Hamburger Menu Button
Thermo Fisher Scientific Logo
登录
没有账号?建立账号 注册
  • 产品
    • 抗体
    • 引物合成
    • GeneArt Gene Synthesis Instant Designer
    • TaqMan Assay and Array Search
    • PCR 设备和耗材
    • 色谱柱和纯化柱
    • 实验室离心机
    • 分子生物学试剂和试剂盒
    • 实验室塑料耗材及用品
    • 查看所有产品分类
  • 应用和技术
    • 色谱
    • 细胞转染和培养
    • 实时荧光定量PCR
    • 质谱
    • 实验室塑料耗材及用品
    • 电子显微镜
    • 蛋白质生物学
    • PCR
    • RNAi
    • 环境
    • 查看所有应用和技术
  • 服务
    • 定制服务
    • 企业级实验室信息化服务
    • 金融&租赁服务
    • 仪器服务
    • OEM和商业供应
    • 培训服务
    • 360° CDMO 和 CRO 服务
    • CDMO 服务
    • 临床试验 CRO 服务
    • Unity Lab Services
    • 查看所有帮助和支持
  • 帮助和支持
    • 学习中心
    • 联系我们
    • 更改国家或地区
    • 查看所有帮助和支持
  • 热门产品
    • TaqMan Real-Time PCR Assays
      TaqMan 实时荧光定量 PCR 试剂盒
    • Antibodies
      抗体
    • Oligos, Primers & Probes
      寡核苷酸、引物、探针
    • GeneArt Gene Synthesis
      GeneArt 基因合成
    • Cell Culture Plastics
      细胞培养耗材
  • Who We Serve
    • 抗体治疗解决方案
    • 细胞与基因治疗解决方案
    • 学术科研
    • 工业与应用
  • 联系我们
  • 货号直购
  • 订单查询
  • 查找文件&证书
Thermo Fisher Scientific Logo

Search

搜索全部或下列指定分类
Search button
          • 联系我们
          • 货号直购
          • 登录
            登录
            没有账号?建立账号 注册
            • 我的账号
            • 订单
            • 会员中心
            • 账单及发票查询
            • 定制产品及项目
          • Primary Antibodies ›
          • CD32b (FCGR2B) Antibodies

          Invitrogen

          CD32b Monoclonal Antibody (A9C11)

          查看其他30个CD32b (FCGR2B)抗体

          {{$productOrderCtrl.translations['antibody.pdp.commerceCard.promotion.promotions']}}

          {{$productOrderCtrl.translations['antibody.pdp.commerceCard.promotion.viewpromo']}}

          {{$productOrderCtrl.translations['antibody.pdp.commerceCard.promotion.promocode']}}: {{promo.promoCode}} {{promo.promoTitle}} {{promo.promoDescription}}. {{$productOrderCtrl.translations['antibody.pdp.commerceCard.promotion.learnmore']}}

          说明书
          证书
          实验方案
          问题与答案
          技术支持
          说明书
          证书
          实验方案
          问题与答案
          技术支持
          说明书
          证书
          实验方案
          问题与答案
          技术支持

          Cite CD32b Monoclonal Antibody (A9C11)

          Additional Information:
          {{banner.description}}
          {{$ctrl.isSkuNotesCollapsed ? 'View more' : 'View less'}}
          • 抗体检测数据 (5)
          CD32b Antibody in Immunohistochemistry (Paraffin) (IHC (P))
          Group 53 Created with Sketch.
          CD32b Antibody in Immunohistochemistry (Paraffin) (IHC (P))
          Group 53 Created with Sketch.

          图: 1 / 5

          {{ $ctrl.currentElement.advancedVerification.fullName }}
          {{ $ctrl.currentElement.advancedVerification.text }}

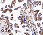
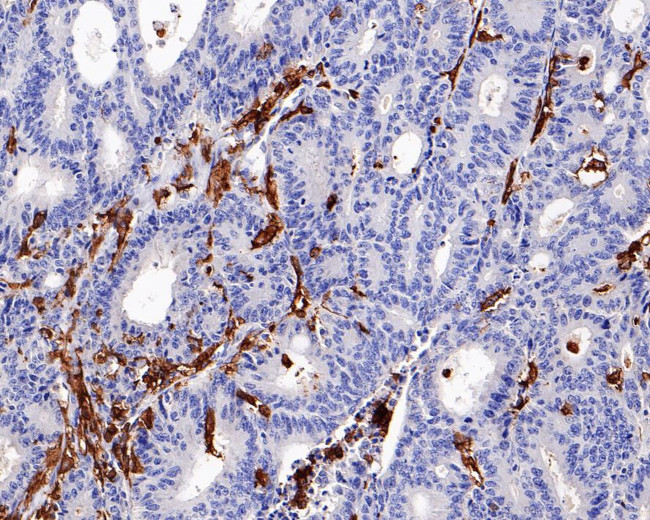
          CD32b Antibody (MA5-50622) in IHC (P)

