看所有帮助和支持
  • 帮助和支持
    • 学习中心
    • 联系我们
    • 更改国家或地区
    • 查看所有帮助和支持
  • 热门产品
    • TaqMan Real-Time PCR Assays
      TaqMan 实时荧光定量 PCR 试剂盒
    • Antibodies
      抗体
    • Oligos, Primers & Probes
      寡核苷酸、引物、探针
    • GeneArt Gene Synthesis
      GeneArt 基因合成
    • Cell Culture Plastics
      细胞培养耗材
  • Who We Serve
    • 抗体治疗解决方案
    • 细胞与基因治疗解决方案
    • 学术科研
    • 工业与应用
  • 联系我们
  • 货号直购
  • 订单查询
  • 查找文件&证书
Thermo Fisher Scientific Logo

Search

搜索全部或下列指定分类
Search button
          • 联系我们
          • 货号直购
          • 登录
            登录
            没有账号?建立账号 注册
            • 我的账号
            • 订单
            • 会员中心
            • 账单及发票查询
            • 定制产品及项目
          • Primary Antibodies ›
          • RANKL (RANK Ligand) Antibodies

          Invitrogen

          CD254 (RANK Ligand) Monoclonal Antibody (12A668)

          1个已发表图片
          2 篇参考文献
          查看其他44个RANKL (RANK Ligand)抗体

          {{$productOrderCtrl.translations['antibody.pdp.commerceCard.promotion.promotions']}}

          {{$productOrderCtrl.translations['antibody.pdp.commerceCard.promotion.viewpromo']}}

          {{$productOrderCtrl.translations['antibody.pdp.commerceCard.promotion.promocode']}}: {{promo.promoCode}} {{promo.promoTitle}} {{promo.promoDescription}}. {{$productOrderCtrl.translations['antibody.pdp.commerceCard.promotion.learnmore']}}

          说明书
          证书
          实验方案
          问题与答案
          技术支持
          说明书
          证书
          实验方案
          问题与答案
          技术支持
          说明书
          证书
          实验方案
          问题与答案
          技术支持

          Cite CD254 (RANK Ligand) Monoclonal Antibody (12A668)

          Additional Information:
          {{banner.description}}
          {{$ctrl.isSkuNotesCollapsed ? 'View more' : 'View less'}}
          • 抗体检测数据 (6)
          • 已发表图片 (1)
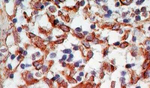
          CD254 (RANK Ligand) Antibody in Immunocytochemistry (ICC/IF)
          Group 53 Created with Sketch.
          CD254 (RANK Ligand) Antibody in Immunocytochemistry (ICC/IF)
          Group 53 Created with Sketch.

          图: 1 / 7

          {{ $ctrl.currentElement.advancedVerification.fullName }}
          {{ $ctrl.currentElement.advancedVerification.text }}

          CD254 (RANK Ligand) Antibody (MA5-16156) in ICC/IF

          Immunocytochemistry analysis of CD254 (RANK Ligand) in immersion fixed mouse splenocytes. Samples were incubated with CD254 (RANK Ligand) monoclonal antibody (Product # MA5-16156) followed by NL557 (red) fluorescent anti-mouse. Primary incubated for 1 hour at room temperature. Counterstained with DAPI (blue). {{ $ctrl.currentElement.advancedVerification.fullName }} 验证信息 View more
          已发表图片由___提供 benchsci-logo
          PMID: {{$ctrl.currentElement.benchSciPubmedId}}
          查看产品

          {{$ctrl.videoDesc}}

          {{$ctrl.videoLongDesc}}

          CD254 (RANK Ligand) Antibody in Immunocytochemistry (ICC/IF)
          CD254 (RANK Ligand) Antibody in Immunohistochemistry (Paraffin) (IHC (P))
          CD254 (RANK Ligand) Antibody in Immunohistochemistry (Paraffin) (IHC (P))
          CD254 (RANK Ligand) Antibody in Immunohistochemistry (Paraffin) (IHC (P))
          CD254 (RANK Ligand) Antibody in Western Blot (WB)
          CD254 (RANK Ligand) Antibody in Western Blot (WB)
          CD254 (RANK Ligand) Antibody in Flow Cytometry (Flow)
          CD254 (RANK Ligand) Monoclonal Antibody (12A668)

