Hamburger Menu Button
Thermo Fisher Scientific Logo
登录
没有账号?建立账号 注册
  • 产品
    • 抗体
    • 引物合成
    • GeneArt Gene Synthesis Instant Designer
    • TaqMan Assay and Array Search
    • PCR 设备和耗材
    • 色谱柱和纯化柱
    • 实验室离心机
    • 分子生物学试剂和试剂盒
    • 实验室塑料耗材及用品
    • 查看所有产品分类
  • 应用和技术
    • 色谱
    • 细胞转染和培养
    • 实时荧光定量PCR
    • 质谱
    • 实验室塑料耗材及用品
    • 电子显微镜
    • 蛋白质生物学
    • PCR
    • RNAi
    • 环境
    • 查看所有应用和技术
  • 服务
    • 定制服务
    • 企业级实验室信息化服务
    • 企业服务
    • 金融&租赁服务
    • 仪器服务
    • OEM和商业供应
    • 培训服务
    • 360° CDMO 和 CRO 服务
    • CDMO 服务
    • 临床试验 CRO 服务
    • 查看所有帮助和支持
  • 帮助和支持
    • 学习中心
    • 联系我们
    • 更改国家或地区
    • 查看所有帮助和支持
  • 热门产品
    • TaqMan Real-Time PCR Assays
      TaqMan 实时荧光定量 PCR 试剂盒
    • Antibodies
      抗体
    • Oligos, Primers & Probes
      寡核苷酸、引物、探针
    • GeneArt Gene Synthesis
      GeneArt 基因合成
    • Cell Culture Plastics
      细胞培养耗材
  • 联系我们
  • 货号直购
  • 订单查询
  • 查找文件&证书
Thermo Fisher Scientific Logo

Search

搜索全部或下列指定分类
Search button
          • 联系我们
          • 货号直购
          • 登录
            登录
            没有账号?建立账号 注册
            • 我的账号
            • 订单
            • 账单及发票查询
            • 定制产品及项目

          Disclaimer

          Clicking the images or links will redirect you to a website hosted by BenchSci that provides third-party scientific content. Neither the content nor the BenchSci technology and processes for selection have been evaluated by us; we are providing them as-is and without warranty of any kind, including for use or application of the Thermo Fisher Scientific products presented.

          • Primary Antibodies ›
          • CD3 Antibodies

          Proteintech

          CD3 Recombinant Rabbit Monoclonal Antibody (4I19)

          查看其他444个CD3抗体

          {{$productOrderCtrl.translations['antibody.pdp.commerceCard.promotion.promotions']}}

          {{$productOrderCtrl.translations['antibody.pdp.commerceCard.promotion.viewpromo']}}

          {{$productOrderCtrl.translations['antibody.pdp.commerceCard.promotion.promocode']}}: {{promo.promoCode}} {{promo.promoTitle}} {{promo.promoDescription}}. {{$productOrderCtrl.translations['antibody.pdp.commerceCard.promotion.learnmore']}}

          说明书
          实验方案
          问题与答案
          技术支持
          说明书
          实验方案
          问题与答案
          技术支持
          说明书
          实验方案
          问题与答案
          技术支持

          Cite CD3 Recombinant Rabbit Monoclonal Antibody (4I19)

          • 抗体检测数据 (4)
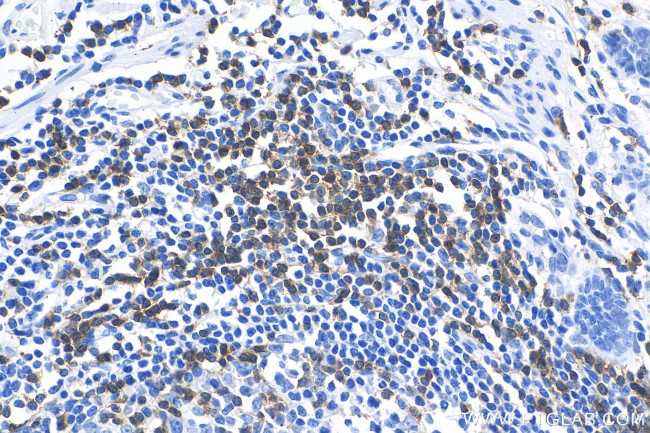
          CD3 Antibody in Immunohistochemistry (Paraffin) (IHC (P))
          Group 53 Created with Sketch.
          CD3 Antibody in Immunohistochemistry (Paraffin) (IHC (P))
          Group 53 Created with Sketch.