          Immunohistochemistry of CD32b in paraffin-embedded human colon carcinoma tissue. The section was pre-treated using heat mediated antigen retrieval with Tris-EDTA buffer (pH 9.0) for 20 minutes. The tissues were blocked in 1% BSA for 20 minutes at room temperature, washed with ddH2O and PBS, and then probed with CD32b monoclonal antibody (Product # MA5-50622) with a dilution of 1:200 for 1 hour at room tempe... View More {{ $ctrl.currentElement.advancedVerification.fullName }} 验证信息 View more
          已发表图片由___提供 benchsci-logo
          PMID: {{$ctrl.currentElement.benchSciPubmedId}}
          查看产品

          {{$ctrl.videoDesc}}

          {{$ctrl.videoLongDesc}}

          CD32b Antibody in Immunohistochemistry (Paraffin) (IHC (P))
          CD32b Antibody in Immunohistochemistry (Paraffin) (IHC (P))
          CD32b Antibody in Immunohistochemistry (Paraffin) (IHC (P))
          CD32b Antibody in Immunohistochemistry (Paraffin) (IHC (P))
          CD32b Antibody in Western Blot (WB)
          CD32b Monoclonal Antibody (A9C11)

          产品信息

          MA5-50622

          应用
          建议稀释比
          已发表文章

          免疫印迹 (WB)

          1:1,000
          -

          免疫组化(石蜡) (IHC (P))

          1:200-1:1,000
          -
          产品规格

          种属反应

          Human

          宿主/亚型

          Mouse / IgG1

          分类

          Monoclonal

          类型

          Antibody

          克隆号

          A9C11

          抗原

          Recombinant protein within human aa 1-250/310.
          3D表位/免疫原

          偶联物

          Unconjugated Unconjugated Unconjugated

          形式

          Liquid

          浓度

          1 mg/mL

          规格

          100 µg

          纯化类型

          Protein A

          保存液

          PBS, pH 7.4, with 0.1% BSA, 40% glycerol

          内含物

          0.05% sodium azide

          保存条件

          Store at 4°C short term. For long term storage, store at -20°C, avoiding freeze/thaw cycles.

          运输条件

          Ambient (domestic); Wet ice (international)

          RRID

          AB_3091227

          产品详细信息

          Positive control: Daudi cell lysate, Raji cell lysate, HL-60 cell lysate, human placenta tissue lysate, human tonsil tissue, human liver tissue, human colon carcinoma tissue, human placenta tissue.

          Predicted band size: 34 kDa

          Subcellular Location: Cell membrane.

          靶标信息

          This gene encodes one member of a family of immunoglobulin Fc receptor genes found on the surface of many immune response cells. The protein encoded by this gene is a cell surface receptor found on phagocytic cells such as macrophages and neutrophils, and is involved in the process of phagocytosis and clearing of immune complexes. Alternative splicing results in multiple transcript variants.

          仅用于科研。不用于诊断过程。未经明确授权不得转售。

          篇参考文献 (0)

          您是否在文献中引用过该产品?请点击下方按钮邮件告知我们。
          引用该产品

          生物信息学

          蛋白别名: CD32; CD32 receptor 2; CD32 receptor 2a; CD32 receptor 2b; CD32A; CDw32; Fc fragment of IgG receptor IIb; Fc fragment of IgG, low affinity II, receptor for (CD32); Fc fragment of IgG, low affinity IIb, receptor (CD32); Fc fragment of IgG, low affinity IIb, receptor for (CD32); Fc gamma RIIb; fc-gamma RII-a; Fc-gamma RII-b; Fc-gamma RII-c; fc-gamma-RIIa; Fc-gamma-RIIb; Fc-gamma-RIIc; FcGR; FCGR2A1; FCGR2B; fcRII-a; fcRII-b; FGFR2B; IgG Fc fragment receptor; IgG Fc fragment receptor precursor; IgG Fc receptor beta-Fc-gamma-RII; IgG Fc receptor II-b; IgG Fc receptor II-c; Low affinity immunoglobulin gamma Fc region receptor II-b; Low affinity immunoglobulin gamma Fc region receptor II-c

          查看更多 收起

          基因别名: CD32; CD32B; FCG2; FcgammaRIIb; FCGR2; FCGR2B; FCGR2C; FcGRIIB; FcRII-c; IGFR2