          产品信息

          MA5-16156

          应用
          建议稀释比
          已发表文章

          免疫印迹 (WB)

          0.5-2 µg/mL
          -

          免疫组化 (IHC)

          -
          查看1篇已发表文章 1篇已发表文章

          免疫组化(石蜡) (IHC (P))

          5 µg/mL
          -

          免疫细胞化学 (ICC/IF)

          20 µg/mL
          -

          流式细胞分析 (Flow)

          Assay-Dependent
          查看1篇已发表文章 1篇已发表文章

          染色质免疫沉淀 实验 (ChIP)

          1:10-1:500
          -
          产品规格

          种属反应

          Human, Mouse, Rat

          已发表种属

          Human, Rat

          宿主/亚型

          Mouse / IgG1, kappa

          分类

          Monoclonal

          类型

          Antibody

          克隆号

          12A668

          抗原

          A bacterially expressed fusion protein containing amino acid residues 1-316 of mouse TRANCE/TNFSF11/RANK L.
          3D表位/免疫原

          偶联物

          Unconjugated Unconjugated Unconjugated

          形式

          Liquid

          浓度

          1 mg/mL

          规格

          100 µg

          纯化类型

          Protein G

          保存液

          PBS

          内含物

          0.02% sodium azide

          保存条件

          Store at 4°C short term. For long term storage, store at -20°C, avoiding freeze/thaw cycles.

          运输条件

          Ambient (domestic); Wet ice (international)

          RRID

          AB_2537675

          产品详细信息

          Staining of formalin-fixed tissues is enhanced by boiling tissue sections in 10 mM sodium citrate buffer, pH 6.0 for 10-20 min followed by cooling at RT for 20 min.

          Suggested positive control: activated T cells or RAW, antigen standard for TNFSF11 (transient overexpression lysate).

          靶标信息

          This gene encodes a member of the tumor necrosis factor (TNF) cytokine family which is a ligand for osteoprotegerin and functions as a key factor for osteoclast differentiation and activation. This protein was shown to be a dentritic cell survival factor and is involved in the regulation of T cell-dependent immune response. T cell activation was reported to induce expression of this gene and lead to an increase of osteoclastogenesis and bone loss. This protein was shown to activate antiapoptotic kinase AKT/PKB through a signaling complex involving SRC kinase and tumor necrosis factor receptor-associated factor (TRAF) 6, which indicated this protein may have a role in the regulation of cell apoptosis. Targeted disruption of the related gene in mice led to severe osteopetrosis and a lack of osteoclasts. The deficient mice exhibited defects in early differentiation of T and B lymphocytes, and failed to form lobulo-alveolar mammary structures during pregnancy. Two alternatively spliced transcript variants have been found.

          仅用于科研。不用于诊断过程。未经明确授权不得转售。

          生物信息学

          蛋白别名: CD254; H-RANK-L; M-Rank-L; ODF; OPG ligand; OPGL; Osteoclast differentiation factor; Osteoprotegerin ligand; rank-l; RANKL; receptor activator of NF-kappaB ligand; receptor activator of nuclear factor kappa B ligand; Receptor activator of nuclear factor kappa-B ligand; RP11-86N24.2; srankl; TNF-related activation-induced cytokine; TNF-related ligand; TRANCE; tumor necrosis factor (ligand) superfamily, member 11; tumor necrosis factor ligand 6B; Tumor necrosis factor ligand superfamily member 11; tumor necrosis factor superfamily member 11; tumor necrosis factor-related activation-induced cytokine