          图: 1 / 4

          {{ $ctrl.currentElement.advancedVerification.fullName }}
          {{ $ctrl.currentElement.advancedVerification.text }}

          CD3 Antibody (81324-1-RR) in IHC (P)

          Immunohistochemical analysis of paraffin-embedded human colon tissue slide using 81324-1-RR (CD3 antibody) at dilution of 1:10000 (under 40x lens). Heat mediated antigen retrieval with Tris-EDTA buffer (pH 9.0). {{ $ctrl.currentElement.advancedVerification.fullName }} 验证信息 View more
          已发表图片由___提供 benchsci-logo
          PMID: {{$ctrl.currentElement.benchSciPubmedId}}
          查看产品

          {{$ctrl.videoDesc}}

          {{$ctrl.videoLongDesc}}

          CD3 Antibody in Immunohistochemistry (Paraffin) (IHC (P))
          CD3 Antibody in Immunohistochemistry (Paraffin) (IHC (P))
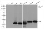
          CD3 Antibody in Western Blot (WB)
          CD3 Antibody in Western Blot (WB)
          CD3 Recombinant Rabbit Monoclonal Antibody (4I19)

          产品信息

          81324-1-RR

          应用
          建议稀释比
          已发表文章

          免疫印迹 (WB)

          1:5,000-1:50,000
          -

          免疫组化(石蜡) (IHC (P))

          1:5,000-1:20,000
          -

          酶联免疫吸附实验 (ELISA)

          Assay-dependent
          -
          产品规格

          种属反应

          Human, Mouse, Pig, Rat

          宿主/亚型

          Rabbit / IgG

          Expression System

          Mammalian cells

          分类

          Recombinant Monoclonal

          类型

          Antibody

          克隆号

          4I19

          抗原

          Recombinant protein
          查看免疫原

          偶联物

          Unconjugated Unconjugated Unconjugated
          • CoraLite Plus 488
          • Request custom conjugation

          形式

          Liquid

          纯化类型

          Protein A

          保存液

          PBS with 50% glycerol

          内含物

          0.02% sodium azide

          保存条件

          -20°C

          运输条件

          Wet ice

          产品详细信息

          Immunogen sequence: MQSGTHWRVL GLCLLSVGVW GQDGNEEMGG ITQTPYKVSI SGTTVILTCP QYPGSEILWQ HNDKNIGGDE DDKNIGSDED HLSLKEFSEL EQSGYYVCYP RGSKPEDANF YLYLRARVCE NCMEMDVMSV ATIVIVDICI TGGLLLLVYY WSKNRKAKAK PVTRGAGAGG RQRGQNKERP PPVPNPDYEP IRKGQRDLYS GLNQRRI

          靶标信息

          The CD3 complex, composed of gamma, delta, epsilon, and zeta subunits, is essential for the assembly, trafficking, and surface expression of the T cell receptor (TCR) complex. These subunits are structurally related members of the immunoglobulin superfamily and are encoded by closely linked genes on human chromosome 11. CD3 is expressed by thymocytes in a developmentally regulated manner and by all mature T cells, but not on B or NK cells. The CD3 subunits play a crucial role in transducing antigen-recognition signals into the cytoplasm of T cells. The cytoplasmic tails of CD3 subunits contain a double tyrosine-based motif that associates with cytoplasmic signal transduction molecules, mediating T cell activation through the TCR. Crosslinking of the TCR initiates intracellular biochemical pathways that result in cellular activation, proliferation, and potentially growth arrest and cell survival. CD3 is present on 68-82% of normal peripheral blood lymphocytes, 65-85% of thymocytes, and Purkinje cells in the cerebellum. Decreased percentages of T lymphocytes may be observed in some autoimmune diseases. Defects in the CD3 gene are associated with CD3 immunodeficiency, highlighting its importance in immune function and regulation.