          查看更多 收起

          UniProt ID: (Human) P31994

          查看更多 收起

          Entrez Gene ID: (Human) 2213

          查看更多 收起

          功能
          beta-amyloid binding protein binding IgG receptor activity low-affinity IgG receptor activity IgG binding macromolecular complex binding
          参与通路
          antibody-dependent cellular cytotoxicity negative regulation of type I hypersensitivity negative regulation of antibody-dependent cellular cytotoxicity negative regulation of cytokine production immune effector process follicular dendritic cell activation mature B cell differentiation involved in immune response follicular B cell differentiation immune complex clearance by monocytes and macrophages negative regulation of dendritic cell antigen processing and presentation regulation of B cell antigen processing and presentation negative regulation of immunoglobulin production regulation of immune system process regulation of adaptive immune response negative regulation of acute inflammatory response to antigenic stimulus positive regulation of humoral immune response negative regulation of humoral immune response mediated by circulating immunoglobulin receptor-mediated endocytosis phagocytosis phagocytosis, engulfment defense response inflammatory response cell surface receptor signaling pathway response to bacterium immunoglobulin mediated immune response antigen processing and presentation of exogenous peptide antigen via MHC class II cerebellum development negative regulation of B cell proliferation negative regulation of interleukin-10 production positive regulation of tumor necrosis factor production Fc-gamma receptor signaling pathway negative regulation of macrophage activation negative regulation of cytotoxic T cell degranulation regulation of innate immune response mast cell activation positive regulation of JNK cascade negative regulation of phagocytosis positive regulation of phagocytosis negative regulation of immune response negative regulation of B cell receptor signaling pathway negative regulation of B cell activation cellular response to molecule of bacterial origin regulation of immune complex clearance by monocytes and macrophages negative regulation of neutrophil activation regulation of dendritic spine maintenance regulation of endoplasmic reticulum stress-induced neuron intrinsic apoptotic signaling pathway cellular response to beta-amyloid positive regulation of response to endoplasmic reticulum stress negative regulation of dendritic cell differentiation
          It has to be done as per old AB suggested Products section.

          Disclaimer

          Close

          Clicking the images or links will redirect you to a website hosted by BenchSci that provides third-party scientific content. Neither the content nor the BenchSci technology and processes for selection have been evaluated by us; we are providing them as-is and without warranty of any kind, including for use or application of the Thermo Fisher Scientific products presented.

          guarantee_icon

          性能保障

          只要您发现Invitrogen抗体在实验中的表现与网站或说明书的所述内容不符,您即可享受免费退换货服务。*

          了解更多
          help_icon

          随时为您服务

          获取常见问题的专家解答,或者直接联系我们的技术专家,咨询应用、设备、常规产品使用问题。

          联系技术支持
          订购 Plus Icon Minus Icon
          • 订单状态查询
          • 订单支持
          • 货号直购
          • 现货供应中心
          • 电子采购
          支持 Plus Icon Minus Icon
          • 帮助&支持
          • 联系我们 - 400 820 8982
          • 技术支持中心
          • 查找文件&证书
          • 报告网站问题
          资源 Plus Icon Minus Icon
          • 学习中心
          • 促销
          • 活动&研讨会
          • 社交媒体
          关于赛默飞 Plus Icon Minus Icon
          • 关于我们
          • 招聘 招聘
          • 投资者关系 投资者关系
          • 新闻 新闻
          • 社会责任 社会责任
          • 商标
          • 政策和通知
          品牌 Plus Icon Minus Icon
          • Thermo Scientific
          • Applied Biosystems
          • Invitrogen
          • Gibco
          • Ion Torrent
          • Unity Lab Services
          • Patheon
          • PPD
          • 服务条款
          • 隐私政策
          • 定价和运输保险政策
          © 2006-2026 Thermo Fisher Scientific Inc. All rights reserved. All trademarks are the property of Thermo Fisher Scientific and its subsidiaries unless otherwise specified.
          China flag icon
          China
          本网站销售的所有产品均不得用于人类或动物之临床诊断或治疗,仅可用于工业或者科研等非医疗目的。
             电子营业执照 | 经营证照公示 | ICP备案号:沪ICP备11003924号 | 沪公网安备 31011502006935号

          Your items have has been added!


          Host server : magellan-search-green-6479c7f679-sz4vp:80/100.66.76.236:80.
          git-commit: b70c0dceb888abc3b0dcebb5bc3a5b8753e7e816
          git-url: https://github.com/thermofisher/magellan-search
          git-branch: release/2.50.0-Offline