          查看更多 收起

          基因别名: CD254; hRANKL2; Ly109l; ODF; OPG; OPGL; OPTB2; RANKL; sOdf; TNFSF11; TNLG6B; TRANCE

          查看更多 收起

          UniProt ID: (Human) O14788, (Rat) Q9ESE2, (Mouse) O35235

          查看更多 收起

          Entrez Gene ID: (Human) 8600, (Rat) 117516, (Mouse) 21943

          查看更多 收起

          功能
          receptor binding cytokine activity tumor necrosis factor receptor binding protein binding tumor necrosis factor receptor superfamily binding identical protein binding receptor agonist activity
          参与通路
          ossification osteoclast proliferation monocyte chemotaxis immune response activation of JUN kinase activity multicellular organism development response to radiation organ morphogenesis cytokine-mediated signaling pathway cell differentiation osteoclast differentiation tumor necrosis factor-mediated signaling pathway mammary gland epithelial cell proliferation positive regulation of homotypic cell-cell adhesion response to immobilization stress positive regulation of phosphorylation positive regulation of I-kappaB kinase/NF-kappaB signaling positive regulation of MAP kinase activity bone resorption regulation of osteoclast differentiation positive regulation of osteoclast differentiation positive regulation of bone resorption positive regulation of transcription from RNA polymerase II promoter positive regulation of JNK cascade positive regulation of T cell activation positive regulation of sequence-specific DNA binding transcription factor activity positive regulation of NF-kappaB transcription factor activity protein homooligomerization positive regulation of corticotropin-releasing hormone secretion positive regulation of protein kinase B signaling calcium ion homeostasis mammary gland alveolus development ERK1 and ERK2 cascade positive regulation of fever generation by positive regulation of prostaglandin secretion TNFSF11-mediated signaling pathway positive regulation of ERK1 and ERK2 cascade via TNFSF11-mediated signaling positive regulation of intracellular signal transduction positive regulation of osteoclast development paracrine signaling lymph node development negative regulation of transcription from RNA polymerase II promoter cell communication cell surface receptor signaling pathway JNK cascade positive regulation of gene expression calcium-mediated signaling signaling osteoclast development positive regulation of MAPK cascade protein kinase B signaling tooth eruption bone development positive regulation of ERK1 and ERK2 cascade positive regulation of NIK/NF-kappaB signaling cellular response to leukemia inhibitory factor positive regulation of extrinsic apoptotic signaling pathway
          It has to be done as per old AB suggested Products section.

          Disclaimer

          Close

          Clicking the images or links will redirect you to a website hosted by BenchSci that provides third-party scientific content. Neither the content nor the BenchSci technology and processes for selection have been evaluated by us; we are providing them as-is and without warranty of any kind, including for use or application of the Thermo Fisher Scientific products presented.

          guarantee_icon

          性能保障

          只要您发现Invitrogen抗体在实验中的表现与网站或说明书的所述内容不符,您即可享受免费退换货服务。*

          了解更多
          help_icon

          随时为您服务

          获取常见问题的专家解答,或者直接联系我们的技术专家,咨询应用、设备、常规产品使用问题。

          联系技术支持
          订购 Plus Icon Minus Icon
          • 订单状态查询
          • 订单支持
          • 货号直购
          • 现货供应中心
          • 电子采购
          支持 Plus Icon Minus Icon
          • 帮助&支持
          • 联系我们 - 400 820 8982
          • 技术支持中心
          • 查找文件&证书
          • 报告网站问题
          资源 Plus Icon Minus Icon
          • 学习中心
          • 促销
          • 活动&研讨会
          • 社交媒体
          关于赛默飞 Plus Icon Minus Icon
          • 关于我们
          • 招聘 招聘
          • 投资者关系 投资者关系
          • 新闻 新闻
          • 社会责任 社会责任
          • 商标
          • 政策和通知
          品牌 Plus Icon Minus Icon
          • Thermo Scientific
          • Applied Biosystems
          • Invitrogen
          • Gibco
          • Ion Torrent
          • Unity Lab Services
          • Patheon
          • PPD
          • 服务条款
          • 隐私政策
          • 定价和运输保险政策
          © 2006-2026 Thermo Fisher Scientific Inc. All rights reserved. All trademarks are the property of Thermo Fisher Scientific and its subsidiaries unless otherwise specified.
          China flag icon
          China
          本网站销售的所有产品均不得用于人类或动物之临床诊断或治疗,仅可用于工业或者科研等非医疗目的。
             电子营业执照 | 经营证照公示 | ICP备案号:沪ICP备11003924号 | 沪公网安备 31011502006935号

          Your items have has been added!


          Host server : magellan-search-green-6479c7f679-zb4k5:80/100.66.74.142:80.
          git-commit: b70c0dceb888abc3b0dcebb5bc3a5b8753e7e816
          git-url: https://github.com/thermofisher/magellan-search
          git-branch: release/2.50.0-Offline