          仅用于科研。不用于诊断过程。未经明确授权不得转售。

          篇参考文献 (0)

          您是否在文献中引用过该产品?请点击下方按钮邮件告知我们。
          引用该产品

          生物信息学

          蛋白别名: CD247; CD247 antigen; CD247 antigen, zeta subunit; CD3 antigen delta chain; CD3 antigen delta polypeptide; CD3 antigen gamma chain; CD3 antigen, delta polypeptide; CD3 antigen, delta subunit; CD3 antigen, epsilon polypeptide; CD3 antigen, gamma polypeptide; CD3 antigen, zeta polypeptide; CD3 delta; CD3 epsilon subunit; CD3 gamma-chain; CD3 molecule delta polypeptide; CD3 molecule, epsilon polypeptide; CD3 molecule, gamma polypeptide; CD3 TCR complex; CD3 zeta chain; CD3-epsilon; CD3-zeta/eta; CD3d; CD3d antigen, delta polypeptide (TiT3 complex); CD3d molecule, delta (CD3-TCR complex); CD3e; CD3e antigen, epsilon polypeptide (TiT3 complex); CD3e molecule, epsilon (CD3-TCR complex); CD3g; CD3g antigen, gamma polypeptide (TiT3 complex); CD3g molecule, epsilon (CD3-TCR complex); CD3g molecule, gamma (CD3-TCR complex); CD3Z antigen, zeta polypeptide (TiT3 complex); CD3zeta chain; FLJ18683; Leu-4; OKT3, delta chain; T cell antigen receptor complex epsilon subunit of T3; T-cell antigen receptor complex, epsilon subunit of T3; T-cell antigen receptor complex, gamma subunit of T3; T-cell antigen receptor complex, zeta subunit of CD3; T-cell receptor CD3 subunit zeta; T-cell receptor CD3, subunit zeta; T-cell receptor T3 delta chain; T-cell receptor T3 eta chain; T-cell receptor T3 gamma chain; T-cell receptor T3 zeta chain; T-cell surface antigen T3/Leu-4 epsilon chain; T-cell surface glycoprotein CD3 delta chain; T-cell surface glycoprotein CD3 epsilon chain; T-cell surface glycoprotein CD3 gamma chain; T-cell surface glycoprotein CD3 zeta chain; T3/TCR complex; TcR CD3 delta-chain; TCR zeta chain

          查看更多 收起

          基因别名: 4930549J05Rik; A430104F18Rik; AI504783; AW552088; CD247; CD3; CD3-DELTA; Cd3-eta; CD3-GAMMA; CD3-ZETA; CD3D; CD3E; CD3epsilon; CD3G; CD3H; CD3Q; CD3Z; Cd3zeta; Ctg-3; Ctg3; IMD17; IMD18; IMD19; IMD25; T3D; T3E; T3G; T3Z; TCRE; Tcrk; TCRZ; TCRzeta

          查看更多 收起

          UniProt ID: (Human) P20963, (Pig) Q764N2, (Human) P04234, (Human) P07766, (Pig) Q7YRN2, (Human) P09693, (Pig) Q5PXD3, (Mouse) P24161, (Mouse) P04235, (Rat) P19377, (Mouse) P22646, (Mouse) P11942, (Rat) Q64159

          查看更多 收起

          Entrez Gene ID: (Human) 919, (Pig) 397302, (Pig) 396661, (Human) 915, (Human) 916, (Pig) 397455, (Human) 917, (Pig) 494013, (Rat) 25300, (Mouse) 12503, (Mouse) 12500, (Rat) 25710, (Rat) 315609, (Mouse) 12501, (Mouse) 12502, (Rat) 300678

          查看更多 收起

          功能
          transmembrane signaling receptor activity protein binding identical protein binding protein homodimerization activity transcription coactivator activity protein heterodimerization activity receptor signaling protein activity SH3 domain binding protein kinase binding receptor signaling complex scaffold activity T cell receptor binding molecular_function signal transducer activity defense/immunity protein immunoglobulin receptor superfamily
          参与通路
          viral process T cell costimulation Fc-gamma receptor signaling pathway involved in phagocytosis regulation of defense response to virus by virus regulation of immune response T cell receptor signaling pathway adaptive immune response positive regulation of transcription from RNA polymerase II promoter cell surface receptor signaling pathway T cell differentiation positive thymic T cell selection positive regulation of T cell anergy protein complex assembly transmembrane receptor protein tyrosine kinase signaling pathway signal complex assembly G-protein coupled receptor signaling pathway response to nutrient positive regulation of gene expression negative regulation of gene expression positive regulation of interferon-gamma production positive regulation of interleukin-4 production positive regulation of T cell proliferation T cell activation regulation of apoptotic process negative thymic T cell selection positive regulation of interleukin-2 biosynthetic process negative regulation of smoothened signaling pathway positive regulation of alpha-beta T cell proliferation positive regulation of peptidyl-tyrosine phosphorylation positive regulation of calcium-mediated signaling apoptotic signaling pathway establishment or maintenance of cell polarity protein transport regulation of lymphocyte apoptotic process biological_process T cell differentiation in thymus lymphocyte activation positive regulation of T cell activation
          It has to be done as per old AB suggested Products section.
          guarantee_icon

          性能保障

          只要您发现Invitrogen抗体在实验中的表现与网站或说明书的所述内容不符,您即可享受免费退换货服务。*

          了解更多
          help_icon

          随时为您服务

          获取常见问题的专家解答,或者直接联系我们的技术专家,咨询应用、设备、常规产品使用问题。

          联系技术支持
          订购 Plus Icon Minus Icon
          • 订单状态查询
          • 订单支持
          • 货号直购
          • 现货供应中心
          • 电子采购
          支持 Plus Icon Minus Icon
          • 帮助&支持
          • 联系我们 - 400 820 8982
          • 技术支持中心
          • 查找文件&证书
          • 报告网站问题
          资源 Plus Icon Minus Icon
          • 学习中心
          • 促销
          • 活动&研讨会
          • 社交媒体
          关于赛默飞 Plus Icon Minus Icon
          • 关于我们
          • 招聘 招聘
          • 投资者关系 投资者关系
          • 新闻 新闻
          • 社会责任 社会责任
          • 商标
          • 政策和通知
          品牌 Plus Icon Minus Icon
          • Thermo Scientific
          • Applied Biosystems
          • Invitrogen
          • Gibco
          • Ion Torrent
          • Patheon
          • PPD
          • 服务条款
          • 隐私政策
          • 定价和运输保险政策
          © 2006-2025 Thermo Fisher Scientific Inc. All rights reserved. All trademarks are the property of Thermo Fisher Scientific and its subsidiaries unless otherwise specified.
          China flag icon
          China
          本网站销售的所有产品均不得用于人类或动物之临床诊断或治疗,仅可用于工业或者科研等非医疗目的。
             电子营业执照 | 经营证照公示 | ICP备案号:沪ICP备11003924号 | 沪公网安备 31011502006935号

          Your items have has been added!


          Host server : magellan-search-green-55658555d6-qfdf2:80/100.66.76.55:80.
          git-commit: ec8e7df5f8fec8d765bd419205f1b5046a016d37
          git-url: https://github.com/thermofisher/magellan-search
          git-branch: release/2.41.0-Offline